Primary Modalities
- Light touch, pain, temperature, vibration, and proprioception.
Artificial intelligence tools were utilized during the compilation and organization of this book to assist in structuring content, refining language, and ensuring consistency across chapters. These tools were employed as supportive aids under expert human supervision, with all clinical interpretations, diagnostic frameworks, and recommendations reviewed and validated by the author to ensure medical accuracy and contextual relevance.
Neurology is one of the most intellectually challenging and rewarding disciplines in clinical medicine. The nervous system — with its immense complexity, intricate networks, and subtle clinical manifestations — requires a careful blend of science, reasoning, and pattern recognition. In many ways, neurology is calculating without numbers — governed by logical deductions, pattern analysis, and structured reasoning. For many clinicians, however, neurology can seem daunting, often appearing as an abstract discipline filled with complex terminology and diagnostic uncertainty.
This book is not intended to serve as an authoritative reference in neurology, nor does it claim to replace standard textbooks or peer-reviewed literature. Instead, it is designed as a practical guide to the evaluation and management of common neurological conditions, informed by more than two decades of the author’s clinical experience.
The book follows a four-part structure designed to bridge theory and practice. The first part establishes the foundational principles — core concepts in neuroanatomy, neurophysiology, and neurodiagnostic reasoning — which form the basis for all clinical interpretation. The second part adopts a symptom-based approach, focusing on practical strategies to localize lesions and construct differential diagnoses from presenting complaints. The third part presents a disease-based approach, outlining concise methods for recognizing, diagnosing, and managing common neurological disorders. The fourth part introduces examination preparation with MCQs, designed to reinforce learning and self-assessment through focused review questions. Together, these sections aim to provide a comprehensive framework for real-world clinical reasoning and practical application. Above all, this text is written for practical clinical neurologic application, aiming to assist clinicians in bedside diagnosis and everyday decision-making.
The content reflects real-world observations, diagnostic approaches, and clinical insights gained through patient care. Certain concepts have been deliberately simplified to facilitate understanding and support clinical reasoning. While this approach may aid learning, such simplifications do not always capture the full complexity of current scientific consensus. Readers are strongly encouraged to consult primary literature and standard reference texts to verify information, update their knowledge, and deepen their understanding.
I hope this book serves as a useful guide for clinicians navigating the complexities of neurology, helping to demystify the subject and enhance patient care through practical application.
Vijay Renga, MD
A clear understanding of the development and structure of the nervous system is essential before exploring neurological diseases and clinical cases. This chapter begins with the embryological origins of the nervous system, proceeds to the cellular and anatomical building blocks, and concludes with an overview of the central and peripheral systems and their major regions.
The nervous system can be broadly divided into three major components:
Central Nervous System (CNS): Consists of the brain, brainstem, and spinal cord. It is the most evolved part of the human nervous system, enabling cognition, higher-order consciousness, and coordinated motor and sensory integration.
Peripheral Nervous System (PNS): Comprises cranial and spinal nerves that connect the CNS to limbs and organs, facilitating voluntary movement and sensory input.
Autonomic Nervous System (ANS): A primitive yet vital division that regulates involuntary body functions including cardiovascular, respiratory, and digestive activities — classically associated with "fright, flight, or fight" responses.
The nervous system begins forming around day 18 of embryogenesis when signals from the notochord induce the overlying ectoderm to form the neural plate. The lateral edges of this plate rise, forming neural folds that fuse to create the neural tube — the precursor to the CNS. Closure occurs in a zipper-like fashion: the cranial neuropore closes by day 25, and the caudal neuropore by day 27.
Failure of neural tube closure leads to neural tube defects (NTDs), including spina bifida and anencephaly. Adequate folic acid intake reduces this risk significantly.
By week 4, the neural tube expands into three primary brain vesicles:
Prosencephalon (forebrain)
Mesencephalon (midbrain)
Rhombencephalon (hindbrain)
By week 5, these divide into five secondary vesicles:
Telencephalon \(\rightarrow\) cerebral hemispheres and basal ganglia
Diencephalon \(\rightarrow\) thalamus, hypothalamus, retina
Mesencephalon \(\rightarrow\) midbrain
Metencephalon \(\rightarrow\) pons and cerebellum
Myelencephalon \(\rightarrow\) medulla oblongata
Cells at the crest of the neural folds migrate extensively to form critical structures of the PNS, including sensory ganglia, autonomic ganglia, Schwann cells, melanocytes, adrenal medulla, and craniofacial structures.
Abnormal neural crest migration underlies diseases such as Hirschsprung’s disease, neuroblastoma, and multiple endocrine neoplasia type 2.
The neuron is the fundamental unit of the nervous system, specialized for receiving, processing, and transmitting information. It consists of:
Cell body (soma) – contains the nucleus and metabolic machinery.
Dendrites – receive signals from other neurons.
Axon – transmits electrical impulses to other neurons or effector cells.
Damage to neurons is often irreversible. For example, degeneration of motor neurons causes amyotrophic lateral sclerosis (ALS), while cortical neuron loss is central to Alzheimer’s disease.
Communication between neurons occurs at synapses using neurotransmitters — over 50 have been identified, regulating mood, thought, memory, and motor activity.
Neuroglia outnumber neurons and provide structural, metabolic, and immune support. They include:
Astrocytes – structural and metabolic support
Oligodendrocytes – myelination in the CNS
Schwann cells – myelination in the PNS
Microglia – immune surveillance
The spinal cord consists of 31 segments:
8 cervical
12 thoracic
5 lumbar
5 sacral
1 coccygeal
Each segment gives rise to paired spinal nerves. The spinal cord ends around the L1–L2 vertebral level in adults, forming the conus medullaris and cauda equina.
GSA – General somatic afferents: pain, temperature, touch, proprioception
GVA – General visceral afferents: sensory input from viscera
GSE – General somatic efferents: motor control of skeletal muscle
GVE – General visceral efferents: autonomic motor output
The brain is organized into four major lobes:
Frontal Lobe: attention, cognition, voluntary movement, speech
Parietal Lobe: sensory integration, spatial awareness, praxis
Temporal Lobe: memory, hearing, language comprehension
Occipital Lobe: visual processing
The neocortex has six histological layers, each specialized for different functions, from input reception to output projection.
Midbrain: eye movement control and reflexes
Pons: relay of motor and sensory signals, facial movement
Medulla: regulation of autonomic functions such as respiration and swallowing
The cerebellum coordinates balance, posture, and motor learning. It connects to the brainstem via three cerebellar peduncles and communicates with the cortex, spinal cord, and vestibular system.
Neurophysiology is the study of the electrical, chemical, and functional properties of neurons and neural circuits. It encompasses how neurons generate and propagate electrical signals, communicate via chemical synapses, and integrate information to produce coordinated responses in the nervous system.
The resting membrane potential is the electrical potential difference across the neuronal membrane when the neuron is not actively transmitting signals. It arises from ionic gradients established by selective permeability of the membrane to ions and the activity of the sodium-potassium (Na+/K+) pump. The pump actively transports 3 Na+ ions out and 2 K+ ions into the cell, maintaining high intracellular K+ and low Na+ concentrations. Typically, the resting membrane potential is about -70 mV, with the inside of the neuron being negative relative to the outside. This polarized state is crucial for neuronal excitability and the generation of action potentials.
The pump actively transports 3 Na+ ions out and 2 K+ ions into the cell, maintaining high intracellular K+ and low Na+ concentrations. This activity is essential for maintaining the resting membrane potential and the ionic gradients necessary for neuronal function.
An action potential is a rapid, transient change in the membrane potential that allows neurons to transmit signals over long distances. It consists of several phases involving voltage-gated ion channels:
Depolarization: Voltage-gated Na+ channels open, allowing Na+ influx, causing the membrane potential to become more positive.
Repolarization: Voltage-gated K+ channels open, allowing K+ efflux, restoring the negative membrane potential.
Hyperpolarization: The membrane potential temporarily becomes more negative than the resting potential due to prolonged K+ channel opening.
These phases ensure unidirectional propagation of the nerve impulse and proper neuronal signaling.
These phases ensure unidirectional propagation of the nerve impulse and proper neuronal signaling.
Synaptic transmission is the process by which neurons communicate with each other or with effector cells. In the presynaptic neuron, an action potential triggers the release of neurotransmitters stored in vesicles into the synaptic cleft. These chemical messengers diffuse across the cleft and bind to specific receptors on the postsynaptic membrane, leading to either excitation or inhibition of the postsynaptic neuron.
Excitatory synapses typically depolarize the postsynaptic membrane, increasing the likelihood of an action potential, whereas inhibitory synapses hyperpolarize the membrane, reducing excitability.
Major neurotransmitters involved in neurophysiology include:
Glutamate: The primary excitatory neurotransmitter in the central nervous system.
GABA (Gamma-Aminobutyric Acid): The main inhibitory neurotransmitter.
Acetylcholine: Involved in neuromuscular junction signaling and autonomic nervous system functions.
Dopamine: Modulates reward, motivation, and motor control.
Serotonin: Regulates mood, appetite, and sleep.
Norepinephrine: Influences attention, arousal, and the stress response.
Neuromodulation and synaptic plasticity refer to the processes by which neurotransmitters and other chemical modulators alter the strength and efficacy of synaptic transmission, contributing to learning, memory, and adaptive neural responses.
Neural integration refers to the processing of multiple synaptic inputs by a neuron, involving mechanisms such as summation (both spatial and temporal), inhibition, and modulation.
Neural circuits incorporate feedback and feedforward loops to regulate signal flow and maintain homeostasis. These complex interactions allow for refined control of neuronal output and underlie behaviors and reflexes.
Characterized by abnormal, excessive neuronal excitability and synchronization.
An autoimmune disorder affecting acetylcholine receptors at the neuromuscular junction.
Involves degeneration of dopaminergic neurons, leading to motor dysfunction.
Demyelination impairs action potential conduction in neurons.
Understanding neurophysiology is essential for diagnosing and developing treatments for these conditions.
Lumbar puncture is a fundamental diagnostic procedure used to obtain cerebrospinal fluid (CSF) for analysis.
Suspected meningitis or encephalitis
Multiple sclerosis (MS) diagnosis and monitoring
Subarachnoid hemorrhage when CT is inconclusive
Guillain-Barré syndrome and other inflammatory neuropathies
Diagnosis of certain malignancies involving the CNS
The procedure is typically performed at the L3–L4 interspace, below the termination of the spinal cord (conus medullaris), to minimize risk of cord injury. The patient is positioned either in the lateral decubitus position with knees drawn to chest or sitting with the back flexed to open the intervertebral spaces. After aseptic preparation and local anesthesia, a spinal needle is inserted midline or paramedian until the subarachnoid space is reached, confirmed by free flow of CSF.
Raised intracranial pressure (ICP) with risk of cerebral herniation
Local infection at the puncture site
Coagulopathy or bleeding diathesis
Severe spinal deformities or previous spinal surgery complicating access
Cell count and differential: Elevated white cells suggest infection or inflammation.
Protein: Elevated in infections, inflammation, and blood–brain barrier disruption.
Glucose: Low in bacterial or fungal infections.
Oligoclonal bands and IgG index: Indicative of intrathecal immunoglobulin synthesis, useful in MS.
Xanthochromia: Indicates subarachnoid hemorrhage.
Always check for contraindications before performing LP to avoid catastrophic herniation.
Proper patient positioning improves success and reduces complications.
Traumatic tap can mimic subarachnoid hemorrhage; xanthochromia helps differentiate.
Timing of LP relative to symptom onset affects diagnostic yield, especially in infections.
EMG and NCS are electrodiagnostic tools that assess the electrical activity of muscles and the conduction velocity of peripheral nerves.
Nerve Conduction Studies: Measure the speed and amplitude of electrical signals traveling along peripheral nerves.
Electromyography: Records electrical activity produced by skeletal muscles at rest and during contraction.
Diagnosis of peripheral neuropathies (e.g., diabetic neuropathy, entrapment neuropathies)
Differentiation between myopathies and neuropathies
Identification of motor neuron disease
Evaluation of neuromuscular junction disorders
Demyelinating neuropathies show slowed conduction velocities, prolonged distal latencies, and conduction block.
Axonal neuropathies present with reduced amplitudes of compound muscle action potentials (CMAPs) and sensory nerve action potentials (SNAPs) with relatively preserved conduction velocity.
EMG/NCS are operator-dependent; interpretation requires clinical correlation.
Early in disease, findings may be normal; repeat testing can be necessary.
Temperature and limb position affect conduction velocities—standardize conditions.
Avoid testing muscles with severe atrophy or fibrosis for accurate EMG results.
EEG records the electrical activity of the cerebral cortex via scalp electrodes.
Diagnosis and classification of seizures and epilepsy
Evaluation of encephalopathies and altered mental status
Prognostication in coma and brain death assessment
Normal EEG rhythms include alpha, beta, theta, and delta waves, each with characteristic frequency and distribution.
Epileptiform discharges such as spikes, sharp waves, and spike-and-wave complexes indicate cortical irritability.
Background slowing suggests diffuse cerebral dysfunction.
A normal EEG does not exclude epilepsy; sensitivity improves with sleep deprivation or prolonged monitoring.
Artifacts (e.g., muscle, eye movements) can mimic pathological findings.
EEG changes can be nonspecific; correlate with clinical context.
Some seizure types (e.g., absence seizures) have characteristic EEG patterns aiding diagnosis.
Peripheral nerves (commonly median or posterior tibial nerves) are electrically stimulated, and the resulting cortical and subcortical responses are recorded via scalp electrodes.
Detection of demyelination and conduction block in multiple sclerosis
Assessment of spinal cord lesions and monitoring during spinal surgery
Evaluation of sensory pathway integrity in coma or brain death
Latency delays and amplitude reductions indicate conduction abnormalities. Bilateral abnormalities suggest diffuse pathology.
SSEPs are sensitive to technical factors; electrode placement and patient cooperation are critical.
They do not assess all sensory modalities; clinical correlation is necessary.
Can be used intraoperatively to prevent neurological injury.
Normal SSEPs do not rule out all spinal cord diseases, especially those affecting motor pathways.
Pattern-reversal or flash stimuli are presented to the eyes, and the resulting cortical potentials are recorded from occipital scalp electrodes.
Diagnosis and monitoring of optic neuritis
Detection of subclinical demyelination in multiple sclerosis
Evaluation of unexplained visual loss
Normal VEPs show consistent latency and amplitude of the P100 wave.
Prolonged latency indicates demyelination of the optic nerve.
Reduced amplitude may reflect axonal loss or severe conduction block.
VEP abnormalities may precede clinical symptoms in MS.
Poor patient cooperation or visual acuity can affect results.
VEPs are not specific for etiology; findings must be interpreted in clinical context.
Repeated testing can track disease progression or response to therapy.
Auditory clicks are delivered via earphones, and the resulting electrical activity is recorded from scalp electrodes. The waveform consists of several peaks corresponding to neural generators along the auditory pathway.
Detection of acoustic neuromas and other cerebellopontine angle tumors
Assessment of brainstem lesions and auditory pathway dysfunction
Intraoperative monitoring during posterior fossa surgery
Evaluation of hearing in infants and difficult-to-test patients
Latency and amplitude of waves I through V are analyzed. Prolonged interpeak latencies may indicate demyelination or compression. Absence of waves suggests severe dysfunction.
BAER testing is highly sensitive to peripheral hearing loss; audiologic evaluation is complementary.
Sedation and patient state can affect recordings.
Early detection of acoustic neuroma can guide management before clinical symptoms appear.
Interpretation requires knowledge of normal age-related changes.
This test assesses cardiovagal (parasympathetic) function. Vagal tone slows heart rate during inspiration and increases it during expiration. Impaired responses occur in parasympathetic dysfunction, cardiac disease, or due to medications.
Patient takes 6 deep breaths per minute while HR is monitored.
Normal variation: \(>15\)–\(20\) bpm under 20 years, \(>5\)–\(8\) bpm over
Response is blocked by atropine.
Tests baroreflex-mediated sympathetic and parasympathetic function. BP and HR responses are divided into four phases:
Phase I: Mechanical rise in BP and reflex bradycardia.
Phase II: Early BP fall with tachycardia (parasympathetic withdrawal), followed by late BP recovery (sympathetic vasoconstriction).
Phase III: Mechanical BP fall at end of expiration.
Phase IV: BP overshoot and reflex bradycardia (baroreflex intact).
Valsalva Ratio = maximal tachycardia (Phase II) / maximal bradycardia (Phase IV). Normal \(>1.2\).
Evaluates sympathetic and parasympathetic responses to orthostatic stress. Useful in diagnosing neurogenic orthostatic hypotension, POTS, and vasovagal syncope.
Assesses hypothalamic-sympathetic-sweat gland pathway. Performed in a temperature-controlled environment with alizarin red powder, which changes color with sweating. Identifies patterns of sweat loss in autonomic neuropathies.
Uses acetylcholine iontophoresis to stimulate postganglionic sympathetic fibers. Reduced sweat output indicates postganglionic sudomotor dysfunction.
Combine multiple autonomic tests for comprehensive assessment.
Medication effects (e.g., beta-blockers, anticholinergics) can alter test results.
Age-adjusted normative data must be used when interpreting results.
Sudomotor testing complements cardiovascular tests in distinguishing pre- vs. postganglionic lesions.
Neuroimaging plays a pivotal role in the diagnosis, localization, and management of neurological disorders. The two most widely used modalities are Computed Tomography (CT) and Magnetic Resonance Imaging (MRI). Each offers distinct advantages depending on clinical context and urgency.
Computed Tomography (CT) provides rapid cross-sectional imaging of the brain using X-rays, making it the investigation of choice in emergency neurological settings such as acute stroke, head trauma, or altered sensorium.
Key Features:
Excellent for detecting acute hemorrhage, large infarcts, and mass effect
Useful for assessing skull fractures and ventricular enlargement
Contrast-enhanced CT helps identify tumors, abscesses, and vascular lesions
Advantages:
Fast and widely available
Excellent for acute and emergency assessment
Compatible with ventilated or unstable patients
Limitations:
Involves ionizing radiation
Lower sensitivity for posterior fossa and small ischemic lesions
Limited soft tissue contrast compared to MRI
MRI provides high-resolution images using magnetic fields and radiofrequency pulses, making it the modality of choice for most neurological diseases.
Key Sequences:
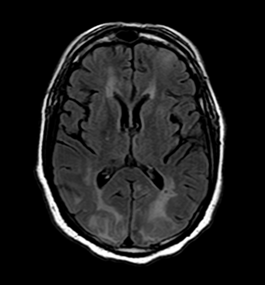
T1-weighted: anatomy, structural detail, post-contrast imaging
T2-weighted: edema, inflammation, and demyelination
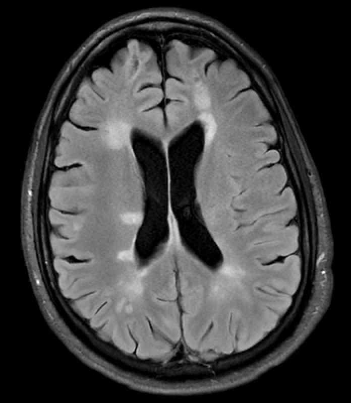
FLAIR: suppresses CSF to highlight periventricular lesions (e.g., MS)
DWI/ADC: detects acute ischemia
SWI: sensitive to blood products and calcification
Advantages:
Superior soft tissue contrast
No ionizing radiation
Sensitive to early ischemic changes and demyelinating lesions
Limitations:
Longer scan time and motion sensitivity
Contraindicated in patients with certain metallic implants or pacemakers
More expensive and less accessible in emergency settings
CT: acute hemorrhage, skull fractures, hydrocephalus, calcifications
MRI: multiple sclerosis, tumors, ischemic stroke, encephalitis, demyelination
CT Angiography / MR Angiography: vascular assessment
Always perform a CT before lumbar puncture if raised intracranial pressure or mass lesion is suspected.
MRI with contrast enhances sensitivity for tumors and infections.
Diffusion-weighted MRI is the most sensitive modality for early stroke detection.
A thorough neurological examination is the cornerstone of diagnostic neurology. It provides essential clinical information that cannot be fully replaced by imaging or laboratory testing. This section outlines a structured, stepwise approach to performing the neurological examination, emphasizing practical technique, interpretation, and clinical relevance.
Ensure the patient is comfortable, awake, and oriented if possible.
Perform the examination in a well-lit, quiet room with space for gait and coordination testing.
Gather essential tools: reflex hammer, tuning fork (128 Hz), cotton wisp, safety pin, ophthalmoscope, Snellen or Jaeger chart, and penlight.
A comprehensive neurological examination is usually performed in the following order:
Higher Mental Functions
Cranial Nerves
Motor System
Reflexes
Sensory System
Coordination
Gait and Stance
Start with casual conversation to assess orientation, attention, and language informally.
Use standardized tools such as the Mini-Mental State Examination (MMSE) or Montreal Cognitive Assessment (MoCA) when indicated.
| Domain | Assessment |
|---|---|
| Orientation | Ask date, time, location, person |
| Attention | Digit span, serial 7s |
| Language | Naming, repetition, fluency, comprehension |
| Memory | Immediate recall, delayed recall, remote memory |
| Calculation | Serial subtraction, basic arithmetic |
| Abstract Thinking | Similarities, proverb interpretation |
| Judgment | Real-life scenarios |
Transitioning from mental functions, the next step is to assess the cranial nerves systematically.
Each cranial nerve (I–XII) is tested systematically in a quiet, well-lit environment.
| Nerve | Function | How to Test |
|---|---|---|
| I | Olfaction | Identify familiar odors |
| II | Vision | Visual acuity, fields, fundus exam |
| III, IV, VI | Eye movements | EOMs, pupil size/reactivity |
| V | Facial sensation, mastication | Light touch/pinprick, jaw strength |
| VII | Facial muscles | Facial expressions, eye closure |
| VIII | Hearing, balance | Whisper test, tuning fork |
| IX, X | Palate, gag, phonation | Gag reflex, uvula symmetry, voice |
| XI | SCM and trapezius | Shoulder shrug, head rotation |
| XII | Tongue movement | Tongue protrusion, fasciculations |
Next, evaluate the motor system to assess muscle bulk, tone, and power.
| Grade | Description |
|---|---|
| 0 | No contraction |
| 1 | Flicker or trace contraction |
| 2 | Movement possible with gravity eliminated |
| 3 | Movement against gravity but not resistance |
| 4 | Movement against resistance but less than normal |
| 5 | Normal strength |
Following motor assessment, reflex testing provides important information about the integrity of the nervous system.
Test with a reflex hammer while ensuring muscle relaxation.
| Grade | Meaning |
|---|---|
| 0 | Absent |
| 1+ | Diminished |
| 2+ | Normal |
| 3+ | Brisk |
| 4+ | Clonus |
Common reflexes: Biceps (C5–6), Triceps (C7–8), Brachioradialis (C5–6), Patellar (L3–4), Achilles (S1).
Stroke the lateral sole of the foot; an upgoing great toe (Babinski sign) suggests an upper motor neuron lesion.
Next, sensory examination evaluates both primary and cortical modalities.
Compare both sides and test distal to proximal regions.
Map dermatomal or peripheral nerve distributions when indicated.
Coordination testing follows sensory examination to assess cerebellar function.
Finger-to-nose and heel-to-shin for limb coordination.
Rapid alternating movements for dysdiadochokinesia.
Observe for tremor, ataxia, or intention errors.
Finally, gait and stance assessment provides insight into balance and motor control.
Observe normal, heel, toe, and tandem gait.
Perform Romberg test (eyes closed stance).
Tandem stance can reveal subtle balance deficits.
| Domain | Key Tests | Findings of Interest |
|---|---|---|
| Mental Status | Orientation, memory, language | Cognitive impairment, aphasia |
| Cranial Nerves | I–XII | Visual field loss, facial palsy, dysarthria |
| Motor System | Tone, power, involuntary movements | UMN vs LMN signs, fasciculations |
| Reflexes | DTRs, plantar response | Hyperreflexia, clonus, Babinski |
| Sensory | Pinprick, vibration, cortical tests | Sensory level, neuropathy pattern |
| Coordination | Finger-nose, heel-shin | Cerebellar dysfunction, tremor |
| Gait | Heel/toe/tandem, Romberg | Ataxia, parkinsonian gait, sensory loss |
Document findings systematically under each domain. Use numeric grading (e.g., reflexes, strength, MoCA score) for reproducibility and comparison over time.
A structured neurological examination remains a powerful diagnostic tool. Mastery of these techniques — performed consistently and interpreted thoughtfully — enables clinicians to localize lesions, refine differential diagnoses, and guide investigations effectively.
A 62-year-old man is brought to the emergency department by his wife after suddenly becoming unable to recall events of the past several hours. He repeatedly asks the same questions, is oriented to person and place, but not to time, and has no recollection of how they arrived at the hospital. He has no weakness, speech disturbance, or seizure activity. The episode began abruptly about two hours ago after a stressful family argument. Neurological examination is otherwise normal, and there is no history of head trauma or substance use.
Transient global amnesia
Transient ischemic attack or hippocampal stroke
Psychogenic (dissociative) amnesia
Toxic/metabolic encephalopathy
Transient epileptic amnesia
Evaluation begins by confirming the onset, duration, and nature of memory loss. A focused examination helps differentiate transient global amnesia (TGA) from vascular, epileptic, or metabolic causes. The five most informative physical examination findings are:
Orientation and attention – assess for confusion or impaired awareness suggesting global encephalopathy rather than isolated amnesia.
Memory testing – repeat immediate and delayed recall tasks (e.g., three-word recall) to document anterograde amnesia and recovery pattern.
Cranial nerve and visual field testing – identify subtle posterior circulation deficits or hippocampal involvement.
Motor and coordination testing – check for weakness, ataxia, or asymmetry that would suggest stroke.
Cardiovascular and fundoscopic examination – evaluate for hypertension, arrhythmias, or carotid bruits that may indicate vascular risk.
These bedside findings, combined with MRI (hippocampal DWI lesions) and metabolic screening, guide differentiation between TGA and other etiologies such as seizure, stroke, or toxic-metabolic causes.
| History | Examination | Laboratory | Diagnostics | Diagnosis |
|---|---|---|---|---|
|
|
|
|
|
TGA is characterized by sudden-onset anterograde amnesia with preserved identity and language.
Episodes typically resolve within 24 hours and recurrence is rare.
Emotional or physical triggers often precede the event.
MRI with DWI may show transient hippocampal lesions but can be normal early.
Differentiation from seizure, stroke, and toxic or psychogenic causes is essential.
A 68-year-old right-handed person develops sudden difficulty producing words and understanding complex sentences over the course of one hour. Family members notice frequent word substitutions and hesitations during spontaneous speech. There is no head trauma. Past history includes hypertension and hyperlipidemia. No prior seizures are known. On arrival, the patient is alert and follows simple commands but struggles with naming and repeating phrases. Facial symmetry is preserved; there is slight right-arm clumsiness reported by the patient but no objective weakness on brief screening.
Ischemic stroke in the dominant middle cerebral artery (MCA) territory
Primary progressive aphasia (nonfluent, semantic, or logopenic variants)
Post-ictal (or ictal) aphasia related to focal seizures
Brain tumor involving the dominant perisylvian/language network
Autoimmune or infectious encephalitis affecting language networks
Establish whether the language disturbance is acute, subacute, or progressive. Acute onset with vascular risk factors suggests ischemic stroke; gradual progression points to neurodegenerative disease. The five most informative physical examination findings are:
Speech fluency: Assess spontaneous speech for word-finding pauses, effortful output, or jargon.
Comprehension: Test ability to follow simple and complex commands.
Repetition: Have the patient repeat short and long phrases to identify conduction or global aphasia.
Naming: Evaluate confrontation naming (e.g., objects or pictures) to distinguish Broca from anomic aphasia.
Associated neurological signs: Examine for right facial or limb weakness, sensory loss, or visual field defects suggesting dominant MCA stroke.
Supporting tests include glucose, CBC, and coagulation studies in acute presentations, thyroid and B12 for chronic cases, and MRI with DWI or CT angiography to confirm vascular etiology. EEG or CSF studies are considered for seizure, autoimmune, or infectious causes.
| History | Examination | Laboratory | Diagnostics | Diagnosis |
|---|---|---|---|---|
|
|
|
|
|
Rapidly differentiate aphasia from dysarthria and apraxia of speech by systematically evaluating fluency, comprehension, naming, and repetition.
Acute onset of aphasia, especially with vascular risk factors, is a stroke emergency—initiate urgent neuroimaging and reperfusion assessment.
Always determine the time course: abrupt onset suggests vascular etiology; progressive decline points to neurodegenerative disease; fluctuating symptoms may indicate seizures.
Localizing the specific aphasia type (e.g., Broca, Wernicke, conduction, global) helps infer lesion site and guides management.
Consider non-vascular causes (seizures, tumors, encephalitis, metabolic or toxic etiologies) in atypical presentations or when imaging is unrevealing.
A 72-year-old right-handed male develops difficulty performing daily activities over several weeks. He can describe how to use a comb or a toothbrush but fumble when asked to demonstrate these actions on command. Family notes dressing difficulties (misplacing sleeves), trouble imitating simple gestures, and occasional left–right confusion. There is no new weakness, numbness, or vertigo. On brief screening, speech remains fluent without dysarthria, and motor strength is preserved, but purposive actions break down during tool-use pantomime or multistep gesture sequencing.
Apraxia (dominant praxis network disorder)
Ideational or ideomotor apraxia subtypes
Callosal disconnection syndrome
Constructional or dressing apraxia
Corticobasal syndrome or Alzheimer spectrum neurodegeneration
A focused neurological examination helps distinguish apraxia from motor, sensory, or language deficits. The goal is to confirm impaired praxis and localize the lesion within the dominant parietofrontal network. The five most informative physical examination tests are:
Gesture to command– ask the patient to pantomime tool use (e.g., “show me how you use a comb”). Poor performance on command with preserved imitation suggests ideomotor apraxia.
Gesture imitation – demonstrate a symbolic or tool-related gesture for the patient to copy. Failure of imitation despite comprehension suggests more widespread praxis impairment.
Actual tool use – provide common tools and observe for sequencing errors, misuse, or hesitation; failure of multistep actions suggests ideational apraxia.
Constructional and dressing tasks – have the patient copy simple figures or dress themselves to identify visuospatial and motor planning deficits.
Assessment of intermanual asymmetry – test each hand separately to detect callosal disconnection (e.g., left-hand errors to verbal command with intact right-hand performance).
Additional assessments include language testing to exclude aphasia, visuospatial tasks (line bisection, cancellation) to rule out neglect, and executive testing for sequencing ability. MRI of the brain (DWI/FLAIR) localizes lesions in the inferior parietal lobule, premotor/supplementary motor areas, or corpus callosum. FDG-PET may show network hypometabolism in degenerative disease, and neuropsychological testing quantifies praxis and associated cognitive deficits.
| History | Examination | Laboratory | Diagnostics | Diagnosis |
|---|---|---|---|---|
|
|
|
|
|
Apraxia is a disorder of learned purposeful movement not explained by weakness, sensory loss, or incoordination.
Differentiate apraxia from aphasia, neglect, and executive dysfunction by testing gesture imitation and tool-use pantomime.
Common subtypes include ideomotor, ideational, limb-kinetic, callosal, and constructional/dressing apraxia.
Diagnostic clues include impaired pantomime on command with preserved imitation, multistep sequencing errors, and visuospatial deficits.
Frequent causes are stroke (dominant MCA or corpus callosum), neurodegenerative diseases (corticobasal syndrome, Alzheimer spectrum), neoplasm, and autoimmune or infectious processes.
A 58-year-old individual presents with a one-year history of progressively worsening unsteadiness while walking and frequent tripping. They report increasing difficulty with fine motor tasks such as buttoning shirts and handwriting. There is no history of dizziness, vertigo, or sensory disturbances. The symptoms have insidiously developed without any acute episodes or identifiable triggers. The patient denies alcohol use or exposure to neurotoxins and has no known family history of neurological disorders. Daily activities have become limited due to concerns about balance and coordination.
Sensory ataxia secondary to peripheral neuropathy
Vestibular dysfunction
Cerebellar ataxia (degenerative or hereditary)
Normal pressure hydrocephalus
Vitamin deficiency (e.g., B12, E)
Evaluation begins with a comprehensive neurological examination to distinguish sensory, vestibular, and cerebellar causes of ataxia.
Five most important physical examination findings include
Proprioception and Romberg Test: Impaired proprioception or a positive Romberg test indicates sensory ataxia.
Nystagmus or Vertigo: Presence of these findings suggests vestibular dysfunction.
Limb Coordination: Dysmetria on finger–nose and heel–knee–shin testing is characteristic of cerebellar ataxia.
Gait Assessment: A wide-based, staggering gait pattern is typical of cerebellar disease.
Speech Evaluation: Dysarthria or scanning speech reflects cerebellar involvement.
Laboratory testing should include evaluation for metabolic and nutritional deficiencies such as vitamin B12 and vitamin E. Brain MRI is essential to identify cerebellar atrophy, demyelination, or structural lesions. If peripheral and vestibular causes are excluded and MRI demonstrates cerebellar degeneration, a diagnosis of cerebellar ataxia is most consistent. Hereditary or degenerative etiologies should be explored with family history and genetic testing. Normal pressure hydrocephalus should be considered if gait disturbance is accompanied by urinary incontinence and cognitive decline, supported by imaging findings.
| History | Examination | Laboratory | Diagnostics | Diagnosis |
|---|---|---|---|---|
|
|
|
|
|
Ataxia can arise from sensory, vestibular, or cerebellar dysfunction; careful clinical evaluation distinguishes these.
Sensory ataxia is characterized by impaired proprioception and absent reflexes, often due to peripheral neuropathy.
Vestibular ataxia typically presents with vertigo and nystagmus.
Cerebellar ataxia involves incoordination and dysmetria, with preserved sensation and reflexes.
Vitamin deficiencies (B12, E) and normal pressure hydrocephalus are reversible causes and should be investigated.
A 52-year-old person develops subacute, progressive, involuntary writhing movements of the fingers and hands that now interfere with handwriting and utensil use. Family observes intermittent facial grimacing and fluctuations with stress and fatigue. Strength, sensation, and coordination are intact, but movements persist at rest and worsen with posture and action. There is a remote history of mood changes.
Huntington-spectrum neurodegeneration
Wilson disease
Autoimmune chorea/dyskinesia (e.g., lupus, Sydenham, post–COVID/other)
Structural basal ganglia lesion (lacunar stroke, tumor, demyelination)
Drug-induced dyskinesia (levodopa, antipsychotics), metabolic/toxic
Start with a targeted bedside exam to confirm athetosis and localize within the basal ganglia network. Five most informative physical examination tests:
Movement phenomenology: Characterize quality and distribution—slow, sinuous distal writhing favors athetosis; chorea is faster/irregular; dystonia shows sustained patterned postures. Confirm persistence at rest and worsening with posture/action.
Activation/suppressibility maneuvers: Test distractibility, entrainment, and voluntary suppression to identify functional overlay or psychogenic features.
Extrapyramidal signs: Assess rigidity, bradykinesia, postural instability, and look for coexisting chorea or dystonia to support basal ganglia involvement and mixed phenotypes.
Oculomotor and orofacial exam: Check for saccadic intrusions, impaired pursuits, and orobuccal dyskinesias—clues to Huntington spectrum disorders.
Systemic/neurologic clues: Slit lamp for Kayser Fleischer rings; distal sensory exam and reflexes for peripheral neuropathy; patterned dystonic postures features suggesting Wilson disease or neuroacanthocytosis.
In addition to the physical examination, basic laboratory studies (CMP, thyroid, B12, copper studies) and brain MRI are essential to identify metabolic or structural causes. MRI often reveals basal ganglia signal change or atrophy, and additional imaging such as FDG-PET or DAT scans may assist in distinguishing degenerative or dopaminergic etiologies.
| History | Examination | Laboratory | Diagnostics | Diagnosis |
|---|---|---|---|---|
|
|
|
|
|
Athetosis presents as slow, writhing distal limb movements persisting at rest and worsening with action.
Differentiate from chorea (faster, irregular), dystonia (sustained postures), tremor, and myoclonus by movement quality and pattern.
Common causes include Huntington disease, Wilson disease, neuroacanthocytosis, autoimmune, metabolic, structural, and drug-induced etiologies.
Family history and subacute onset suggest hereditary or autoimmune causes; abrupt focal onset favors structural lesions.
Kayser–Fleischer rings and peripheral neuropathy are key clues for Wilson disease and neuroacanthocytosis.
A 68-year-old man presents with gradually worsening slowness of movement over the past year. He notices increasing difficulty initiating movements, taking longer to complete daily activities, and smaller handwriting. Family members report reduced facial expression and decreased arm swing while walking. There is no history of recent stroke, new medications, or toxin exposure. Neurological examination is otherwise unremarkable aside from movement slowness.
Idiopathic Parkinson’s disease
Atypical parkinsonism (MSA, PSP, CBD, DLB)
Vascular parkinsonism
Drug-induced parkinsonism
Normal pressure hydrocephalus
Evaluation of bradykinesia centers on targeted physical examination to characterize movement slowness, symmetry, associated features, and functional impact. Five most important physical examination assessments:
Finger tapping and hand opening/closing: Assess speed, amplitude, and decrement with repetition — core bedside tests for bradykinesia.
Tone and rigidity testing: Examine for cogwheel or lead-pipe rigidity in wrists and elbows to differentiate Parkinsonian from spastic tone.
Postural and gait evaluation: Observe arm swing, stride length, and turning; reduced arm swing and shuffling gait suggest parkinsonism.
Facial expression and voice: Look for hypomimia and hypophonia, which commonly accompany idiopathic Parkinson’s disease.
Eye movements and postural stability: Vertical gaze limitation points to PSP, while early falls and poor postural reflexes suggest atypical parkinsonism.
In addition, basic labs (CBC, CMP, thyroid, ceruloplasmin) and brain MRI help rule out vascular or metabolic causes, while DAT-SPECT or PET imaging aids in confirming dopaminergic deficit and differentiating idiopathic from atypical parkinsonism.
| History | Examination | Laboratory | Diagnostics | Diagnosis |
|---|---|---|---|---|
|
|
|
|
|
Differentiating idiopathic Parkinson’s disease from atypical causes is critical for prognosis and management.
Asymmetric onset, presence of tremor, and good levodopa responsiveness strongly suggest idiopathic Parkinson’s disease.
Early falls, vertical gaze palsy, and autonomic failure are important clues pointing towards atypical parkinsonism.
Vascular parkinsonism often presents with a lower-body predominance and a stepwise clinical course.
DAT-SPECT imaging and careful clinical follow-up are valuable in cases where diagnosis is uncertain.
A 45-year-old man presents with a 2-year history of involuntary, irregular, dance-like movements involving his limbs and face. His wife reports progressive difficulty with memory, concentration, and mood swings, including irritability and depression. There is a family history of similar movements and early dementia in his father. Neurological examination reveals choreiform movements, mild rigidity, and impaired executive function. Genetic testing confirms an expanded CAG repeat in the HTT gene, consistent with Huntington’s disease.
Huntington’s disease (genetic)
Sydenham’s chorea (post-streptococcal autoimmune)
Drug-induced chorea (e.g., levodopa, antiepileptics)
Wilson’s disease (copper metabolism disorder)
Lupus erythematosus with neuropsychiatric involvement
The diagnostic approach to chorea begins with a detailed history emphasizing onset, tempo, family history, and neuropsychiatric features. Physical examination is central to identifying the underlying etiology. Five most important physical examination includes:
Observation of involuntary movements: Note distribution, amplitude, and character—irregular, unpredictable, flowing movements are classic for chorea.
Motor tone and strength assessment: Evaluate for accompanying rigidity or dystonia, which may indicate basal ganglia involvement or mixed movement disorders.
Eye movement examination: Look for saccadic intrusions or slow pursuit abnormalities, particularly suggestive of Huntington’s disease.
Cognitive and psychiatric screening: Brief bedside evaluation for executive dysfunction, irritability, or mood changes helps distinguish neurodegenerative from secondary causes.
Gait and balance testing: Assess for instability, fidgety gait, or choreiform truncal movements, which help gauge functional impact and disease severity.
Supporting investigations include serum ceruloplasmin and copper levels for Wilson’s disease, antistreptolysin O titers for Sydenham’s chorea, and autoimmune panels when systemic disease is suspected. MRI may show caudate nucleus atrophy in Huntington’s disease, and definitive confirmation requires HTT gene testing.
| History | Examination | Laboratory | Diagnostics | Diagnosis |
|---|---|---|---|---|
| Family history of chorea and dementia | Choreiform, non-rhythmic movements | Serum ceruloplasmin | MRI brain for basal ganglia changes | Huntington disease |
| Subacute onset after infection or autoimmune trigger | Associated psychiatric or cognitive changes | Autoimmune markers | CSF analysis if encephalitis suspected | Autoimmune chorea |
| History of pregnancy | Limb chorea resolving postpartum | Hormonal profile | MRI brain | Chorea gravidarum |
| History of neuroleptic use | Tardive movements, orofacial involvement | Drug levels if relevant | Imaging if secondary cause suspected | Drug-induced chorea |
| Childhood onset with systemic involvement | Kayser–Fleischer rings | Liver function, copper, ceruloplasmin | MRI basal ganglia | Wilson disease |
Chorea is a hallmark of several neurologic and systemic disorders; onset pattern, family history, and associated features guide diagnosis.
Huntington’s disease should be considered in adult-onset cases with cognitive and psychiatric features.
Always exclude reversible causes like drug-induced chorea, Wilson’s disease, and autoimmune etiologies.
MRI and targeted laboratory testing help differentiate causes, but genetic testing is definitive for Huntington’s.
Management is supportive and multidisciplinary, including pharmacologic symptom control and psychological support.
A 72-year-old man is brought to the emergency department by his family for acute confusion and disorientation over the past 12 hours. He is unable to state the date or recognize family members, frequently repeats questions, and appears inattentive. Past medical history is notable for hypertension and type 2 diabetes. He is afebrile, vital signs are stable, and neurological examination shows no focal deficits. Laboratory tests reveal mild hyponatremia.
Delirium – acute, fluctuating course, impaired attention, reversible.
Dementia – chronic, progressive cognitive decline without fluctuation.
Metabolic encephalopathy – due to systemic derangements (e.g., hepatic, renal, electrolyte).
Toxic encephalopathy – due to medications, alcohol, or poisons.
Structural brain lesions – stroke, subdural hematoma, tumor causing acute cognitive change.
Confusion/ AMS is almost always secondary to non neurological causes and likely from metabolic or infectious processes. A focused history should clarify onset, course, and associated factors such as infection, trauma, or toxins. The five key physical examinations include:
Level of consciousness and arousal
Attention and orientation
Pupillary size and reactivity
Presence of meningeal or focal neurological signs
Signs of systemic illness (fever, dehydration, jaundice)
Laboratory studies should include CBC, electrolytes, renal and liver function, thyroid panel, glucose, and toxicology screen. Neuroimaging (CT/MRI) is indicated when structural pathology is suspected, while lumbar puncture is performed for possible CNS infection. EEG assists in detecting nonconvulsive status epilepticus or diffuse encephalopathy when the diagnosis remains uncertain.
| History | Examination | Laboratory | Diagnostics | Diagnosis |
|---|---|---|---|---|
|
|
|
|
|
Rapid differentiation between delirium, dementia, metabolic, toxic, and structural causes is critical for management.
Always rule out reversible causes (e.g., hypoglycemia, infection, electrolyte imbalance) early in the evaluation.
A thorough medication review is essential as polypharmacy is a common culprit.
EEG is useful for diagnosing nonconvulsive status epilepticus or diffuse encephalopathy when etiology is unclear.
More often that not, confusion is multifactorial, especially in elderly patients with comorbidities.
A 62-year-old man presents with sudden onset of double vision that worsens when he looks to the right. He denies headache, trauma, or vision loss. His past medical history includes hypertension and diabetes mellitus. On examination, his right eye fails to abduct past the midline, while other ocular movements are intact. Pupils are equal and reactive, and there are no sensory or motor deficits elsewhere.
CN VI palsy
CN III palsy
Myasthenia gravis
Thyroid eye disease
Internuclear ophthalmoplegia
Evaluation of diplopia begins with distinguishing monocular from binocular causes. A focused history should document onset, duration, variability, and associated neurological or systemic symptoms. The five most important physical examinations in diplopia include:
Assessment of ocular motility in all directions of gaze to identify paresis or restriction.CN VI palsy – horizontal diplopia, worse on lateral gaze.CN III palsy – ptosis, "down and out" eye, possible pupillary involvement.
Evaluation of pupil size and reactivity to detect compressive or parasympathetic involvement.Myasthenia gravis – fluctuating diplopia, fatigability, variable involvement.restrictive ophthalmopathy, proptosis.Internuclear ophthalmoplegia – failure of adduction with nystagmus of abducting eye.
Eyelid inspection for ptosis or fatigability suggesting myasthenia gravis.
Alignment testing (cover–uncover and alternate cover tests) to detect subtle deviations.
Observation for associated neurological signs such as facial weakness, sensory deficits, or ataxia indicating brainstem pathology.
Supporting investigations include thyroid function tests, acetylcholine receptor antibodies, and inflammatory markers if systemic disease is suspected. MRI or CT of the brain and orbits is warranted to evaluate for structural, demyelinating, or orbital causes.
| History | Examination | Laboratory | Diagnostics | Diagnosis |
|---|---|---|---|---|
|
|
|
|
|
Always distinguish monocular from binocular diplopia—monocular causes are rarely neurological and often ocular (e.g., lens or corneal pathology).
Binocular diplopia that varies with gaze direction suggests extraocular muscle or cranial nerve involvement; associated neurological symptoms may indicate brainstem or systemic disease.
Isolated, pupil-sparing cranial nerve palsies in patients with vascular risk factors is usually due to microvascular ischemia of the nerve. It can be observed, but urgent imaging is warranted if there is pupil involvement, pain, or additional deficits.
Myasthenia gravis and thyroid eye disease are common mimics; consider variability, fatigability, and systemic features.
Beware of "occult" trauma, orbital pathology, or giant cell arteritis (in older adults) when symptoms are atypical or accompanied by pain.
A 55-year-old woman develops brief spinning when rolling over in bed or looking up. Episodes last <1 minute with nausea but no hearing loss, headache, or focal neurological symptoms. Between attacks she is normal, but Dix-Hallpike provokes vertigo with torsional upbeat nystagmus.
Clarify whether symptoms are vertigo, presyncope, or imbalance; note timing (acute vs episodic), triggers (position, standing), hearing changes, migraine history, and vascular risk factors. The five most important examinations include:
Baseline labs (glucose, electrolytes) can exclude metabolic triggers. Audiometry is indicated if hearing loss accompanies vertigo. MRI brain with diffusion and vascular imaging is warranted when central signs or red flags are present.
| History | Examination | Laboratory | Diagnostics | Diagnosis |
|---|---|---|---|---|
|
|
|
|
|
|
|
|
|
|
|
|
|
|
|
A 65-year-old man with a history of hypertension presents with slurred speech for two days. His wife reports that he is otherwise alert and understands speech normally. There is no history of confusion, word-finding difficulty, or limb weakness. On examination, his speech is slow and effortful, with preserved comprehension and naming. Cranial nerve exam reveals right-sided tongue deviation.
Stroke involving corticobulbar pathways
Motor neuron disease (e.g., ALS)
Cerebellar ataxia
Myasthenia gravis or neuromuscular junction disorders
Brainstem tumor or demyelinating disease (e.g., MS)
Begin with a detailed history to determine onset, tempo, and associated neurological symptoms. Sudden onset suggests a vascular event, while gradual progression indicates a degenerative or neoplastic process. The five most important physical examinations in dysarthria include:
Speech quality and articulation — classify spastic, flaccid, ataxic, hypokinetic/hyperkinetic, or mixed features.
Cranial nerve examination (V, VII, IX, X, XII) — assess facial symmetry, palatal movement, and tongue strength/deviation.
Gag reflex and palatal elevation — identify bulbar involvement and risk of aspiration.
Fatigability testing — look for fluctuation with repeated counting or sustained phonation to assess neuromuscular junction disorders.
Screen for associated limb or cerebellar signs — check dysmetria, ataxic gait, or UMN signs that refine localization.
Laboratory evaluation and imaging are guided by clinical findings: MRI of the brain and brainstem for structural causes, and EMG/nerve conduction studies when neuromuscular disease is suspected.
| History | Examination | Laboratory | Diagnostics | Diagnosis |
|---|---|---|---|---|
|
|
|
|
|
Dysarthria is a motor speech disorder due to impaired muscle control of the speech apparatus.
Comprehension and language content are intact, differentiating it from aphasia.
It can result from supranuclear, nuclear, or peripheral lesions involving corticobulbar tracts, brainstem nuclei, or cranial nerves.
It may be associated with other brainstem signs or motor deficits depending on the lesion site.
Careful speech analysis (rate, rhythm, articulation) can help localize the lesion.
A 58-year-old woman with schizophrenia treated with a dopamine receptor–blocking agent (DRBA) for many years presents with involuntary, repetitive orobuccolingual movements. Her family notes chewing motions, tongue protrusions, and lip smacking that worsen with stress and diminish during sleep. She denies rigidity or bradykinesia. On examination, there are choreoathetoid movements of the face and distal upper limbs with intermittent trunk swaying. Strength, reflexes, and sensation are normal.
Tardive dyskinesia (drug-induced)
Drug-induced parkinsonism
Huntington disease (chorea)
Dystonia (including tardive dystonia)
Akathisia
Begin with a detailed treatment history, focusing on duration and cumulative exposure to dopamine receptor–blocking agents and the timing of symptom onset after prolonged therapy or dose changes. The five most important physical examinations in this patient include:
Assessment of involuntary movement type and distribution — chorea, athetosis, or stereotypy, particularly in the orobuccolingual region.
Evaluation for rigidity and bradykinesia to exclude drug-induced parkinsonism.
Inspection for dystonic posturing or sustained contractions suggestive of tardive dystonia.
Observation of movement variability, suppressibility, and disappearance during sleep to confirm dyskinesia.
Assessment for associated neurologic deficits or psychiatric symptoms indicating broader basal ganglia involvement.
Laboratory studies may help exclude metabolic, autoimmune, or genetic mimics when indicated. Severity should be quantified using standardized tools such as the AIMS scale. Neuroimaging is typically normal and reserved for atypical presentations or diagnostic uncertainty.
| History | Examination | Laboratory | Diagnostics | Diagnosis |
|---|---|---|---|---|
|
|
|
|
|
Tardive dyskinesia is a chronic, often irreversible complication of long-term dopamine receptor blockade, distinguished by delayed onset and persistent orobuccolingual movements.
Symptoms may fluctuate with attention, stress, or voluntary suppression and typically decrease during sleep.
VMAT2 inhibitors (valbenazine, deutetrabenazine) are first-line treatments, with dose reduction or switching to lower-risk agents as adjunctive strategies.
Regular screening with AIMS and early recognition are essential for mitigating severity and improving quality of life.
Distinguishing TD from acute dystonia, akathisia, parkinsonism, and primary chorea is crucial for management.
A 68-year-old woman presents with progressive difficulty swallowing over the past 3 months. Initially, she struggled with solid foods, but now also with liquids. She frequently coughs during meals and reports unintentional weight loss. Neurological examination reveals mild dysarthria and tongue fasciculations. There is no limb weakness.
Bulbar-onset amyotrophic lateral sclerosis (ALS)
Brainstem stroke involving nucleus ambiguus
Myasthenia gravis
Oculopharyngeal muscular dystrophy
Structural esophageal disease (e.g., achalasia, carcinoma)
Evaluation begins by clarifying whether the dysphagia is oropharyngeal or esophageal—difficulty initiating swallowing indicates oropharyngeal dysfunction, whereas a sensation of food sticking suggests esophageal involvement. History should assess onset, progression, nasal regurgitation, coughing during meals, weight loss, or limb weakness.
The five most important physical examination findings include:
Cranial nerve assessment (IX, X, XII) — evaluate palatal and tongue weakness.
Palatal elevation and gag reflex — test for bulbar involvement.
Tongue inspection — look for atrophy or fasciculations suggestive of motor neuron disease.
Swallowing and speech fatigability — assess for neuromuscular junction disorders.
Bedside swallow evaluation — detect aspiration risk.
Laboratory studies may include autoimmune markers, acetylcholine receptor antibodies, or CK levels. MRI is indicated for brainstem or structural lesions, while EMG and electrophysiologic studies help identify neuromuscular causes. A modified barium swallow or videofluoroscopy remains the gold standard for localizing swallowing dysfunction.
| History | Examination | Laboratory | Diagnostics | Diagnosis |
|---|---|---|---|---|
|
|
|
|
|
Early identification of aspiration risk is critical to prevent pneumonia and malnutrition.
Progressive dysphagia with tongue fasciculations strongly suggests bulbar-onset ALS.
Fluctuating swallowing difficulty worsening with fatigue is characteristic of myasthenia gravis.
Sudden onset dysphagia with cranial nerve deficits may indicate brainstem stroke.
Videofluoroscopic swallow study is the gold standard for functional assessment and localization of swallowing dysfunction.
A 45-year-old woman presents with involuntary twisting movements and abnormal posturing of her right hand that have gradually worsened over the past year. She reports that symptoms are more pronounced during writing and improve somewhat with rest. There is no family history of neurological disorders. Neurological examination reveals sustained muscle contractions causing repetitive movements and abnormal postures predominantly affecting the right upper limb. There are no signs of weakness or sensory loss. Cognitive functions are intact, and brain MRI is unremarkable.
Laboratory evaluation should include serum ceruloplasmin and copper studies if Wilson’s disease is suspected. Brain MRI is essential to rule out structural lesions such as stroke or tumor. Genetic testing is considered in early-onset or familial cases, and EMG may confirm characteristic co-contraction patterns.
| History | Examination | Laboratory | Diagnostics | Diagnosis |
|---|---|---|---|---|
|
|
|
|
|
Dystonia is characterized by sustained or intermittent muscle contractions causing abnormal, often repetitive, movements and postures.
It can be focal, segmental, multifocal, or generalized in distribution.
Symptoms may be task-specific and often worsen with voluntary movement.
Diagnosis is clinical, supported by history and examination; imaging is used to exclude secondary causes.
Common causes include idiopathic, genetic mutations, drug-induced, and structural brain lesions.
A 64-year-old woman presents with recurrent, severe, electric shock-like pain on the right side of her face, predominantly involving the cheek and jaw. The episodes last for seconds but occur multiple times per day, often triggered by light touch, talking, chewing, or brushing her teeth. There is no facial numbness, weakness, or visual changes. Neurological examination is normal between episodes. The patient reports significant anxiety about daily activities due to fear of triggering pain.
Classical trigeminal neuralgia
Secondary trigeminal neuralgia (e.g., due to multiple sclerosis or tumor)
Post-herpetic neuralgia
Temporomandibular joint disorder or dental pathology
Cluster headache or SUNCT syndrome
The evaluation of facial pain begins with a detailed history, emphasizing pain quality, duration, triggers, and distribution. Electric shock-like, paroxysmal pain triggered by light stimuli suggests trigeminal neuralgia, whereas constant, burning pain points to post-herpetic or secondary neuralgias.
Key Physical Examination include:
Facial Sensation: Assess all three trigeminal divisions (V1–V3) for sensory loss or allodynia.
Corneal Reflex: Test to evaluate ophthalmic division and brainstem integrity.
Temporomandibular Joints and Masticatory Muscles: Inspect and palpate for tenderness or crepitus.
Motor Function: Evaluate masseter and pterygoid strength to detect motor branch involvement.
Other Cranial Nerves: Examine VII and VIII for deficits suggesting secondary pathology in the cerebellopontine angle.
MRI with a trigeminal nerve protocol is essential to exclude structural causes such as vascular compression, demyelination, or tumor. Laboratory studies, including inflammatory and autoimmune panels, are reserved for atypical or systemic presentations.
| History | Examination | Laboratory | Diagnostics | Diagnosis |
|---|---|---|---|---|
|
|
|
|
|
Trigeminal neuralgia is characterized by brief, paroxysmal, lancinating facial pain in the distribution of one or more trigeminal nerve branches.
Pain is typically unilateral and triggered by innocuous stimuli (allodynia).
Neurological examination is usually normal; sensory deficits suggest a secondary cause.
MRI is essential to exclude secondary causes such as tumors or multiple sclerosis.
First-line therapy includes carbamazepine or oxcarbazepine; surgical options are available for refractory cases.
A 45-year-old previously healthy man presents with sudden onset of left-sided facial weakness. He is unable to close his left eye, smile symmetrically, or raise his eyebrow on the affected side. He denies trauma, rash, or recent illness but reports mild pain around the ear before onset. Examination reveals a complete lower motor neuron facial palsy affecting the upper and lower face without any other neurological deficits.
Bell’s palsy (idiopathic LMN facial palsy)
Ischemic or hemorrhagic stroke (UMN facial palsy)
Ramsay Hunt syndrome (herpes zoster oticus)
Lyme disease (especially with bilateral involvement)
Parotid or cerebellopontine angle tumor
The evaluation of facial palsy begins with determining whether the weakness pattern is upper or lower motor neuron. Involvement of the forehead indicates a lower motor neuron (LMN) lesion, as seen in Bell’s palsy or infectious/inflammatory causes, whereas forehead sparing suggests an upper motor neuron (UMN) lesion such as stroke.
Key Physical Examination includes:
Forehead Movement: Assess to differentiate UMN from LMN involvement.
Eye Closure and Bell’s Phenomenon: Evaluate strength and corneal protection.
Nasolabial Fold and Smile Symmetry: Observe for asymmetry or flattening.
Taste and Lacrimation: Test taste on the anterior two-thirds of the tongue and check lacrimation to assess facial nerve branch involvement.
Associated Findings: Examine for vesicular rash, parotid swelling, or other cranial nerve deficits suggesting secondary causes.
If atypical or progressive features are present, MRI with contrast should be performed to exclude structural lesions. Additional investigations may include Lyme serology, CSF analysis, or audiometry in select cases based on clinical suspicion.
| History | Examination | Laboratory | Diagnostics | Diagnosis |
|---|---|---|---|---|
|
|
|
|
|
Facial palsy can be classified as upper motor neuron (UMN) or lower motor neuron (LMN).
UMN lesions (e.g., stroke) spare the forehead due to bilateral innervation.
LMN lesions (e.g., Bell’s palsy) affect both the upper and lower face.
Bell’s palsy is an idiopathic LMN palsy and is a diagnosis of exclusion.
MRI or further testing is indicated if atypical features or progressive symptoms are present.
A 35-year-old software engineer presents with a 6-month history of intermittent twitching in his calves and forearms. The twitches are visible under the skin and occur spontaneously, especially after exercise or stress. He denies weakness, muscle wasting, sensory symptoms, or weight loss. Neurological examination is normal. Blood tests, including electrolytes, thyroid function, and creatine kinase, are within normal limits. Electromyography shows benign fasciculation potentials without denervation.
Benign Fasciculation Syndrome – isolated fasciculations, no weakness or atrophy.
Amyotrophic Lateral Sclerosis (ALS) – fasciculations with progressive weakness and UMN/LMN signs.
Peripheral Nerve Hyperexcitability (e.g., neuromyotonia) – twitching with stiffness and cramping.
Electrolyte Imbalances (e.g., hypocalcemia, hypomagnesemia) – twitching with other neuromuscular symptoms.
Drug- or Toxin-induced Fasciculations – stimulants, lithium, organophosphates.
Evaluation of fasciculations begins with a detailed history focusing on onset, distribution, and associated symptoms such as weakness, atrophy, or cramps. Key Physical Examination includes:
Muscle Bulk and Tone: Assess to detect atrophy or spasticity.
Visible Fasciculations: Inspect at rest and after gentle percussion.
Muscle Strength: Test proximal and distal groups to identify lower motor neuron weakness.
Deep Tendon Reflexes: Evaluate to differentiate upper versus lower motor neuron involvement.
Sensory Function and Coordination: Assess to exclude peripheral or mixed disorders.
Laboratory evaluation should include electrolytes, calcium, magnesium, thyroid function, and creatine kinase (CK) levels to rule out metabolic or endocrine causes. Electromyography (EMG) confirms the presence of fasciculations and detects chronic denervation patterns suggestive of motor neuron disease. Additional investigations such as nerve conduction studies or imaging are considered when secondary or central causes are suspected.
| History | Examination | Laboratory | Diagnostics | Diagnosis |
|---|---|---|---|---|
|
|
|
|
|
Fasciculations are spontaneous, involuntary muscle fiber contractions visible under the skin, often described as "muscle twitching."
They may be benign or indicative of motor neuron disease, requiring careful clinical correlation.
Absence of weakness, atrophy, or hyperreflexia strongly suggests a benign etiology.
Common benign triggers include stress, fatigue, caffeine, and post-exercise states.
EMG and clinical follow-up are crucial for excluding evolving neuromuscular disease.
A 74-year-old man presents with progressively worsening unsteady gait over the past six months. He describes his walking as "magnetic," feeling as if his feet are stuck to the floor. His family also reports increasing forgetfulness and occasional urinary urgency. There is no history of recent falls, head trauma, or alcohol use. On examination, his gait is broad-based and shuffling, with difficulty initiating steps. Cognitive testing shows mild impairment in short-term memory, and there is evidence of urinary incontinence.
Parkinson’s disease
Cerebellar ataxia (degenerative or vascular)
Subcortical vascular dementia
Progressive supranuclear palsy (PSP)
B12 deficiency-related myelopathy
Evaluation of suspected normal pressure hydrocephalus (NPH) begins with a thorough history emphasizing the classic triad of gait disturbance, cognitive impairment, and urinary incontinence.
Key Physical Examination includes:
Gait Pattern: Assess for the characteristic broad-based, magnetic gait with difficulty initiating steps.
Cognitive Function: Evaluate attention, recall, and executive function using bedside testing.
Frontal Release Signs: Examine for grasp or snout reflexes.
Tone and Postural Reflexes: Assess to distinguish from extrapyramidal syndromes.
Cerebellar or Sensory Ataxia: Inspect to rule out alternative causes.
Neuroimaging with MRI or CT typically reveals ventriculomegaly disproportionate to cortical atrophy. Additional investigations include laboratory tests to exclude metabolic or nutritional causes and CSF analysis to rule out infection or inflammation. A high-volume lumbar puncture (CSF tap test) demonstrating transient gait improvement supports the diagnosis and predicts shunt responsiveness. Multidisciplinary evaluation is essential to exclude mimics and guide management.
| History | Examination | Laboratory | Diagnostics | Diagnosis |
|---|---|---|---|---|
|
|
|
|
|
Normal pressure hydrocephalus (NPH) is characterized by the triad of gait disturbance, cognitive decline, and urinary incontinence.
Gait impairment ("magnetic gait") is usually the earliest and most prominent feature.
CSF pressure is normal, but ventriculomegaly is present due to impaired CSF absorption.
MRI and clinical assessment guide diagnosis; CSF tap test can predict shunt responsiveness.
Ventriculoperitoneal shunting may improve symptoms, especially gait dysfunction.
A 42-year-old woman presents with a 6-month history of recurrent headaches described as a dull, pressure-like pain encircling her forehead and occipital region. The headaches typically occur in the late afternoon after long workdays and improve with rest or sleep. They are not associated with nausea, vomiting, photophobia, phonophobia, or visual aura. She denies focal neurological symptoms. The patient reports increased work-related stress and poor sleep but has no significant past medical history. Neurological examination is normal.
Migraine without aura
Cervicogenic headache
Medication-overuse headache
Secondary headache due to mass lesion or increased ICP
Temporal arteritis (in older patients)
The evaluation of a patient with recurrent headache begins with a comprehensive history focusing on onset, character, frequency, duration, and associated symptoms. The absence of red flags such as sudden onset (“thunderclap”), neurological deficits, systemic signs (fever, weight loss), or altered consciousness strongly suggests a benign etiology.
Key Physical Examination includes:
Inspection: Look for signs of trauma, infection, or temporal tenderness.
Fundoscopic Examination: Evaluate for papilledema or optic disc changes.
Cranial Nerve Evaluation: Assess for focal deficits or asymmetry.
Cervical and Scalp Assessment: Palpate for muscle tenderness or tension. Check for occipital neuralgia.
Gait and Coordination Testing: Examine for cerebellar or motor abnormalities.
Laboratory studies are rarely required unless systemic causes are suspected. Neuroimaging (MRI or CT) is indicated only if atypical features are present. Tension-type headache is a clinical diagnosis based on typical symptom patterns—bilateral, pressing or tightening quality, mild-to-moderate intensity, and lack of aggravation by routine activity. The absence of migrainous features and a normal examination support the diagnosis.
| History | Examination | Laboratory | Diagnostics | Diagnosis |
|---|---|---|---|---|
|
|
|
|
|
Tension-type headache (TTH) is the most common primary headache, characterized by bilateral, non-pulsating, pressure-like pain.
Typically associated with muscle tension, stress, or fatigue and not accompanied by aura, photophobia, or significant nausea.
Absence of red flag features (e.g., sudden onset, focal deficits, systemic signs) supports a benign primary headache diagnosis.
Diagnosis is clinical; neuroimaging is reserved for atypical features or secondary headache suspicion.
Management includes lifestyle modification, stress reduction, analgesics, and preventive therapy in chronic cases.
A 68-year-old man with poorly controlled type 2 diabetes mellitus presents with sudden onset of violent, flinging movements of his right arm and leg. The movements are continuous at rest and worsen with voluntary activity. He remains conscious and oriented.
Chorea – lower amplitude, distal, flowing movements.
Dystonia – sustained or twisting postures.
Myoclonus – shock-like, rapid jerks.
Tremor – rhythmic, oscillatory movements.
Athetosis – slow, writhing, continuous movements, often distal and associated with basal ganglia pathology.
Evaluation of hemiballismus begins with a comprehensive history focusing on the onset, speed, and context of the abnormal movements, including vascular risk factors, recent metabolic disturbances, or infections. A detailed neurological examination is essential to define the nature and distribution of movements and to identify associated neurological or systemic abnormalities. Key clinical features to assess include:
Characterization of movements: Large-amplitude, flinging or rotary involuntary movements predominantly affecting one side of the body, especially proximal limbs.
Muscle tone: Typically normal or mildly decreased between movement episodes.
Strength and reflexes: Usually preserved, helping differentiate from hemiparesis.
Sensory and cranial nerve examination: Typically normal, confirming the focal nature of the movement disorder.
Presence of associated signs: Absence of parkinsonism, chorea, dystonia, or encephalopathy supports the diagnosis of isolated hemiballismus.
Brain MRI is the imaging modality of choice, particularly to evaluate the contralateral subthalamic nucleus for ischemic or hemorrhagic lesions. Laboratory studies should include serum glucose and metabolic panels, as non-ketotic hyperglycemia is a common reversible cause. In subacute or progressive cases, inflammatory markers, cerebrospinal fluid (CSF) analysis, and autoimmune or neoplastic screening may be warranted. An integrated approach combining clinical, imaging, and laboratory data is essential for accurate diagnosis and treatment planning.
| History | Examination | Laboratory | Diagnostics | Diagnosis |
|---|---|---|---|---|
|
|
|
|
|
Hemiballismus is characterized by large-amplitude, proximal, flinging limb movements, typically unilateral.
Classically caused by a lesion in the contralateral subthalamic nucleus, often due to a lacunar stroke.
Movements resolve during sleep and may subside over weeks to months.
Metabolic causes (e.g., non-ketotic hyperglycemia) and secondary etiologies should be considered.
Chronic cases may evolve into choreiform movements over time as neuroplastic changes occur.
A 55-year-old man presents with gradually worsening stiffness and reduced mobility in his right leg over the past year. He reports that walking has become more effortful, and he occasionally experiences muscle spasms. There is no history of trauma or significant sensory loss. Neurological examination reveals increased tone in the right leg, exaggerated reflexes, and a positive Babinski sign.
Stroke (chronic UMN lesion)
Multiple sclerosis
Spinal cord compression or myelopathy
Cerebral palsy
Hereditary spastic paraplegia
The evaluation of hypertonia begins with a detailed history to assess onset, progression, and associated neurological symptoms. On examination, five key assessments are essential:
Muscle tone assessment – to detect spasticity and velocity-dependent resistance.
Deep tendon reflex testing – to evaluate hyperreflexia.
Clonus testing – at the ankle or wrist to assess sustained rhythmic contractions.
Plantar response (Babinski sign) – to confirm upper motor neuron involvement.
Gait analysis – to identify spastic patterns such as circumduction or scissoring.
MRI of the brain and spinal cord remains crucial to detect demyelination, infarcts, or compressive lesions. Additional laboratory and CSF studies may be required to exclude inflammatory or metabolic etiologies. Correlating clinical findings with imaging ensures accurate diagnosis and localization of the lesion.
| History | Examination | Laboratory | Diagnostics | Diagnosis |
|---|---|---|---|---|
|
|
|
|
|
Hypertonia refers to increased muscle tone, commonly caused by upper motor neuron (UMN) lesions.
Spasticity is a velocity-dependent increase in muscle tone, often seen in conditions such as stroke, multiple sclerosis, and spinal cord injury.
It is frequently accompanied by hyperreflexia, clonus, and pathological reflexes (e.g., Babinski sign).
Differentiation from rigidity (seen in Parkinsonism) and dystonia is essential for accurate diagnosis.
Diagnosis relies on clinical assessment and neuroimaging to identify underlying CNS pathology.
A 58-year-old man presents with sudden, brief, involuntary jerks of his upper limbs and trunk that have progressively worsened over six months. The movements are spontaneous, sometimes stimulus-sensitive, and occasionally triggered by attempting fine motor tasks. He denies any loss of consciousness but notes occasional startle responses and generalized twitching during sleep. His medical history includes hypertension and mild cognitive changes over the past year. There is no family history of movement disorders. Neurological examination reveals multifocal jerks involving proximal muscles without associated weakness or sensory deficits.
Cortical myoclonus secondary to neurodegenerative disease (e.g., Creutzfeldt-Jakob disease)
Post-hypoxic or metabolic myoclonus (e.g., Lance–Adams syndrome)
Epileptic myoclonus
Paraneoplastic or autoimmune myoclonus
Drug-induced or toxic myoclonus
Evaluating myoclonus begins with careful clinical characterization of the jerks, including their distribution (focal, multifocal, or generalized), triggers (spontaneous or stimulus-sensitive), and timing (rest or action). Associated neurological features such as cognitive decline, seizures, or ataxia help narrow the differential diagnosis.
A thorough history is essential to identify reversible causes such as recent hypoxic events, metabolic disturbances, or drug exposures. Rapidly progressive dementia or behavioral changes raise suspicion for neurodegenerative or prion diseases, while systemic symptoms may suggest autoimmune or paraneoplastic origins. Physical examination emphasizes five key assessments:
Observation of jerk pattern and distribution – to distinguish focal, multifocal, or generalized myoclonus.
Cortical reflex testing – to detect stimulus-sensitive or reflex myoclonus.
Cranial nerve examination – for brainstem involvement or facial myoclonus.
Cerebellar assessment – to evaluate for ataxia or coordination deficits.
Motor and sensory examination – to identify associated weakness, rigidity, or sensory abnormalities.
Laboratory tests and imaging—such as metabolic panels, autoimmune screens, EEG, and brain MRI—further refine the diagnosis. In select cases, CSF analysis and specialized antibody testing are warranted to identify specific etiologies.
| History | Examination | Laboratory | Diagnostics | Diagnosis |
|---|---|---|---|---|
|
|
|
|
|
Myoclonus is characterized by sudden, brief, involuntary jerks that can be spontaneous or stimulus-sensitive.
Detailed history and neurological examination are critical to differentiate underlying causes.
EEG and brain MRI are essential tools to identify cortical or structural abnormalities.
Consider metabolic, toxic, autoimmune, infectious, and neurodegenerative etiologies.
Accurate diagnosis guides prognosis and targeted therapeutic interventions.
A 48-year-old man presents with progressive numbness and tingling in his feet over the past six months, gradually ascending to mid-calf. He denies weakness but notes occasional imbalance and burning sensations. Past history includes poorly controlled diabetes. Neurological examination reveals reduced vibration and position sense in a stocking distribution and diminished ankle reflexes.
Diabetic peripheral neuropathy
Cervical or thoracic spinal cord lesion (myelopathy)
Multiple sclerosis
Mononeuritis multiplex (vasculitic neuropathy)
Thalamic stroke
A structured approach focuses on the pattern and distribution of sensory loss, temporal profile, associated motor/autonomic findings, and systemic features. Physical examination should include the following five key assessments:
Sensory examination – to determine modality-specific loss (light touch, vibration, pinprick, proprioception) and its distribution.
Reflex testing – to identify hypo- or areflexia suggesting peripheral neuropathy, or hyperreflexia indicating a central lesion.
Motor strength assessment – to detect associated weakness or muscle wasting.
Gait and coordination testing – to evaluate sensory ataxia or imbalance.
Autonomic examination – including orthostatic blood pressure and sweating abnormalities.
Nerve conduction studies and electromyography (EMG) help confirm peripheral neuropathies, while MRI identifies central causes. Laboratory workup targets metabolic, autoimmune, and infectious etiologies.
| History | Examination | Laboratory | Diagnostics | Diagnosis |
|---|---|---|---|---|
|
|
|
|
|
Numbness is a common neurological symptom resulting from sensory pathway involvement at any level — peripheral nerve, plexus, spinal cord, brainstem, thalamus, or cortex.
The pattern (dermatomal, stocking-glove, hemisensory, patchy) provides clues to the lesion location.
Peripheral neuropathies are often length-dependent and symmetric, whereas central lesions usually follow a sensory level or involve one side.
Metabolic, inflammatory, infectious, and structural causes should be systematically considered.
Electrophysiology and imaging are key tools for localizing and characterizing the pathology.
A 42-year-old woman presents with acute onset of spinning vertigo, nausea, and gait unsteadiness for 24 hours. She notes horizontal, left-beating double vision when looking left, which improves when she fixes her gaze on a target. There is no new headache, diplopia, dysarthria, or limb weakness. Examination shows unidirectional, horizontal nystagmus that increases with left gaze and decreases with visual fixation; a positive head impulse test to the right; no skew deviation; and intact limb coordination.
Vestibular neuritis/labyrinthitis (peripheral)
Benign paroxysmal positional vertigo (BPPV)
Cerebellar or brainstem stroke (central)
Multiple sclerosis (central demyelination)
Drug-induced or toxic nystagmus (e.g., anticonvulsants, alcohol)
Begin by characterizing the nystagmus: direction (horizontal, vertical, torsional), effect of gaze and visual fixation, and triggers (spontaneous vs positional). The five most important physical examinations in this patient include:
Head Impulse Test – to assess vestibulo-ocular reflex; an abnormal response suggests a peripheral lesion.
Nystagmus Assessment – observe for direction, suppression with fixation, and gaze dependency to distinguish peripheral from central causes.
Test of Skew – vertical ocular misalignment indicates a central lesion.
Cerebellar Examination – evaluate for ataxia, dysmetria, or dysdiadochokinesia suggestive of brainstem or cerebellar pathology.
Positional Testing (Dix–Hallpike Maneuver) – to identify benign paroxysmal positional vertigo (BPPV) or positional nystagmus.
Laboratory testing targets metabolic or toxic contributors when suspected. Imaging is guided by concern for central pathology: diffusion-weighted MRI may be required to exclude posterior circulation stroke if red flags are present. Vestibular testing (video head impulse, calorics) and positional maneuvers help confirm peripheral disorders.
| History | Examination | Laboratory | Diagnostics | Diagnosis |
|---|---|---|---|---|
|
|
|
|
|
Nystagmus is an involuntary rhythmic oscillation of the eyes resulting from imbalance in ocular motor or vestibular pathways.
Peripheral (vestibular) nystagmus is typically unidirectional, suppresses with fixation, and is often accompanied by vertigo.
Central nystagmus may be direction-changing, vertical, or purely torsional, and does not suppress with fixation; associated focal neurological signs raise concern for stroke or demyelination.
The bedside HINTS exam (Head-Impulse, Nystagmus, Test-of-Skew) helps differentiate peripheral from central causes in acute vestibular syndrome.
Medications (e.g., anticonvulsants, sedatives), alcohol, and metabolic derangements can cause gaze-evoked or downbeat nystagmus.
A 45-year-old man presents with 3 weeks of sharp, shooting low back pain radiating down the posterolateral left leg to the lateral foot. He reports paresthesias in the same distribution and difficulty dorsiflexing the left ankle. Pain worsens with coughing and sitting, and improves when lying down. There is no fever, weight loss, or bowel/bladder dysfunction. On examination, straight-leg raise is positive on the left; there is decreased pinprick over the lateral foot, mild weakness of ankle dorsiflexion, and a reduced left Achilles reflex.
Lumbar or cervical radiculopathy (disc herniation, foraminal stenosis)
Peripheral neuropathy (length-dependent, stocking–glove)
Myopathy (proximal weakness without sensory loss)
Spinal canal stenosis (neurogenic claudication)
Referred pain (hip/SI pathology, visceral)
Begin with onset, radiation, aggravating/relieving factors, red flags (cancer, infection, trauma, weight loss, night pain, bowel/bladder symptoms), and prior episodes. The five most important physical examinations for this patient include:
Sensory mapping – identify dermatomal distribution of sensory loss (e.g., L5 lateral leg/foot).
Motor testing – assess myotomal weakness (e.g., ankle dorsiflexion for L5, plantar flexion for S1).
Deep tendon reflexes – evaluate for depressed reflexes (e.g., Achilles for S1, patellar for L4).
Provocative maneuvers – perform straight-leg raise and crossed SLR (lumbar) or Spurling’s test (cervical) to localize root irritation.
Gait and posture assessment – observe for antalgic gait, foot drop, or compensatory trunk lean indicating functional impact.
Initial management is conservative unless red flags are present. MRI is indicated for progressive deficit, refractory pain, or red flags; EMG/NCS is useful when imaging and examination findings are discordant.
| History | Examination | Laboratory | Diagnostics | Diagnosis |
|---|---|---|---|---|
|
|
|
|
|
Radiculopathy causes dermatomal pain radiating from the spine into the limb, often with paresthesias and myotomal weakness.
Mechanical provocation (Valsalva, flexion) and a positive straight-leg raise (L4–S1) or Spurling (cervical) support nerve root irritation.
Examination localizes the root via sensory loss (dermatome), weakness (myotome), and depressed reflexes.
MRI of the spine is the imaging modality of choice when red flags are present or symptoms persist despite conservative care.
EMG/NCS can confirm root involvement and differentiate radiculopathy from plexopathy or peripheral neuropathy.
A 28-year-old woman presents with intermittent drooping of her right eyelid, worsening toward the end of the day. She reports occasional double vision, particularly in the evenings, but denies pain or visual loss. There is no history of trauma, infection, or systemic illness. On examination, ptosis increases with sustained upward gaze and improves after brief rest.
Myasthenia gravis
Horner syndrome
Third nerve palsy
Chronic progressive external ophthalmoplegia (CPEO)
Lambert-Eaton myasthenic syndrome (LEMS)
The evaluation of myasthenia gravis begins with recognition of characteristic fatigable weakness and diurnal fluctuation. The five most important physical examinations in this patient include:
Sustained Upgaze Test – observe for worsening ptosis with prolonged upward gaze, which indicates fatigability.
Cogan’s Lid Twitch Sign – look for a brief upward overshoot of the eyelid when returning from downgaze, suggestive of MG.
Ice-Pack Test – apply an ice pack over the ptotic lid for 2–3 minutes; improvement supports the diagnosis.
Extraocular Movement Examination – identify fatigable ophthalmoparesis without pupillary involvement.
Bulbar Muscle Assessment – evaluate speech, swallowing, and facial strength for fatigable weakness.
Serological testing for acetylcholine receptor (AChR) or muscle-specific kinase (MuSK) antibodies and electrophysiological studies (repetitive nerve stimulation or single-fiber EMG) confirm the diagnosis. Imaging for thymoma should be performed in all cases. Differentiating MG from Horner syndrome, third nerve palsy, and mitochondrial myopathies is essential for accurate management.
| History | Examination | Laboratory | Diagnostics | Diagnosis |
|---|---|---|---|---|
|
|
|
|
|
Ptosis with fatigability and diurnal variation is highly suggestive of myasthenia gravis.
Normal pupillary reflexes help differentiate MG from third nerve palsy and Horner syndrome.
Ice-pack test is a simple bedside tool to transiently improve ptosis in MG.
Early diagnosis and immunotherapy can prevent progression and improve quality of life.
Always evaluate for thymoma with imaging in confirmed MG cases.
A 45-year-old man with no prior seizure history presents after a witnessed generalized tonic–clonic seizure. Family report a brief prodrome of odd smell and confusion, followed by loss of consciousness and rhythmic jerking lasting 90 seconds with post-ictal lethargy. He notes several weeks of new headaches and subtle left-hand clumsiness. Neurological examination reveals mild left pronator drift. Brain MRI shows an enhancing right frontal mass with surrounding edema, concerning for a primary brain tumor.
Brain tumor (primary or metastatic)
Ischemic or hemorrhagic stroke (early cortical involvement)
Infectious encephalitis (e.g., HSV)
Toxic–metabolic derangements (electrolytes, glucose, uremia, hepatic)
Idiopathic epilepsy (less common for true new-onset in mid-life)
Evaluation begins with stabilization and rapid bedside glucose. History should characterize semiology (focal aware/impaired, generalized), triggers, head trauma, intoxicants, malignancy history, immunosuppression, and medication changes. The five most important physical examinations for this patient include:
Level of consciousness and orientation – to distinguish postictal confusion from ongoing seizure or encephalopathy.
Cranial nerve examination – to identify focal deficits suggesting structural lesions such as tumor or stroke.
Motor and sensory assessment – to detect focal weakness (e.g., Todd’s paresis) or asymmetry indicating cortical involvement.
Fundoscopic examination – to look for papilledema, supporting increased intracranial pressure or mass effect.
Meningeal and systemic examination – to detect signs of infection or metabolic encephalopathy (fever, neck stiffness, jaundice).
Initial studies include CBC, electrolytes, calcium, magnesium, renal and liver function, and toxicology as indicated. MRI brain with contrast is preferred to detect mass, stroke, or encephalitis; CT head is useful urgently to exclude hemorrhage or large mass with mass effect. EEG supports the diagnosis (focal epileptiform discharges) and excludes nonconvulsive status. Consider lumbar puncture if infection or inflammation is suspected. Early neurosurgical or oncology consultation is indicated when imaging suggests tumor.
| History | Examination | Laboratory | Diagnostics | Diagnosis |
|---|---|---|---|---|
|
|
|
|
|
New-onset seizures in adults require prompt evaluation for structural causes (e.g., tumors, stroke, hemorrhage).
Red flags include progressive headaches, focal deficits, personality or cognitive change, and subacute course.
MRI with epilepsy protocol and early EEG help define lesion burden and epileptogenicity.
Stabilize first (airway, breathing, circulation, glucose), then pursue targeted diagnostics.
Treat acute seizures and address the underlying cause; tumor-directed therapy often reduces recurrence.
A 24-year-old woman experiences a brief loss of consciousness while standing in a crowded, warm room. She reports preceding nausea, warmth, lightheadedness, blurred vision, and diaphoresis. A bystander notes pallor and that she slumped to the floor without tonic–clonic movements, tongue bite, or incontinence. She regained consciousness within seconds and was fully oriented with lingering fatigue. There is no cardiac history or family history of sudden death. Examination in clinic is normal.
Vasovagal (reflex) syncope
Orthostatic hypotension (volume depletion, autonomic failure, medications)
Cardiac arrhythmia (brady/tachyarrhythmias, long QT)
Structural cardiac or cardiopulmonary causes (aortic stenosis, HCM, PE)
Seizure or other non-syncopal causes of transient loss of consciousness
A systematic evaluation of syncope begins with detailed event characterization—posture, triggers, prodrome, duration of loss of consciousness, injury, and recovery. The five most important physical examinations for this patient include:
Orthostatic Vital Signs – Measure blood pressure and heart rate in supine, sitting, and standing positions to identify orthostatic hypotension.
Cardiac Examination – Assess for murmurs (aortic stenosis, hypertrophic cardiomyopathy), irregular rhythms, or gallops suggesting structural or arrhythmic causes.
Balance testing – Check for vestibular imbalance with a sharpened Romberg testging to assess for vestibular, cerebellar and posterior column sensory issues.
Neurological Examination – Evaluate cranial nerves, motor strength, coordination, and reflexes to exclude focal deficits or seizure mimics.
General Examination – Look for signs of dehydration, anemia, or trauma secondary to the syncopal event.
All patients should undergo a 12-lead ECG. Further studies—such as ambulatory rhythm monitoring, echocardiography, or tilt-table testing—are guided by clinical suspicion. Laboratory tests are obtained when indicated, and neuroimaging is reserved for those with focal neurological findings.
| History | Examination | Laboratory | Diagnostics | Diagnosis |
|---|---|---|---|---|
|
|
|
|
|
Syncope is a transient, self-limited loss of consciousness due to global cerebral hypoperfusion with rapid, spontaneous recovery.
Vasovagal (reflex) syncope is the most common cause; typical features include identifiable triggers (heat, emotion, pain), prodrome, and quick recovery without focal deficits.
Cardiac arrhythmias and structural heart disease are high-risk causes that must be excluded with ECG and targeted testing.
Orthostatic hypotension causes syncope shortly after standing, often in older adults or with volume depletion/medications.
Careful history, orthostatic vitals, and ECG guide further testing (tilt-table, ambulatory monitoring, echocardiography) and risk stratification.
A 68-year-old man presents with a 10-year history of tremor in both hands, which worsens when drinking from a cup or writing. The tremor improves after consuming a small amount of alcohol. There is no bradykinesia, rigidity, or gait disturbance. His father had a similar tremor.
Parkinson’s disease
Dystonic tremor
Enhanced physiologic tremor
Cerebellar tremor
Drug- or toxin-induced tremor
Tremor evaluation is essential to identify the underlying etiology. The five most important physical examinations include:
Tremor characterization – Assess amplitude, frequency, and activation condition (postural, kinetic, or intention tremor).
Tone and rigidity assessment – Evaluate for absence of cogwheel rigidity or bradykinesia to exclude Parkinson’s disease.
Coordination testing – Perform finger-to-nose and heel-to-shin tests to rule out cerebellar tremor.
Gait and posture evaluation – Observe for normal tandem gait and absence of ataxia or balance impairment.
Head, voice, and jaw tremor inspection – Identify involvement beyond the limbs to support the diagnosis of essential tremor.
Family history, gradual progression, and alcohol responsiveness further support the diagnosis. Many medications can cause tremors.Neuroimaging is usually normal but may be obtained to exclude structural causes. Laboratory testing should be directed toward suspected secondary etiologies such as thyroid dysfunction, medication effects, or metabolic derangements.
| History | Examination | Laboratory | Diagnostics | Diagnosis |
|---|---|---|---|---|
|
|
|
|
|
Essential tremor (ET) is the most common movement disorder, characterized by a bilateral, symmetric action tremor.
It predominantly affects the upper limbs but may involve the head, voice, or jaw.
Tremor is typically absent at rest and worsens with posture or goal-directed movement.
ET often has a positive family history and may improve transiently with small amounts of alcohol.
Diagnosis is clinical, based on exclusion of secondary causes and absence of Parkinsonian features.
A 62-year-old woman presents with recurrent episodes of spinning sensation lasting less than a minute, typically triggered by rolling over in bed or looking upward. The episodes are associated with nausea but no hearing loss, tinnitus, or focal neurological deficits. There is no history of recent infection, trauma, or migraine. Between episodes, she is asymptomatic. Neurological examination is normal except for reproduction of vertigo and characteristic nystagmus during the Dix–Hallpike maneuver.
Benign Paroxysmal Positional Vertigo (BPPV)
Vestibular neuritis or labyrinthitis
Ménière’s disease
Cerebellar or brainstem stroke
Acoustic neuroma (vestibular schwannoma)
Evaluation begins with a detailed history characterizing the vertigo’s onset, duration, triggers, and associated symptoms (e.g., hearing loss, headache, neurological deficits). Positional vertigo triggered by specific head movements and lasting seconds strongly suggests BPPV, whereas prolonged episodes or spontaneous onset may indicate vestibular neuritis or central causes.
The five most important physical examinations include:
Dix–Hallpike maneuver – Elicits transient rotatory nystagmus with latency and fatigability in posterior canal BPPV.
Head impulse test – Assesses vestibulo-ocular reflex; an abnormal corrective saccade suggests a peripheral vestibular lesion.
Nystagmus characterization – Evaluate direction (horizontal, vertical, torsional), persistence, and gaze dependence to distinguish peripheral from central vertigo.
Gait and Romberg testing – Check for imbalance or postural instability; severe truncal ataxia favors a central lesion.
Cranial nerve and cerebellar examination – Identify associated diplopia, dysarthria, or limb ataxia indicating brainstem or cerebellar involvement.
Laboratory testing is rarely required unless systemic causes are suspected. Imaging (e.g., MRI) is indicated if central vertigo or structural lesions are considered. Audiometry may be useful if hearing loss is present. Early identification and canalith repositioning maneuvers remain the cornerstone of BPPV management.
| History | Examination | Laboratory | Diagnostics | Diagnosis |
|---|---|---|---|---|
|
|
|
|
|
Vertigo is a false sensation of movement, often described as spinning, and results from vestibular system dysfunction.
Benign Paroxysmal Positional Vertigo (BPPV) is the most common peripheral vestibular cause, triggered by specific head movements.
Distinguishing peripheral from central causes is critical — peripheral vertigo typically presents with brief, position-triggered episodes and horizontal-rotatory nystagmus.
The Dix–Hallpike test is diagnostic for posterior canal BPPV.
Canalith repositioning maneuvers (e.g., Epley) are highly effective treatments.
A 34-year-old previously healthy man presents with progressive weakness in his legs over the past five days. It started with difficulty climbing stairs and has now spread to his arms, causing trouble lifting objects. He denies sensory loss, visual changes, or bowel/bladder symptoms. Two weeks prior, he had a mild gastrointestinal illness with diarrhea. On examination, there is symmetric flaccid weakness in both lower limbs (MRC grade 3/5) and upper limbs (4/5), generalized areflexia, and preserved sensation. Cranial nerves are intact. Vital signs are stable, but there is mild tachycardia.
AIDP (Acute Inflammatory Demyelinating Polyradiculoneuropathy) – the most common form of Guillain–Barré Syndrome (GBS)
Acute motor axonal neuropathy (AMAN) or acute motor-sensory axonal neuropathy (AMSAN)
Acute transverse myelitis
Hypokalemic paralysis
Myasthenia gravis or botulism (if cranial involvement)
Evaluation of acute muscle weakness begins with assessing the pattern (symmetry, distribution, proximal vs. distal) and associated features (reflexes, sensory changes, cranial involvement). Rapid progression over days to weeks with areflexia strongly suggests a peripheral neuropathy such as Guillain–Barré Syndrome (GBS).
The five most important physical examination findings include:
Deep tendon reflexes – Generalized areflexia or hyporeflexia is a hallmark feature of GBS.
Muscle strength assessment – Symmetric, ascending flaccid weakness involving lower then upper limbs.
Cranial nerve examination – Facial and bulbar weakness may occur, indicating more severe disease.
Sensory testing – Typically normal or mildly reduced; marked sensory loss suggests an alternative diagnosis.
Autonomic evaluation – Check for tachycardia, blood pressure variability, or urinary retention as signs of autonomic dysfunction.
A detailed history should explore preceding infections, vaccinations, or toxin exposures. Laboratory testing helps exclude metabolic or electrolyte causes. CSF analysis typically shows elevated protein with normal white cell count (albuminocytologic dissociation). Nerve conduction studies reveal demyelinating or axonal features. MRI may be performed to exclude central causes such as transverse myelitis.
| History | Examination | Laboratory | Diagnostics | Diagnosis |
|---|---|---|---|---|
|
|
|
|
|
Guillain–Barré Syndrome (GBS) is an acute, immune-mediated polyradiculoneuropathy often triggered by infection.
Classically presents with rapidly progressive, symmetric ascending weakness and areflexia.
Sensory symptoms are minimal or absent; autonomic dysfunction and respiratory compromise may occur.
Diagnosis is clinical, supported by CSF (albuminocytologic dissociation) and nerve conduction studies.
Early treatment with IVIG or plasmapheresis improves outcomes; corticosteroids are ineffective.

Differential Diagnoses: Multiple Sclerosis | Neuromyelitis Optica | Autoimmune Encephalitis
Related Symptoms: Confusion / Altered Mental Status | Ataxia | Seizure | Headache
Diagnostic Tests: Lumbar Puncture | MRI Interpretation
A 9-year-old previously healthy boy presents with sudden-onset confusion, fever, headache, and gait disturbance two weeks after a viral upper respiratory infection.
Neurological examination reveals multifocal deficits including ataxia, right-sided weakness, and cranial nerve palsy.
MRI of the brain shows multiple, bilateral, poorly demarcated white matter lesions involving subcortical and deep structures.
CSF analysis shows mild lymphocytic pleocytosis and elevated protein without evidence of infection.
The patient improves dramatically with high-dose intravenous corticosteroid therapy over several days.
ADEM is an acute, monophasic demyelinating disease of the central nervous system (CNS) that typically affects children and young adults.
The annual incidence is approximately 0.4 per 100,000, with a peak between 5 and 8 years of age.
A preceding viral or, less commonly, bacterial infection is identified in 50–75% of cases, often occurring 1–3 weeks prior to symptom onset.
Rarely, ADEM occurs following vaccination, though causality is not well established.
Recurrence is uncommon, and a multiphasic course should raise suspicion for alternative diagnoses such as multiple sclerosis (MS).
ADEM is believed to be an immune-mediated response triggered by molecular mimicry following infection or vaccination.
Cross-reactivity between viral antigens and myelin proteins leads to activation of autoreactive T-cells and subsequent CNS inflammation.
The inflammatory cascade causes perivenular demyelination, edema, and disruption of the blood-brain barrier.
Lesions predominantly involve white matter but can also affect basal ganglia, thalami, and spinal cord.
Pathological findings often resemble those seen in experimental autoimmune encephalomyelitis (EAE), a widely used animal model.
Key Mechanisms: - Molecular mimicry between microbial antigens and myelin components - T-cell mediated autoimmune response - Complement activation and macrophage infiltration - Blood-brain barrier disruption - Perivenular demyelination and edema
ADEM typically presents as an acute or subacute encephalopathy with behavioral changes, confusion, or altered consciousness.
Focal neurological deficits such as hemiparesis, ataxia, cranial nerve palsies, and visual disturbances are common.
Seizures occur in approximately 20–35% of pediatric cases and may be the presenting feature.
Systemic features like fever, malaise, and headache are often present and help distinguish ADEM from MS.
In contrast to MS, ADEM usually presents with a single, polysymptomatic episode and monophasic course.
The presence of fever and encephalopathy distinguishes ADEM from MS at initial presentation. ADEM is monophasic—recurrence should prompt reconsideration of diagnosis.
Diagnosis is clinical, supported by characteristic MRI findings of large, bilateral, asymmetric T2/FLAIR hyperintense lesions without mass effect.
Lesions are poorly demarcated, often involve both gray and white matter, and rarely show gadolinium enhancement.
CSF findings include mild lymphocytic pleocytosis and elevated protein, with oligoclonal bands typically absent or transient.
Infectious etiologies should be excluded with appropriate microbiologic studies and serologies.
Differential diagnoses include multiple sclerosis, neuromyelitis optica spectrum disorders (NMOSD), MOG antibody-associated disease, infectious encephalitis, and acute necrotizing encephalopathy.
Differential Diagnosis Comparison:
| Feature | ADEM | MS | NMOSD |
|---|---|---|---|
| Age | Children (5-8 yr) | Young adults (20-40) | Any age |
| Course | Monophasic | Relapsing-remitting | Relapsing |
| Fever/Systemic | Common | Rare | Rare |
| Encephalopathy | Prominent | Absent | Variable |
| MRI Lesions | Large, bilateral, poorly demarcated | Small, periventricular, ovoid | Longitudinally extensive (>3 segments) |
| CSF OCBs | Absent/transient | Present (>85%) | Usually absent |
| Prognosis | Good recovery | Variable | Poorer than MS |
Treatment Approach (Evidence-Based Recommendations):
| Treatment | Dose | Route | Duration | Evidence Grade | Monitoring |
|---|---|---|---|---|---|
| Methylprednisolone | 20-30 mg/kg/day (max 1 g/day) | IV | 3-5 days | Grade A | Blood glucose, BP, electrolytes |
| IVIG | 2 g/kg total dose | IV | Over 2-5 days | Grade B | Renal function, volume status |
| Plasma Exchange | 5-7 exchanges | - | Over 10-14 days | Grade C | Coagulation, hemodynamics |
Treatment Algorithm:
First-line: High-dose IV methylprednisolone (20–30 mg/kg/day, up to 1 g/day) for 3–5 days → leads to rapid improvement in most patients [Grade A, Strong]
Second-line: If corticosteroid response inadequate, consider:
Supportive care:
Prognosis: - Generally favorable: 70-90% achieve full or near-full recovery - Residual deficits may occur in 10-30% of severe cases - Long-term follow-up with repeat MRI essential to rule out relapsing demyelinating disorders
ADEM Diagnosis requires: 1. First clinical event with acute/subacute onset 2. Encephalopathy (altered consciousness, behavioral changes) 3. Multifocal neurologic deficits 4. MRI: Large (>1-2 cm), poorly demarcated lesions 5. No better explanation (infection, metabolic, other demyelination)
Which of the following features best differentiates acute disseminated encephalomyelitis (ADEM) from multiple sclerosis (MS) at initial presentation?
Answer: (B) ADEM typically presents with large, bilateral, poorly demarcated bilateral white matter lesions on MRI

Differential Diagnoses: Acute Motor Axonal Neuropathy (AMAN) | Transverse Myelitis | Myasthenia Gravis | Botulism
Related Symptoms: Muscle Weakness | Numbness | Facial Palsy | Dysphagia
Diagnostic Tests: EMG/NCS | Lumbar Puncture
See Also: Chronic Inflammatory Demyelinating Polyneuropathy (CIDP) | Miller Fisher Syndrome
A 42-year-old man presents with rapidly progressive weakness in both legs over 5 days, now involving the arms and associated with areflexia.
He reports a preceding episode of diarrhea two weeks earlier but denies sensory loss or bowel/bladder symptoms.
Examination reveals symmetrical flaccid weakness, absent deep tendon reflexes, and mild distal paresthesias.
Cranial nerve involvement is evident with bilateral facial weakness, but ocular motility is preserved.
Respiratory function is declining, prompting admission to the intensive care unit for monitoring.
AIDP is the most common subtype of Guillain-Barré syndrome (GBS) in North America and Europe, representing 80–90% of cases.
The annual incidence of GBS is approximately 1–2 per 100,000, with a slight male predominance and a bimodal age distribution.
The condition often follows infections, particularly with Campylobacter jejuni, cytomegalovirus, Epstein–Barr virus, or Mycoplasma pneumoniae.
Seasonal variation is minimal, but outbreaks may occur following specific infectious exposures.
Although typically sporadic, rare familial clustering suggests a possible genetic predisposition.
AIDP is an immune-mediated demyelinating polyradiculoneuropathy triggered by molecular mimicry between microbial antigens and peripheral nerve components.
Autoimmune activation leads to macrophage infiltration, complement activation, and segmental demyelination at the level of spinal roots and peripheral nerves.
Conduction block and slowed nerve conduction velocity result from myelin loss, impairing saltatory conduction.
Secondary axonal degeneration may occur in severe or prolonged cases, contributing to residual deficits.
The primary target antigens often involve gangliosides and myelin proteins, though specific autoantibodies are not always detected.
Key Mechanisms: - Molecular mimicry: Microbial antigens (e.g., C. jejuni GM1-like epitopes) resemble peripheral nerve gangliosides - T-cell and B-cell activation: Cross-reactive antibodies target myelin components - Complement-mediated demyelination: MAC (membrane attack complex) formation at nodes of Ranvier - Macrophage infiltration: Stripping and phagocytosis of myelin sheaths - Conduction block: Disruption of saltatory conduction along demyelinated segments
Classic triad of AIDP/GBS: (1) Areflexia (earliest and most consistent finding), (2) Albuminocytologic dissociation on CSF (elevated protein >0.55 g/L with normal WBC <10 cells/μL after week 1), and (3) Ascending symmetric weakness reaching peak by 4 weeks. Always monitor FVC and NIF closely—respiratory failure can develop rapidly even without dyspnea. “The 20/30/40 rule”: FVC <20 mL/kg, NIF >-30 cmH₂O, or SpO₂ <92% suggests impending respiratory failure.
AIDP typically presents with rapidly progressive, symmetric, ascending weakness beginning in the lower limbs and spreading proximally.
Areflexia is a hallmark finding, while mild distal sensory symptoms such as paresthesias are common but less prominent.
Cranial nerve involvement occurs in up to 50% of patients, most commonly facial nerve palsy, while bulbar weakness can impair swallowing.
Autonomic dysfunction, including cardiac arrhythmias, orthostatic hypotension, and urinary retention, can complicate the course.
Respiratory muscle involvement occurs in approximately 25–30% of patients, necessitating close monitoring of vital capacity.
The diagnosis is clinical, supported by electrodiagnostic and cerebrospinal fluid (CSF) findings.
Nerve conduction studies reveal prolonged distal latencies, slowed conduction velocity, conduction block, and prolonged F-wave latency.
CSF analysis shows albuminocytologic dissociation (elevated protein with normal cell count) after the first week.
MRI of the spine may show gadolinium enhancement of nerve roots, particularly in the cauda equina.
Differential Diagnosis Comparison:
| Feature | AIDP (GBS) | AMAN | Transverse Myelitis | Myasthenia Gravis |
|---|---|---|---|---|
| Onset | Acute (hours-4 weeks) | Acute (hours-4 weeks) | Acute (hours-days) | Subacute (weeks-months) |
| Weakness Pattern | Ascending, symmetric | Ascending, symmetric | Legs ± arms (level-dependent) | Ocular > bulbar > limb |
| Sensory Loss | Mild distal | Minimal/absent | Sensory level present | None |
| Reflexes | Areflexia (early) | Areflexia | Hyperreflexia (after spinal shock) | Normal or fatigable |
| Autonomic | Common (BP/HR swings) | Common | Bowel/bladder early | Rare |
| CSF Protein | Elevated (>0.55 g/L) | Elevated | Variable, may ↑ WBC | Normal |
| EMG/NCS | Demyelinating (↓CV, ↑DL, CB) | Axonal (↓CMAP, normal CV) | Not done (MRI diagnostic) | Decremental RNS |
| MRI Spine | Nerve root enhancement | Nerve root enhancement | Cord T2 hyperintensity + enhancement | Normal |
| Prognosis | 70-80% full recovery | Variable, may be severe | Variable | Treatable, chronic |
AIDP/GBS Diagnosis requires ALL:
Bilateral flaccid weakness of limbs (symmetric)
Decreased or absent deep tendon reflexes in weak limbs
Monophasic illness pattern (peak weakness by 4 weeks)
CSF findings: Protein >0.45 g/L (normal <0.45) with WBC <50 cells/μL
Electrodiagnostic findings: Demyelinating features (prolonged distal latencies, slowed CV, conduction block, prolonged/absent F-waves) in ≥2 nerves
Exclusion criteria: No other identifiable cause (polio, diphtheria, toxins, vasculitis, acute porphyria, critical illness neuropathy)
Treatment Approach (Evidence-Based Recommendations):
1. Immunotherapy (Acute Phase - Within 2 Weeks of Onset):
| Treatment | Dose/Protocol | Duration | Evidence Grade | Key Notes |
|---|---|---|---|---|
| IVIG | 0.4 g/kg/day | 5 consecutive days | Grade A | Equally effective as PLEX; easier administration; preferred in autonomic instability |
| Plasma Exchange (PLEX) | 200-250 mL/kg total | 4-6 sessions over 10-14 days | Grade A | Equally effective as IVIG; requires central line; avoid in cardiovascular instability |
| Corticosteroids | — | — | Grade D (Not recommended) | Ineffective in GBS; may worsen outcomes |
IVIG vs PLEX Comparison:
| Feature | IVIG | Plasma Exchange |
|---|---|---|
| Efficacy | Equal to PLEX | Equal to IVIG |
| Administration | Peripheral IV | Central line required |
| Duration | 5 days | 10-14 days (4-6 sessions) |
| Cost | High | Very high |
| Contraindications | IgA deficiency, renal impairment | Cardiovascular instability, coagulopathy |
| Side Effects | Headache, thrombosis, renal impairment | Hypotension, bleeding, line infection |
| Preferred When | Autonomic instability, easier access | Severe disease, no IVIG contraindications |
2. Respiratory Monitoring & Support:
| Parameter | Normal | Action Threshold | Intervention |
|---|---|---|---|
| FVC | >70 mL/kg | <20 mL/kg | Consider intubation |
| NIF (Negative Inspiratory Force) | <-60 cmH₂O | >-30 cmH₂O | Consider intubation |
| SpO₂ | >95% | <92% on room air | Supplemental O₂ → intubation if worsening |
| Bulbar weakness | Absent | Difficulty swallowing/handling secretions | Aspiration precautions → intubation if severe |
3. Supportive Care & Complication Prevention:
| Intervention | Protocol | Evidence Grade | Monitoring |
|---|---|---|---|
| DVT Prophylaxis | Enoxaparin 40 mg SC daily or heparin 5,000 U SC TID | Grade A | Watch for bleeding if PLEX |
| Pain Management | Gabapentin 300-1,200 mg TID or carbamazepine 200-400 mg BID | Grade B | Neuropathic pain common (85%) |
| Autonomic Monitoring | Continuous telemetry, BP monitoring | Grade A | Arrhythmias, labile BP (50-70%) |
| Bowel Care | Stool softeners, schedule | Grade C | Ileus, constipation |
| Physical Therapy | Passive ROM, early mobilization when stable | Grade B | Prevent contractures |
| Nutritional Support | NG/PEG if dysphagia, high protein | Grade B | Aspiration risk if bulbar weakness |
Treatment Algorithm:
Phase 1: Diagnosis & Admission (Day 0-1) 1. Confirm diagnosis clinically + CSF + EMG/NCS [Grade A] 2. Admit to ICU/monitored bed if any of: FVC <40 mL/kg, bulbar weakness, autonomic instability, rapid progression [Grade A] 3. Baseline respiratory function: FVC, NIF q4-6h [Grade A]
Phase 2: Immunotherapy (Day 1-2, within 2 weeks of onset) 1. First-line: Choose IVIG OR PLEX (do NOT combine—no added benefit) [Grade A] - IVIG 0.4 g/kg/day × 5 days (preferred if autonomic instability) - PLEX 4-6 sessions (if IVIG contraindicated or very severe)
Phase 3: Supportive Care (Throughout hospitalization) 1. Respiratory: - Monitor FVC/NIF q4-6h - Intubate if FVC <20 mL/kg, NIF >-30 cmH₂O, or respiratory distress [Grade A]
Phase 4: Plateau & Early Recovery (Weeks 2-4) 1. Monitor for complications: Hospital-acquired infections, pressure ulcers, contractures 2. Early mobilization when stable [Grade B] 3. Continue physical/occupational therapy
Phase 5: Rehabilitation (Months 1-6+) 1. Inpatient rehab if significant weakness persists 2. Outpatient therapy for residual deficits 3. Monitor for CIDP (chronic form)—5-10% may develop chronic relapsing course
Prognosis: - 70-80% achieve full or near-full recovery [Grade A evidence] - 15-20% have residual weakness or fatigue - 3-5% mortality (respiratory failure, autonomic complications, PE) - Recovery timeline: Plateau at 2-4 weeks, improvement over 6-12 months - Poor prognostic factors: Age >60, rapid progression, axonal involvement on EMG, need for mechanical ventilation
Question: Which of the following findings is most characteristic of AIDP?
dissociation in CSF (C) Fluctuating weakness with preserved reflexes and fatigability (D) Sensory ataxia with preserved motor strength Answer: (B) Progressive weakness with areflexia and albuminocytologic dissociation in CSF

A 55-year-old man presents with progressive unsteadiness, slurred speech, and memory difficulties over the past year.
He has a 20-year history of heavy alcohol consumption, averaging 6–8 drinks per day.
On examination, he exhibits horizontal nystagmus, truncal ataxia, peripheral neuropathy, and impaired short-term memory.
Laboratory workup reveals macrocytic anemia and low thiamine levels.
MRI shows cerebellar atrophy predominantly affecting the superior vermis and signal changes in the mammillary bodies.
Chronic alcohol use is one of the most common causes of acquired neurological disorders worldwide.
Up to 50% of chronic alcohol users develop some degree of peripheral neuropathy or cognitive impairment.
Wernicke encephalopathy occurs in 1–2% of alcoholics but is often underdiagnosed and underreported.
Alcoholic cerebellar degeneration is more common in men and often associated with long-term heavy intake.
The risk of neurological complications increases with duration and cumulative dose of alcohol exposure.
Chronic alcohol use exerts direct neurotoxic effects on neurons and glial cells, leading to structural and functional brain damage.
Nutritional deficiencies, particularly thiamine (vitamin B1), contribute significantly to Wernicke-Korsakoff syndrome and other complications.
Alcohol impairs axonal transport and causes demyelination in peripheral nerves, resulting in sensorimotor polyneuropathy.
Cerebellar Purkinje cell loss, especially in the anterior superior vermis, underlies gait and coordination deficits.
Chronic exposure also alters neurotransmitter systems (e.g., GABA, glutamate) and increases oxidative stress, exacerbating neuronal injury.
Peripheral neuropathy manifests as distal symmetric sensory loss, paresthesias, and gait instability.
Wernicke encephalopathy presents with the classic triad of ophthalmoplegia, ataxia, and confusion, though all three are present in only a minority of cases.
Korsakoff syndrome is characterized by profound anterograde amnesia, confabulation, and executive dysfunction.
Alcoholic cerebellar degeneration leads to truncal ataxia, dysarthria, and gaze-evoked nystagmus.
Other manifestations include seizures, cognitive decline, myopathy, and autonomic dysfunction.
Diagnosis is primarily clinical, supported by history of chronic alcohol use and characteristic neurological findings.
MRI may reveal cerebellar atrophy, mammillary body involvement, or diffuse cortical changes.
Nerve conduction studies confirm peripheral neuropathy, typically showing reduced amplitudes and slowed conduction velocities.
Differential diagnosis includes vitamin B12 deficiency, paraneoplastic syndromes, toxic neuropathies, hereditary ataxias, and neurodegenerative dementias.
Laboratory workup should include thiamine, B12, folate, liver function tests, and neuroimaging to exclude alternative causes.
Immediate thiamine replacement (100–500 mg IV) is essential in suspected Wernicke encephalopathy, prior to glucose administration.
Sustained alcohol abstinence is the cornerstone of treatment and can lead to partial neurological recovery.
Nutritional rehabilitation with multivitamins, particularly B-complex vitamins, is recommended.
Physical therapy and occupational therapy are beneficial for patients with ataxia or neuropathy.
Cognitive rehabilitation, supportive care, and treatment of comorbid psychiatric conditions (e.g., depression, withdrawal) are crucial for long-term outcomes.
Which of the following is most characteristic of Wernicke encephalopathy?
Answer: (B) The classic triad of ophthalmoplegia, ataxia, and confusion is seen in Wernicke’s Encephalopathy

Differential Diagnoses: Frontotemporal Dementia | Lewy Body Dementia | Vascular Dementia | Normal Pressure Hydrocephalus
Related Symptoms: Amnesia | Aphasia | Apraxia | Confusion / Altered Mental Status
Diagnostic Tests: Neuropsychological Testing | MRI | Lumbar Puncture (CSF biomarkers)
A 72-year-old woman presents with a 3-year history of progressive memory loss, difficulty recalling recent conversations, and occasional disorientation in familiar settings.
Family reports trouble managing finances and daily tasks, with subtle personality changes and increased irritability.
Neurological examination shows impaired short-term memory, mild language deficits, and disorientation to time.
MRI reveals global cortical atrophy, most pronounced in the medial temporal lobes.
Mini-Mental State Examination (MMSE) score is 21/30, suggesting moderate cognitive impairment.
Alzheimer’s disease (AD) is the most common cause of dementia, accounting for 60–70% of cases worldwide.
Prevalence increases exponentially with age, affecting nearly 30–40% of individuals over 85 years.
Women are affected more frequently than men, partly due to longer life expectancy.
Family history and the APOE \(\varepsilon\)4 allele are significant risk factors.
Early-onset AD (\(<\)65 years) represents less than 5% of cases and is often linked to APP, PSEN1, or PSEN2 mutations.
AD is characterized by extracellular amyloid-\(\beta\) (A\(\beta\)) plaques and intracellular neurofibrillary tangles composed of hyperphosphorylated tau.
These pathologies lead to synaptic dysfunction, neuronal death, and cortical atrophy, particularly in the hippocampus and association cortices.
Chronic neuroinflammation and microglial activation contribute to progressive neurodegeneration.
Impaired clearance of A\(\beta\) due to genetic or vascular factors accelerates disease progression.
Vascular comorbidities and metabolic factors (e.g., diabetes) further exacerbate neuronal injury.
Memory impairment, especially episodic memory, is the hallmark early symptom.
Progression includes language deficits (anomia, aphasia), visuospatial dysfunction, and executive impairment.
Behavioral and neuropsychiatric symptoms such as apathy, agitation, depression, and psychosis may occur.
Later stages feature loss of motor skills, incontinence, and complete dependence for daily activities.
The disease course typically spans 8–12 years from symptom onset.
APOE ε4 is the strongest genetic risk factor (not diagnostic). Classic pattern: gradual onset, memory-first (episodic memory), then language/visuospatial. CSF: Low Aβ42 + High tau = AD signature. Differentiate from FTD (behavior-first) and DLB (early visual hallucinations).
Diagnosis is clinical, supported by cognitive testing (MMSE, MoCA) and biomarker evidence.
MRI typically shows hippocampal and temporoparietal atrophy.
CSF analysis reveals decreased A\(\beta\)42 and increased total and phosphorylated tau levels.
Differential diagnosis includes vascular dementia, Lewy body dementia, frontotemporal dementia, and normal-pressure hydrocephalus.
PET imaging with amyloid or tau tracers and plasma biomarkers are emerging diagnostic tools.
Differential Diagnosis Comparison:
| Feature | Alzheimer’s | Frontotemporal (FTD) | Lewy Body (DLB) | Vascular |
|---|---|---|---|---|
| Age of Onset | >65 years | 50-60 years (younger) | >60 years | Variable |
| Initial Symptom | Memory loss | Behavior/personality | Visual hallucinations | Stepwise decline |
| Memory | Early, prominent | Relatively preserved early | Variable | Patchy |
| Behavior | Late | Early, disinhibition | Fluctuating cognition | Variable |
| Parkinsonism | Absent/late | Absent | Early, prominent | Variable |
| Hallucinations | Late | Rare | Early visual | Rare |
| MRI | Hippocampal atrophy | Frontal/temporal atrophy | Preserved hippocampus | Strokes, white matter disease |
| CSF Biomarkers | Low Aβ42, High tau | Normal/variable | Normal Aβ42, tau | Normal |
Probable Alzheimer’s Disease requires: 1. Insidious onset (gradual, over months-years) 2. Clear progressive cognitive decline (by history or testing) 3. Initial and prominent memory impairment OR non-memory presentation (language, visuospatial, executive) 4. No evidence of: - Stroke temporally related to decline - Core features of Lewy body dementia - Behavioral variant FTD - Other neurological/systemic disease 5. Supportive biomarkers (not required for clinical diagnosis): - CSF: ↓Aβ42, ↑tau, ↑phospho-tau - MRI: Hippocampal/medial temporal atrophy - PET: Reduced temporo-parietal glucose metabolism
Pharmacologic Treatment:
| Drug Class | Examples | Dose | Stage | Evidence Grade | Benefit |
|---|---|---|---|---|---|
| Cholinesterase Inhibitors | Donepezil | 5-10 mg/day PO | Mild-Moderate | Grade A | MMSE +2-3 points |
| Rivastigmine | 6-12 mg/day PO or patch | Mild-Moderate | Grade A | Modest cognitive benefit | |
| Galantamine | 16-24 mg/day PO | Mild-Moderate | Grade A | Similar efficacy | |
| NMDA Antagonist | Memantine | 10 mg BID PO | Moderate-Severe | Grade B | Slows decline slightly |
| Combination | Donepezil + Memantine | Both at standard doses | Moderate-Severe | Grade B | Additive benefit |
| Anti-Amyloid mAb | Lecanemab | 10 mg/kg IV q2 weeks | Early AD | Grade B | 27% slower decline (new!) |
Treatment Algorithm:
Symptomatic Management:
| Symptom | Treatment | Evidence Grade |
|---|---|---|
| Agitation/Aggression | Non-pharm first; Low-dose antipsychotics (risperidone) if severe | Grade C |
| Depression | SSRIs (citalopram, sertraline) | Grade B |
| Sleep disturbance | Melatonin, sleep hygiene | Grade C |
| Psychosis | Antipsychotics (use cautiously - black box warning) | Grade C |
Prognosis: - Average survival: 8-12 years from diagnosis - Decline rate: ~3-4 MMSE points/year untreated - Cholinesterase inhibitors may delay nursing home placement by 6-12 months - No current treatment reverses or stops progression
Which of the following CSF findings is most characteristic of Alzheimer’s disease?
Answer: (B) Decreased A\(\beta\)42, increased phosphorylated tau

A 74-year-old woman with a history of well-controlled hypertension presents with sudden-onset right-sided weakness and confusion.
CT head shows a lobar intracerebral hemorrhage (ICH) in the parietal lobe without evidence of trauma or vascular malformation.
Over the following months, she experiences two additional spontaneous lobar hemorrhages and progressive cognitive decline.
MRI reveals multiple cortical microbleeds and cortical superficial siderosis, raising suspicion for cerebral amyloid angiopathy (CAA).
A diagnosis of probable CAA is made based on clinical and radiological criteria without the need for biopsy.
CAA is a common cause of non-hypertensive lobar intracerebral hemorrhage in the elderly, particularly in patients over 70 years of age.
The prevalence increases with age and is found in up to 30–40% of elderly brains on autopsy.
It is more frequent in patients with Alzheimer’s disease, reflecting overlapping amyloid pathophysiology.
There is no known sex predilection, though genetic risk factors such as APOE \(\varepsilon\)2 and \(\varepsilon\)4 alleles increase susceptibility.
CAA is a major cause of recurrent lobar hemorrhages and contributes to cognitive decline and vascular dementia.
CAA is caused by deposition of amyloid-\(\beta\) peptides, predominantly A\(\beta\)40, within the walls of small- and medium-sized cortical and leptomeningeal arteries.
These deposits lead to vascular wall fragility, fibrinoid necrosis, and microaneurysm formation, predisposing to spontaneous hemorrhage.
Amyloid deposition also disrupts vascular reactivity and clearance mechanisms, contributing to chronic hypoperfusion and white matter injury.
The pathogenesis overlaps with Alzheimer’s disease, as both conditions share amyloid-\(\beta\) dysregulation, but vascular amyloid predominantly involves A\(\beta\)40 rather than A\(\beta\)42.
Progressive vessel weakening can result in lobar ICH, cortical microbleeds, and superficial siderosis, which are characteristic imaging findings.
Recurrent lobar intracerebral hemorrhage, often in parietal, occipital, or frontal lobes, is the hallmark clinical presentation.
Cognitive impairment and dementia may develop gradually due to cumulative microvascular damage and white matter changes.
Transient focal neurological episodes (TFNEs), mimicking TIAs or seizures, may occur due to cortical spreading depolarizations.
Cortical superficial siderosis can present with recurrent focal neurological deficits or progressive cognitive decline.
Headaches and seizures are less common but may occur during acute hemorrhagic events.
Diagnosis is primarily clinical and radiological, guided by the Boston Criteria, which stratify cases as possible, probable, or definite CAA.
MRI with susceptibility-weighted imaging (SWI) or gradient-echo sequences is essential, revealing multiple lobar microbleeds, cortical superficial siderosis, and macrohemorrhages.
CT is useful for detecting acute hemorrhage but less sensitive for microbleeds.
Brain biopsy remains the gold standard for definitive diagnosis but is rarely performed except in atypical cases.
Differential diagnoses include hypertensive hemorrhage (deep location), vascular malformations, neoplastic angiopathy, vasculitis, and coagulopathy-related bleeds.
There is no disease-modifying therapy; management focuses on secondary prevention, supportive care, and risk reduction.
Strict blood pressure control and avoidance of antithrombotic therapy (if possible) are key to reducing recurrence risk.
Seizures should be treated with antiepileptic drugs, and cognitive decline managed with supportive and symptomatic therapies.
In select cases, surgical evacuation of large lobar hematomas may be indicated, though rebleeding risk remains high.
Emerging therapies targeting amyloid clearance are under investigation but are not yet part of standard care.
Question: Which of the following imaging findings is most characteristic of cerebral amyloid angiopathy?
susceptibility-weighted MRI (C) Subarachnoid hemorrhage with perimesencephalic distribution (D) Diffuse leukoencephalopathy without hemorrhagic lesions Answer: (B) Lobar microbleeds and cortical superficial siderosis on susceptibility weighted imaging on MRI
Greenberg SM, Charidimou A. Diagnosis of cerebral amyloid angiopathy: Evolution of the Boston criteria. Stroke. 2018;49(2):491-497. https://doi.org/10.1161/STROKEAHA.117.016990
Charidimou A, Boulouis G, Gurol ME, et al. Emerging concepts in sporadic cerebral amyloid angiopathy. Brain. 2017;140(7):1829-1850. https://doi.org/10.1093/brain/awx047

A 62-year-old man presents with progressive numbness, burning pain, and orthostatic dizziness over 18 months.
He reports unintentional weight loss and intermittent diarrhea but denies any family history of neuropathy.
Examination reveals distal symmetric sensory loss in a length-dependent pattern, absent ankle reflexes, and significant postural hypotension.
There is mild bilateral carpal tunnel syndrome and early signs of autonomic dysfunction, including erectile dysfunction and altered sweating.
Further evaluation is initiated to investigate systemic causes, including amyloidosis.
Amyloid neuropathy occurs due to extracellular deposition of amyloid fibrils in peripheral nerves, often associated with systemic amyloidosis.
The condition can be hereditary (e.g., transthyretin amyloidosis), acquired (e.g., AL amyloidosis from plasma cell dyscrasias), or secondary to chronic inflammatory diseases (AA amyloidosis).
AL amyloidosis typically presents in the sixth decade, whereas hereditary transthyretin amyloidosis often manifests in midlife.
Men are slightly more commonly affected, and the prevalence is underestimated due to frequent misdiagnosis as chronic inflammatory neuropathies.
Early identification is critical, as prognosis and treatment options differ significantly depending on the underlying amyloid type.
Amyloid neuropathy results from the deposition of misfolded amyloid fibrils derived from precursor proteins such as transthyretin (TTR) or immunoglobulin light chains.
These deposits accumulate in the endoneurium, epineurium, and vasa nervorum, disrupting axonal transport and impairing nerve perfusion.
Small unmyelinated and thinly myelinated fibers are often affected first, leading to early sensory and autonomic involvement.
In AL amyloidosis, amyloidogenic light chains are produced by clonal plasma cells, whereas hereditary forms arise from mutations causing TTR instability.
Organ involvement, including cardiac, renal, and gastrointestinal systems, frequently coexists and influences clinical course and prognosis.
The neuropathy is usually a length-dependent, symmetric, sensorimotor polyneuropathy with early small-fiber involvement causing burning pain and dysesthesia.
Autonomic dysfunction is prominent and may include orthostatic hypotension, gastrointestinal dysmotility, bladder dysfunction, and erectile dysfunction.
Carpal tunnel syndrome is a common early feature, particularly in ATTR amyloidosis, and may precede systemic signs.
Motor involvement occurs later in the disease course and may lead to distal weakness and muscle wasting.
Systemic manifestations such as nephrotic syndrome, restrictive cardiomyopathy, and macroglossia may provide diagnostic clues.
Diagnosis requires a high index of suspicion and confirmation of amyloid deposition in tissue biopsy, typically from abdominal fat pad, salivary gland, or sural nerve.
Congo red staining demonstrating apple-green birefringence under polarized light confirms amyloid presence.
Immunohistochemistry or mass spectrometry helps subtype amyloid (AL vs. ATTR vs. AA), which is essential for guiding therapy.
Nerve conduction studies often show a length-dependent axonal sensorimotor neuropathy, with prominent small-fiber involvement.
Differential diagnoses include chronic inflammatory demyelinating polyneuropathy (CIDP), diabetic neuropathy, vasculitic neuropathy, and paraneoplastic neuropathy.
Treatment is directed at the underlying amyloid type and supportive care for neuropathic and autonomic symptoms.
In AL amyloidosis, plasma cell-directed therapies such as bortezomib-based regimens or autologous stem cell transplantation may halt progression.
In ATTR amyloidosis, TTR stabilizers (tafamidis, diflunisal), gene-silencing therapies (patisiran, inotersen), or liver transplantation (for hereditary cases) can slow or reverse neuropathy.
Symptomatic management includes neuropathic pain control, volume expansion and midodrine for orthostatic hypotension, and dietary modifications for gastrointestinal symptoms.
Early diagnosis and multidisciplinary management significantly improve functional outcomes and quality of life.
Question: Which of the following is a typical feature of amyloid neuropathy?
Answer: (B) Length-dependent symmetric sensorimotor neuropathy with prominent autonomic involvement
Gertz MA, Dispenzieri A. Systemic amyloidosis recognition, prognosis, and therapy: A systematic review. JAMA. 2020;324(1):79-89. https://doi.org/10.1001/jama.2020.5493
Adams D, Koike H, Slama M, Coelho T. Hereditary transthyretin amyloidosis: a model of medical progress for a fatal disease. Nat Rev Neurol. 2019;15(7):387-404. https://doi.org/10.1038/s41582-019-0210-4

Differential Diagnoses: Primary Lateral Sclerosis | Progressive Muscular Atrophy | Multifocal Motor Neuropathy | Cervical Myelopathy
Related Symptoms: Muscle Weakness | Dysarthria | Dysphagia | Respiratory Insufficiency
Diagnostic Tests: Electromyography (EMG) | MRI Spine | Pulmonary Function Testing
A 56-year-old man presents with progressive weakness in his right hand over 8 months, now accompanied by muscle wasting and fasciculations.
He reports difficulty buttoning shirts and occasional muscle cramps but denies sensory loss.
On examination, there is asymmetric distal limb weakness, hyperreflexia, and spasticity in the lower limbs, with no sensory deficits.
Bulbar involvement is suspected due to subtle dysarthria and brisk jaw jerk.
These findings suggest a neurodegenerative motor neuron disorder such as ALS.
ALS is the most common adult-onset motor neuron disease, with an incidence of 1–2 per 100,000 population per year.
Peak onset occurs between 55 and 70 years of age, with a slight male predominance (M:F ≈ 1.5:1).
About 90–95% of cases are sporadic, while 5–10% are familial, often linked to mutations in genes such as SOD1, C9orf72, and TARDBP.
The disease is worldwide in distribution, with similar incidence across ethnic groups.
Median survival ranges from 2 to 5 years from symptom onset, though some patients live longer.
ALS features progressive degeneration of upper motor neurons (UMNs) in the motor cortex and lower motor neurons (LMNs) in the brainstem and spinal cord.
Cellular stressors include glutamate excitotoxicity, oxidative and mitochondrial injury, impaired axonal transport, and RNA/protein aggregation (e.g., TDP-43, SOD1).
C9orf72 hexanucleotide repeat expansions cause toxic RNA foci and dipeptide repeat proteins; SOD1 mutations promote misfolded protein stress; TARDBP and FUS mutations impair RNA processing.
Neuroinflammatory microglial activation and astrocytic dysfunction amplify injury, while impaired autophagy and proteasomal clearance allow toxic proteins to accumulate.
Spread along corticospinal and motor neuron networks likely explains the regional progression seen clinically.
ALS typically presents with asymmetric limb weakness and a combination of UMN and LMN signs in the same region.
UMN features include spasticity, hyperreflexia, Babinski sign, and pseudobulbar affect.
LMN features include muscle wasting, fasciculations, cramps, and flaccid weakness.
Bulbar involvement manifests as dysarthria, dysphagia, and tongue fasciculations, while respiratory muscle weakness causes dyspnea.
Sensory function, ocular movements, and sphincter control are usually preserved.
Combined UMN + LMN signs in the same myotome without sensory loss strongly favors ALS. Early respiratory muscle weakness (low sniff nasal inspiratory pressure) may predate obvious dyspnea—screen at each visit.
Diagnosis is primarily clinical, supported by electrophysiological and imaging studies.
Electromyography (EMG) shows widespread denervation and reinnervation, even in clinically unaffected muscles.
Nerve conduction studies help exclude peripheral neuropathies, while MRI excludes structural mimics.
Diagnostic criteria (e.g., revised El Escorial or Awaji criteria) require evidence of both UMN and LMN involvement in multiple regions.
Differential diagnoses include multifocal motor neuropathy, cervical myelopathy, spinal muscular atrophy, myasthenia gravis, and primary lateral sclerosis.
Differential Diagnosis Comparison:
| Feature | ALS | Primary Lateral Sclerosis | Progressive Muscular Atrophy | Multifocal Motor Neuropathy |
|---|---|---|---|---|
| UMN Signs | Present | Prominent, isolated | Absent/Minimal | Absent |
| LMN Signs | Present | Absent early | Prominent | Focal, asymmetric |
| Sensory Symptoms | Absent | Absent | Absent | Absent |
| NCS/EMG | Widespread denervation, no conduction block | Normal NCS/EMG | Denervation limited to LMN | Motor conduction block, normal sensory |
| Course | 2–5 yr median survival | Slowly progressive, decades | Some evolve to ALS | Relapsing, treatable (IVIG) |
| Treatment Response | Riluzole/edaravone modest | Symptomatic only | Supportive ± ALS therapy | Dramatic IVIG response |
Diagnose ALS when all are met: 1. Progressive motor impairment documented by history or serial exam. 2. UMN + LMN dysfunction in ≥1 body region (or LMN in ≥2 regions) with clinical/EMG evidence. 3. Exclusion of alternative diagnoses by appropriate imaging, labs, and electrophysiology. 4. Supportive tests: EMG showing active denervation in ≥2 limbs, normal sensory studies, normal cervical MRI aside from mild spondylosis.
Disease-Modifying Therapy (Evidence-Based):
| Therapy | Dose/Schedule | Mechanism | Evidence Grade | Outcome Benefit |
|---|---|---|---|---|
| Riluzole | 50 mg PO BID | Inhibits glutamate release | Grade A | +2–3 months survival, delays tracheostomy |
| Edaravone (IV) | 60 mg IV daily ×14 days, then 10/14 days monthly | Free radical scavenger | Grade B | Slows ALSFRS-R decline in early disease |
| Edaravone (oral) | 105 mg PO daily per labeling | Same as IV | Grade B | Similar efficacy, easier access |
| AMX0035 (sodium phenylbutyrate/taurursodiol) | 1 packet BID PO | ER stress + mitochondrial support | Grade B | Slower functional decline, survival signal |
| Tofersen (SOD1 mutation) | 100 mg IT q2-4 weeks | Antisense oligonucleotide | Grade C | Lowers neurofilament; symptomatic benefit pending |
Supportive & Symptom Management:
| Domain | Intervention | Evidence Grade | Notes |
|---|---|---|---|
| Respiratory | Non-invasive ventilation when FVC <50% or symptomatic | Grade A | Extends survival 7–12 months |
| Nutrition | PEG feeding for weight loss/dysphagia | Grade A | Improves survival/quality of life |
| Spasticity | Baclofen, tizanidine | Grade B | Intrathecal baclofen for refractory cases |
| Sialorrhea | Anticholinergics, botulinum toxin | Grade B | Radiation to salivary glands in refractory cases |
| Pseudobulbar Affect | Dextromethorphan/quinidine | Grade A | Rapid symptom relief |
| Cramps/Pain | Mexiletine, gabapentin, quinine alternatives | Grade C | Mexiletine reduces cramps; monitor QT |
| Communication | AAC devices, voice banking | Grade C | Initiate before anarthria |
Treatment Algorithm:
Question: Which of the following findings is most characteristic of ALS?
Answer: (C) Coexistence of upper and lower motor neuron signs in the same limb.

Differential Diagnoses: Hypoxic-Ischemic Encephalopathy | Metabolic Encephalopathy | Traumatic Brain Injury | Postictal States
Related Symptoms: Coma | Myoclonus | Cognitive decline | Autonomic instability
Diagnostic Tools: MRI DWI | EEG | Somatosensory Evoked Potentials
A 56-year-old man is brought to the emergency department after being found unresponsive following a witnessed cardiac arrest at home.
Return of spontaneous circulation is achieved after 12 minutes of CPR, but the patient remains comatose.
Initial CT head is unremarkable, but MRI performed on day 3 shows diffuse cortical diffusion restriction.
Neurological examination reveals absent pupillary light reflexes and no purposeful motor responses.
Prognostic discussions are initiated with the family based on clinical findings, imaging, and electrophysiological tests.
Anoxic brain injury (ABI) is a leading cause of neurological morbidity and mortality following cardiac arrest, drowning, or severe respiratory failure.
It accounts for up to 80% of deaths among patients admitted to intensive care units after cardiac arrest.
Survivors often have significant long-term cognitive, behavioral, and motor deficits.
The incidence is increasing due to improved resuscitation techniques and higher survival rates after cardiac events.
Most cases occur in adults over 50 years, though pediatric cases are often related to drowning or perinatal asphyxia.
Clinical presentation ranges from coma and persistent vegetative state to cognitive deficits and movement disorders in survivors.
Early signs include loss of consciousness, absent brainstem reflexes, and post-anoxic myoclonus.
Delayed neurological manifestations may include spasticity, seizures, parkinsonism, or cognitive impairment.
Selective vulnerability of hippocampal neurons often leads to severe anterograde amnesia in survivors.
Long-term outcomes depend on duration of anoxia, time to resuscitation, and supportive care measures.
Delay prognostication until ≥72 hours after return of spontaneous circulation and completion of targeted temperature management; early sedatives and hypothermia confound exam and EEG findings.
Diagnosis is based on history of hypoxic event, clinical examination, and supportive neuroimaging and electrophysiological findings.
MRI with diffusion-weighted imaging (DWI) typically shows diffuse cortical and deep gray matter restriction in severe cases.
EEG may reveal burst suppression or generalized slowing, and somatosensory evoked potentials can assist in prognosis.
Biomarkers such as neuron-specific enolase (NSE) and S-100B can support the diagnosis but lack specificity.
Differential diagnoses include metabolic encephalopathy, toxic encephalopathy, traumatic brain injury, and postictal states.
Differential Diagnosis Comparison:
| Feature | Anoxic Brain Injury | Metabolic Encephalopathy | Traumatic Brain Injury | Status Epilepticus |
|---|---|---|---|---|
| History | Cardiac arrest, asphyxia | Organ failure, toxidrome | Head trauma | Prolonged seizures |
| Imaging | Diffuse cortical DWI lesions | Often normal or diffuse edema | Focal contusions, DAI | Variable; cortical swelling |
| EEG | Burst suppression, suppressed background | Triphasic waves, diffuse slowing | Focal slowing | Ictal discharges |
| Biomarkers | Elevated NSE, S-100B | Variable | N/A | Elevated CK, lactate |
Acute/Post-Resuscitation Care:
| Intervention | Target/Details |
|---|---|
| Targeted Temperature Management | Maintain 32–36 °C for 24 h to reduce secondary injury |
| Hemodynamic Optimization | MAP >65 mmHg, avoid hypotension/hypoxia |
| Ventilation | Maintain normoxia/normocapnia; avoid hyperoxia |
| Seizure control | Continuous EEG; treat myoclonic status aggressively |
| Glucose management | Avoid extremes; target 140–180 mg/dL |
Long-Term & Supportive Care:
| Measure | Purpose |
|---|---|
| Neurorehabilitation | Cognitive, speech, and motor recovery |
| Spasticity & movement disorder management | Baclofen, botulinum toxin, dopaminergic therapy |
| Psychiatric support | Depression, anxiety, PTSD in survivors/families |
| Family counseling & goals-of-care discussions | Align outcomes with patient values |
Management Algorithm: 1. Immediate resuscitation: Restore circulation/oxygenation; initiate TTM. 2. ICU care: Stabilize hemodynamics, monitor EEG, treat seizures, manage ventilation and metabolic derangements. 3. Prognostication (post-TTM ≥72 h): Use multimodal exam/imaging/EEG/SSEP/biomarkers; avoid premature withdrawal. 4. Rehabilitation phase: Transition to neurorehab once medically stable; address spasticity, cognition, and mood. 5. Long-term follow-up: Monitor for delayed complications (parkinsonism, epilepsy), support caregivers, and reassess goals of care.
Question: Which brain region is most susceptible to injury in anoxic brain injury?
Answer: (B) Hippocampus.

A 42-year-old software engineer presents with difficulty writing and buttoning shirts over the past 3 weeks.
He denies pain or numbness but notes that he cannot make the "OK" sign with his thumb and index finger.
There is no history of trauma, but he had a recent flu-like illness two weeks before symptom onset.
Neurological examination reveals weakness of flexor pollicis longus and flexor digitorum profundus to the index finger, with preserved sensation.
These findings are consistent with anterior interosseous nerve syndrome, a pure motor neuropathy.
AINS is a rare entrapment neuropathy, accounting for less than 1% of all upper limb neuropathies.
It most commonly affects adults between 30 and 60 years, with a slight male predominance.
The condition is often idiopathic but may follow minor trauma, viral illness, or strenuous upper limb activity.
Spontaneous neuritis (neuralgic amyotrophy) accounts for a significant proportion of cases.
Most cases are unilateral and self-limiting, but chronic cases may require surgical decompression.
The anterior interosseous nerve (AIN) is a purely motor branch of the median nerve arising 5–8 cm distal to the elbow.
It innervates the flexor pollicis longus (FPL), flexor digitorum profundus (FDP) to the index and middle fingers, and pronator quadratus (PQ).
Pathogenesis may involve mechanical compression (e.g., fibrous bands, tendinous arches) or immune-mediated neuritis.
Neuralgic amyotrophy leads to sudden-onset, often painful AIN palsy without mechanical entrapment.
Entrapment commonly occurs near the origin of the flexor digitorum superficialis or pronator teres.
Gradual or sudden-onset weakness of FPL and FDP to the index finger, impairing pinch grip ("OK sign" becomes triangular).
Weakness of pronation in the forearm, especially with the elbow flexed, due to PQ involvement.
No sensory deficits since AIN is a pure motor nerve.
Pain may precede weakness in neuritic cases but is usually absent in compressive neuropathy.
Differential includes tendon rupture, cervical radiculopathy, brachial neuritis, and proximal median neuropathy.
Clinical diagnosis is key, based on characteristic motor findings and absence of sensory involvement.
Electromyography (EMG) confirms denervation of AIN-innervated muscles and helps localize the lesion.
Nerve conduction studies are usually normal due to the purely motor nature of the nerve.
MRI or high-resolution ultrasound may reveal entrapment, nerve swelling, or structural lesions.
Differential diagnosis includes tendon injuries, C8-T1 radiculopathy, and median nerve lesions proximal to AIN.
Most cases improve spontaneously within 3–6 months; initial management is conservative with observation and physical therapy.
Splinting and occupational therapy can help prevent joint stiffness and improve function.
Corticosteroids may be considered in suspected immune-mediated cases, such as neuralgic amyotrophy.
Surgical decompression is reserved for persistent deficits beyond 6–12 months or confirmed entrapment.
Prognosis is generally favorable, with most patients regaining significant function.
Question: Which of the following findings is most characteristic of anterior interosseous nerve syndrome?
Answer: (C) Weakness of flexor pollicis longus and index finger flexion without sensory loss.

A 48-year-old woman presents with severe chronic low back pain radiating to both legs, accompanied by burning dysesthesias and bladder urgency.
She has a history of multiple lumbar surgeries and prior epidural steroid injections.
Neurological examination reveals reduced reflexes and mild lower extremity weakness without a clear dermatomal pattern.
MRI lumbar spine shows clumping of nerve roots and thickening of the arachnoid membrane in the cauda equina.
These findings are consistent with chronic adhesive arachnoiditis following iatrogenic insult.
Arachnoiditis is a rare but serious chronic inflammatory condition of the arachnoid mater, most often affecting the lumbosacral spinal canal.
Incidence has decreased with improved sterile technique but remains significant following spinal surgeries or intrathecal interventions.
The condition predominantly affects adults, with a slight female predominance.
Iatrogenic causes such as lumbar puncture, intrathecal injections, or epidural anesthesia account for most cases.
Less common causes include infections (e.g., TB, syphilis), subarachnoid hemorrhage, trauma, or chemical irritants.
Arachnoiditis results from chronic inflammation of the arachnoid membrane, leading to fibrosis, adhesions, and entrapment of nerve roots.
Initial injury triggers cytokine-mediated inflammation and activation of fibroblasts, causing scarring and obliteration of the subarachnoid space.
Entrapped nerve roots develop chronic ischemia and demyelination, contributing to persistent neuropathic pain and neurological deficits.
Abnormal CSF dynamics and impaired nerve root mobility exacerbate symptoms over time.
Histologically, there is collagen deposition, arachnoid thickening, and nerve root clumping.
Chronic severe pain is the most prominent feature, often described as burning or stabbing, and can be refractory to standard analgesics.
Neurological deficits include radiculopathy, paresthesia, weakness, and gait instability, often involving multiple nerve roots.
Autonomic dysfunction such as urinary urgency, retention, or bowel disturbances may occur.
Symptoms are typically non-dermatomal and may worsen over time, making diagnosis challenging.
Pain often worsens with movement, sitting, or Valsalva maneuvers due to tethering of nerve roots.
MRI with contrast is the gold standard, showing nerve root clumping,"empty thecal sac" sign, or intradural adhesions.
CT myelography may show loculated CSF flow or nerve root encapsulation in chronic cases.
Electrodiagnostic studies may reveal a polyradiculopathy pattern but are nonspecific.
Differential diagnoses include spinal stenosis, chronic radiculopathy, epidural fibrosis, transverse myelitis, and neoplastic leptomeningeal disease.
A thorough history of prior spinal procedures or exposures is essential for diagnosis.
There is no definitive cure; treatment focuses on symptom management and improving quality of life.
Neuropathic pain agents (gabapentin, pregabalin, duloxetine) are first-line therapies for chronic pain.
Epidural adhesiolysis or surgical lysis of adhesions may offer temporary relief but carries significant risk of worsening symptoms.
Physical therapy, transcutaneous electrical nerve stimulation (TENS),and spinal cord stimulation are adjunctive options.
Patient education and multidisciplinary pain management approaches are crucial for long-term care.
Question: Which MRI finding is most characteristic of chronic arachnoiditis?
Answer: (B) "Empty thecal sac" sign with nerve root clumping.

A 27-year-old woman presents with progressive occipital headaches that worsen with coughing and straining.
She reports intermittent dizziness and unsteady gait, as well as tingling in both hands.
There is no history of trauma or prior neurological illness.
Neurological examination reveals mild nystagmus, decreased pain and temperature sensation in the upper extremities, and positive Romberg sign.
MRI of the brain and cervical spine demonstrates herniation of the cerebellar tonsils below the foramen magnum.
Arnold–Chiari malformations (CM) are congenital hindbrain malformations characterized by downward displacement of the cerebellum through the foramen magnum.
The most common type is Type I, often diagnosed in adolescence or adulthood due to subtle or delayed symptom onset.
Types II–IV are typically diagnosed in infancy and are often associated with myelomeningocele, hydrocephalus, or severe neurological deficits.
The overall prevalence of Type I malformation is estimated at 0.1–0.5% of the population, though many cases remain asymptomatic.
Familial clustering suggests a genetic component, but environmental and developmental factors also contribute.
Chiari malformations result from congenital underdevelopment of the posterior fossa, leading to crowding and descent of the cerebellum into the spinal canal.
Type I involves herniation of the cerebellar tonsils, whereas Type II includes herniation of the brainstem and fourth ventricle.
Obstruction of cerebrospinal fluid (CSF) flow at the foramen magnum can result in hydrocephalus and syringomyelia.
Compression of brainstem and spinal cord structures leads to a range of neurological deficits.
Secondary acquired forms may occur following lumbar shunting or CSF overdrainage.
Suboccipital headaches exacerbated by Valsalva maneuvers (e.g., coughing, sneezing) are the most common symptom.
Other manifestations include dizziness, ataxia, nystagmus, dysphagia, and sleep apnea due to brainstem involvement.
Syringomyelia may present with a "cape-like" distribution of loss of pain and temperature sensation in the upper limbs.
Infants with Type II malformation may present with hydrocephalus, myelomeningocele, and cranial nerve dysfunction.
Chronic progression can result in spasticity, scoliosis, and upper limb weakness.
MRI is the gold standard, demonstrating cerebellar tonsillar descent greater than 5 mm below the foramen magnum in Type I malformation.
Cine MRI can assess CSF flow obstruction at the craniovertebral junction.
Neurophysiological studies may assist in evaluating associated syringomyelia or brainstem dysfunction.
Differential diagnosis includes posterior fossa tumors, idiopathic intracranial hypertension, multiple sclerosis, and cervical spondylotic myelopathy.
Prenatal ultrasound and fetal MRI may identify severe forms (Type II–IV) in utero.
Asymptomatic cases may be observed with periodic clinical and radiological follow-up.
Symptomatic patients often require posterior fossa decompression surgery to relieve pressure and restore CSF flow.
Syringomyelia may necessitate additional procedures, such as syringosubarachnoid shunting.
Ventriculoperitoneal shunting is indicated if hydrocephalus is present.
Early intervention generally leads to symptom improvement and stabilization of disease progression.
Question: Which of the following is the most characteristic clinical feature of Arnold–Chiari malformation type I?
Answer: (B) Headache exacerbated by coughing or Valsalva maneuvers.

A 52-year-old man presents with progressive numbness and burning pain in his feet, accompanied by diffuse skin hyperpigmentation and non-healing ulcers on his hands.
He reports chronic exposure to well water in a rural area known for high arsenic content.
Neurological examination reveals distal symmetric sensorimotor polyneuropathy with reduced ankle reflexes.
Nails show transverse white lines (Mees’ lines).
Laboratory test shows elevated urine arsenic levels.
Arsenic is a naturally occurring metalloid found in groundwater, industrial emissions, pesticides, and contaminated food sources.
Chronic exposure affects millions worldwide, particularly in regions with contaminated drinking water such as parts of South Asia, South America, and the United States.
Occupational exposure occurs in industries involving smelting, mining, and semiconductor manufacturing.
Toxicity depends on the form, dose, and duration of exposure, with inorganic arsenic being more toxic than organic forms.
Both acute and chronic arsenic exposure pose significant risks for systemic and neurological disease.
Arsenic exerts toxicity by binding to sulfhydryl groups, inhibiting critical enzymes in oxidative phosphorylation and disrupting cellular energy metabolism.
It generates reactive oxygen species (ROS), causing oxidative stress, mitochondrial dysfunction, and cellular apoptosis.
Chronic exposure leads to DNA damage, epigenetic alterations, and increased risk of malignancies, especially skin, bladder, and lung cancers.
Neurological injury primarily involves axonal degeneration, particularly affecting sensory neurons in a lngth-dependent pattern.
The cumulative toxic effect is influenced by genetic polymorphisms in arsenic methylation pathways and nutritional status.
Acute arsenic poisoning presents with severe gastrointestinal symptoms (vomiting, diarrhea), hypotension, cardiac arrhythmias, and encephalopathy.
Chronic exposure leads to dermatological changes such as hyperpigmentation, hyperkeratosis, and "raindrop" skin lesions.
Peripheral neuropathy is a hallmark, manifesting as a painful, distal symmetric sensorimotor polyneuropathy, often with burning pain and sensory loss.
Other systemic manifestations include hepatotoxicity, nephrotoxicity, hematologic abnormalities, and increased cancer risk.
Cognitive impairment, peripheral vascular disease (blackfoot disease), and Mees’ lines on nails are additional features of chronic exposure.
Diagnosis is based on a history of exposure, clinical findings, and measurement of arsenic levels in urine (preferred), hair, or nails.
Urinary arsenic concentration reflects recent exposure and is most reliable within 24–48 hours after acute ingestion.
Nerve conduction studies typically show a length-dependent axonal neuropathy, predominantly affecting sensory fibers.
Differential diagnoses include lead or thallium toxicity, diabetic neuropathy, chronic inflammatory demyelinating polyneuropathy (CIDP), and hereditary neuropathies.
Environmental assessment and testing of water sources are essential for identifying the source of exposure.
The cornerstone of treatment is removal from the source of exposure and environmental remediation.
Supportive care includes hydration, correction of electrolyte disturbances, and management of gastrointestinal or cardiovascular complications.
Chelation therapy with dimercaprol (British Anti-Lewisite), DMSA (succimer), or DMPS is indicated in moderate to severe cases or acute poisoning.
Neuropathic pain may require symptomatic treatment with agents such as gabapentin, duloxetine, or tricyclic antidepressants.
Long-term follow-up includes cancer surveillance, neurological rehabilitation, and ongoing public health interventions to prevent re-exposure.
Question: Which of the following clinical features is most characteristic of chronic arsenic toxicity?
Answer: (C) Painful, distal sensorimotor polyneuropathy with skin hyperpigmentation.

A 48-year-old woman presents with severe orthostatic hypotension, chronic constipation, and episodes of urinary retention evolving over several weeks.
She also reports dry eyes and dry mouth, impaired sweating, and lightheadedness on standing.
Neurological examination reveals widespread autonomic dysfunction with preserved motor and sensory function.
She has orthostatic blood pressure drop of 40/20 mmHg without compensatory tachycardia.
Laboratory evaluation shows elevated ganglionic acetylcholine receptor (gAChR) antibodies.
AAG is a rare cause of subacute autonomic failure, with fewer than 200 cases reported worldwide.
It most commonly affects adults aged 30–60 years, with a slight female predominance.
The condition is often idiopathic but may be triggered by infections, malignancies, or other autoimmune disorders.
gAChR antibodies are found in approximately 50–70% of patients, defining a seropositive subgroup.
The disease course ranges from monophasic to chronic relapsing-remitting patterns.
AAG is characterized by an immune-mediated attack on nicotinic acetylcholine receptors in the autonomic ganglia.
Autoantibodies disrupt synaptic transmission between pre- and postganglionic autonomic neurons.
This leads to widespread autonomic failure affecting cardiovascular, gastrointestinal, sudomotor, and urogenital systems.
Some cases are paraneoplastic, particularly associated with thymoma, small-cell lung cancer, or lymphoma.
Cellular immunity and complement-mediated damage may also contribute to ganglionic neuronal dysfunction.
Cardiovascular: Orthostatic hypotension, syncope, and resting tachycardia are prominent.
Gastrointestinal: Severe constipation, gastroparesis, or paralytic ileus may occur.
Urogenital: Urinary retention or incontinence and erectile dysfunction are frequent.
Exocrine: Xerostomia and dry eyes reflect impaired glandular autonomic control.
Sudomotor: Anhidrosis or hypohidrosis contributes to thermoregulatory dysfunction.
Diagnosis is based on clinical evidence of widespread autonomic failure with preserved motor and sensory function.
Serum testing for ganglionic AChR antibodies is diagnostic in most seropositive cases.
Autonomic function testing (tilt-table, Valsalva, QSART) quantifies the severity and distribution of involvement.
Imaging may be indicated to rule out underlying malignancy in suspected paraneoplastic cases.
Differential diagnosis includes diabetic autonomic neuropathy, amyloidosis, multiple system atrophy, and paraneoplastic syndromes.
Immunotherapy is the cornerstone, including corticosteroids, IVIG, plasma exchange, or rituximab.
Early treatment is associated with better outcomes, especially in seropositive patients.
Symptomatic measures include volume expansion, fludrocortisone, midodrine, and compression garments for orthostatic hypotension.
Gastrointestinal and urinary symptoms require supportive therapies such as prokinetics and intermittent catheterization.
Regular monitoring for relapse and screening for occult malignancy are essential in long-term follow-up.
Which of the following findings is most characteristic of Autoimmune Autonomic Gangliopathy?
Answer: (C) Severe orthostatic hypotension with preserved motor and sensory function.

Differential Diagnoses: HSV Encephalitis | Limbic Encephalitis | ADEM | Psychiatric Disorders
Related Symptoms: Subacute psychosis | Seizures | Memory loss | Autonomic instability
Diagnostic Tools: MRI Brain | CSF Analysis | Neuronal Autoantibody Panels
A 32-year-old woman presents with rapidly progressive memory loss, behavioral changes, and new-onset seizures over two weeks.
Neurological examination reveals disorientation, limbic-type memory impairment, and subtle orofacial dyskinesias.
She has severe agitation and insomnia with tachycardia and labile blood pressure.
MRI shows hyperintensities in the medial temporal lobes, and CSF reveals lymphocytic pleocytosis.
Anti-NMDA receptor antibodies are detected in the CSF, confirming the diagnosis.
AE is a rare but increasingly recognized cause of encephalitis, with an incidence of 1.5–2 cases per million per year.
It affects all age groups but is most common in young adults and children.
There is a slight female predominance, especially in anti-NMDA receptor encephalitis, often associated with ovarian teratomas.
The prevalence has increased with improved diagnostic assays for neuronal autoantibodies.
AE represents up to 20% of previously unexplained encephalitis cases.
AE is caused by autoantibodies targeting neuronal surface antigens, synaptic proteins, or intracellular antigens.
Antibodies against NMDA, LGI1, CASPR2, AMPA, and GABA receptors lead to synaptic dysfunction and neuronal hyperexcitability.
The autoimmune process may be triggered by tumors (paraneoplastic) or occur without a detectable neoplasm (non-paraneoplastic).
AE typically presents with subacute onset of neuropsychiatric symptoms, cognitive decline, and seizures.
Other features include movement disorders (e.g., chorea, dystonia), dysautonomia, and sleep disturbances.
Anti-NMDA receptor encephalitis is often characterized by psychiatric symptoms, catatonia, and autonomic instability.
LGI1 and CASPR2 antibodies are associated with faciobrachial dystonic seizures and limbic encephalitis.
The disease can progress to severe encephalopathy if untreated.
In young women with acute psychosis, autonomic instability, orofacial dyskinesias, and seizures, assume anti-NMDA receptor encephalitis until proven otherwise—start empiric immunotherapy and screen for ovarian teratoma.
Diagnosis relies on clinical suspicion, MRI, CSF analysis, EEG, and autoantibody detection.
MRI often shows T2/FLAIR hyperintensities in the medial temporal lobes or limbic system.
CSF findings include lymphocytic pleocytosis, elevated protein, and oligoclonal bands.
Autoantibody testing in serum and CSF is essential for definitive diagnosis and subtyping.
FDG-PET or tumor screening may be necessary to identify underlying malignancy.
Viral encephalitis (especially HSV encephalitis) should always be excluded with CSF PCR testing.
Primary psychiatric disorders may mimic AE but lack CSF or imaging abnormalities.
Other causes include limbic encephalitis from paraneoplastic syndromes, metabolic encephalopathy, or toxic exposures.
Hashimoto’s encephalopathy may present similarly but responds rapidly to steroids and lacks neuronal surface antibodies.
Demyelinating disorders such as ADEM or MS can occasionally resemble AE.
Differential Diagnosis Comparison:
| Feature | Autoimmune Encephalitis | HSV Encephalitis | Psychiatric Disorder | Limbic Paraneoplastic |
|---|---|---|---|---|
| Onset | Subacute (days–weeks) | Acute febrile | Variable, chronic | Subacute |
| MRI | Limbic T2/FLAIR hyperintensity ± normal | Temporal lobe edema/hemorrhage | Normal | Limbic hyperintensity |
| CSF | Lymphocytic pleocytosis, oligoclonal bands | Neutrophilic early, HSV PCR+ | Normal | Onconeural antibodies, mild pleocytosis |
| EEG | Diffuse slowing, extreme delta brush (anti-NMDA) | PLEDs | Normal | Temporal slowing |
| Antibodies | NMDA, LGI1, CASPR2, GABA, etc. | None | None | Hu, Ma2, amphiphysin |
Immunotherapy Strategy:
| Line | Therapy | Notes |
|---|---|---|
| First-line | High-dose IV methylprednisolone (1 g/day ×5), IVIG 0.4 g/kg/day ×5, or plasma exchange (5 sessions) | Often combine steroids + IVIG or PLEX |
| Second-line | Rituximab, cyclophosphamide | Use if inadequate response after 10–14 days |
| Tumor management | Surgical resection, oncologic therapy | Essential for paraneoplastic forms |
Supportive & Long-Term Care: - Aggressive seizure management, ICU monitoring for dysautonomia. - Psychiatric care for agitation/catatonia; limit dopamine-blockers in anti-NMDA. - Rehabilitation for cognitive/motor recovery; consider maintenance immunotherapy (rituximab, mycophenolate) in relapsing disease. - Regular tumor surveillance (especially teratoma/thymoma).
Management Algorithm: 1. Suspect AE: Initiate empiric steroids/IVIG while ruling out infection. 2. Confirm antibodies and screen for tumor. 3. Escalate to second-line agents if minimal improvement within 1–2 weeks. 4. Address underlying tumor promptly. 5. Long-term follow-up: Cognitive rehab, relapse surveillance, maintenance therapy tailored to antibody subtype.
Which of the following findings is most characteristic of anti-NMDA receptor encephalitis?
Answer: (B) Subacute psychiatric symptoms followed by dyskinesias and autonomic instability are classic for anti-NMDA receptor encephalitis.

A 35-year-old man presents with difficulty lifting his right arm above shoulder level following a fall from a motorcycle.
He notes numbness over the lateral aspect of the shoulder and marked weakness in abduction.
The is slight wasting of the deltoid muscle.
Examination reveals reduced deltoid muscle strength and sensory loss over the “regimental badge” area.
Reflexes are preserved, and distal muscle strength remains intact.
Axillary neuropathy is relatively uncommon but frequently occurs after anterior shoulder dislocation, seen in approximately 3–6% of cases.
It is a known iatrogenic complication of shoulder surgery, particularly arthroplasty or rotator cuff repair. Injection injuries can also cause it if the needle is misplaced.
Young males are more commonly affected due to higher rates of trauma and contact sports injuries.
Other causes include humeral surgical neck fractures and direct compression near the quadrangular space.
Chronic compressive neuropathies may also occur in overhead athletes or due to mass lesions.
The axillary nerve arises from the posterior cord of the brachial plexus (C5–C6) and passes through the quadrangular space.
It innervates the deltoid and teres minor muscles and provides sensory innervation to the lateral shoulder.
Injuries can result from traction, compression, blunt trauma, or surgical manipulation.
Shoulder dislocation may stretch or compress the nerve around the humeral neck.
Chronic entrapment or fibrosis can result in progressive dysfunction and muscle atrophy.
Motor: Weakness or paralysis of the deltoid muscle, leading to impaired shoulder abduction beyond 15\(^\circ\).
Sensory: Numbness or hypoesthesia over the lateral shoulder (“regimental badge” area).
Visible deltoid muscle atrophy may occur in chronic or severe cases.
Distal arm and forearm strength is preserved, helping localize the lesion.
Pain and tenderness may occur acutely, particularly following trauma.
Diagnosis is primarily clinical, based on characteristic motor and sensory findings.
EMG and nerve conduction studies confirm diagnosis and assess severity.
MRI or ultrasound may help detect compressive lesions, nerve discontinuity, or muscle atrophy.
Differentiation from brachial plexus lesions, cervical radiculopathy,and suprascapular neuropathy is essential.
Prognosis depends on injury severity: neurapraxia often recovers spontaneously, while neurotmesis requires surgical repair.
C5 radiculopathy – involves other C5 muscles and neck pain.
Upper trunk brachial plexopathy – broader motor and sensory deficits.
Suprascapular neuropathy – affects supraspinatus/infraspinatus without deltoid involvement.
Rotator cuff tear – weakness of abduction without sensory loss.
Quadrilateral space syndrome – chronic pain and vascular involvement possible.
Conservative management with rest, avoidance of further injury, and physical therapy is the first-line approach.
Neurapraxic injuries usually recover within 3–6 months.
Persistent deficits beyond 6 months or confirmed neurotmesis may require surgical exploration, nerve grafting, or neurolysis.
Orthotic support and functional electrical stimulation may be used during rehabilitation.
Patient education and early physiotherapy are crucial for optimal functional recovery.
Which of the following findings is most characteristic of axillary nerve injury?
Answer: (B) Weakness of shoulder abduction beyond 15\(^\circ\) and numbness over the lateral shoulder.
Campbell WW. DeJong’s The Neurologic Examination. 8th ed. Wolters Kluwer; 2020.
Preston DC, Shapiro BE. Electromyography and Neuromuscular Disorders. 4th ed. Elsevier; 2021.
Moore KL, Dalley AF. Clinically Oriented Anatomy. 9th ed. Wolters Kluwer; 2022.

A 45-year-old man presents with sudden-onset left-sided facial weakness noticed upon waking.
He cannot close his left eye, has drooling from the mouth, and complains of mild pain behind the ear.
There is no limb weakness, diplopia, or sensory deficit.
He denies trauma, tick bites, or recent travel.
Neurological examination reveals isolated lower motor neuron-type facial nerve palsy on the left side.
Bell’s palsy is the most common cause of acute unilateral facial paralysis, accounting for about 60–75% of cases.
Annual incidence is approximately 20–30 cases per 100,000 people.
It can occur at any age but is most frequent between 15 and 60 years.
Slight female predominance is reported, and risk increases in pregnancy and diabetes.
Seasonal variation is sometimes observed, with higher incidence in colder months.
Bell’s palsy is thought to result from inflammation and edema of the facial nerve within the narrow bony fallopian canal.
Reactivation of latent herpes simplex virus type 1 (HSV-1) in the geniculate ganglion is strongly implicated.
The resulting nerve swelling leads to conduction block and demyelination, with possible axonal degeneration in severe cases.
Autoimmune mechanisms and ischemic injury may contribute in some patients.
Early intervention aims to limit nerve inflammation and promote recovery.
Sudden onset (over hours) of unilateral lower motor neuron facial weakness, typically reaching peak severity within 72 hours.
Inability to close the eye, drooping of the mouth, loss of nasolabial fold, and impaired forehead wrinkling are characteristic.
Hyperacusis, loss of taste (anterior two-thirds of the tongue), and decreased lacrimation may accompany motor deficits.
Mild retroauricular pain often precedes or accompanies the weakness.
Most patients recover within 3–6 months; incomplete recovery or synkinesis can occur in severe cases.
Diagnosis is clinical, based on acute onset of isolated lower motor neuron facial weakness without other neurological signs.
MRI is reserved for atypical presentations, gradual onset, or recurrent cases to exclude structural lesions.
Key differentials include Ramsay Hunt syndrome (herpes zoster oticus), Lyme disease, sarcoidosis, parotid tumors, brainstem stroke, and Guillain–Barré syndrome.
Serological tests for Lyme disease or autoimmune markers may be indicated based on history and geography.
Electroneurography and electromyography can provide prognostic information in severe cases.
Early corticosteroid therapy (e.g., prednisolone 60–80 mg/day for 7 days, tapered) within 72 hours significantly improves recovery.
Antiviral agents (e.g., acyclovir or valacyclovir) may be added, especially in severe or complete paralysis, though benefit remains modest.
Eye protection with lubricants, taping, or temporary tarsorrhaphy is essential to prevent corneal injury.
Physical therapy and facial exercises may help minimize synkinesis and residual weakness.
Surgical decompression is rarely indicated and reserved for refractory, severe cases with electroneurographic evidence of significant degeneration.
Which of the following is the most strongly associated etiological factor in Bell’s palsy?
Answer: (B) Herpes simplex virus type 1 reactivation

Differential Diagnoses: Vestibular Neuritis | Ménière’s Disease | Central Positional Vertigo | Vertebrobasilar Ischemia
Related Symptoms: Vertigo | Nausea/Vomiting | Gait Instability
Diagnostic Tests: Dix-Hallpike Maneuver | Supine Roll Test | Videonystagmography
A 62-year-old woman presents with brief episodes of vertigo lasting less than a minute, triggered by turning her head while getting out of bed or looking up.
There is no hearing loss, tinnitus, or focal neurological deficit.
The Dix-Hallpike maneuver reproduces her symptoms and elicits a characteristic upbeat torsional nystagmus.
She reports significant anxiety about daily activities due to the unpredictability of vertigo episodes.
These features are typical of BPPV, a common cause of peripheral vertigo in older adults.
BPPV is the most frequent cause of vertigo, accounting for approximately 20-30% of all vertigo cases in clinical practice.
It commonly affects adults aged 50 to 70 years, with a slight female predominance.
Idiopathic BPPV is most common, but secondary causes include head trauma, vestibular neuritis, and inner ear surgery.
Recurrence occurs in up to 30% of patients within 1 year after successful treatment.
The posterior semicircular canal is involved in about 85-90% of cases,followed by the horizontal and anterior canals.
BPPV arises when otoconia detach from the utricular macula and migrate into a semicircular canal (most often posterior).
Canalithiasis: Free-floating particles move with gravity, displacing endolymph and deflecting the cupula, generating transient nystagmus.
Cupulolithiasis: Otoconia adhere to the cupula, rendering it gravity-sensitive and producing immediate, persistent nystagmus with head positioning.
Degeneration of otolithic membranes, trauma, vestibular neuritis, or prolonged bed rest predispose to otoconia dislodgement.
The phenomenon is purely mechanical—once particles are repositioned to the utricle, symptoms resolve without central compensation.
Vertigo episodes are brief (typically lasting less than 60 seconds), positional, and triggered by specific head movements such as looking up or rolling over in bed.
Nausea and imbalance may accompany vertigo, but auditory symptoms (hearing loss, tinnitus) are absent.
The hallmark diagnostic feature is positional nystagmus during the Dix-Hallpike maneuver: upbeat and torsional in posterior canal involvement.
Symptoms are typically intermittent, and patients are asymptomatic between episodes.
Horizontal canal BPPV presents with horizontal nystagmus during the supine roll test and tends to be more intense but shorter in duration.
Latency (1-5 s) + fatigable upbeat torsional nystagmus on Dix-Hallpike = posterior canal BPPV. Immediate, persistent downbeat nystagmus is atypical and should prompt MRI to exclude central causes.
Diagnosis is primarily clinical, based on history and positional testing (Dix-Hallpike for posterior canal, supine roll test for horizontal canal).
Imaging is not routinely required but may be indicated if atypical features (persistent vertigo, neurological signs) are present.
Differential diagnoses include vestibular neuritis (longer-lasting vertigo), Meniere’s disease (vertigo with hearing loss),vertebrobasilar insufficiency, and central positional vertigo due to cerebellar lesions.
Neurological examination should be normal in BPPV; abnormal findings necessitate further evaluation.
Vestibular evoked myogenic potentials or video-oculography can support diagnosis in complex or atypical cases.
Differential Diagnosis Comparison:
| Feature | BPPV | Vestibular Neuritis | Ménière’s Disease | Central Positional Vertigo |
|---|---|---|---|---|
| Duration | Seconds (<1 min) | Hours-days continuous | 20 min–12 h episodes | Variable, often persistent |
| Triggers | Positional changes | Spontaneous, worsened by movement | Spontaneous, auditory aura | Positional but non-fatigable |
| Auditory Symptoms | None | None | Tinnitus, hearing loss, fullness | Often none |
| Nystagmus | Latent, fatigable, canal-specific | Spontaneous, unidirectional | Mixed (during attack) | Immediate, non-fatigable, vertical |
| Treatment Response | Canalith maneuvers | Vestibular rehab, steroids | Salt restriction, diuretics | Treat underlying CNS lesion |
Diagnose posterior canal BPPV when all are present: 1. Brief vertigo (seconds) provoked by positional change. 2. Characteristic nystagmus (upbeat-torsional) on Dix-Hallpike with latency and fatigability. 3. Normal neurologic exam and absence of auditory symptoms. 4. No alternative vestibular/neuro diagnosis explaining symptoms.
Horizontal canal BPPV: Horizontal geotropic or apogeotropic nystagmus on supine roll plus positional symptoms. Consider central imaging if findings atypical.
Canalith Repositioning (First-Line):
| Canal Involved | Maneuver | Success Rate | Notes |
|---|---|---|---|
| Posterior | Epley (canalith reposition) | 80-90% after 1 session | Perform sequential head/body rotations to move otoconia to utricle |
| Posterior | Semont (liberatory) | 70-90% | Useful if cupulolithiasis suspected |
| Horizontal (geotropic) | Barbecue (Lempert) roll | 70-80% | 360° rotations in supine position |
| Horizontal (apogeotropic) | Gufoni/Appiani | 60-70% | Converts to geotropic form then treat |
| Anterior | Reverse Epley/Deep head hanging | Limited data | Rare; ensure diagnosis |
Adjunctive & Supportive Care:
| Intervention | Indication | Evidence Grade | Key Points |
|---|---|---|---|
| Brandt-Daroff exercises | Residual dizziness or self-therapy | Grade B | 3 sets/day for 2 weeks |
| Vestibular suppressants (meclizine, benzodiazepines) | Severe nausea when performing maneuvers | Grade C | Short-term only; delay compensation |
| Vestibular rehab | Recurrent cases, imbalance between episodes | Grade B | Focus on habituation/balance |
| Surgical posterior canal occlusion | Rare, refractory BPPV impacting quality of life | Grade C | >90% success but risk of hearing loss |
Treatment Algorithm:
Patient education should emphasize the benign nature, high success of maneuvers, and strategies to reduce fall risk during symptomatic periods.
Question: Which of the following is the most characteristic finding of posterior canal BPPV?
Answer: (C) Vertigo lasting seconds with upbeat torsional nystagmus on Dix-Hallpike maneuver.

A 45-year-old man presents with acute onset diplopia, dysphagia, and descending symmetrical weakness following ingestion of home-canned vegetables three days earlier.
He is afebrile, alert, and oriented but has bilateral ptosis, impaired extraocular movements, and absent gag reflex.
Deep tendon reflexes are reduced, and respiratory effort is weak.
Sensory examination is normal.
A provisional diagnosis of foodborne botulism is made.
Botulism is a rare but potentially fatal neuroparalytic syndrome caused by Clostridium botulinum toxin.
Incidence is low (about 100-150 cases annually in the US.), but mortality can reach 5–10% without prompt treatment.
Foodborne botulism is most common in adults, while infant botulism affects children under one year.
Wound botulism is associated with injection drug use, particularly black-tar heroin.
Outbreaks are often linked to improperly preserved or canned foods.
Botulinum neurotoxin, produced by C. botulinum, blocks acetylcholine release at the neuromuscular junction.
This inhibition causes flaccid paralysis with descending progression.
Seven toxin serotypes exist (A–G), with types A, B, and E most often implicated in human disease.
In foodborne botulism, preformed toxin is ingested; in wound and infant botulism, toxin is produced in vivo.
The toxin is one of the most potent known biological substances.
Early signs include cranial nerve palsies such as diplopia, ptosis, dysarthria, and dysphagia.
Weakness typically descends from cranial muscles to neck, arms, respiratory muscles, and eventually legs.
Pupillary involvement and autonomic dysfunction (e.g., dry mouth, constipation) are common.
Sensory examination remains normal, distinguishing botulism from many other neuropathies.
Respiratory failure is the leading cause of death and requires vigilant monitoring.
Diagnosis is primarily clinical and should not be delayed for laboratory confirmation.
Toxin can be detected in serum, stool, gastric contents, or suspected food by mouse bioassay or ELISA.
Electrophysiologic studies show incremental response with rapid repetitive nerve stimulation.
Differential diagnoses include myasthenia gravis, Lambert-Eaton syndrome, Guillain-Barré syndrome (AIDP), and brainstem stroke.
Prompt recognition is crucial to initiate antitoxin therapy and supportive care.
Myasthenia gravis – fluctuating weakness, positive AChR antibodies, edrophonium test improvement.
Lambert-Eaton myasthenic syndrome – proximal weakness, autonomic features, small cell lung cancer association.
Guillain-Barré syndrome – ascending weakness, areflexia, albuminocytologic dissociation in CSF.
Brainstem stroke – abrupt onset, upper motor neuron signs, imaging abnormalities.
Tick paralysis – similar descending weakness, but resolves rapidly after tick removal.
Immediate administration of botulinum antitoxin (heptavalent for adults, human-derived for infants) is critical.
Supportive care includes intensive respiratory monitoring and mechanical ventilation if required.
Gastric decontamination with activated charcoal may be considered if ingestion occurred within hours.
Antibiotics are not indicated for foodborne disease but are used in wound botulism (penicillin or metronidazole).
Early consultation with public health authorities like CDC is recommended for antitoxin procurement and outbreak control.
Question: Which of the following findings best differentiates botulism from Guillain-Barré syndrome (AIDP)?
Answer: (D) Normal sensory examination with descending paralysis

A 42-year-old construction worker presents with sudden onset weakness in his right shoulder and arm after a fall from a ladder.
He reports burning pain radiating down the lateral arm and numbness over the lateral forearm and thumb.
Examination reveals deltoid and biceps weakness with diminished biceps reflex and sensory loss in the C5–C6 dermatomes.
There is no evidence of spinal cord involvement, and neck movements are not painful.
The findings are consistent with an upper trunk brachial plexus injury.
Brachial plexopathy is an uncommon but significant cause of upper limb weakness, often due to trauma, neoplasia, or inflammatory conditions.
Incidence is higher in young adult males due to occupational and sports-related injuries.
Post-radiation brachial plexopathy is more common in patients treated for breast or lung cancer.
Idiopathic brachial neuritis (Parsonage-Turner syndrome) has an incidence of 1.6 per 100,000 per year.
Iatrogenic injuries occur in surgical settings, particularly during neck and thoracic procedures.
The brachial plexus is formed by the anterior rami of C5–T1 and provides motor and sensory innervation to the upper limb.
Injuries are classified as preganglionic (root avulsion) or postganglionic (plexus or distal nerve involvement), with differing prognoses.
Traumatic mechanisms include stretch, compression, or penetrating injuries leading to nerve disruption or axonotmesis.
Neoplastic or radiation-induced plexopathies often involve fibrosis, direct invasion, or ischemia of nerve fascicles.
Autoimmune plexopathies, as in Parsonage-Turner syndrome, result from inflammatory demyelination or axonal injury.
Presentation depends on the level of plexus involvement: upper trunk (C5–C6) causes shoulder abduction and elbow flexion weakness; lower trunk (C8–T1) affects hand muscles.
Pain is often the initial symptom, particularly in inflammatory or neoplastic causes, and may radiate in a dermatomal pattern.
Sensory deficits correspond to the affected nerve distributions, while reflexes may be diminished or absent.
Muscle atrophy and fasciculations may develop in chronic cases, especially with significant axonal injury.
Horner’s syndrome suggests preganglionic involvement, whereas diaphragmatic paralysis may indicate phrenic nerve involvement.
Electromyography (EMG) and nerve conduction studies (NCS) are essential to localize the lesion and distinguish it from radiculopathy or peripheral neuropathy.
MRI of the brachial plexus helps identify structural causes, including trauma, tumors, or radiation-induced fibrosis.
Differential diagnoses include cervical radiculopathy, motor neuron disease, multifocal motor neuropathy, and peripheral nerve entrapment.
CSF analysis and serological tests may support autoimmune or infectious etiologies.
Biopsy is considered in suspected neoplastic plexopathy when imaging is inconclusive.
Initial management focuses on pain control, typically with NSAIDs, neuropathic agents, or corticosteroids in inflammatory cases.
Physical and occupational therapy are essential to maintain joint mobility and prevent contractures.
Surgical options, including nerve grafting or neurolysis, are indicated for traumatic injuries with poor spontaneous recovery.
Treatment of underlying malignancy or radiation effects may involve chemotherapy, radiotherapy modification, or surgical decompression.
Prognosis depends on the etiology and extent of injury, with inflammatory and partial traumatic lesions having the best outcomes.
Which of the following findings most strongly suggests a preganglionic brachial plexus injury?
Answer: (C) Presence of Horner’s syndrome – This finding indicates involvement proximal to the dorsal root ganglion, suggesting a preganglionic lesion.

A 45-year-old man with a history of chronic sinusitis presents with fever, headache, and progressive confusion over 5 days.
Neurological examination reveals focal weakness of the right arm and papilledema on fundoscopy.
MRI of the brain demonstrates a ring-enhancing lesion in the left frontal lobe with surrounding edema.
Blood cultures are negative, but elevated inflammatory markers are noted.
The patient undergoes stereotactic aspiration and is started on broad-spectrum intravenous antibiotics.
Brain abscess is an uncommon but life-threatening intracranial infection with an incidence of 0.3–1.3 per 100,000 people annually.
It most frequently affects males between 20 and 50 years of age.
Common predisposing factors include otitis media, sinusitis, dental infections, congenital heart disease, trauma, and immunosuppression.
Hematogenous spread from distant infections (e.g., endocarditis) accounts for approximately 20% of cases.
Mortality has decreased significantly with early imaging, neurosurgical intervention, and targeted antibiotics.
A brain abscess develops when pyogenic organisms gain access to the parenchyma, leading to localized cerebritis and eventual encapsulation.
Infection spreads via direct extension from contiguous sites, hematogenous dissemination, or penetrating trauma.
The inflammatory response leads to necrosis and pus formation, surrounded by a vascularized capsule within 10–14 days.
Common pathogens include Streptococcus species, Staphylococcus aureus, Bacteroides, and mixed anaerobes.
Host immune status, location, and route of spread influence the clinical course and microbial profile.
Classic presentation includes headache, fever, and focal neurological deficits (triad present in <50% of cases).
Seizures occur in up to 35% of patients and may be the presenting symptom.
Features of raised intracranial pressure such as vomiting, papilledema, and altered mental status are common.
Lesion location determines focal deficits — frontal abscesses cause personality changes, while cerebellar abscesses present with ataxia.
Symptoms often evolve subacutely over days to weeks, complicating early diagnosis.
MRI with contrast is the gold standard, showing a ring-enhancing lesion with central necrosis and surrounding edema.
Diffusion-weighted imaging helps differentiate abscess from necrotic tumors.
Stereotactic aspiration provides microbiological diagnosis and therapeutic decompression.
Blood cultures, inflammatory markers (ESR, CRP), and lumbar puncture (if safe) support the diagnosis.
Differential diagnoses include glioblastoma, metastasis, tuberculoma, toxoplasmosis, and demyelinating lesions.
Empiric broad-spectrum intravenous antibiotics (e.g., ceftriaxone, metronidazole, and vancomycin) should be started promptly.
Targeted therapy is tailored once culture results are available and continued for 4–8 weeks.
Stereotactic aspiration or surgical excision is indicated for lesions >2.5 cm, multiloculated abscesses, or those causing mass effect.
Corticosteroids are reserved for significant edema with mass effect but should be used cautiously.
Antiepileptic drugs are recommended for seizure prophylaxis in patients with cortical involvement.
Question: Which of the following imaging findings is most characteristic of a brain abscess?
Answer: (B) Ring-enhancing lesion with restricted diffusion on DWI is characteristic of a brain abscess and helps distinguish it from neoplastic lesions.

A 48-year-old woman presents with numbness and tingling in the thumb, index, and middle fingers of her right hand, particularly at night.
She reports dropping objects and difficulty performing tasks requiring fine motor skills.
Physical examination reveals thenar muscle wasting and a positive Tinel’s and Phalen’s test.
Her symptoms are worse with repetitive wrist movements and improve with shaking her hand.
There is no involvement of the little finger, and proximal limb strength is preserved.
Carpal tunnel syndrome (CTS) is the most common entrapment neuropathy, with a lifetime prevalence of up to 10%.
It predominantly affects women, particularly between the ages of 40 and 60.
Risk factors include repetitive wrist activity, obesity, pregnancy, diabetes, hypothyroidism, and rheumatoid arthritis.
Bilateral involvement occurs in approximately 50% of cases, though symptoms may be asymmetrical.
Occupational exposure, particularly in manual labor or computer-based work, significantly increases risk.
CTS results from compression of the median nerve within the carpal tunnel, a narrow osteofibrous canal at the wrist.
Increased pressure within the tunnel leads to ischemia, demyelination, and eventual axonal degeneration of the nerve.
Causes of increased pressure include synovial hypertrophy, tenosynovitis, edema, or space-occupying lesions.
Repetitive wrist flexion and extension can exacerbate pressure on the median nerve.
Chronic compression leads to permanent sensory loss and thenar muscle weakness if untreated.
Numbness, tingling, or burning pain in the median nerve distribution (thumb, index, middle, and radial half of the ring finger).
Nocturnal paresthesias are common and often relieved by shaking the hand ("flick sign").
Thenar muscle weakness and atrophy occur in advanced cases, leading to impaired thumb opposition.
Provocative tests: Tinel’s sign (tapping over the carpal tunnel) and Phalen’s maneuver (wrist flexion) reproduce symptoms.
Proximal arm involvement or sensory changes outside the median distribution suggest an alternative diagnosis.
Diagnosis is clinical, supported by history, examination, and response to conservative therapy.
Nerve conduction studies typically show delayed median nerve conduction velocity across the wrist.
Ultrasound may reveal median nerve swelling or structural abnormalities in the carpal tunnel.
Electromyography (EMG) can help assess severity and exclude proximal lesions.
Routine blood tests may be indicated to identify metabolic or systemic contributors (e.g., diabetes, thyroid dysfunction).
Cervical radiculopathy (C6/C7) – often includes neck pain and proximal limb involvement.
Pronator teres syndrome – median nerve compression at the elbow with forearm symptoms.
Peripheral neuropathy – typically symmetric and involves other nerves.
Thoracic outlet syndrome – involves multiple nerve distributions and positional symptoms.
Raynaud’s phenomenon – features color change and is not limited to the median distribution.
Initial management includes wrist splinting (especially at night) and activity modification.
Non-steroidal anti-inflammatory drugs (NSAIDs) and corticosteroid injections may provide temporary relief.
Treat underlying conditions (e.g., diabetes, hypothyroidism) to reduce progression.
Severe or persistent cases require surgical decompression (open or endoscopic carpal tunnel release).
Postoperative rehabilitation focuses on strengthening, range of motion, and ergonomic modification.
Which of the following findings most strongly supports a diagnosis of carpal tunnel syndrome?
Answer: (B) Thenar muscle atrophy with preserved hypothenar strength

A 45-year-old man presents with severe low back pain radiating to both legs, new-onset urinary retention, and numbness in the perineal region.
He reports progressive weakness in his lower limbs and difficulty walking.
Physical examination reveals saddle anesthesia, bilateral lower limb areflexia, and reduced anal sphincter tone.
He denies fever or trauma but has a history of lumbar disc herniation.
Urgent MRI shows a large L4-L5 disc extrusion compressing the cauda equina.
Cauda equina syndrome (CES) is a rare but serious neurological emergency, affecting approximately 1-3 per 100,000 people annually.
It typically occurs in adults aged 30–50, often due to lumbar disc herniation or trauma.
Males and those engaged in heavy physical labor are at higher risk.
Other causes include spinal tumors, infections, and post-surgical complications.
Early diagnosis and intervention are crucial to prevent irreversible neurological deficits.
CES results from compression of the lumbosacral nerve roots below the conus medullaris, typically at L2 or lower.
The cauda equina contains motor and sensory fibers supplying the lower limbs, bladder, bowel, and perineum.
Mechanical compression leads to ischemia, demyelination, and axonal degeneration.
Inflammatory and vascular insults may exacerbate neuronal injury.
The degree and duration of compression directly influence neurological recovery.
Severe low back pain with bilateral sciatica is a hallmark symptom.
Saddle anesthesia (loss of perineal sensation) is highly suggestive of CES.
Bladder dysfunction (urinary retention or incontinence) and bowel disturbances may occur.
Lower limb weakness, areflexia, and gait disturbances are common late features.
Sexual dysfunction and chronic neuropathic pain can develop if untreated.
MRI of the lumbosacral spine is the gold standard for diagnosis, revealing compressive lesions.
Physical examination findings such as saddle anesthesia, sphincter dysfunction, and reflex changes support clinical suspicion.
Differential diagnoses include conus medullaris syndrome (higher lesion with more symmetric deficits), peripheral neuropathies, transverse myelitis, and spinal tumors.
Bladder ultrasound can assess post-void residual volume in suspected urinary retention.
Prompt neurosurgical consultation is essential once CES is suspected.
CES is a neurosurgical emergency—decompression within 24–48 hours offers the best functional outcome.
Laminectomy or discectomy is the primary surgical approach for disc-related CES.
Corticosteroids may be considered in cases of inflammatory or neoplastic compression.
Bladder catheterization and bowel care are essential supportive measures.
Rehabilitation with physical therapy and pain management is often required for long-term recovery.
Which of the following clinical findings is most specific for cauda equina syndrome?
Answer: (C) Saddle anesthesia is the most specific sign of cauda equina syndrome and strongly indicates lumbosacral nerve root involvement.

A 32-year-old woman presents with severe headache, periorbital swelling, and rapidly progressive diplopia.
She reports a recent history of untreated facial cellulitis near the nasal bridge.
Examination reveals proptosis, chemosis, ophthalmoplegia, and decreased corneal reflex.
The patient is febrile and appears acutely ill, raising suspicion for an intracranial septic process.
Urgent neuroimaging confirms cavernous sinus involvement, necessitating immediate intervention.
Cavernous sinus thrombosis (CST) is a rare but life-threatening complication of infections within the "danger triangle" of the face.
The condition affects approximately 0.2–1.6 per 100,000 people annually.
It occurs most commonly in young to middle-aged adults, with no strong sex predilection.
Historically associated with untreated sinusitis or facial infections, its incidence has declined with widespread antibiotic use.
Despite advances, mortality remains around 20–30%, and morbidity is significant.
CST results from septic thrombosis of the cavernous sinus, usually secondary to contiguous spread from facial, nasal, or sinus infections.
The cavernous sinus receives venous drainage from the facial and ophthalmic veins, allowing retrograde spread without valves.
Staphylococcus aureus is the most common causative organism, though streptococci and anaerobes are also implicated.
Inflammatory processes within the sinus lead to thrombosis, venous congestion, and cranial nerve dysfunction.
Untreated CST can progress to meningitis, brain abscess, or death due to intracranial complications.
Symptoms typically include severe headache, periorbital edema, proptosis, and painful ophthalmoplegia.
Cranial nerve involvement (III, IV, V1, V2, VI) leads to diplopia, ophthalmoplegia, and facial sensory loss.
Fever and signs of systemic infection are common.
Bilateral involvement often occurs due to intersinus communication.
Visual impairment and decreased corneal reflex indicate advanced disease.
Diagnosis is clinical, supported by neuroimaging and laboratory studies.
MRI with MR venography is the gold standard, revealing thrombosis and sinus engorgement.
CT may show cavernous sinus enlargement, orbital edema, or associated sinusitis.
Blood cultures can identify the pathogen, guiding antimicrobial therapy.
Differential diagnoses include orbital cellulitis, Tolosa–Hunt syndrome, aneurysm, and pituitary apoplexy.
Immediate initiation of high-dose intravenous broad-spectrum antibiotics is essential.
Anticoagulation with heparin is often recommended to limit thrombus propagation, though controversial.
Surgical drainage of the primary infection focus (e.g., sinus or facial abscess) may be required.
Corticosteroids are not routinely indicated but may be considered for cranial neuropathies.
Supportive care, including intracranial pressure management and visual monitoring, is crucial.
Which cranial nerve is most commonly affected first in cavernous sinus thrombosis?
Answer: (D) Abducens nerve (CN VI) is often the first to be affected.

A 68-year-old man with a history of hypertension and atrial fibrillation presents with sudden, painless loss of vision in his right eye upon waking.
He describes the vision loss as a "black curtain" descending over his visual field.
On examination, visual acuity is limited to light perception, and a relative afferent pupillary defect is present.
Fundoscopic examination reveals a pale retina with a cherry-red spot in the macula.
Emergent ophthalmologic consultation is requested for suspected central retinal artery occlusion.
CRAO is a rare but vision-threatening emergency with an incidence of approximately 1–2 per 100,000 people annually.
It most commonly affects older adults, with a peak incidence in the seventh decade of life.
Men are slightly more frequently affected than women.
Major risk factors include atherosclerosis, hypertension, diabetes mellitus, carotid artery disease, and cardiac emboli.
CRAO shares many risk factors with ischemic stroke and is often considered a retinal equivalent of cerebral infarction.
CRAO is most commonly caused by embolic occlusion of the central retinal artery, often from carotid atherosclerosis or cardiac thromboemboli.
Less common causes include vasculitis (e.g., giant cell arteritis),hypercoagulable states, or iatrogenic injury during ocular procedures.
The central retinal artery is an end-artery with minimal collateral supply, making the retina highly susceptible to ischemic damage.
Retinal neurons begin irreversible damage within 90–100 minutes of ischemia.
CRAO is therefore a true ophthalmic emergency, and rapid restoration of perfusion is essential for vision preservation.
Sudden, painless monocular vision loss is the hallmark presentation.
Patients may describe a complete blackout or a curtain-like visual field defect.
A relative afferent pupillary defect (RAPD) is almost always present in the affected eye.
Fundus findings include a pale retina with a cherry-red spot, attenuated arterioles, and "boxcarring" of blood columns.
Emboli may occasionally be visualized in the retinal vasculature on ophthalmoscopy.
Diagnosis is primarily clinical and supported by fundoscopic findings and optical coherence tomography (OCT).
Fluorescein angiography may show delayed or absent retinal arterial filling.
Workup should include carotid Doppler ultrasound, cardiac echocardiography, and vascular risk factor assessment.
Differential diagnoses include branch retinal artery occlusion (BRAO),central retinal vein occlusion (CRVO), anterior ischemic optic neuropathy (AION), and vitreous hemorrhage.
Giant cell arteritis should be considered in older patients, particularly if systemic symptoms are present.
CRAO is an ophthalmic emergency, and treatment must begin within 90 to 120 minutes for any chance of visual recovery.
Immediate interventions include ocular massage, anterior chamber paracentesis, and reduction of intraocular pressure with medications (e.g., acetazolamide).
Hyperbaric oxygen therapy may be beneficial if initiated within 12 hours of symptom onset.
Systemic evaluation for embolic sources and secondary stroke prevention (antiplatelet therapy, statins, anticoagulation if indicated) are essential.
Long-term management focuses on addressing modifiable risk factors and preventing recurrence.
Which of the following findings is most characteristic of central retinal artery occlusion?
Answer: (B) A cherry-red spot on the macula with a pale, edematous retina is the classic finding in central retinal artery occlusion.

A 52-year-old woman with a history of poorly controlled hypertension presents with a sudden, severe headache described as "the worst of her life," followed by nausea and neck stiffness.
On examination, she is drowsy with photophobia and mild nuchal rigidity but no focal neurological deficits.
Non-contrast CT of the head reveals diffuse subarachnoid hemorrhage predominantly in the basal cisterns.
Digital subtraction angiography identifies a 6 mm saccular aneurysm of the anterior communicating artery.
This presentation illustrates the classic scenario of aneurysmal subarachnoid hemorrhage requiring urgent diagnosis and intervention.
Cerebral aneurysms affect approximately 3–5% of the general population, though most remain asymptomatic throughout life.
They are more common in adults aged 40–60 years and occur slightly more often in women than in men.
Risk factors include hypertension, smoking, family history, polycystic kidney disease, and connective tissue disorders such as Ehlers-Danlos syndrome.
Rupture risk increases with aneurysm size, location (posterior circulation), and morphological features like irregular shape.
Subarachnoid hemorrhage due to aneurysmal rupture carries a high mortality rate, with up to 30–50% dying before hospital arrival or within the first month.
Cerebral aneurysms typically develop at arterial branch points within the circle of Willis, where hemodynamic stress is greatest.
Chronic hypertension and inflammation contribute to progressive weakening of the arterial wall, particularly at sites of congenital media defects.
Saccular (berry) aneurysms, the most common type, arise from focal outpouchings of the tunica intima and media layers.
Rupture leads to extravasation of blood into the subarachnoid space, triggering meningeal irritation, cerebral vasospasm, and secondary ischemia.
Structural genetic defects in extracellular matrix proteins and smooth muscle degeneration may further predispose individuals to aneurysm formation and rupture.
Unruptured aneurysms are often asymptomatic but may cause cranial nerve palsies, visual changes, or focal deficits if large enough to compress adjacent structures.
Rupture classically presents as a sudden, severe "thunderclap" headache, often accompanied by nausea, vomiting, photophobia, and altered consciousness.
Meningeal signs such as neck stiffness and positive Kernig or Brudzinski signs may be present.
Focal neurological deficits or seizures can occur, depending on the site of bleeding and secondary complications such as vasospasm or hydrocephalus.
Sentinel headaches occurring days to weeks before rupture are reported in up to 30% of patients.
Non-contrast CT scan is the first-line investigation, detecting subarachnoid hemorrhage in over 90% of cases within 24 hours of symptom onset.
If CT is negative but clinical suspicion remains high, lumbar puncture should be performed to detect xanthochromia.
CT or MR angiography and digital subtraction angiography are essential for precise aneurysm localization and treatment planning.
Differential diagnoses include arteriovenous malformations, intracerebral hemorrhage, reversible cerebral vasoconstriction syndrome, meningitis, and primary thunderclap headache.
Early neuroimaging and cerebrospinal fluid analysis are critical to distinguishing aneurysmal subarachnoid hemorrhage from other causes of acute severe headache.
Immediate goals include stabilization of airway, blood pressure, and intracranial pressure, with nimodipine administered to reduce vasospasm risk.
Aneurysm securing is achieved via surgical clipping or endovascular coiling, ideally within 72 hours of rupture to prevent rebleeding.
Management of complications includes controlling hydrocephalus with external ventricular drainage and treating vasospasm with calcium channel blockers or endovascular interventions.
Strict blood pressure control and avoidance of anticoagulants are essential to reduce rebleeding risk before aneurysm repair.
Long-term management involves risk factor modification and regular imaging surveillance for patients with unruptured aneurysms or multiple lesions.
Which of the following factors is most strongly associated with the formation of a cerebral (saccular) aneurysm?
Answer: (B) Cigarette smoking.

A 21-year-old nake is brought to the neurology clinic for seizures
He was born prematurely at 30 weeks and required prolonged NICU care for respiratory distress.
Parents report persistent spasticity in his legs and difficulty standing without support.
Neurological examination reveals increased tone in the lower limbs, hyperreflexia, and scissoring gait.
He has a diagnosis of spastic diplegic cerebral palsy.
Cerebral palsy (CP) is the most common cause of chronic motor disability in childhood, with an incidence of approximately 2–3 per 1,000 live births.
It affects both genders equally and is more prevalent in premature and low-birth-weight infants.
Advances in neonatal care have improved survival but have not significantly reduced CP incidence.
Risk factors include perinatal hypoxia, intracranial hemorrhage, intrauterine infections, and multiple gestations.
CP is a lifelong condition, though severity and manifestations can vary widely.
Cerebral palsy results from non-progressive injury to the developing fetal or infant brain.
The insult typically occurs in the prenatal or perinatal period and affects motor control regions such as the motor cortex, basal ganglia, or corticospinal tracts.
Hypoxic-ischemic encephalopathy, periventricular leukomalacia, and intracerebral hemorrhage are common pathological substrates.
The resulting disruption in neuronal development leads to abnormal muscle tone, coordination, and movement patterns.
Although the brain injury is static, clinical manifestations may evolve as the child grows.
The cardinal features include motor impairment, abnormal muscle tone (spasticity, dystonia, or hypotonia), and delayed motor milestones.
CP is classified into spastic (most common), dyskinetic, ataxic, or mixed subtypes based on motor patterns.
Spastic diplegia often presents with lower-limb predominance, scissoring gait, and hyperreflexia.
Associated features may include seizures, intellectual disability, speech delay, and vision or hearing impairments.
Symptoms are non-progressive but may become more apparent with age as motor demands increase.
Diagnosis is primarily clinical, based on history, developmental trajectory, and neurological examination.
MRI is the preferred imaging modality to identify structural brain lesions and exclude other etiologies.
Metabolic and genetic testing may be warranted if atypical features or progressive symptoms are present.
Differential diagnoses include hereditary spastic paraplegia, leukodystrophies, spinal cord lesions, and neuromuscular disorders.
Early diagnosis allows for timely initiation of therapies to optimize functional outcomes.
There is no cure for CP; management focuses on optimizing function, minimizing complications, and improving quality of life.
Multidisciplinary care involves physical, occupational, and speech therapy, along with orthotic interventions.
Spasticity management may include oral medications (e.g., baclofen), botulinum toxin injections, or intrathecal baclofen pumps.
Surgical interventions such as selective dorsal rhizotomy or orthopedic procedures may improve mobility in severe cases.
Early and ongoing rehabilitation significantly improves functional outcomes and independence.
Which of the following findings is most characteristic of spastic diplegic cerebral palsy?
Answer: (C) Scissoring gait with increased tone and hyperreflexia in the legs

Differential Diagnoses: Idiopathic Intracranial Hypertension | Arterial Ischemic Stroke | Meningitis | Subarachnoid Hemorrhage
Related Symptoms: Severe headache | Papilledema | Seizures | Focal deficits
Diagnostic Tools: MR Venography | CT Venography | Coagulation Panel
A 32-year-old woman, three weeks postpartum, presents with severe, progressively worsening headache over several days, accompanied by nausea and intermittent visual blurring.
On examination, she has bilateral papilledema and mild right-sided weakness.
MRI with MR venography reveals thrombosis of the superior sagittal sinus.
No evidence of intracerebral hemorrhage is noted, but diffusion-weighted imaging shows venous infarcts in the parietal lobes.
She is diagnosed with cerebral venous sinus thrombosis and started on anticoagulation therapy.
CVST accounts for approximately 0.5–1% of all strokes, predominantly affecting young adults and children.
Women are more frequently affected, particularly during pregnancy, postpartum periods, or with oral contraceptive use.
The incidence is estimated at 3–5 cases per million annually, though improved imaging techniques have led to higher detection rates.
Key risk factors include prothrombotic states (e.g., factor V Leiden mutation, antiphospholipid syndrome), infections, malignancy, and dehydration.
Mortality has significantly declined with prompt diagnosis and treatment, though delayed recognition can result in severe disability or death.
Headache is the most common presenting symptom, occurring in over 80–90% of patients, and may mimic idiopathic intracranial hypertension.
Seizures occur in up to 40% of cases and may be focal or generalized.
Focal neurological deficits such as hemiparesis, aphasia, or visual disturbances are frequent, depending on the site of thrombosis.
Papilledema and signs of raised ICP are common, with altered mental status indicating severe disease or venous infarction.
Symptoms typically evolve subacutely over days, but acute presentations mimicking stroke also occur.
In young patients with new daily persistent headache plus papilledema or seizures, obtain MR venography even if CT head is normal—early CVST can have normal noncontrast CT.
MRI with MR venography is the gold standard for diagnosis, demonstrating sinus occlusion and associated parenchymal changes.
CT venography is a rapid alternative when MRI is unavailable and can visualize sinus filling defects.
Lumbar puncture may reveal elevated opening pressure but is not diagnostic and should only be performed if imaging excludes mass effect.
Differential diagnoses include idiopathic intracranial hypertension, arterial ischemic stroke, meningitis, subarachnoid hemorrhage, and intracranial tumors.
Laboratory testing for thrombophilia and systemic causes is recommended, especially in young patients without clear risk factors.
Differential Diagnosis Comparison:
| Feature | CVST | Idiopathic Intracranial Hypertension | Arterial Stroke | Meningitis |
|---|---|---|---|---|
| Headache | Common, progressive ± focal deficits | Diffuse, daily, no focal deficits | Sudden focal deficits | Global, photophobia |
| Papilledema | Frequent | Universal | Variable | Variable |
| Imaging | Venous sinus defect, venous infarct | Normal brain, empty sella | Arterial territory infarct | Meningeal enhancement |
| CSF Opening Pressure | Elevated (if measured) | Elevated | Normal | Elevated with pleocytosis |
Acute Treatment:
| Therapy | Details |
|---|---|
| Anticoagulation | Start LMWH or IV heparin immediately, even if intracranial hemorrhage present |
| Transition | Continue with DOAC (e.g., dabigatran) or warfarin for 3–12 months (longer if persistent risk) |
| ICP Control | Head elevation, hyperosmolar therapy, serial LPs; optic nerve sheath fenestration or VP shunt for refractory cases |
| Seizure Management | Treat acute seizures; consider prophylaxis in patients with cortical involvement |
| Endovascular Therapy | Thrombolysis/thrombectomy for deterioration despite anticoagulation |
Supportive & Secondary Prevention: - Identify and treat underlying thrombophilia or provoking factors (malignancy, infection, dehydration, OCPs). - Counsel on future pregnancy management and need for peripartum thromboprophylaxis. - Rehabilitation for patients with venous infarcts/deficits.
Management Algorithm: 1. Confirm diagnosis with MRV/CTV; evaluate for hemorrhagic venous infarct. 2. Start anticoagulation promptly; monitor platelets, anti-Xa levels if needed. 3. Manage ICP/seizures; admit to ICU if severe encephalopathy. 4. Consider endovascular therapy if neurological worsening or extensive thrombosis despite anticoagulation. 5. Plan duration of anticoagulation (3 months for transient risk, ≥12 months for idiopathic or severe thrombophilia); arrange follow-up imaging and hematology consultation.
Question: Which of the following statements regarding cerebral venous sinus thrombosis is TRUE?
Answer: (C) MR venography is the gold standard for diagnosis.

A 45-year-old woman presents with progressive, involuntary twisting of her neck over the past 8 months.
She complains of intermittent neck pain and abnormal head posture that worsens with stress and fatigue.
Physical examination reveals sustained rightward rotation of the head with intermittent jerks and hypertrophy of the sternocleidomastoid muscle.
Symptoms partially improve when she lightly touches her chin (sensory trick).
There is no history of trauma, infection, or exposure to dopamine-blocking medications.
Cervical dystonia (CD), also known as spasmodic torticollis, is the most common focal dystonia in adults.
It typically presents in the fourth to sixth decades of life and is more common in women.
The estimated prevalence is 5–30 cases per 100,000 population.
Most cases are idiopathic, but secondary causes include trauma, neurodegenerative diseases, and drug exposure.
Genetic predisposition plays a role, with familial cases observed in up to 20% of patients.
Cervical dystonia arises from abnormal basal ganglia circuitry,leading to defective inhibition of motor pathways.
Dysfunction of the sensorimotor cortex and cerebellum may contribute to impaired motor control and abnormal muscle activation patterns.
Abnormal sensory processing is evident, as shown by the beneficial effect of sensory tricks (geste antagoniste).
Neurochemical alterations involving dopamine and gamma-aminobutyric acid (GABA) have been implicated.
Structural and functional imaging studies often demonstrate abnormalities in the basal ganglia, thalamus, and cerebellar networks.
Patients present with involuntary, sustained, or intermittent contractions of neck muscles, leading to abnormal head postures.
Common patterns include torticollis (rotation), laterocollis (tilt),retrocollis (extension), and anterocollis (flexion).
Pain and muscle hypertrophy are frequent and may significantly impact quality of life.
Tremulous movements (dystonic tremor) can occur and may precede the onset of sustained dystonia.
Symptoms may fluctuate, often worsening with stress and improving during rest or sleep.
Diagnosis is clinical, based on characteristic head posture, muscle contractions, and sensory tricks.
Electromyography (EMG) can help identify abnormal muscle activation and guide botulinum toxin injection.
Neuroimaging is recommended to exclude structural lesions when secondary dystonia is suspected.
Differential diagnosis includes cervical spondylosis, Parkinson’s disease, essential tremor, psychogenic dystonia, and tardive dystonia.
Early differentiation is essential for appropriate management and prognosis.
Botulinum toxin injections into overactive neck muscles are the first-line treatment, offering symptom relief in most patients.
Oral medications such as anticholinergics, benzodiazepines, or baclofen may provide additional benefit but are often limited by side effects.
Physical therapy and sensory tricks can improve function and reduce discomfort.
Deep brain stimulation (DBS) of the globus pallidus internus is considered for refractory cases.
Patient education and psychological support are important to address the chronic nature and psychosocial impact of the disease.
Question: Which of the following is the most effective first-line treatment for cervical dystonia?
Answer: (B) Botulinum toxin injection

A 62-year-old man presents with progressive gait imbalance, hand clumsiness, and difficulty with fine motor tasks over several months.
He reports numbness and tingling in his hands and occasional urinary urgency.
On examination, he has spasticity in the lower limbs, hyperreflexia, and a positive Babinski sign.
Grip strength is reduced, and tandem gait is impaired.
MRI of the cervical spine reveals multilevel spondylotic changes with spinal cord compression.
Cervical spondylotic myelopathy (CSM) is the most common cause of spinal cord dysfunction in adults over 55 years.
The incidence increases with age due to degenerative changes in the cervical spine.
Men are slightly more commonly affected than women, often presenting in the sixth or seventh decade.
Congenital canal stenosis and repetitive microtrauma increase risk.
Many cases are underdiagnosed due to the slow, insidious onset of symptoms.
Chronic compression of the cervical spinal cord leads to demyelination, axonal loss, and neuronal death.
Degenerative changes such as osteophytes, disc herniation, and ligamentum flavum hypertrophy are common culprits.
Repetitive microvascular ischemia and secondary inflammation contribute to progressive spinal cord dysfunction.
Cervical instability and dynamic compression during neck movement can exacerbate neuronal injury.
In advanced cases, gliosis and cystic degeneration may develop within the spinal cord.
Symptoms include gait instability, upper extremity clumsiness, hand weakness, and decreased dexterity.
Upper motor neuron signs such as spasticity, hyperreflexia, and pathological reflexes (Babinski, Hoffman) are common.
Patients may report paresthesias, proprioceptive deficits, and Lhermitte’s sign (electric shock sensation on neck flexion).
Autonomic involvement can manifest as urinary urgency, frequency, or incontinence in advanced stages.
Disease progression is typically slow but may show stepwise deterioration.
Diagnosis is based on clinical suspicion supported by neuroimaging, typically MRI showing spinal cord compression.
T2-weighted hyperintensity in the cord suggests myelomalacia or chronic damage.
Neurophysiologic studies (SSEP, MEP) can assess conduction delay and cord dysfunction.
Differential diagnosis includes multiple sclerosis, amyotrophic lateral sclerosis, vitamin B12 deficiency, and tumor-related myelopathy.
Early diagnosis is essential as surgical decompression can halt or reverse progression.
Conservative treatment (physical therapy, cervical collars) is reserved for mild, stable cases.
Surgical decompression (laminectomy, laminoplasty, or anterior cervical discectomy and fusion) is the mainstay for progressive or severe disease.
Postoperative rehabilitation focuses on improving strength, balance, and functional mobility.
Timely intervention improves outcomes, though residual deficits may persist in advanced cases.
Long-term follow-up is necessary to monitor recurrence, adjacent segment disease, or delayed neurological deterioration.
Which of the following clinical findings most strongly suggests cervical myelopathy over peripheral neuropathy?
Answer: (C) Positive Babinski sign

A 28-year-old man presents with slowly progressive weakness in his feet, frequent tripping, and difficulty climbing stairs over several years.
He reports a family history of similar symptoms affecting his father and uncle.
Examination reveals distal muscle wasting, pes cavus (high-arched feet), foot drop, and reduced ankle reflexes.
Vibration and proprioception are diminished in the feet, but proximal strength remains normal.
Nerve conduction studies demonstrate markedly reduced conduction velocities consistent with a demyelinating peripheral neuropathy.
Charcot-Marie-Tooth (CMT) disease is the most common inherited peripheral neuropathy, affecting approximately 1 in 2,500 individuals.
It encompasses a heterogeneous group of disorders caused by mutations in over 80 genes.
CMT typically presents in adolescence or early adulthood but can manifest at any age.
Autosomal dominant inheritance is most frequent, though autosomal recessive and X-linked forms exist.
Both sexes are affected equally, though clinical severity may vary even within families.
CMT arises from genetic mutations affecting proteins essential for peripheral myelin structure or axonal integrity.
The two major types are demyelinating (CMT1) and axonal (CMT2), with overlapping clinical features but distinct electrophysiological patterns.
Demyelinating forms involve Schwann cell dysfunction, leading to segmental demyelination and slowed conduction velocity.
Axonal forms involve primary axonal degeneration with relatively preserved conduction velocities but reduced amplitudes.
Secondary muscle atrophy and sensory loss occur due to chronic denervation and axon loss.
Progressive, symmetric distal muscle weakness and atrophy, particularly in the lower limbs, is characteristic.
Foot deformities such as pes cavus and hammer toes develop over time due to muscle imbalance.
Sensory involvement is typically mild but may include distal loss of vibration, proprioception, and pain sensation.
Upper limb involvement occurs later and is usually less severe.
Patients may also develop tremor, scoliosis, and gait abnormalities as the disease progresses.
Diagnosis is based on clinical presentation, family history, nerve conduction studies, and genetic testing.
Electrophysiology distinguishes demyelinating from axonal forms and helps guide genetic testing.
Nerve biopsy is rarely required but may show onion bulb formation (CMT1) or axonal degeneration (CMT2).
Differential diagnoses include acquired demyelinating neuropathies (e.g., CIDP), distal hereditary motor neuropathies, and metabolic neuropathies.
Genetic counseling is recommended for affected families to guide reproductive decision-making.
There is currently no disease-modifying therapy; management focuses on supportive and rehabilitative strategies.
Physical and occupational therapy help maintain strength, mobility, and functional independence.
Orthotic devices, such as ankle-foot orthoses, can improve gait and prevent falls.
Surgical correction of severe foot deformities may be necessary for functional improvement.
Genetic counseling and patient education are essential components of long-term care.
Question: Which of the following findings is most characteristic of Charcot-Marie-Tooth disease?
Answer: (B) Symmetric distal weakness with pes cavus and reduced reflexes is the hallmark of Charcot-Marie-Tooth disease.

Differential Diagnoses: AIDP/Guillain-Barré | MMN | POEMS Syndrome | Diabetic Neuropathy
Related Symptoms: Symmetric Weakness | Numbness | Areflexia | Gait Instability
Diagnostic Tests: Nerve Conduction Studies | CSF Analysis | Nerve Ultrasound/MRI
A 48-year-old man presents with a 4-month history of progressive weakness and numbness in his legs and arms.
He reports difficulty climbing stairs and frequent tripping but denies any acute onset or relapsing episodes.
Neurological examination reveals symmetric distal and proximal weakness, areflexia, and reduced vibration sense in the lower limbs.
Nerve conduction studies demonstrate markedly reduced conduction velocities and prolonged distal latencies.
These findings are consistent with a chronic demyelinating polyneuropathy.
CIDP is a rare autoimmune neuropathy with a prevalence of approximately 1–8 per 100,000 population.
It typically affects adults between 40 and 60 years of age but can occur at any age.
There is a slight male predominance, with a male-to-female ratio of approximately 2:1.
Both idiopathic and secondary forms (e.g., associated with diabetes, HIV, or hematologic malignancies) are recognized.
The chronic progressive or relapsing course distinguishes CIDP from acute demyelinating neuropathies like AIDP/GBS.
CIDP is an immune-mediated attack on peripheral nerve myelin with segmental demyelination and remyelination.
Cellular immunity: CD4+ T cells and macrophages penetrate roots once the blood-nerve barrier is disrupted, stripping myelin via inflammatory mediators.
Humoral immunity: Autoantibodies (e.g., neurofascin-155, contactin-1) and complement contribute to nodal/paranodal injury in some phenotypes.
Repeated demyelination triggers Schwann cell proliferation and onion-bulb formation; chronic inflammation eventually causes secondary axonal loss, correlating with disability.
Imaging and nerve ultrasound show nerve-root enlargement reflecting inflammatory edema.
CIDP typically presents as a symmetric, slowly progressive or relapsing sensorimotor polyneuropathy over at least 8 weeks.
Weakness is often both proximal and distal, with areflexia and sensory deficits (particularly vibration and proprioception).
Gait disturbance and imbalance are common due to large-fiber sensory involvement and motor weakness.
Cranial nerve involvement is rare but can include facial or oculomotor palsies.
Autonomic dysfunction is less frequent compared to other neuropathies but may occur in advanced disease.
Think CIDP when symmetric proximal + distal weakness with areflexia evolves over >8 weeks and NCS shows demyelination. Early treatment prevents irreversible axonal loss—don’t wait for severe disability before initiating IVIG or steroids.
Diagnosis is based on clinical features, electrophysiological evidence of demyelination, and supportive laboratory findings.
Nerve conduction studies show prolonged distal latencies, reduced conduction velocities, conduction block, and temporal dispersion.
Cerebrospinal fluid (CSF) often reveals elevated protein with normal cell count (albuminocytologic dissociation).
Differential diagnoses include AIDP (acute course), hereditary demyelinating neuropathies (e.g., CMT), vasculitic neuropathy, and POEMS syndrome.
Nerve biopsy is rarely required but may show segmental demyelination and onion bulb formation.
Differential Diagnosis Comparison:
| Feature | CIDP | AIDP/GBS | MMN | POEMS |
|---|---|---|---|---|
| Time course | ≥8 weeks progressive/relapsing | Acute, monophasic <4 weeks | Slowly progressive, asymmetric | Subacute with systemic features |
| Distribution | Symmetric proximal + distal | Symmetric ascending | Multifocal motor, upper limb | Distal > proximal, painful |
| Reflexes | Absent | Absent | Reduced in affected nerves | Absent |
| Sensory loss | Common (large fiber) | Mild | Minimal | Prominent, painful |
| Motor conduction block | Diffuse, with demyelination | Rare | Focal blocks | Demyelinating + axonal |
| Systemic signs | None/minor | Autonomic/respiratory | None | Organomegaly, endocrinopathy, skin changes |
Diagnosis of typical CIDP requires: 1. Clinical: Progressive symmetric proximal and distal weakness with sensory involvement and areflexia for ≥8 weeks. 2. Electrodiagnostic: Demyelinating features in ≥2 motor nerves (reduced conduction velocity, prolonged distal latency, conduction block, temporal dispersion, F-wave abnormalities). 3. Supportive Criteria: Elevated CSF protein (>45 mg/dL) with <10 cells, nerve imaging showing root hypertrophy, response to immunotherapy, or nerve biopsy with demyelination/onion bulbs.
Atypical variants (MADSAM, DADS, pure motor/sensory) require matching clinical patterns plus electrodiagnostic criteria in affected nerves.
Evidence-Based Therapy:
| Therapy | Regimen | Evidence Grade | Key Notes |
|---|---|---|---|
| IVIG | 2 g/kg over 2-5 days, maintenance 0.4-1 g/kg q2-6wk | Grade A | Rapid onset; preferred for fluctuating disease, pregnancy |
| Corticosteroids | Prednisone 0.75-1 mg/kg/day taper over 6 mo or pulsed IV methylpred | Grade A | Oral convenient; watch for metabolic effects |
| Plasma Exchange (PLEX) | 5-6 exchanges over 2-3 weeks | Grade A | Useful for severe weakness, poor IVIG response |
| Subcutaneous IG | 0.2-0.4 g/kg weekly | Grade A | Maintenance after IVIG stabilization |
| Rituximab | 375 mg/m² weekly ×4 or 1 g ×2 doses | Grade B | Effective in IgG4 nodal antibodies, concomitant MGUS |
| Immunosuppressants | Azathioprine, mycophenolate, cyclosporine, cyclophosphamide | Grade C | Steroid/IVIG sparing; delayed onset |
Treatment Algorithm:
With timely therapy, 60-80% achieve significant functional recovery; delay increases risk of irreversible axonal loss and disability.
Which of the following findings is most characteristic of CIDP compared to AIDP (Guillain-Barré syndrome)?
Answer: (C) CIDP is characterized by a chronic or relapsing course with progression beyond 8 weeks, distinguishing it from AIDP.
A 48-year-old man presents with subacute onset of gait instability, diplopia, and dysarthria over several weeks.
He reports progressive imbalance and difficulty coordinating movements but no significant headache or fever.
Neurological examination reveals truncal ataxia, dysmetria, and internuclear ophthalmoplegia.
MRI brain shows punctate, pepper-like gadolinium-enhancing lesions predominantly in the pons and cerebellum.
Symptoms improve dramatically with high-dose corticosteroid therapy.
CLIPPERS is a rare inflammatory CNS disorder, most commonly affecting middle-aged adults.
It has a slight male predominance and is often underdiagnosed due to nonspecific symptoms and imaging findings.
The exact incidence is unknown, but fewer than a few hundred cases have been reported globally.
Most cases are sporadic without clear genetic or familial predisposition.
Relapses are common if corticosteroids are tapered too quickly or discontinued.
CLIPPERS is characterized by chronic lymphocytic perivascular inflammation predominantly affecting the pons and adjacent brainstem structures.
The infiltrates are mainly composed of CD3+ T-lymphocytes, suggesting a cell-mediated autoimmune mechanism.
The perivascular distribution leads to a characteristic "peppering" appearance on MRI with gadolinium enhancement.
The cause remains unknown, but proposed triggers include viral infections or abnormal immune responses.
Persistent inflammation can lead to gliosis and chronic neurological deficits if untreated.
Subacute onset of cerebellar ataxia, dysarthria, and diplopia are the most frequent presenting features.
Other signs may include internuclear ophthalmoplegia, nystagmus, and mild pyramidal signs.
Cognitive impairment, seizures, and systemic symptoms are rare but can occur.
Symptoms often fluctuate and improve dramatically with corticosteroid therapy.
Relapses manifest as recurrence of brainstem or cerebellar symptoms upon withdrawal of immunotherapy.
Diagnosis is based on characteristic MRI findings: punctate, curvilinear gadolinium-enhancing lesions centered in the pons and spreading into the cerebellum and spinal cord.
CSF analysis shows mild lymphocytic pleocytosis and elevated protein but no specific markers.
Brain biopsy may be considered in atypical cases to exclude lymphoma, vasculitis, or infectious causes.
Differential diagnoses include CNS lymphoma, multiple sclerosis, neurosarcoidosis, and vasculitis.
A dramatic response to corticosteroids is a key diagnostic feature supporting CLIPPERS.
High-dose corticosteroids are the first-line treatment, usually resulting in rapid clinical and radiological improvement.
Long-term maintenance therapy with low-dose corticosteroids or immunosuppressants (e.g., azathioprine, methotrexate) may prevent relapses.
Relapse prevention is crucial, as repeated inflammatory episodes can lead to irreversible neurological damage.
MRI monitoring is recommended to assess disease activity and treatment response.
Alternative immunotherapies, including rituximab or mycophenolate mofetil, may be used in refractory cases.
Which of the following MRI features is most characteristic of CLIPPERS?
Answer: (C) Punctate, pepper-like gadolinium-enhancing lesions in the pons.

A 38-year-old man presents with recurrent episodes of severe unilateral orbital pain lasting 45 minutes, often waking him from sleep.
The pain is associated with ipsilateral lacrimation, nasal congestion, and conjunctival injection.
He reports that the episodes occur in clusters over several weeks, typically at the same time each year.
There is no significant aura or photophobia, and standard analgesics provide no relief.
He has no focal neurological deficits on examination.
Cluster headache is a primary trigeminal autonomic cephalalgia affecting approximately 0.1% of the population.
It predominantly affects males, with a male-to-female ratio of approximately 4:1.
Onset is typically between ages 20 and 50, with a peak in the 30s.
Attacks often occur seasonally or follow circadian patterns, suggesting a hypothalamic component.
A family history is uncommon but slightly increases risk.
Cluster headache is believed to originate from hypothalamic activation affecting circadian rhythms and trigeminal-autonomic reflexes.
Stimulation of the trigeminal nerve leads to release of vasoactive peptides and neurogenic inflammation.
Parasympathetic activation via the superior salivatory nucleus results in autonomic symptoms such as lacrimation and nasal congestion.
Hypothalamic involvement explains the periodicity and diurnal variation of attacks.
Dysfunction of orexinergic and melatonin pathways may also contribute to the pathogenesis.
Severe unilateral periorbital or temporal pain lasting 15–180 minutes, typically occurring in clusters over weeks.
Autonomic symptoms include lacrimation, rhinorrhea, conjunctival injection, miosis, or ptosis on the same side.
Attacks often occur at the same time each day, frequently during sleep.
Patients are usually restless or agitated during attacks, contrasting with the quiet behavior in migraine.
Alcohol and vasodilators can trigger episodes during active cluster periods.
Diagnosis is clinical, based on International Classification of Headache Disorders (ICHD-3) criteria.
MRI of the brain and pituitary is recommended to exclude secondary causes such as pituitary adenoma.
Differential diagnoses include migraine, paroxysmal hemicrania, SUNCT/SUNA, and trigeminal neuralgia.
Paroxysmal hemicrania resembles cluster headache but responds absolutely to indomethacin.
Trigeminal neuralgia presents with shorter, lancinating pain without prominent autonomic features.
Acute therapy includes 100% oxygen (12-15 L/min) and subcutaneous or intranasal sumatriptan.
Verapamil is the first-line preventive therapy, titrated to efficacy with ECG monitoring for conduction delays.
Corticosteroids may be used for transitional therapy during the onset of a cluster period.
Other preventive options include lithium, galcanezumab, or greater occipital nerve blocks.
Refractory cases may benefit from deep brain stimulation of the posterior hypothalamus or sphenopalatine ganglion stimulation.
Question: Which of the following is considered first-line preventive therapy for cluster headache?
Answer: (C) Verapamil is the first-line preventive agent for cluster headaches, requiring ECG monitoring during dose titration.

A 42-year-old woman presents with severe burning pain, swelling, and hypersensitivity in her left hand, six weeks after a distal radius fracture.
The pain is disproportionate to the initial injury and worsens with light touch or movement.
On examination, the hand is warm, erythematous, and exhibits allodynia with limited range of motion.
The patient reports changes in skin color and temperature compared to the contralateral hand.
These findings are consistent with Complex Regional Pain Syndrome (CRPS) type I.
CRPS is an uncommon but debilitating pain condition, typically developing after limb trauma or surgery.
The incidence is estimated at 5–26 per 100,000 person-years, with a higher prevalence in women (3:1 female predominance).
It most commonly affects individuals between 40 and 60 years of age.
Upper limb involvement is more frequent than lower limb involvement.
Type I (without identifiable nerve injury) is more common than type II (with nerve injury).
CRPS arises from an aberrant response to tissue injury involving peripheral and central sensitization.
Dysregulated neuroinflammation, abnormal sympathetic nervous system activity, and immune system activation contribute to persistent pain.
Increased levels of proinflammatory cytokines and neuropeptides like substance P lead to vasomotor and trophic changes.
Central sensitization in the spinal cord and brain amplifies pain perception beyond the initial site of injury.
Genetic predisposition and psychological factors may modulate susceptibility and disease progression.
Hallmark symptoms include burning or stabbing pain disproportionate to the inciting event.
Autonomic dysfunction manifests as changes in skin temperature, color, sweating, and edema.
Motor abnormalities such as weakness, tremor, and dystonia can occur in chronic stages.
Trophic changes include hair loss, brittle nails, and skin thinning.
The disease progresses through acute, dystrophic, and atrophic phases if untreated.
Diagnosis is clinical, based on the Budapest criteria, requiring symptoms in sensory, vasomotor, sudomotor/edema, and motor/trophic domains.
Imaging (e.g., bone scintigraphy) may show increased uptake in early disease but is not essential.
MRI can reveal soft tissue edema and exclude alternative diagnoses.
Differential diagnoses include peripheral neuropathy, deep vein thrombosis, cellulitis, compartment syndrome, and inflammatory arthritis.
Nerve conduction studies help differentiate CRPS type I from type II.
Early, multidisciplinary treatment is essential for optimal outcomes.
Physical and occupational therapy are the cornerstone interventions to preserve limb function.
Pharmacologic options include NSAIDs, corticosteroids, gabapentinoids, tricyclic antidepressants, and bisphosphonates.
Sympathetic nerve blocks and spinal cord stimulation may be considered for refractory cases.
Psychological support and cognitive-behavioral therapy are beneficial for chronic pain coping.
Which of the following best describes the pathophysiology of CRPS?
Answer: (C) Aberrant neuroinflammatory and sympathetic response following tissue injury

A 66-year-old right-handed woman presents with progressive clumsiness and stiffness of her left arm over the past 18 months.
She reports difficulty performing simple tasks like buttoning clothes and often feels her hand moves "on its own."
On examination, there is asymmetric limb rigidity, myoclonus, and cortical sensory loss, with evidence of apraxia.
Alien limb phenomena are observed, where the affected hand moves involuntarily and interferes with tasks.
These findings are consistent with corticobasal syndrome, a rare neurodegenerative condition.
Corticobasal syndrome is a rare neurodegenerative disorder, accounting for less than 5% of atypical parkinsonian syndromes.
The typical age of onset is between 60 and 75 years.
There is no clear gender predilection, though some studies suggest a slight female predominance.
The disease is often sporadic, though rare familial cases have been reported.
Median survival ranges from 6 to 8 years after symptom onset.
CBS is most commonly associated with corticobasal degeneration (CBD), a 4-repeat tauopathy characterized by neuronal and glial tau accumulation.
However, similar clinical syndromes may result from other pathologies, including Alzheimer’s disease, progressive supranuclear palsy, and frontotemporal lobar degeneration.
Pathologically, there is asymmetric frontoparietal cortical atrophy and involvement of the basal ganglia.
Neuronal loss, ballooned neurons, and astrocytic plaques are histological hallmarks of CBD.
Dysfunction of cortical and subcortical circuits underlies the combined motor and cognitive manifestations.
The disease typically presents with asymmetric limb rigidity, bradykinesia, and dystonia unresponsive to levodopa.
Cortical features include apraxia, cortical sensory deficits, and alien limb phenomena.
Myoclonus and focal dystonia are common, often triggered by movement or sensory stimuli.
Cognitive impairment, particularly affecting executive function and language, may emerge as the disease progresses.
Gait disturbance and postural instability occur in later stages.
Diagnosis is clinical, based on characteristic asymmetric motor and cortical findings.
MRI often shows asymmetric cortical atrophy, particularly in the parietal and frontal lobes.
Functional imaging (e.g., FDG-PET) demonstrates asymmetric frontoparietal hypometabolism.
Differential diagnoses include Parkinson’s disease, progressive supranuclear palsy, frontotemporal dementia, and Alzheimer’s disease.
Biomarkers (e.g., CSF tau, amyloid) and genetic testing may help distinguish underlying pathology.
There is no disease-modifying therapy; management focuses on symptomatic treatment and supportive care.
Dopaminergic medications are generally ineffective but may provide limited benefit in select cases.
Antimyoclonic agents (e.g., clonazepam, levetiracetam) may reduce myoclonus.
Physical and occupational therapy help maintain mobility and functional independence.
Cognitive and psychological support are crucial components of multidisciplinary care.
Which of the following clinical features most strongly suggests corticobasal syndrome?
Answer: (B) Alien limb phenomenon with cortical sensory loss
A 63-year-old man presents with rapidly progressive cognitive decline over 6 weeks, accompanied by visual hallucinations and frequent myoclonic jerks.
His family reports new-onset gait unsteadiness and emotional lability.
Neurological examination reveals multifocal myoclonus, ataxia, and pyramidal signs.
EEG shows periodic sharp wave complexes, and MRI demonstrates cortical ribboning and basal ganglia hyperintensities on DWI.
CSF 14-3-3 protein is positive, raising suspicion for prion disease.
CJD is a rare, fatal prion disease with an annual incidence of approximately 1–2 cases per million worldwide.
It predominantly affects individuals aged 60–70, with a slight male predominance.
Sporadic CJD accounts for about 85–90% of cases, while familial forms represent 10–15%.
Iatrogenic cases are rare and linked to contaminated surgical instruments, dura mater grafts, or pituitary hormones.
Variant CJD (vCJD), linked to bovine spongiform encephalopathy, typically affects younger individuals.
CJD is caused by the accumulation of abnormal prion protein (PrPSc) resulting from a conformational change in the normal prion protein (PrPC).
These misfolded proteins propagate by inducing misfolding of native proteins, leading to neuronal death and spongiform changes.
The disease spreads within the CNS through templated protein conversion without nucleic acids.
Pathological changes include vacuolation, neuronal loss, astrocytosis, and accumulation of prion aggregates.
The incubation period is typically years, but once symptomatic, progression is rapid, often leading to death within 6–12 months.
Rapidly progressive dementia is the hallmark, typically accompanied by myoclonus, ataxia, and visual or cerebellar disturbances.
Extrapyramidal signs (rigidity, tremor), pyramidal signs (spasticity, hyperreflexia), and cortical signs (aphasia, neglect) are common.
Psychiatric manifestations such as depression, anxiety, or hallucinations can precede neurological decline.
Variant CJD often presents with prominent psychiatric symptoms and painful dysesthesias before cognitive deterioration.
Late-stage disease includes akinetic mutism, severe myoclonus, and coma.
Diagnosis is clinical, supported by characteristic EEG (periodic sharp waves), MRI (cortical ribboning, basal ganglia hyperintensities), and CSF biomarkers (14-3-3, tau, RT-QuIC).
Real-Time Quaking-Induced Conversion (RT-QuIC) has high specificity and sensitivity for prion detection.
Differential diagnosis includes rapidly progressive dementias such as autoimmune encephalitis, paraneoplastic syndromes, viral encephalitis, and neoplastic infiltration.
Autoimmune encephalitis often presents with seizures and responds to immunotherapy, unlike CJD.
Definitive diagnosis requires neuropathological confirmation with prion protein immunohistochemistry.
No curative therapy exists; management is primarily supportive and palliative.
Symptomatic treatment includes antiepileptics for myoclonus and psychiatric medications for behavioral symptoms.
Early involvement of palliative care teams is crucial due to the rapid disease course.
Infection control protocols should be followed to prevent iatrogenic transmission.
Experimental therapies targeting prion propagation are under investigation but remain unproven.
Question: Which of the following findings is most characteristic of sporadic Creutzfeldt-Jakob disease?
Answer: (B) CSF positive for 14-3-3 protein and periodic sharp wave complexes on EEG

A 58-year-old man is admitted to the ICU with severe sepsis and multi-organ failure, requiring mechanical ventilation and corticosteroid therapy.
After three weeks, he remains ventilator-dependent despite recovery from infection.
He exhibits profound proximal limb weakness, especially in the quadriceps and deltoids, with preserved sensation.
Reflexes are reduced, but there is no muscle tenderness or fasciculations.
Electrophysiological studies reveal low-amplitude motor responses with preserved sensory potentials.
Critical illness myopathy (CIM) occurs in approximately 25–50% of ICU patients with prolonged mechanical ventilation and sepsis.
It is one of the most common causes of ICU-acquired weakness, often coexisting with critical illness polyneuropathy.
Risk factors include corticosteroid and neuromuscular blocking agent use, systemic inflammation, and multi-organ dysfunction.
The condition typically develops after 7–14 days of critical illness, though onset can be earlier in severe cases.
Mortality is not directly increased, but functional recovery and weaning from ventilation are often delayed.
CIM is primarily caused by systemic inflammatory responses leading to muscle membrane dysfunction and catabolism.
Prolonged immobilization and disuse atrophy contribute to selective loss of thick myosin filaments.
Corticosteroids and neuromuscular blockers exacerbate muscle damage by promoting proteolysis and impairing regeneration.
Microvascular dysfunction and mitochondrial injury impair muscle metabolism and energy utilization.
The result is diffuse, symmetric muscle weakness with predominant proximal involvement.
Patients present with generalized symmetric weakness, often noted during attempts to wean from mechanical ventilation.
Proximal muscles are more severely affected, while facial and ocular muscles are usually spared.
Reflexes may be diminished or normal, and sensory examination remains intact.
Muscle atrophy develops rapidly, especially in the quadriceps, deltoids, and hip flexors.
Severe cases can lead to flaccid quadriparesis and prolonged ventilator dependence.
Diagnosis is suspected in ICU patients with unexplained weakness and failure to wean from the ventilator.
Electromyography (EMG) shows low-amplitude motor unit potentials with early recruitment, suggesting a myopathic process.
Serum creatine kinase (CK) levels may be normal or mildly elevated.
Muscle biopsy demonstrates selective myosin loss and muscle fiber necrosis.
Differential diagnoses include critical illness polyneuropathy, Guillain-Barré syndrome, myasthenia gravis, and steroid myopathy.
Supportive care and early recognition are key, with emphasis on minimizing risk factors such as corticosteroids and neuromuscular blockers.
Aggressive management of sepsis, metabolic derangements, and multi-organ dysfunction is essential.
Early mobilization and physical therapy improve outcomes and reduce muscle wasting.
Nutritional support with adequate protein intake supports muscle recovery.
Most patients gradually improve over weeks to months, but some may have residual weakness.
Question: Which of the following findings is most characteristic of critical illness myopathy?
Answer: (C) Symmetric proximal weakness with preserved sensation
A 65-year-old man admitted to the ICU with severe sepsis develops diffuse muscle weakness and difficulty weaning from mechanical ventilation after two weeks.
Neurological examination reveals flaccid quadriparesis, reduced deep tendon reflexes, and preserved cranial nerve function.
Sensory examination shows mild distal sensory loss, and there are no signs of upper motor neuron involvement.
The patient’s condition worsens despite resolution of the primary infection.
Nerve conduction studies demonstrate reduced compound muscle action potentials with preserved sensory potentials, suggesting a primary axonal motor neuropathy.
Critical illness neuropathy (CIN) is a common complication of prolonged intensive care unit (ICU) stays, particularly in patients with sepsis and multiorgan failure.
The incidence ranges from 30–70% in patients requiring mechanical ventilation for more than one week.
Risk factors include sepsis, systemic inflammatory response, multi-organ dysfunction, hyperglycemia, and use of corticosteroids or neuromuscular blockers.
CIN often coexists with critical illness myopathy (CIM), and together they are referred to as critical illness polyneuromyopathy (CIPNM).
Early recognition is essential as it significantly impacts ICU outcomes and prolongs rehabilitation.
CIN is primarily an axonal sensorimotor polyneuropathy resulting from systemic inflammatory and metabolic insults.
Sepsis-induced microvascular dysfunction leads to ischemia and oxidative stress in peripheral nerves.
Cytokine-mediated injury, mitochondrial dysfunction, and sodium channel alterations contribute to axonal degeneration.
Critical illness-associated metabolic derangements exacerbate neuronal injury and hinder regeneration.
Coexistent myopathy may involve selective loss of myosin filaments and muscle membrane inexcitability.
Symmetric, flaccid, predominantly distal limb weakness develops over days to weeks in critically ill patients.
Deep tendon reflexes are reduced or absent, and sensory involvement is typically mild and distal.
Facial and bulbar muscles are generally spared, distinguishing CIN from Guillain–Barré syndrome.
Difficulty weaning from mechanical ventilation due to diaphragmatic weakness is a hallmark feature.
Recovery is slow and may take weeks to months, often necessitating prolonged rehabilitation.
Diagnosis is based on clinical features, electrophysiological studies, and exclusion of other causes of neuromuscular weakness.
Nerve conduction studies show reduced compound muscle action potentials with preserved sensory nerve action potentials, indicating motor axonal involvement.
Electromyography reveals signs of denervation such as fibrillation potentials and positive sharp waves.
Differential diagnosis includes Guillain–Barré syndrome, myasthenia gravis, and prolonged neuromuscular blockade.
Muscle biopsy may be required if concomitant myopathy is suspected or the diagnosis remains uncertain.
Primary management focuses on treating the underlying critical illness, including aggressive control of sepsis and metabolic abnormalities.
Minimizing exposure to neuromuscular blockers and corticosteroids reduces the risk of developing CIN.
Early mobilization, physiotherapy, and tight glycemic control improve outcomes and hasten recovery.
Supportive care, including respiratory support and prevention of secondary complications, is crucial.
No specific pharmacological therapy exists, but ongoing research explores neuroprotective and regenerative strategies.
Question: Which of the following is the most characteristic feature of critical illness neuropathy?
Answer: (B) Symmetric distal weakness with reduced CMAPs and preserved sensory potentials

A 48-year-old office worker presents with numbness and tingling in the ring and little fingers, worsening after prolonged elbow flexion while using his phone.
He reports intermittent hand weakness, especially when gripping objects, and has noticed muscle wasting around the hypothenar region.
Examination reveals decreased sensation in the ulnar distribution and a positive Tinel’s sign over the medial elbow.
Froment’s sign is positive, indicating weakness of the adductor pollicis.
Nerve conduction studies show slowing of ulnar nerve conduction across the elbow.
Cubital tunnel syndrome is the second most common compressive neuropathy of the upper limb after carpal tunnel syndrome.
It most frequently affects adults between 40 and 60 years, with a slight male predominance.
Occupations or activities involving repetitive elbow flexion or prolonged leaning on the elbows increase risk.
Comorbidities such as diabetes mellitus, obesity, and prior elbow trauma can predispose to nerve compression.
Incidence is estimated at approximately 20–30 cases per 100,000 persons annually.
The ulnar nerve passes posterior to the medial epicondyle through the cubital tunnel, where it is susceptible to compression or traction.
Elbow flexion tightens the aponeurosis over the tunnel, increasing intraneural pressure and causing ischemia.
Chronic compression leads to demyelination, followed by axonal degeneration if untreated.
Fibrous bands, ganglion cysts, osteophytes, or previous trauma may contribute to narrowing of the tunnel.
Prolonged nerve injury results in motor and sensory deficits, including intrinsic hand muscle weakness.
Paresthesias and numbness in the fourth and fifth digits, often exacerbated by elbow flexion, are common early symptoms.
Patients may report hand weakness, difficulty gripping, or frequent dropping of objects.
Clawing of the ring and little fingers may develop in advanced cases due to intrinsic muscle atrophy.
Examination findings include decreased sensation in the ulnar distribution, interosseous muscle weakness, and positive Froment’s and Wartenberg’s signs.
Severe cases may show visible wasting of the hypothenar eminence and interosseous spaces.
Diagnosis is primarily clinical, supported by nerve conduction studies demonstrating slowed conduction velocity across the elbow.
Electromyography can assess the extent of denervation in intrinsic hand muscles.
Ultrasound or MRI may reveal nerve entrapment or extrinsic compressive lesions.
Differential diagnosis includes cervical radiculopathy (C8–T1), thoracic outlet syndrome, Guyon’s canal syndrome, and motor neuron disease.
Careful clinical correlation with electrodiagnostic findings is essential for accurate diagnosis.
Initial management involves activity modification, avoiding prolonged elbow flexion, and nighttime splinting in extension.
NSAIDs may provide symptomatic relief, and physical therapy can help reduce nerve tension.
Corticosteroid injections are rarely used but may help reduce inflammation.
Surgical decompression (simple decompression, medial epicondylectomy, or anterior transposition) is indicated for progressive weakness or severe symptoms.
Postoperative rehabilitation focuses on range-of-motion exercises and strengthening of intrinsic hand muscles.
Question: Which clinical feature most strongly suggests advanced cubital tunnel syndrome?
Answer: (B) Atrophy of hypothenar muscles with clawing of the fourth and fifth digits

A 48-year-old woman presents with progressive proximal muscle weakness over 3 months, making it difficult for her to climb stairs and lift objects.
She also reports a pruritic rash over her eyelids and knuckles, and recent unexplained weight loss.
On examination, there is symmetric proximal muscle weakness in both upper and lower limbs, heliotrope rash around the eyes, and Gottron papules over the MCP joints.
Laboratory studies show elevated serum creatine kinase (CK) and aldolase levels, and EMG reveals myopathic changes.
Muscle biopsy demonstrates perivascular and perimysial inflammation with perifascicular atrophy, confirming the diagnosis of dermatomyositis.
Dermatomyositis (DM) is a rare idiopathic inflammatory myopathy with an incidence of 1–10 cases per million per year.
It has a bimodal age distribution, affecting both children (juvenile dermatomyositis) and adults, typically between 40 and 60 years.
Women are affected about twice as often as men.
Approximately 15–25% of adult cases are associated with an underlying malignancy, most commonly ovarian, lung, pancreatic, or colorectal cancer.
The presence of specific autoantibodies, such as anti-Mi-2 or anti-TIF1-γ, may correlate with distinct clinical features and cancer risk.
Dermatomyositis is an autoimmune disease characterized by complement-mediated microangiopathy affecting skeletal muscle and skin.
Deposition of membrane attack complex (C5b-9) on endomysial capillaries leads to endothelial injury and ischemic muscle fiber damage.
CD4+ T cells, B cells, and plasmacytoid dendritic cells play key roles in the inflammatory response, distinguishing it from polymyositis, which is predominantly CD8+ T-cell mediated.
Myositis-specific autoantibodies (e.g., anti-Mi-2, anti-MDA5, anti-TIF1-γ) may provide diagnostic and prognostic information.
Paraneoplastic mechanisms may also contribute, particularly in cancer-associated cases, through shared antigens and immune cross-reactivity.
Symmetric proximal muscle weakness, affecting the shoulder and hip girdles, is the hallmark of dermatomyositis.
Characteristic skin findings include heliotrope rash, Gottron papules, V-sign, shawl sign, and mechanic’s hands.
Systemic manifestations may include interstitial lung disease, dysphagia, myocarditis, and constitutional symptoms.
Calcinosis cutis is more common in juvenile dermatomyositis.
Unlike inclusion body myositis, distal muscle involvement and asymmetric weakness are uncommon in dermatomyositis.
Serum muscle enzymes (CK, aldolase, LDH, AST, ALT) are typically elevated.
Autoantibody testing, including ANA and myositis-specific antibodies, helps classify disease subtypes and predict prognosis.
Electromyography (EMG) often shows a myopathic pattern with fibrillation potentials and short-duration, low-amplitude motor unit potentials.
Muscle biopsy remains the gold standard, demonstrating perivascular and perimysial inflammation with perifascicular atrophy.
Malignancy screening is essential in all adult patients, including imaging and age-appropriate cancer screening tests.
Polymyositis – similar muscle weakness but without characteristic skin findings.
Inclusion body myositis – typically affects older men, with distal and asymmetric weakness and rimmed vacuoles on biopsy.
Drug-induced myopathy – history of statins or corticosteroids, usually without inflammatory findings.
Muscular dystrophies – often hereditary, with a slower progression and lack of inflammatory markers.
Hypothyroid myopathy – elevated CK but reversible with thyroid hormone replacement.
High-dose corticosteroids (e.g., prednisone) are the first-line treatment, often followed by a slow taper.
Steroid-sparing immunosuppressants such as azathioprine, methotrexate, or mycophenolate mofetil are commonly added for long-term control.
IV immunoglobulin (IVIG) is effective for refractory disease and in severe cases with dysphagia or respiratory involvement.
Physical therapy and rehabilitation are important to maintain muscle strength and prevent contractures.
In paraneoplastic cases, treatment of the underlying malignancy often improves dermatomyositis.
Which histopathological feature is most characteristic of dermatomyositis?
Answer: (C) Perifascicular atrophy with perivascular inflammation

A 58-year-old man with poorly controlled type 2 diabetes presents with severe pain in his right thigh, followed by progressive weakness in the quadriceps and difficulty climbing stairs.
Over weeks, he notes muscle wasting and weight loss, but distal leg sensation remains largely intact.
Neurological examination shows proximal leg weakness with reduced knee reflex but preserved ankle jerk.
EMG reveals lumbosacral plexopathy and denervation changes in proximal thigh muscles.
The presentation is consistent with diabetic lumbosacral radiculoplexus neuropathy (DLRPN), also known as diabetic amyotrophy.
Diabetic amyotrophy occurs in about 1% of patients with diabetes, typically in those over 50 years old.
It is more common in type 2 diabetes and often appears after years of poor glycemic control.
Men are affected more frequently than women.
The condition is often underdiagnosed due to overlap with other causes of neuropathy.
It is a monophasic illness with gradual recovery over months to years.
Diabetic amyotrophy is caused by an immune-mediated microvasculitis affecting the lumbosacral plexus and nerve roots.
This leads to ischemic injury and secondary demyelination and axonal degeneration of motor fibers.
Hyperglycemia contributes to oxidative stress and endothelial dysfunction, exacerbating microvascular damage.
The predominant involvement of proximal motor neurons explains the distribution of weakness.
Inflammatory infiltrates and perivascular inflammation are often seen in nerve biopsies.
Acute or subacute onset of severe, asymmetric, proximal leg pain, often in the thigh or hip.
Followed by progressive weakness, usually in the quadriceps, iliopsoas, or gluteal muscles.
Marked muscle wasting develops over weeks, sometimes with weight loss and mild sensory loss.
Reflexes, particularly the knee jerk, are often reduced or absent on the affected side.
The condition is usually monophasic, with gradual recovery occurring over 6–24 months.
Clinical diagnosis is based on characteristic presentation in a diabetic patient.
Nerve conduction studies often show reduced amplitudes with relatively preserved conduction velocities.
EMG reveals active denervation and chronic reinnervation in proximal muscles.
MRI may demonstrate enhancement of the lumbosacral plexus but is primarily used to exclude other causes.
Laboratory tests are useful to rule out other etiologies but are nonspecific for diabetic amyotrophy.
Lumbosacral radiculopathy due to disc herniation or spinal stenosis.
Neoplastic lumbosacral plexopathy (e.g., lymphoma, metastasis).
Inflammatory plexopathy (e.g., idiopathic lumbosacral plexitis).
Motor neuron disease (e.g., ALS) – typically more diffuse and progressive.
Vasculitic neuropathy associated with systemic autoimmune disease.
Strict glycemic control is crucial to prevent further nerve injury and support recovery.
Pain management may include NSAIDs, gabapentinoids, or tricyclic antidepressants.
Physical therapy and rehabilitation are essential for regaining strength and function.
Immunomodulatory therapies (e.g., corticosteroids or IVIG) have been used in selected severe cases.
Patient education and reassurance about the typically self-limited course are important.
Question: Which of the following findings is most characteristic of diabetic amyotrophy?
Answer: (B) Proximal thigh pain followed by asymmetric weakness and

Differential Diagnoses: CIDP | Vitamin B12 Deficiency | Alcoholic Neuropathy | Radiculopathy
Related Symptoms: Stocking-glove numbness | Burning pain | Autonomic dysfunction | Gait instability
Diagnostic Tools: Nerve Conduction Studies | Quantitative Sensory Testing | Autonomic Function Tests
A 58-year-old man with a 15-year history of poorly controlled type 2 diabetes mellitus presents with burning pain and numbness in his feet, which has gradually progressed over the past year.
He reports difficulty walking in the dark and frequent falls due to imbalance.
Examination reveals decreased vibration and pinprick sensation in a stocking distribution, absent ankle reflexes, and mild distal muscle weakness.
There is no evidence of acute foot ulceration or infection, but he has reduced proprioception in his toes.
Autonomic symptoms include orthostatic hypotension and erectile dysfunction.
Diabetic neuropathy affects up to 50% of patients with long-standing diabetes mellitus.
It is the most common cause of peripheral neuropathy in developed countries.
The risk increases with duration of diabetes, poor glycemic control, and presence of comorbidities like hypertension and dyslipidemia.
Both type 1 and type 2 diabetes can lead to neuropathy, though it is more prevalent in type 2 due to longer undiagnosed disease duration.
Peripheral symmetric polyneuropathy is the most frequent form, but focal and autonomic neuropathies also occur.
Sensory symptoms include burning, tingling, numbness, and lancinating pain, typically in a symmetric distal pattern ("stocking-glove" distribution).
Motor involvement may manifest as distal weakness, muscle wasting, and gait instability.
Autonomic features include orthostatic hypotension, gastrointestinal dysmotility, bladder dysfunction, and sexual dysfunction.
Diabetic amyotrophy presents with painful asymmetric proximal weakness, often in the thighs.
Mononeuropathies, including cranial nerve palsies, can occur acutely and resolve spontaneously.
“Stocking-glove” sensory loss with absent ankle reflexes and preserved proprioception above the ankle strongly suggests diabetic peripheral neuropathy; evaluate for autonomic involvement at each visit (orthostatic vitals, gastrointestinal symptoms).
Diagnosis is primarily clinical, supported by nerve conduction studies showing distal symmetric sensorimotor polyneuropathy.
Laboratory workup includes HbA1c, B12 levels, thyroid function tests, and serum protein electrophoresis to exclude other causes.
Differential diagnoses include chronic inflammatory demyelinating polyneuropathy (CIDP), vitamin deficiencies, alcohol-related neuropathy, and paraproteinemic neuropathy.
Skin biopsy or corneal confocal microscopy may aid in diagnosing small fiber neuropathy.
Quantitative sensory testing and autonomic function testing can provide further diagnostic clarity.
Differential Diagnosis Comparison:
| Feature | Diabetic Neuropathy | CIDP | Vitamin B12 Deficiency | Alcoholic Neuropathy |
|---|---|---|---|---|
| Onset | Gradual, chronic | Subacute/chronic (>8 wks) | Gradual | Gradual |
| Pattern | Distal symmetric | Proximal + distal, motor > sensory | Sensory ataxia, posterior column signs | Distal symmetric |
| Reflexes | Reduced distally | Globally reduced | Reduced Achilles, preserved knees early | Reduced |
| NCS/EMG | Axonal loss | Demyelinating features | Axonal sensory > motor | Axonal loss |
| Labs | Elevated HbA1c | Elevated CSF protein | Low B12, elevated MMA | Elevated liver enzymes |
| Treatment | Glycemic + risk-factor control | Immunotherapy | B12 replacement | Abstinence, nutrition |
Disease-Modifying Strategies:
| Intervention | Notes |
|---|---|
| Glycemic control | Intensive control reduces incidence (especially in type 1); avoid hypoglycemia |
| Cardiometabolic optimization | Manage hypertension, dyslipidemia, obesity, smoking |
| Lifestyle | Exercise, weight management, smoking cessation |
Neuropathic Pain Control:
| Class | Examples | Evidence Grade | Comments |
|---|---|---|---|
| Gabapentinoids | Gabapentin, pregabalin | Grade A | First-line; titrate slowly |
| SNRIs | Duloxetine, venlafaxine | Grade A | Beneficial for comorbid mood disorders |
| TCAs | Amitriptyline, nortriptyline | Grade B | Use lower doses in elderly |
| Topicals | Capsaicin 8% patch, lidocaine 5% patch | Grade B | For focal pain |
| Opioids/tramadol | Reserved for refractory cases | Grade C | Short-term use only |
Autonomic Dysfunction Management: - Orthostatic hypotension: increased fluids/salt, compression stockings, midodrine/fludrocortisone. - Gastroparesis: dietary changes, prokinetics (metoclopramide, erythromycin). - Bladder dysfunction: timed voiding, intermittent catheterization; consider bethanechol. - Erectile dysfunction: PDE-5 inhibitors; address cardiovascular risk.
Supportive Care: - Foot care education, podiatry follow-up, custom footwear. - Physical therapy for balance training and fall prevention. - Psychological support for chronic pain and quality-of-life issues.
Management Algorithm: 1. Assess pain, motor, and autonomic involvement at each visit. 2. Optimize glycemic and cardiometabolic control; counsel on lifestyle changes. 3. Initiate pain therapy (gabapentinoid or SNRI) with stepwise titration; add topical agents for focal pain. 4. Treat autonomic symptoms with targeted pharmacologic and nonpharmacologic measures. 5. Prevent complications with regular foot exams, patient education, and early referral to podiatry/rehab services.
Question: Which of the following is the most common clinical presentation of diabetic neuropathy?
Answer: (C) Symmetric distal sensorimotor polyneuropathy

A 62-year-old man presents with a two-year history of progressive numbness and tingling in his feet, gradually ascending to the mid-calf, and more recently involving his hands.
He reports mild distal weakness but denies significant proximal muscle involvement or autonomic symptoms.
Neurological examination reveals distal sensory loss in a stocking-glove distribution, absent ankle reflexes, and mild weakness of ankle dorsiflexion.
Nerve conduction studies demonstrate demyelinating features predominantly in distal nerves with prolonged distal latencies and slowed conduction velocities.
Serum testing reveals an IgM monoclonal gammopathy with anti-MAG antibodies.
DADS is a rare variant of chronic inflammatory demyelinating polyradiculoneuropathy (CIDP), accounting for approximately 10–15% of CIDP cases.
It typically affects older adults, with a peak incidence in the sixth and seventh decades of life.
A significant proportion (about 50–70%) of DADS cases are associated with IgM monoclonal gammopathy, often with anti-MAG antibodies.
There is a slight male predominance, and the condition progresses slowly over several years.
DADS must be distinguished from other demyelinating neuropathies due to its distinct course, electrophysiological pattern, and treatment response.
DADS is characterized by immune-mediated demyelination targeting distal segments of peripheral nerves.
The disease is often associated with IgM monoclonal gammopathy, where the IgM binds to myelin-associated glycoprotein (MAG), triggering complement activation and demyelination.
In idiopathic DADS (without monoclonal gammopathy), the pathophysiology is less well understood but likely involves T-cell and macrophage-mediated myelin injury.
The distal predominance may be due to increased antigen expression or lower regenerative capacity in distal axons.
Chronic demyelination leads to secondary axonal degeneration and cumulative sensory and motor deficits over time.
Patients typically present with distal symmetric sensory symptoms such as numbness, tingling, and burning pain in the feet and hands.
Motor involvement is usually mild and predominantly distal, often affecting ankle dorsiflexion and intrinsic hand muscles.
Reflexes are reduced or absent distally but may be preserved proximally.
Tremor and ataxia can occur, especially in anti-MAG–associated cases, due to proprioceptive involvement.
The disease progresses slowly, with many patients remaining ambulatory for years.
Nerve conduction studies reveal distal demyelination with prolonged distal latencies, reduced conduction velocities, and often conduction block in distal segments.
Serum protein electrophoresis and immunofixation should be performed to identify monoclonal gammopathy, particularly IgM.
Anti-MAG antibody testing is essential, as its presence suggests a distinct pathophysiological mechanism and therapeutic response.
Nerve biopsy is rarely required but may show segmental demyelination, onion bulb formation, and IgM deposition on myelin.
Differential diagnoses include diabetic polyneuropathy, idiopathic CIDP, POEMS syndrome, and paraproteinemic neuropathies.
Immunotherapy is the mainstay of treatment, although responses vary depending on the presence of monoclonal gammopathy.
Corticosteroids, IVIG, or plasmapheresis may be effective in idiopathic DADS but are less effective in anti-MAG–positive disease.
Rituximab has shown benefit in IgM-associated DADS, particularly in those with high anti-MAG antibody titers.
Symptomatic management includes physiotherapy, gait aids, and neuropathic pain control with agents like gabapentin or duloxetine.
Regular follow-up is essential to monitor disease progression, treatment response, and potential transformation of monoclonal gammopathy into lymphoproliferative disease.
Which of the following features is most characteristic of DADS
Answer: (D) Predominant distal sensory involvement with anti-MAG antibodies

An 89-year-old woman presents with acute confusion and a witnessed generalized tonic-clonic seizure.
She has no prior history of seizures, recent infections, or trauma.
MRI brain (FLAIR axial) shows hyperintensity and swelling localized to the right temporal lobe, consistent with encephalitis.
CSF analysis is pending, and empirical intravenous acyclovir therapy is initiated.
The leading diagnosis is herpes simplex encephalitis (HSE), with differentials including autoimmune limbic encephalitis, paraneoplastic encephalitis, and neoplastic lesions.
Figure 1: Axial FLAIR MRI showing right temporal lobe hyperintensity consistent with herpes simplex encephalitis.
Herpes simplex virus type 1 (HSV-1) is the most common cause of sporadic fatal encephalitis in adults.
The incidence is estimated at 1–2 cases per million annually, affecting all ages with peaks in young adults and the elderly.
Without treatment, mortality exceeds 70%, but early acyclovir therapy reduces mortality to below 20%.
Relapses can occur, especially in immunocompromised or elderly individuals.
Older patients often present with atypical symptoms, contributing to delayed diagnosis and poorer outcomes.
HSV-1 typically reaches the brain via retrograde axonal transport along the trigeminal or olfactory pathways.
The virus preferentially affects the medial temporal and inferior frontal lobes, causing necrotizing and hemorrhagic inflammation.
Viral replication leads to neuronal lysis, cytotoxic edema, and local hemorrhage.
The immune response amplifies damage through microglial activation and cytokine-mediated injury.
Delay in antiviral therapy allows extensive cortical destruction, potentially leading to herniation and death.
The classic triad includes fever, altered mental status, and seizures.
Focal neurological deficits such as aphasia, hemiparesis, or behavioral changes are common due to temporal lobe involvement.
Elderly patients may primarily exhibit confusion or decreased responsiveness without fever.
Seizures occur in up to two-thirds of patients and may progress to status epilepticus.
In severe cases, coma, brainstem signs, or raised intracranial pressure may develop.
MRI typically shows asymmetric hyperintensity in the temporal and orbitofrontal lobes, often with restricted diffusion and hemorrhage.
CSF analysis reveals lymphocytic pleocytosis, elevated protein, and normal glucose levels.
HSV-1 DNA detection by PCR in CSF is diagnostic with >95% sensitivity and specificity.
EEG often demonstrates periodic lateralized epileptiform discharges (PLEDs) over the affected temporal region.
Differential diagnoses include autoimmune encephalitis, glioma, ischemic stroke, and paraneoplastic limbic encephalitis.
Empirical IV acyclovir (10 mg/kg every 8 hours for 14–21 days) should be initiated immediately upon suspicion.
Renal function should be monitored, and doses adjusted accordingly.
Supportive management includes seizure control, airway protection, and management of cerebral edema.
Corticosteroids may be considered in severe edema but are not routinely indicated.
Prognosis depends on early diagnosis, age, and neurological status at presentation; delay in therapy worsens outcomes.
Which of the following MRI findings is most characteristic of herpes simplex encephalitis?
Answer: (B) Unilateral temporal lobe FLAIR hyperintensity with hemorrhagic features

Differential Diagnoses: Parkinson’s Disease | Dystonic Tremor | Cerebellar Tremor | Drug-Induced Tremor
Related Symptoms: Tremor | Gait Instability | Anxiety | Sleep Disturbance
Diagnostic Tests: Spiral Test | DaTscan (to exclude PD) | Thyroid Function
A 68-year-old woman presents with a 5-year history of bilateral hand tremors that are most prominent during action, such as when drinking from a cup or writing.
The tremor worsens with anxiety and emotional stress but improves with small amounts of alcohol.
There are no associated neurological deficits such as rigidity, bradykinesia, or cerebellar signs.
Her family history is positive for a similar tremor in her father, suggesting a hereditary pattern.
The tremor is becoming socially embarrassing and affecting her work as a graphic designer.
Essential tremor (ET) is the most common adult movement disorder, affecting approximately 0.9–5% of the general population.
Prevalence increases with age, typically manifesting after the age of 40 but can occur in younger individuals.
About 50% of cases are familial, demonstrating an autosomal dominant pattern of inheritance.
ET is often misdiagnosed as Parkinson’s disease due to overlapping features but differs in onset, tremor characteristics, and absence of additional motor signs.
Despite its prevalence, ET is underdiagnosed and frequently under-treated in clinical practice.
ET likely originates from aberrant oscillatory activity within the cerebello-thalamo-cortical loop.
Pathology studies show Purkinje cell loss, torpedoes, and abnormal climbing-fiber synapses, implying cerebellar disinhibition.
Functional imaging demonstrates overactivity in the dentate nucleus, thalamus, and motor cortex; DBS targets ventral intermediate nucleus to interrupt this loop.
Genetic factors (e.g., LINGO1, TENM4, FUS variants) modulate neuronal excitability and synaptic plasticity.
Unlike Parkinson’s disease, dopaminergic degeneration is absent; thus DaTscan remains normal in ET.
ET presents with a bilateral, symmetric, postural, or kinetic tremor, most commonly affecting the hands and forearms.
The head, voice, jaw, tongue, and lower limbs may also be involved, though less frequently.
Tremor amplitude increases with stress, fatigue, or stimulants and often improves with small amounts of alcohol.
Unlike Parkinsonian tremor, ET is typically absent at rest and does not involve bradykinesia or rigidity.
The condition progresses slowly over years but rarely leads to significant disability or mortality.
Handwriting spiral test: ET shows a large, smooth, symmetric spiral; Parkinson’s tremor produces a small, shaky spiral. Ask about alcohol response—improvement strongly favors ET.
ET is a clinical diagnosis based on characteristic tremor features and the absence of other neurological signs.
Neuroimaging is not routinely necessary but may be used to exclude secondary causes such as structural lesions or demyelinating disease.
Laboratory tests (e.g., thyroid function tests) can help rule out metabolic causes like hyperthyroidism.
Differential diagnoses include Parkinson’s disease (rest tremor, bradykinesia), cerebellar tremor (intention tremor, ataxia), drug-induced tremor, and dystonic tremor.
A positive response to propranolol or primidone supports the diagnosis of ET.
Differential Diagnosis Comparison:
| Feature | Essential Tremor | Parkinson’s Disease | Cerebellar Tremor | Dystonic Tremor |
|---|---|---|---|---|
| Timing | Action/postural | Rest (action emerges later) | Intention > postural | Action/postural, jerky |
| Distribution | Bilateral upper limbs, head/voice possible | Starts unilateral upper limb | Ipsilateral to lesion | Commonly neck/upper limb |
| Associated Signs | None; mild gait ataxia in some | Bradykinesia, rigidity | Dysmetria, ataxia, nystagmus | Dystonic posturing, sensory tricks |
| Alcohol Response | Improves | Minimal | Variable | Minimal |
| DaTscan | Normal | Reduced striatal uptake | Normal | Normal |
Medical Therapy (Evidence-Based):
| Therapy | Dose Range | Evidence Grade | Clinical Notes |
|---|---|---|---|
| Propranolol | 40-320 mg/day divided | Grade A | First-line; avoid in asthma, heart block |
| Primidone | 25 mg HS → 250 mg TID | Grade A | Start low to avoid sedation/ataxia |
| Topiramate | 25-100 mg BID | Grade B | Weight loss benefit; cognitive slowing |
| Gabapentin | 300-1200 mg TID | Grade B | Useful in comorbid neuropathic pain |
| Benzodiazepines (clonazepam) | 0.25-1 mg BID | Grade C | Rescue for anxiety-provoked tremor |
| Botulinum toxin | Tailored injections | Grade B | Best for head/voice tremor; risk of weakness |
Procedural Options:
| Procedure | Indication | Benefit | Considerations |
|---|---|---|---|
| VIM Deep Brain Stimulation | Medication-refractory disabling tremor | 60-80% tremor reduction | Adjustable, bilateral possible; requires surgery |
| MRI-Guided Focused Ultrasound Thalamotomy | Unilateral severe tremor | 50-70% reduction | Noninvasive, unilateral; risk of paresthesias, gait issues |
| Radiofrequency Thalamotomy | Limited to select patients | Similar to FUS | Irreversible lesion |
Treatment Algorithm:
Question: Which of the following is considered a first-line treatment for essential tremor?
Answer: (B) Propranolol

Differential Diagnoses: Syncope | Psychogenic Non-Epileptic Seizures | TIA
Related Symptoms: Seizure | Altered Consciousness | Headache
Diagnostic Tests: EEG | MRI Brain
See Also: Status Epilepticus
A 28-year-old female presents to the emergency department after experiencing two episodes of generalized tonic-clonic seizures within 24 hours. Each event lasted about 2 minutes and was followed by postictal confusion and fatigue.
Her family reports that she had a history of febrile seizures in childhood but no known neurological conditions.
Neurological examination is normal between episodes, and MRI brain shows no structural abnormalities.
EEG reveals generalized spike-and-wave discharges consistent with a primary generalized epilepsy syndrome.
She is started on an antiepileptic drug (AED) with good seizure control.
Epilepsy affects approximately 50 million people worldwide, making it one of the most common chronic neurological disorders.
The incidence is highest in childhood and in adults over 60 years of age.
Risk factors include genetic predisposition, perinatal brain injury, head trauma, central nervous system infections, and structural brain abnormalities.
About 70% of patients achieve seizure control with appropriate antiepileptic therapy.
Mortality is increased in epilepsy patients, particularly due to sudden unexpected death in epilepsy (SUDEP) and seizure-related accidents.
Epilepsy is characterized by recurrent unprovoked seizures due to abnormal, synchronous neuronal discharges.
Pathophysiological mechanisms include altered ion channel function, impaired inhibitory neurotransmission (e.g., GABA), or excessive excitatory transmission (e.g., glutamate).
Structural lesions such as cortical dysplasias, tumors, or hippocampal sclerosis can act as epileptogenic foci.
Genetic mutations in ion channels and synaptic proteins underlie many primary generalized epilepsies.
Epileptogenesis involves progressive network reorganization and gliosis that facilitate recurrent seizure activity.
Seizure types vary and include focal (with or without impaired awareness), generalized (e.g., tonic-clonic, absence), and unknown onset seizures.
Aura (a subjective premonitory sensation) may precede focal seizures.
Postictal manifestations such as confusion, headache, or Todd’s paralysis may follow seizures.
Interictal periods are typically neurologically normal unless there is an underlying structural lesion or epileptic encephalopathy.
Associated comorbidities include cognitive impairment, mood disorders, and social stigmatization.
Diagnosis is clinical, supported by EEG findings and neuroimaging to identify structural causes.
MRI is the preferred modality to detect structural brain lesions such as cortical dysplasia, tumors, or vascular malformations.
Laboratory investigations are useful to exclude metabolic causes (e.g., hypoglycemia, hyponatremia).
Differential diagnosis includes syncope, psychogenic nonepileptic seizures, transient ischemic attacks, and sleep disorders.
Long-term video EEG monitoring may be necessary in diagnostic uncertainty or pre-surgical evaluation.
Focal seizures → Get MRI to find structural cause (30-50% have lesion). Generalized spike-wave at 3 Hz on EEG = absence epilepsy (ethosuximide or valproate). Drug-resistant epilepsy (30% of patients) → refer for epilepsy surgery evaluation if focal onset.
Antiepileptic Drug (AED) Selection by Seizure Type:
| Seizure Type | First-Line AEDs | Typical Dose | Evidence Grade | Key Notes |
|---|---|---|---|---|
| Focal Onset | Levetiracetam | 1,000-3,000 mg/day PO | Grade A | No drug interactions, well tolerated; behavioral SE |
| Lamotrigine | 200-400 mg/day PO (slow titration) | Grade A | Good efficacy; risk of SJS if rapid titration | |
| Carbamazepine | 600-1,200 mg/day PO | Grade A | Enzyme inducer; hyponatremia risk | |
| Generalized Tonic-Clonic | Valproic acid | 1,000-3,000 mg/day PO | Grade A | Avoid in women of childbearing age (teratogenic) |
| Levetiracetam | 1,000-3,000 mg/day PO | Grade A | Safe in pregnancy (relatively) | |
| Lamotrigine | 200-500 mg/day PO | Grade A | Good alternative to valproate | |
| Absence Seizures | Ethosuximide | 500-1,500 mg/day PO | Grade A | First choice for pure absence |
| Valproic acid | 15-60 mg/kg/day PO | Grade A | If absence + GTC seizures | |
| Myoclonic Seizures | Valproic acid | 1,000-3,000 mg/day PO | Grade A | Most effective for JME |
| Levetiracetam | 1,000-3,000 mg/day PO | Grade A | Alternative to valproate |
Focal Onset: - Aware (simple partial) - consciousness preserved - Impaired awareness (complex partial) - consciousness altered - Focal to bilateral tonic-clonic (secondary generalization)
Generalized Onset: - Absence - brief staring spells (3-Hz spike-wave) - Tonic-clonic - loss of consciousness + convulsions - Myoclonic - brief muscle jerks - Atonic - drop attacks
Unknown Onset - when onset unclear
Treatment Algorithm:
Non-Pharmacologic Management: - Lifestyle: Adequate sleep (7-9 hrs), avoid alcohol, stress management [Grade B] - Driving: Seizure-free period varies by state (typically 3-12 months) - SUDEP counseling: Higher risk if frequent GTC, nocturnal seizures, poor compliance
Question: Which of the following EEG findings is most characteristic of primary generalized epilepsy?
Answer: (D) Generalized spike-and-wave discharges

A 32-year-old man presents with burning pain in his hands and feet, particularly triggered by heat or exercise.
He reports episodes of abdominal pain and diarrhea, along with decreased sweating.
On examination, angiokeratomas are noted in the lower trunk region, and corneal verticillata are seen on slit-lamp examination.
His renal function is mildly impaired, and there is evidence of left ventricular hypertrophy on echocardiography.
Enzyme assay reveals markedly reduced \(\alpha\)-galactosidase A activity, confirming the diagnosis of Fabry’s disease.
Fabry’s disease is a rare X-linked lysosomal storage disorder with an estimated incidence of 1 in 40,000 to 1 in 117,000 live births.
It predominantly affects males, though heterozygous females may develop variable symptoms due to X-inactivation.
The classic phenotype typically presents in childhood or adolescence, while later-onset variants may manifest in adulthood.
Disease progression is often slow but leads to multisystem involvement over decades.
Improved genetic screening has increased recognition of late-onset and subclinical cases.
Fabry’s disease is caused by mutations in the GLA gene on the X chromosome, leading to deficient activity of the enzyme \(\alpha\)-galactosidase A.
This enzyme deficiency results in accumulation of globotriaosylceramide (Gb3) and related glycosphingolipids in lysosomes.
Lipid accumulation occurs in vascular endothelial cells, smooth muscle cells, renal podocytes, cardiomyocytes, and neurons.
Progressive storage leads to chronic inflammation, vascular dysfunction, and end-organ damage affecting the kidneys, heart, and nervous system.
The extent of residual enzyme activity often correlates with disease severity and phenotype.
Early manifestations include acroparesthesias (burning pain in hands and feet), hypohidrosis, and heat intolerance.
Dermatological signs such as angiokeratomas, typically in the "bathing trunk" distribution, are characteristic.
Corneal verticillata and posterior subcapsular cataracts may occur, though they do not impair vision.
Progressive involvement leads to chronic kidney disease, hypertrophic cardiomyopathy, arrhythmias, and cerebrovascular disease (including stroke).
Gastrointestinal symptoms such as abdominal pain, diarrhea, and nausea are also common.
Diagnosis is confirmed by measuring \(\alpha\)-galactosidase A activity, which is markedly reduced or absent in affected males.
Genetic testing of the GLA gene is recommended for confirmation and for detecting carriers, especially in females.
Urinary and plasma Gb3 or lyso-Gb3 levels can support diagnosis and serve as biomarkers for disease activity.
Differential diagnoses include other causes of small fiber neuropathy, hypertrophic cardiomyopathy, and chronic kidney disease.
Family screening is essential due to the X-linked inheritance pattern.
Enzyme replacement therapy (ERT) with recombinant \(\alpha\)-galactosidase A is the cornerstone of treatment and slows disease progression.
Pharmacological chaperone therapy (e.g., migalastat) may be an option for patients with amenable mutations.
Supportive care includes pain management, renal replacement therapy if necessary, and management of cardiac and cerebrovascular complications.
Early initiation of therapy before irreversible organ damage occurs is associated with better outcomes.
Regular multidisciplinary follow-up is crucial to monitor disease progression and treatment response.
Which of the following is a characteristic clinical feature of Fabry’s disease?
Answer: (B) Angiokeratomas in the lower trunk and genital region

A 24-year-old man presents with progressive weakness in his face and shoulders over the past three years.
He reports difficulty whistling and closing his eyes tightly, along with trouble lifting objects overhead.
His father experienced similar symptoms starting in early adulthood.
Neurological examination shows facial muscle weakness, scapular winging, and preserved distal limb strength.
Serum creatine kinase is mildly elevated, and genetic testing confirms a contraction of the D4Z4 repeat on chromosome 4q35.
FSHD is the third most common inherited muscular dystrophy, with a prevalence of approximately 1 in 20,000 individuals.
It affects both sexes equally and typically manifests in the second or third decade of life.
About 90% of cases are inherited in an autosomal dominant pattern, while the remainder result from de novo mutations.
The disease shows variable expressivity, even within the same family.
Penetrance approaches 95% by age 30.
FSHD is primarily caused by contraction of the D4Z4 repeat on chromosome 4q35, leading to inappropriate expression of the DUX4 gene in muscle cells.
This aberrant expression causes muscle cell toxicity and progressive degeneration.
Epigenetic dysregulation and hypomethylation of the D4Z4 region contribute to disease manifestation.
FSHD1 is due to contraction of D4Z4 repeats, while FSHD2 involves mutations in SMCHD1 or DNMT3B genes leading to chromatin relaxation.
Pathological findings include muscle fiber necrosis, regeneration, and inflammatory infiltrates.
The disease often starts with facial weakness, including inability to close the eyes tightly or whistle.
Shoulder girdle weakness leads to scapular winging and difficulty lifting the arms.
As the disease progresses, truncal and lower limb involvement may occur, often asymmetrically.
Hearing loss and retinal vascular abnormalities may be seen in some patients.
Cardiac and respiratory involvement are rare but can occur in advanced disease.
Diagnosis is based on clinical presentation, family history, and genetic testing confirming D4Z4 repeat contraction on 4q35.
Serum CK levels are usually normal or mildly elevated.
Electromyography shows a myopathic pattern, and muscle biopsy reveals nonspecific myopathic changes.
Differential diagnoses include limb-girdle muscular dystrophies, scapuloperoneal syndromes, and mitochondrial myopathies.
Genetic counseling is recommended due to the autosomal dominant inheritance pattern.
There is no curative therapy; management is supportive and focuses on maintaining function and quality of life.
Physical therapy and occupational therapy help prevent contractures and maintain mobility.
Orthotic devices may assist with posture and limb support.
Surgical scapular fixation can improve upper limb function in selected cases.
Regular monitoring for hearing and retinal complications is advised.
Which of the following is a characteristic clinical feature of facioscapulohumeral muscular dystrophy (FSHD)?
Answer: (C) Asymmetric weakness involving facial and shoulder muscles

A 65-year-old man presents with sudden onset weakness in his right thigh following a hip replacement surgery.
He reports difficulty climbing stairs and frequent tripping.
On examination, there is quadriceps weakness, absent patellar reflex, and decreased sensation over the anteromedial thigh and medial leg.
There is no involvement of distal leg muscles or cranial nerves.
Electromyography (EMG) shows denervation of femoral-innervated muscles.
Femoral neuropathy is a relatively uncommon mononeuropathy, accounting for less than 5% of focal lower limb neuropathies.
It most frequently occurs as an iatrogenic complication following pelvic or hip surgery.
Diabetes mellitus and retroperitoneal hematomas are recognized risk factors.
It affects both sexes equally, with a slightly higher incidence in older adults due to surgical interventions and comorbidities.
Prompt recognition is critical, as early diagnosis can improve functional outcomes.
The femoral nerve arises from the posterior divisions of the L2–L4 roots of the lumbar plexus.
It travels through the psoas major, emerges laterally, and passes beneath the inguinal ligament to supply the anterior thigh muscles and sensory branches to the leg.
Neuropathy results from compression, traction, ischemia, or direct trauma along its course.
Retroperitoneal hematoma, pelvic fractures, or surgical retractors can cause nerve compression or ischemia.
Metabolic conditions, such as diabetes, can contribute to nerve vulnerability and delayed recovery.
Patients present with weakness of hip flexion and knee extension, often manifesting as difficulty walking, climbing stairs, or rising from a seated position.
Sensory loss involves the anteromedial thigh and medial leg via the saphenous branch.
The patellar reflex is typically diminished or absent.
Severe cases may present with muscle atrophy and fasciculations in chronic stages.
Pain is often mild or absent, distinguishing it from radiculopathies or plexopathies.
Clinical diagnosis is supported by focused neurological examination revealing characteristic motor and sensory deficits.
Nerve conduction studies (NCS) show reduced or absent femoral motor responses.
Electromyography (EMG) demonstrates denervation in the quadriceps and other femoral-innervated muscles.
Imaging (CT or MRI) is indicated if retroperitoneal hematoma, pelvic mass, or compressive lesion is suspected.
Differentials include L2–L4 radiculopathy, lumbar plexopathy, or diabetic amyotrophy.
Management focuses on treating the underlying cause (e.g., evacuation of hematoma, glycemic control, or surgical correction).
Physical therapy is essential to maintain joint mobility and prevent muscle atrophy.
Orthotic devices, such as knee braces, may improve ambulation and stability.
Neuropathic pain, if present, can be managed with agents such as gabapentin or duloxetine.
Prognosis depends on the etiology and severity; iatrogenic and compressive causes often have a favorable outcome with early intervention.
Question: Which of the following clinical findings is most characteristic of femoral neuropathy?
Answer: (B) Weakness of knee extension with absent patellar reflex

A 42-year-old woman presents with diffuse musculoskeletal pain, fatigue, and poor sleep quality for the past six months.
She reports a sensation of stiffness and generalized tenderness, especially in the neck, shoulders, and back.
Despite adequate rest, she wakes up unrefreshed and experiences cognitive difficulties described as “fibro fog.”
There are no objective signs of inflammation or swelling on examination.
Laboratory investigations, including ESR, CRP, and thyroid function tests, are normal, raising suspicion for fibromyalgia.
Fibromyalgia affects approximately 2–4% of the general population worldwide.
It is significantly more common in women, with a female-to-male ratio of roughly 9:1.
The typical age of onset is between 30 and 55 years.
There is an association with psychiatric comorbidities such as depression and anxiety.
Familial aggregation suggests a genetic predisposition to abnormal pain processing mechanisms.
Fibromyalgia is a disorder of central pain amplification rather than peripheral tissue inflammation.
Functional MRI studies demonstrate augmented pain signaling within the central nervous system.
Neurochemical abnormalities include altered serotonin, norepinephrine, and substance P levels.
Dysregulation of the hypothalamic-pituitary-adrenal (HPA) axis may contribute to chronic stress responses.
Sleep disturbances and genetic polymorphisms in catechol-O-methyltransferase (COMT) have also been implicated.
The hallmark symptom is widespread musculoskeletal pain lasting at least three months.
Associated symptoms include fatigue, non-restorative sleep, and cognitive impairment (“fibro fog”).
Patients may experience headaches, irritable bowel syndrome, paresthesia, and mood disorders.
Physical examination reveals multiple tender points over soft tissues such as the trapezius, supraspinatus, and gluteal regions.
Symptoms often fluctuate with stress, weather changes, and physical exertion.
The diagnosis is clinical, based on the 2016 American College of Rheumatology (ACR) criteria involving the Widespread Pain Index (WPI) and Symptom Severity (SS) scale.
Laboratory and imaging studies are typically normal but are necessary to exclude mimics.
Differential diagnoses include hypothyroidism, rheumatoid arthritis, polymyalgia rheumatica, myopathies, and chronic fatigue syndrome.
The absence of synovitis or elevated inflammatory markers distinguishes fibromyalgia from inflammatory arthropathies.
A multidisciplinary assessment ensures exclusion of secondary causes of chronic pain.
Management requires a multimodal approach combining education, pharmacologic, and non-pharmacologic strategies.
Patient education about the benign yet chronic nature of the condition is crucial.
Low-impact aerobic exercise and cognitive-behavioral therapy improve symptoms and quality of life.
Pharmacologic options include duloxetine, pregabalin, milnacipran, and low-dose amitriptyline.
Opioids and corticosteroids are generally ineffective and should be avoided.
Which of the following best explains the underlying mechanism of fibromyalgia?
Answer: (B) Central nervous system amplification of pain signaling
A 7-year-old boy is brought to the neurology clinic due to developmental delay and learning difficulties.
His parents report speech delay, frequent tantrums, and poor social interactions.
Physical examination reveals a long face, large protruding ears, and macroorchidism.
He exhibits hyperactivity, hand flapping, and avoidance of eye contact.
Family history reveals male relatives with similar features and intellectual disability.
Fragile X syndrome (FXS) is the most common inherited cause of intellectual disability and autism spectrum disorder.
It affects approximately 1 in 4,000 males and 1 in 8,000 females worldwide.
Due to X-linked dominant inheritance with reduced penetrance in females, males are more severely affected.
About 20% of female carriers display intellectual or behavioral abnormalities.
Early identification is crucial for developmental interventions and genetic counseling.
FXS is caused by a CGG trinucleotide repeat expansion (>200 repeats) in the FMR1 gene on the X chromosome (Xq27.3).
This expansion leads to methylation and transcriptional silencing of FMR1, resulting in loss of fragile X mental retardation protein (FMRP).
FMRP is critical for synaptic development and plasticity, and its absence disrupts neuronal signaling and connectivity.
Premutation carriers (55–200 repeats) may develop fragile X-associated tremor/ataxia syndrome (FXTAS) or premature ovarian insufficiency (FXPOI).
The disease demonstrates anticipation, with successive generations showing increased repeat size and earlier onset.
Cognitive impairment ranges from mild learning disability to severe intellectual disability, often with delayed language acquisition.
Behavioral abnormalities include hyperactivity, anxiety, autistic features, and social avoidance.
Physical features include a long narrow face, large protruding ears, macroorchidism (in postpubertal males), and hyperextensible joints.
Seizures occur in up to 20% of affected individuals.
Females may have subtler cognitive deficits or emotional disturbances due to X-inactivation variability.
Diagnosis is confirmed by molecular genetic testing demonstrating CGG repeat expansion and methylation analysis of the FMR1 gene.
Karyotyping or fragile site analysis is now rarely used due to lower sensitivity.
Carrier testing and prenatal diagnosis are essential for family planning and risk assessment.
Differential diagnoses include other genetic syndromes with intellectual disability such as Down syndrome, Rett syndrome, and tuberous sclerosis.
Neuropsychological evaluation and EEG (if seizures are suspected) may assist in management planning.
There is no curative treatment; management is supportive and multidisciplinary.
Early intervention with speech, occupational, and behavioral therapies improves developmental outcomes.
Pharmacologic treatment may include stimulants for ADHD, SSRIs for anxiety, or anticonvulsants for seizures.
Genetic counseling is crucial for affected families and carriers.
Emerging therapies targeting mGluR5 and other molecular pathways are under investigation.
Question: Which of the following genetic findings is diagnostic of Fragile X syndrome?
Answer: (A) CGG repeat expansion >200 in the FMR1 gene with promoter

A 15-year-old boy presents with progressive difficulty walking and frequent falls over the past 2 years.
He has a history of delayed motor milestones and poor coordination in school sports.
Neurological examination shows gait ataxia, absent lower limb reflexes, and positive Babinski sign.
He also has scoliosis and pes cavus.
Family history reveals a cousin with similar symptoms who became wheelchair-bound by age 20.
Friedreich’s ataxia (FRDA) is the most common autosomal recessive hereditary ataxia.
It has a prevalence of approximately 1 in 40,000 in Caucasian populations, with carrier frequency around 1 in 90.
Onset typically occurs between 5 and 15 years of age, though later-onset variants exist.
Both sexes are equally affected.
Life expectancy is reduced, with many patients becoming wheelchair-dependent within 15–20 years of symptom onset.
FRDA is caused by a homozygous GAA trinucleotide repeat expansion in intron 1 of the FXN gene on chromosome 9q13.
This leads to reduced expression of frataxin, a mitochondrial protein crucial for iron–sulfur cluster biosynthesis and mitochondrial function.
Frataxin deficiency causes mitochondrial iron accumulation, oxidative stress, and neuronal degeneration.
The posterior columns, spinocerebellar tracts, corticospinal tracts, and dorsal root ganglia are particularly affected.
Cardiomyopathy and diabetes mellitus occur due to systemic involvement of mitochondrial dysfunction.
Gait and limb ataxia, dysarthria, and loss of proprioception and vibration sense are hallmark features.
Deep tendon reflexes are typically absent in the lower limbs but Babinski sign is often present, indicating pyramidal involvement.
Skeletal deformities such as scoliosis and pes cavus are common.
Cardiomyopathy, particularly hypertrophic type, occurs in up to 90% of patients and is a major cause of mortality.
Diabetes mellitus develops in 10–30% of cases due to pancreatic islet involvement.
Molecular genetic testing demonstrating GAA repeat expansion in the FXN gene confirms the diagnosis.
Nerve conduction studies show sensory axonal neuropathy, and MRI may show spinal cord atrophy.
ECG and echocardiography are essential to assess cardiac involvement.
Differential diagnoses include ataxia-telangiectasia, spinocerebellar ataxias, vitamin E deficiency, and mitochondrial ataxias.
Laboratory tests for glucose and HbA1c should be performed to detect diabetes.
There is no curative treatment; management is supportive and multidisciplinary.
Physical and occupational therapy help maintain mobility and function.
Cardiac complications are treated with standard heart failure therapies, and diabetes is managed with lifestyle changes and insulin.
Orthopedic interventions may be necessary for scoliosis and foot deformities.
Emerging therapies targeting mitochondrial function and frataxin expression, such as gene therapy and antioxidants (e.g., idebenone), are under investigation.
Question: What is the genetic defect responsible for Friedreich’s ataxia?
Answer: (B) GAA repeat expansion in the FXN gene

Differential Diagnoses: Alzheimer’s Disease | Lewy Body Dementia | Psychiatric Disorders | ALS
Related Symptoms: Behavioral disinhibition | Loss of empathy | Aphasia | Executive dysfunction
Diagnostic Tests: MRI Brain | FDG-PET | Genetic Testing
78-year-old man previously active and sociable, gradually developed personality change and disinhibition over 3 years.
Became socially inappropriate and emotionally blunt, with loss of empathy and tact in conversations.
Family noted compulsive behaviors such as repetitive checking and hoarding, along with dietary changes (preference for sweets).
Language output decreased, with reduced spontaneity and occasional word-finding pauses.
MRI brain showed frontal and anterior temporal lobe atrophy, consistent with behavioral variant frontotemporal dementia.

FTD is the second most common cause of early-onset dementia (onset \(<\) 65 years) after Alzheimer’s disease.
The prevalence is estimated at 15–22 cases per 100,000 individuals in the 45–64 age group.
It typically presents between 45 and 65 years, though onset can range from 30 to 80 years.
There is a slight male predominance in the behavioral variant, whereas language variants show no strong sex bias.
Up to 40% of cases have a positive family history, often due to mutations in MAPT, GRN, or C9orf72 genes.
FTD encompasses tauopathies (MAPT mutations), TDP-43 proteinopathies (GRN, C9orf72), and rarer FUS inclusions.
These proteins misfold and aggregate within frontal/anterior temporal neurons, disrupting axonal transport and synaptic integrity.
Network degeneration follows predictable patterns (salience network in bvFTD, language networks in PPA), explaining stereotyped phenotypes.
C9orf72 repeat expansion uniquely links FTD with ALS via toxic gain-of-function RNA foci and dipeptide-repeat proteins.
Neuroinflammation, glutamatergic excitotoxicity, and mitochondrial dysfunction further accelerate neuronal loss.
Behavioral variant (bvFTD): Disinhibition, apathy, loss of empathy, compulsive behaviors, and executive dysfunction.
Language variants (Primary Progressive Aphasia):
Semantic variant: Word comprehension loss, fluent but empty speech.
Nonfluent variant: Effortful, halting speech with agrammatism.
Memory is relatively preserved in early stages compared to Alzheimer’s disease.
Neurological signs such as parkinsonism or motor neuron disease may occur.
Insight is often profoundly impaired, contributing to late presentation.
Behavior change before memory loss is FTD until proven otherwise. Ask about sweets obsession, empathy loss, or new compulsive routines—families notice these years before diagnosis.
Diagnosis is clinical, supported by neuropsychological testing showing frontal and/or temporal dysfunction.
MRI typically shows asymmetric frontal and/or anterior temporal lobe atrophy.
FDG-PET may demonstrate hypometabolism in the same regions, aiding differentiation from Alzheimer’s disease.
Differential diagnoses include Alzheimer’s disease, psychiatric disorders, vascular dementia, and Lewy body dementia.
Genetic testing may be indicated in familial cases or early-onset disease.
Differential Diagnosis Comparison:
| Feature | Behavioral FTD | Alzheimer’s Disease | Psychiatric Disorder | Dementia with Lewy Bodies |
|---|---|---|---|---|
| Onset | 45-65 yrs, insidious behavior change | >65 yrs, memory first | Variable | >60 yrs, cognitive + parkinsonism |
| Memory | Early preservation | Early impairment | Normal objective testing | Variable |
| Behavior | Disinhibition, apathy, compulsions | Late apathy | Context-dependent | Fluctuating |
| Hallucinations | Uncommon | Late | Possible | Early visual |
| Imaging | Frontal/anterior temporal atrophy | Hippocampal atrophy | Normal | Occipital hypometabolism |
Probable bvFTD requires: 1. Progressive deterioration of behavior and/or cognition. 2. ≥3 of 6 core clinical features: disinhibition, apathy/inertia, loss of empathy, perseverative/compulsive behaviors, hyperorality/dietary changes, executive deficits with relative sparing of memory/visuospatial. 3. Significant functional decline. 4. Neuroimaging showing frontal and/or anterior temporal atrophy/hypometabolism.
Possible bvFTD needs only criteria 1 + 6 core features (no imaging). Genetic or pathological evidence upgrades to definite.
Symptom-Based Therapy:
| Target Symptom | Therapy | Evidence Grade | Notes |
|---|---|---|---|
| Disinhibition / Compulsions | SSRIs (sertraline, escitalopram) | Grade B | Improves behavior, eating rituals |
| Agitation / Aggression | Trazodone 50-150 mg HS | Grade B | Sedating; monitor orthostasis |
| Mood / Anxiety | SSRIs/SNRIs | Grade B | Avoid TCAs (anticholinergic) |
| Psychosis | Atypical antipsychotics (quetiapine) | Grade C | Use cautiously; off-label |
| Language therapy | Speech-language intervention | Grade C | Tailor to PPA variant |
| Motor symptoms (parkinsonism) | Levodopa trial | Grade C | Often limited benefit |
Care & Advanced Planning: - Behavioral management: Structured routines, triggers avoidance, caregiver coaching. - Safety: Driving assessment, financial/legal oversight early, fall precautions if parkinsonism. - Genetic counseling: Offer when early-onset or family history present; discuss C9orf72 testing with ALS overlap. - Future therapies: Clinical trials targeting tau (anti-tau antibodies, antisense), progranulin enhancers, and gene therapies.
Management Algorithm: 1. Diagnosis & Education: Explain variants, prognosis (6-10 year median survival), high caregiver burden. 2. Behavioral symptoms: Initiate SSRI or trazodone; implement environmental modifications; involve neuropsychiatry. 3. Language variants: Refer to speech therapy; augmentative communication planning. 4. Monitor progression: Neuropsych testing, caregiver feedback every 6-12 months; screen for emergence of parkinsonism/ALS. 5. Advance care planning: Early discussion of goals, power of attorney, potential for gastrostomy or ventilatory support if ALS features develop.
Question: Which of the following features most strongly suggests frontotemporal dementia over Alzheimer’s disease?
Answer: (C) Social disinhibition and loss of empathy

A 54-year-old man presents with persistent burning pain and hypersensitivity in the upper inner thigh and genital region, worsened by walking and relieved by hip flexion.
He underwent an open inguinal hernia repair 6 months ago, after which the pain began and has gradually worsened.
Physical examination reveals hyperalgesia and allodynia over the inguinal ligament and proximal anterior thigh with a positive Tinel’s sign over the inguinal canal.
Motor strength and reflexes are normal, and there is no evidence of testicular swelling or infection.
His pain significantly interferes with daily activities and sexual function.
Genitofemoral neuralgia is a rare cause of chronic groin and genital pain, most commonly occurring after pelvic or inguinal surgery.
It accounts for a small proportion of post-herniorrhaphy neuropathic pain syndromes but may be underdiagnosed.
Both men and women can be affected, with peak incidence in the fifth and sixth decades of life.
It may also occur after trauma, pelvic fractures, or compression from retroperitoneal masses.
Awareness among clinicians is essential to avoid misdiagnosis as musculoskeletal or urological disorders.
The genitofemoral nerve arises from the L1-L2 nerve roots and divides into genital and femoral branches.
Injury commonly occurs at the inguinal canal, where the nerve is superficial and vulnerable during surgical dissection.
Neuropathy results from direct transection, traction, compression, or postoperative fibrosis leading to nerve entrapment.
Aberrant nerve regeneration and ectopic discharges contribute to chronic neuropathic pain.
Secondary causes include retroperitoneal hematoma, neoplasms, or inflammatory processes affecting the lumbar plexus.
Pain is typically sharp, burning, or shooting and localized to the inguinal region, anterior thigh, scrotum (in men), or labia majora (in women).
It is exacerbated by hip extension, standing, or sexual activity and may improve with flexion or sitting.
Allodynia and hyperesthesia in the sensory distribution are common, often accompanied by paresthesias.
Motor findings are absent as the genitofemoral nerve is primarily sensory.
Chronic pain may lead to sleep disturbance, anxiety, or sexual dysfunction.
Diagnosis is clinical, supported by characteristic distribution of pain and history of preceding surgery or trauma.
Sensory mapping may demonstrate a well-defined area of hyperalgesia or allodynia over the inguinal ligament and genital region.
Diagnostic nerve blocks with local anesthetics can confirm the diagnosis and provide temporary relief.
Imaging (e.g., MRI pelvis or lumbar plexus) may be warranted to exclude compressive lesions or neoplastic involvement.
Differential diagnoses include ilioinguinal neuralgia, iliohypogastric neuropathy, femoral neuropathy, and referred pain from spine or visceral pathology.
Conservative management includes neuropathic pain medications (e.g., gabapentinoids, TCAs, SNRIs) and topical agents.
Ultrasound-guided nerve blocks or pulsed radiofrequency ablation can provide sustained pain relief in many cases.
Physical therapy focusing on core strengthening and postural training may alleviate mechanical exacerbation.
Surgical options, including neurolysis or neurectomy, are considered for refractory cases.
Psychological support and multidisciplinary pain management approaches are beneficial for chronic, disabling pain.
Question: Which of the following findings is most characteristic of genitofemoral neuralgia?
Answer: (C) Sharp inguinal and genital pain worsened by hip extension.

A 58-year-old man presents with recurrent, brief episodes of severe, stabbing pain localized to the posterior pharynx, base of the tongue, and deep ear canal.
Episodes are triggered by swallowing, chewing, coughing, or speaking, and last only a few seconds.
He avoids eating due to pain and has lost weight over the past month.
Neurological examination is otherwise normal except for mild gag reflex hypersensitivity.
There is no history of trauma or recent infection.
Glossopharyngeal neuralgia (GPN) is a rare cranial neuralgia, accounting for less than 1% of all facial pain syndromes.
The condition typically affects individuals aged 50–70, with a slight male predominance.
It is associated with vascular compression of the glossopharyngeal nerve at the root entry zone in many cases.
Secondary causes include tumors, demyelinating disease (e.g., multiple sclerosis), or structural lesions in the posterior fossa.
Due to its rarity and overlap with trigeminal neuralgia, GPN is often underdiagnosed or misdiagnosed.
The glossopharyngeal nerve (cranial nerve IX) provides sensory innervation to the posterior third of the tongue, tonsillar region, pharynx, and middle ear.
Neuralgia arises from hyperexcitability of the nerve, often due to neurovascular compression near its root entry zone.
Demyelination of nerve fibers or secondary inflammatory processes can lower the activation threshold, leading to paroxysmal discharges.
Rarely, GPN may arise from direct infiltration by neoplasms or inflammatory masses compressing the nerve.
Aberrant synaptic transmission and ephaptic cross-talk between sensory fibers contribute to the characteristic shooting pain.
Sudden, lancinating pain radiating to the pharynx, tonsillar fossa, posterior tongue, or ear canal.
Pain is unilateral and often triggered by swallowing, chewing, coughing, or talking.
Episodes are brief (seconds to minutes) but can recur multiple times per day.
Autonomic symptoms (e.g., bradycardia, syncope) can occur due to vagal involvement in some cases.
Neurological examination is usually normal, although hypersensitivity in the glossopharyngeal distribution may be elicited.
Diagnosis is clinical, based on history and characteristic pain distribution.
MRI of the posterior fossa and brainstem is recommended to exclude structural lesions or vascular compression.
Response to local anesthetic blockade of the glossopharyngeal nerve supports the diagnosis.
Differential diagnoses include trigeminal neuralgia (V3 distribution), Eagle syndrome (styloid process impingement), and oropharyngeal malignancy.
Brainstem infarcts or multiple sclerosis should be considered in patients with additional neurological signs.
First-line therapy involves anticonvulsants such as carbamazepine or oxcarbazepine, which reduce neuronal hyperexcitability.
Alternatives include gabapentin, pregabalin, or baclofen in refractory cases.
Local nerve blocks with lidocaine or steroids can provide temporary relief and aid diagnosis.
Surgical microvascular decompression is considered in medically refractory cases and has high long-term success rates.
Rarely, rhizotomy or sectioning of the glossopharyngeal nerve may be indicated for intractable pain.
Question: Which of the following features is most characteristic of glossopharyngeal neuralgia?
Answer: (B) Stabbing pain triggered by swallowing and radiating to the ear.

A 28-year-old man presents to the emergency department with recurrent, throbbing headaches associated with transient right-sided weakness and aphasia over the past two weeks.
These episodes last for 1–3 hours and are followed by complete recovery.
He has no previous history of migraine but reports a family history of migraine in both parents.
Neurological examination between episodes is normal.
MRI of the brain is unremarkable, but CSF analysis reveals mild lymphocytic pleocytosis.
HaNDL syndrome is a rare, self-limiting neurological disorder most commonly affecting individuals aged 15–50 years.
There is a slight male predominance, and less than one-third of patients have a prior history of migraine.
Episodes often follow a viral illness or immunologic trigger, though many cases are idiopathic.
The condition typically resolves spontaneously within 1–3 months, with recurrent attacks during this period.
Due to its transient neurological deficits, it is often misdiagnosed as a transient ischemic attack (TIA) or stroke.
The precise etiology of HaNDL is unclear but is believed to involve a parainfectious or autoimmune inflammatory process affecting cerebral vessels or meninges.
Viral triggers such as human herpesvirus 6 (HHV-6) and cytomegalovirus (CMV) have been reported in some cases.
Inflammatory cytokines may disrupt the blood-brain barrier, leading to cortical spreading depression and migraine-like phenomena.
Autoantibodies, such as those targeting calcium channels (e.g., CACNA1H), have been implicated in some patients.
The pathophysiological process likely overlaps with migraine mechanisms but involves a transient immune-mediated meningoencephalitic component.
Patients typically present with recurrent, throbbing, unilateral or bilateral headaches resembling migraines.
Transient neurological deficits, such as sensory disturbances (80%), aphasia (60%), hemiparesis, or visual changes, accompany headaches.
Each episode lasts from a few minutes to several hours, followed by complete resolution.
Episodes may occur several times over weeks but eventually cease spontaneously.
Systemic symptoms are usually absent, and neurological examination between attacks is typically normal.
Diagnosis is clinical, supported by CSF lymphocytic pleocytosis (typically 10–760 cells/µL) and normal neuroimaging.
MRI of the brain is usually normal, although perfusion changes can occasionally be seen during attacks.
EEG may show focal slowing but no epileptiform activity.
Differential diagnoses include transient ischemic attack, complex migraine, viral meningitis/encephalitis, multiple sclerosis, and autoimmune encephalitis.
CSF cultures, PCR testing, and autoimmune panels help exclude infectious or inflammatory mimics.
HaNDL syndrome is self-limiting, with spontaneous resolution typically within 1–3 months.
Management is supportive, with reassurance and symptomatic headache control.
Corticosteroids, beta-blockers, calcium channel blockers, or acetazolamide have been used in severe or frequent cases, although evidence is limited.
Antiepileptic agents like valproic acid may be considered if seizure-like activity occurs, though seizures are rare.
Long-term prophylaxis is generally unnecessary, and recurrence beyond the initial episode period is uncommon.
Which of the following is the most characteristic feature of HaNDL syndrome?
Answer: (B) Recurrent headaches with transient focal neurological deficits and CSF lymphocytosis

A 65-year-old woman presents with involuntary twitching of the left side of her face, including eyelid closure and perioral movements, progressively worsening over 6 months.
The spasms are painless but socially embarrassing and occur even during sleep.
There is no facial weakness or sensory loss, and neurological examination is otherwise normal.
MRI brain reveals a vascular loop compressing the facial nerve at its root exit zone.
This presentation is typical of primary hemifacial spasm due to neurovascular compression.
Hemifacial spasm is a rare movement disorder with a prevalence of approximately 10 per 100,000 people, more common in women and in the 5th to 6th decades.
It is usually unilateral, most often affecting the left side, although bilateral cases occur rarely.
The disorder arises from hyperexcitability of the facial nerve nucleus or mechanical irritation of the nerve at its root exit zone.
Risk factors include hypertension, vascular loops, or previous facial nerve injury, though many cases are idiopathic.
Hemifacial spasm can significantly affect quality of life due to functional and psychosocial impacts.
The most common cause is vascular compression of the facial nerve at its root exit zone by an aberrant artery, leading to focal demyelination and ephaptic transmission.
Secondary causes include demyelinating diseases (e.g., multiple sclerosis), tumors, trauma, or prior Bell’s palsy.
The hyperexcitability of the facial motor nucleus contributes to the persistence and propagation of involuntary discharges.
Abnormal impulse transmission between adjacent nerve fibers results in synchronous activation of facial muscles.
Chronic irritation may lead to progressive worsening of spasms and muscle hypertrophy over time.
The hallmark feature is involuntary, intermittent, unilateral twitching of muscles innervated by the facial nerve, often beginning with orbicularis oculi.
Spasms can spread to involve lower facial muscles, leading to synchronous contractions of the mouth and cheek.
Movements are typically painless and may persist during sleep, distinguishing hemifacial spasm from tics.
Symptoms may be triggered or worsened by stress, fatigue, or voluntary facial movement.
Long-standing cases may develop sustained contractions or synkinesis.
Diagnosis is clinical, supported by MRI brain with angiography to identify vascular compression or exclude secondary causes.
EMG may show high-frequency bursts (150–400 Hz) confirming neurogenic hyperexcitability.
Differential diagnoses include facial tics, myokymia, segmental myoclonus, focal seizures, and psychogenic movement disorders.
Tics usually have a suppressible urge and do not occur during sleep, while myokymia involves continuous, fine rippling movements.
Early identification of secondary causes, such as tumors or demyelinating lesions, is essential to guide management.
Botulinum toxin injection is the first-line therapy, providing symptomatic relief in over 85% of patients, though repeat treatments are required every 3–4 months.
Medications such as carbamazepine, clonazepam, or baclofen may provide modest benefit but are generally less effective.
Microvascular decompression surgery offers a potential cure in cases due to vascular compression, with success rates exceeding 80%.
In refractory cases, stereotactic radiosurgery or partial facial nerve sectioning may be considered.
Psychological support and patient education are important to address the chronic nature of the disorder.
Which of the following findings most reliably distinguishes hemifacial spasm from tics?
Answer: (B) Occurrence during sleep

A 34-year-old man presents with a 5-year history of progressive stiffness and weakness in both legs, leading to difficulty walking and frequent tripping.
He denies sensory symptoms, bowel or bladder incontinence, or upper limb involvement.
His mother had similar gait difficulties in her later years, though no formal diagnosis was made.
Neurological examination reveals spastic paraparesis, brisk deep tendon reflexes in the lower limbs, and bilateral extensor plantar responses.
MRI of the brain and spine is unremarkable, and laboratory studies for metabolic and infectious causes are negative.
Hereditary spastic paraplegia (HSP), also known as Strümpell-Lorrain disease, has an estimated prevalence of 1–10 per 100,000 individuals.
The majority of cases are inherited in an autosomal dominant fashion, though autosomal recessive and X-linked forms exist.
Onset can occur at any age, but most commonly presents in the first to fourth decades of life.
Family history may not be apparent due to variable penetrance or de novo mutations; three-generation pedigree analysis is recommended.
Both sexes are affected, with no clear gender predilection, and the condition is seen worldwide.
HSP is characterized by length-dependent, progressive degeneration of the corticospinal tracts, primarily affecting the longest axons in the spinal cord.
Over 80 genetic loci (SPG genes) have been identified, with SPAST (SPG4) and ATL1 (SPG3A) being the most common.
Pathogenic mutations impair axonal transport, mitochondrial function, membrane trafficking, or myelin maintenance.
The "pure" form involves isolated corticospinal tract degeneration, while "complex" forms include additional neurological or systemic features.
Pathologically, there is axonal thinning and degeneration in the lateral columns of the spinal cord, with relative sparing of the cell bodies.
The hallmark is slowly progressive spasticity and weakness of the lower limbs, resulting in a stiff, scissoring gait and frequent falls.
Deep tendon reflexes are brisk in the legs, with ankle clonus and extensor plantar responses; upper limbs are usually spared.
Bladder dysfunction (urgency, frequency) may develop, especially in advanced disease.
Sensory findings are minimal or absent, though impaired vibration sense may occur in some subtypes.
Complex forms can present with cognitive decline, ataxia, peripheral neuropathy, optic atrophy, or deafness in addition to spastic paraparesis.
Diagnosis is based on clinical suspicion, family history, and exclusion of acquired causes of spastic paraparesis.
MRI of the brain and spine is performed to rule out structural, demyelinating, or compressive lesions.
Laboratory workup includes vitamin B12, copper, HIV, HTLV-1, and very long chain fatty acids (to exclude adrenoleukodystrophy).
Genetic testing confirms the diagnosis and can identify the specific HSP subtype, guiding prognosis and counseling.
Differential diagnoses include primary lateral sclerosis, multiple sclerosis, spinal cord tumors, tropical spastic paraparesis, and metabolic myelopathies.
There is no cure; management is symptomatic and multidisciplinary, focusing on maximizing mobility and function.
Oral antispasticity agents such as baclofen, tizanidine, or intrathecal baclofen may reduce muscle tone and improve gait.
Regular physical therapy and stretching exercises help maintain range of motion and prevent contractures.
Assistive devices, orthotics, and occupational therapy are important for optimizing independence.
Genetic counseling is recommended for affected individuals and families, given the hereditary nature of the disorder.
Question: Which of the following findings most reliably distinguishes pure hereditary spastic paraplegia from complex forms?
Answer: (B) Absence of sensory loss and cerebellar signs

A 32-year-old woman presents with gradually progressive blurred vision in bright light and difficulty reading fine print.
On examination, her right pupil is dilated and reacts sluggishly to light but constricts slowly and tonically to near effort.
Achilles tendon reflexes are absent bilaterally, though strength and sensation are normal.
She denies trauma, systemic illness, or drug use.
The findings are consistent with Holmes-Adie Syndrome, a benign autonomic neuropathy affecting parasympathetic innervation to the eye and spinal reflex arcs.
Holmes-Adie Syndrome typically affects young adults, most commonly between 20 and 40 years.
There is a marked female predominance (female:male ≈ 2:1).
The estimated prevalence is about 2 per 1000 individuals, though subclinical cases are likely underdiagnosed.
Most cases are sporadic and idiopathic, though rare familial occurrences have been reported.
It is often unilateral initially, but up to 20% may become bilateral over time.
Holmes-Adie Syndrome results from damage to the ciliary ganglion or its postganglionic parasympathetic fibers.
This leads to denervation hypersensitivity and slow, tonic pupillary constriction to near stimuli.
The absent deep tendon reflexes are due to involvement of dorsal root ganglia neurons.
The underlying cause is often idiopathic but can follow viral infections, trauma, or inflammatory neuropathies.
Pathology shows neuronal loss and fibrosis in autonomic ganglia and posterior root ganglia.
Tonic pupil- Dilated, poorly reactive to light, but constricts slowly with near effort and redilates even more slowly.
Light-near dissociation is a hallmark finding.
Loss or diminution of deep tendon reflexes (often Achilles) is common.
Most patients are otherwise neurologically normal and the condition is benign.
Some may experience photophobia, blurred vision, or anisocoria-related cosmetic concerns.
Diagnosis is clinical, supported by slit-lamp examination showing sectoral iris sphincter palsy and vermiform movements.
Dilute pilocarpine test (0.125%) causes pupillary constriction due to denervation hypersensitivity.
Neuroimaging is reserved for atypical or secondary cases.
Differential diagnoses include Argyll Robertson pupil (syphilis), third nerve palsy, pharmacologic mydriasis, and Adie’s pupil mimics in neuropathies.
Reflex testing and autonomic evaluation can help differentiate from broader autonomic neuropathies.
Most cases are benign and require only reassurance and education.
Reading glasses or pilocarpine drops can improve near vision and photophobia.
Rarely, treatment of underlying causes (e.g., infection, autoimmune disease) is necessary.
Physical therapy may aid balance in cases with significant areflexia.
Regular follow-up is recommended to monitor for bilateral involvement or associated neuropathies.
Which of the following findings is most characteristic of Holmes-Adie Syndrome?
Answer: (B) Dilated pupil with slow constriction to near effort and absent Achilles reflexes

A 16-year-old boy presents with recurrent, brief episodes of muscle weakness predominantly affecting the proximal limbs, often triggered by fasting or rest after exercise.
The attacks usually last 30 minutes to 2 hours and resolve spontaneously without residual deficits.
During one episode, serum potassium is mildly elevated (5.8 mmol/L).
There is a strong family history of similar episodes affecting multiple male relatives.
Between episodes, neurological examination is normal, though mild myotonia is noted on handgrip.
Hyperkalemic periodic paralysis (HyperPP) is a rare autosomal dominant channelopathy with an estimated prevalence of 1 in 200,000.
Onset typically occurs in childhood or adolescence, with most cases presenting before the age of 20.
There is no sex predilection, though penetrance is often higher in males.
Attacks tend to decrease in frequency with age, but some patients develop fixed muscle weakness later in life.
A positive family history is present in over 60% of cases due to high heritability.
HyperPP is most commonly caused by mutations in the SCN4A gene, encoding the \(\alpha\)-subunit of the voltage-gated sodium channel in skeletal muscle.
These mutations impair inactivation of sodium channels, leading to sustained depolarization and muscle fiber inexcitability during elevated potassium levels.
Serum potassium increases due to release from contracting muscles or due to dietary intake, further depolarizing muscle membranes.
Unlike hypokalemic periodic paralysis, total body potassium is elevated or normal, and the pathology is due to membrane instability rather than intracellular shifts.
Chronic depolarization and repeated attacks may lead to permanent muscle fiber degeneration and fixed proximal weakness over time.
Episodes consist of flaccid, symmetric muscle weakness predominantly involving proximal muscles, often triggered by rest after exercise, fasting, or potassium-rich meals.
Attacks are usually short-lived, lasting 30 minutes to 2 hours, but may last up to a day in severe cases.
Myotonia (delayed muscle relaxation after contraction) may be present, particularly in hand muscles.
Respiratory and bulbar involvement are rare but can occur in severe attacks.
Over time, patients may develop progressive fixed weakness, especially in proximal limb muscles.
Diagnosis is based on the clinical history, elevated serum potassium during attacks, and characteristic triggers.
EMG may show myotonic discharges or decreased excitability during attacks.
Genetic testing confirming SCN4A mutations supports the diagnosis and is useful for family counseling.
Differential diagnoses include hypokalemic periodic paralysis, Andersen–Tawil syndrome, thyrotoxic periodic paralysis, and metabolic myopathies.
Serum potassium measurement during attacks and response to potassium-lowering interventions help differentiate HyperPP from other periodic paralyses.
Acute management includes light exercise, carbohydrate ingestion, and avoidance of further potassium intake to lower serum potassium and restore muscle excitability.
Intravenous glucose and insulin or beta-agonists may be used in severe or prolonged attacks to shift potassium intracellularly.
Preventive strategies include frequent small meals, avoidance of fasting and potassium-rich foods, and maintaining regular exercise.
Carbonic anhydrase inhibitors (e.g., acetazolamide or dichlorphenamide) may reduce attack frequency by stabilizing membrane potential.
In chronic cases with fixed weakness, physiotherapy and supportive care are essential to maintain mobility and function.
Question: Which of the following features is most characteristic of hyperkalemic periodic paralysis?
Answer: (B) Short episodes of weakness associated with elevated serum potassium

A 22-year-old man presents with recurrent episodes of sudden, painless weakness predominantly affecting the proximal muscles of the legs, occurring upon awakening after a heavy carbohydrate-rich dinner.
The episodes last for several hours and resolve spontaneously or after potassium supplementation.
He reports similar attacks in the past, often triggered by rest after strenuous exercise or a high-carbohydrate meal.
Neurological examination between episodes is normal, with intact sensation and reflexes.
Family history reveals his father experienced similar episodes during young adulthood.
Hypokalemic periodic paralysis (HypoPP) is a rare hereditary channelopathy with a prevalence of approximately 1 in 100,000.
It primarily affects males, with symptom onset typically occurring in the first or second decade of life.
Most cases follow an autosomal dominant inheritance pattern, though sporadic mutations are reported.
Attacks are often triggered by carbohydrate-rich meals, rest after vigorous exercise, stress, or cold exposure.
Frequency of attacks tends to decrease with age, although fixed proximal myopathy may develop in later life.
HypoPP is caused by mutations in voltage-gated calcium (CACNA1S) or sodium (SCN4A) channels in skeletal muscle.
These mutations lead to abnormal depolarization of the muscle membrane, causing inexcitable fibers during hypokalemia.
A rapid intracellular shift of potassium, driven by insulin release or adrenergic stimulation, precipitates attacks.
Despite systemic hypokalemia, total body potassium is typically normal.
Chronic depolarization and repeated attacks may cause permanent muscle damage over time.
Episodes present as flaccid, symmetric weakness predominantly affecting proximal muscles of the limbs.
Attacks usually develop rapidly over minutes to hours and resolve within 6–24 hours.
Respiratory and bulbar muscles are rarely involved but can lead to life-threatening complications if affected.
Sensory function, cognition, and consciousness remain preserved during attacks.
Between episodes, patients are typically asymptomatic, though some may develop progressive fixed myopathy over time.
Diagnosis is clinical, supported by documented low serum potassium during attacks and normal levels between episodes.
EMG during an attack shows decreased muscle fiber excitability, while interictal EMG is often normal or shows myopathic changes.
Genetic testing confirms mutations in CACNA1S or SCN4A and aids in family counseling.
Differential diagnoses include thyrotoxic periodic paralysis, Andersen-Tawil syndrome, Guillain–Barré syndrome, and metabolic myopathies.
Thyroid function testing is essential to exclude secondary causes, particularly in Asian patients where thyrotoxic forms are more common.
Acute management involves careful oral or intravenous potassium supplementation, with cardiac monitoring to avoid rebound hyperkalemia.
Preventive strategies include dietary modification (avoiding carbohydrate-heavy meals) and regular moderate exercise.
Carbonic anhydrase inhibitors (e.g., acetazolamide or dichlorphenamide) can reduce attack frequency by stabilizing membrane excitability.
In selected cases, potassium-sparing diuretics (e.g., spironolactone) may help maintain stable potassium levels.
Patient education on trigger avoidance and early recognition of attacks is essential for long-term disease management.
Question: Which of the following is the most common precipitating factor for attacks of hypokalemic periodic paralysis?
Answer: (B) Heavy carbohydrate meal followed by rest

A 58-year-old man presents with progressive headache, diplopia, and facial numbness.
MRI shows dural thickening in the cavernous sinus with contrast enhancement.
Serum IgG4 is markedly elevated above threefold normal levels.
Biopsy reveals storiform fibrosis with IgG4-positive plasma cell infiltration.
Diagnosis: IgG4-related hypertrophic pachymeningitis.
IgG4-related disease is a systemic fibroinflammatory disorder involving multiple organs.
Neurological manifestations occur in approximately 5–10% of cases.
Common presentations include pachymeningitis, hypophysitis, and peripheral neuropathy.
Predominantly affects middle-aged to older men.
Often associated with other organ involvement such as pancreas, orbit, or salivary glands.
Characterized by dysregulated immune activation with Th2 and Treg cell dominance.
Leads to infiltration by IgG4-secreting plasma cells and progressive fibrosis.
IgG4 antibodies are functionally monovalent and do not activate complement.
Resultant inflammation affects meninges, cranial nerves, and pituitary tissue.
Chronic fibrosis can lead to compressive or ischemic neurological deficits.
Chronic headache, cranial neuropathies, or visual loss from meningeal involvement.
Hypophysitis causes pituitary enlargement and endocrine dysfunction.
Peripheral neuropathy may present as painful mononeuritis or sensory loss.
Orbital pseudotumor can cause proptosis or diplopia.
Symptoms often respond dramatically to corticosteroids.
MRI shows thickened, enhancing dura or pituitary stalk lesions.
Serum IgG4 level >135 mg/dL supports the diagnosis but is not diagnostic alone.
Histopathology demonstrates storiform fibrosis and IgG4+ plasma cells (>40%).
PET-CT helps identify multi-organ involvement.
Differential includes infection, sarcoidosis, vasculitis, and malignancy.
High-dose corticosteroids (prednisone 0.6 mg/kg/day) are first-line therapy.
Immunosuppressants (azathioprine, mycophenolate, rituximab) used for relapse prevention.
Rituximab is preferred in refractory or multi-organ disease.
Long-term monitoring required for relapse and organ damage.
Prognosis is excellent with timely treatment, but relapses are common.
Which of the following is a hallmark histopathologic feature of IgG4-related disease?
Answer: (C). Storiform fibrosis with IgG4-positive plasma cells

A 65-year-old man with metastatic melanoma is started on pembrolizumab (a PD-1 inhibitor).
Three weeks into treatment, he presents with progressive ptosis, diplopia, and proximal muscle weakness.
He also reports difficulty swallowing and mild shortness of breath.
On examination, there is fatigable weakness of extraocular muscles and limb muscles, with normal reflexes and sensation.
These findings raise concern for immune checkpoint inhibitor-associated myasthenia gravis (ICI-MG).
ICI-MG is a rare but serious immune-related adverse event (irAE) seen in patients receiving PD-1, PD-L1, or CTLA-4 inhibitors.
Incidence is estimated at 0.1–0.2% among patients treated with ICIs, with higher rates in combination therapy.
Median onset is within 4–6 weeks of therapy initiation, but cases can occur as early as 1 week or as late as several months.
Mortality rates are higher than idiopathic MG, especially when associated with myositis or myocarditis.
Older age and combination immune checkpoint blockade are risk factors for severe disease.
ICIs enhance T-cell mediated immune responses by blocking inhibitory checkpoints, promoting antitumor activity.
This immune activation can lead to autoimmunity, including the production of antibodies against acetylcholine receptors (AChR) or other neuromuscular junction proteins.
Some cases are seronegative, suggesting T-cell–mediated mechanisms independent of antibody production.
ICI-MG may coexist with immune-related myositis or myocarditis, suggesting a shared autoimmune pathway.
The neuromuscular junction is targeted, leading to impaired transmission and fatigable muscle weakness.
Symptoms typically include ocular involvement (ptosis, diplopia) and generalized limb weakness.
Bulbar symptoms such as dysphagia and dysarthria are common and may progress rapidly.
Respiratory involvement can occur early and is a major cause of morbidity and mortality.
Myositis (with elevated CK) and myocarditis (with elevated troponin) may accompany MG in up to 30% of cases.
Compared with idiopathic MG, ICI-MG often has a more fulminant course and higher risk of crisis.
Diagnosis is clinical, supported by antibody testing (anti-AChR or anti-MuSK) and electrophysiological studies (repetitive nerve stimulation or SFEMG).
Serum CK and troponin levels should be checked to screen for myositis or myocarditis.
Chest imaging may be performed to exclude thymoma, although this is rare in ICI-MG.
Differential diagnoses include ICI-related myositis without MG, Lambert-Eaton myasthenic syndrome, brainstem stroke, and Guillain–Barré syndrome.
Early neurology consultation and ICU monitoring are essential in cases with bulbar or respiratory involvement.
Immediate discontinuation of ICI therapy is recommended for all but the mildest cases.
High-dose corticosteroids (e.g., methylprednisolone 1 g/day IV for 3–5 days) are first-line therapy.
IVIG or plasmapheresis should be initiated promptly in patients with moderate-to-severe weakness, bulbar involvement, or respiratory compromise.
Supportive care includes respiratory monitoring, aspiration precautions, and management of concomitant myocarditis or myositis.
Reintroduction of ICI therapy is generally avoided in severe cases but may be considered in mild cases after full recovery and careful multidisciplinary discussion.
Question: Which of the following features is most characteristic of immune checkpoint inhibitor-associated myasthenia gravis compared to idiopathic myasthenia gravis?
Answer: (C) Frequent association with myositis or myocarditis

Differential Diagnoses: Polymyositis | Dermatomyositis | ALS | Limb-Girdle Muscular Dystrophy
Related Symptoms: Muscle Weakness | Dysphagia | Gait Ataxia
Diagnostic Tests: EMG/NCS | Muscle Biopsy | MRI
A 64-year-old man presents with progressive difficulty climbing stairs and frequent falls over the past 3 years.
He also reports trouble gripping objects and dropping utensils due to hand weakness.
Neurological examination reveals asymmetric quadriceps and finger flexor weakness, with preserved sensation.
Reflexes are normal or slightly reduced, and there is no muscle pain.
Laboratory testing shows mildly elevated creatine kinase (CK), and EMG reveals a myopathic pattern.
Inclusion Body Myositis is the most common idiopathic inflammatory myopathy in adults over 50 years.
The prevalence is estimated at 2–7 per 100,000, with a male predominance (male:female ≈ 2:1 to 3:1).
Mean age of onset is typically 55–65 years, rarely occurring before age 45.
Disease onset is insidious, often leading to diagnostic delays exceeding 3–5 years (average diagnostic delay: 5–7 years).
IBM is usually sporadic (sIBM), though rare familial/hereditary cases (hIBM) have been reported with earlier onset and recessive inheritance.
The condition progresses slowly but relentlessly, leading to significant disability, with most patients requiring assistive devices within 10–15 years.
Higher prevalence in Caucasian populations compared to other ethnic groups.
IBM is characterized by a unique combination of inflammatory and degenerative mechanisms affecting skeletal muscle, distinguishing it from other inflammatory myopathies.
Inflammatory Component:
Degenerative Component:
Genetic Susceptibility:
Key Mechanisms:
Progressive, asymmetric muscle weakness is the hallmark—a key distinguishing feature from polymyositis/dermatomyositis.
Quadriceps weakness (knee extensors): Leading cause of falls, difficulty rising from chairs, and stair climbing.
Deep finger flexor weakness (FDP > FDS): Difficulty with grip, turning keys, opening jars; “finger flexor sign” is characteristic.
Ankle dorsiflexors: Foot drop may develop, contributing to falls.
Proximal muscles (deltoids, hip flexors) are also affected but typically later in disease.
Dysphagia occurs in 40–60% of patients due to involvement of pharyngeal muscles; risk of aspiration pneumonia.
Muscle atrophy becomes prominent as disease progresses, particularly in the forearms and thighs.
Unlike polymyositis or dermatomyositis, IBM has a slow, indolent course (months to years) and often presents with falls or grip weakness rather than acute proximal weakness.
Sensory function is completely preserved—a critical diagnostic clue.
Muscle pain is uncommon (contrast with polymyositis).
Reflexes may be diminished or absent in severely affected muscles.
No skin rash (unlike dermatomyositis).
Muscle wasting becomes evident as the disease advances, leading to significant functional impairment and wheelchair dependence in 10–20 years.
Early-onset IBM: Rare, often hereditary, presenting before age 40.
IBM with systemic autoimmune disease: Coexistence with Sjögren’s syndrome, SLE, or sarcoidosis in 15–20% of cases.
Serum CK levels are mildly elevated or normal (often 2–10× normal)—much lower than polymyositis (which can be 10–50× normal).
Anti-cN1A (cytosolic 5’-nucleotidase 1A) antibodies present in 30–40% of IBM patients (more specific but not diagnostic).
Electromyography reveals a mixed myopathic-neurogenic pattern with spontaneous activity (fibrillations, positive sharp waves).
MRI shows selective involvement of quadriceps (especially vastus medialis and lateralis), finger flexors, and ankle dorsiflexors with fatty replacement and atrophy.
Muscle biopsy is diagnostic, showing endomysial inflammation, rimmed vacuoles, and intracellular inclusions (amyloid-β, TDP-43, p62).
Pathological hallmarks (requires all three for definite diagnosis): (1) CD8+ T-cell endomysial inflammation, (2) rimmed vacuoles, (3) protein accumulation.
Additional biopsy findings: Increased MHC-I expression, COX-negative fibers, tubulofilamentous inclusions on electron microscopy.
Differential diagnoses include polymyositis, ALS, limb-girdle muscular dystrophy, myasthenia gravis, and hereditary inclusion body myopathies.
Genetic testing (VCP, GNE, MYH7, MATR3 genes) may be performed to exclude hereditary inclusion body myopathies when the presentation is atypical.
IBM is generally refractory to immunosuppressive therapies—a key distinguishing feature from polymyositis/dermatomyositis.
Corticosteroids are typically ineffective and may worsen weakness; generally not recommended.
IVIG may provide modest, temporary improvement in 10–30% of patients, but no sustained benefit in controlled trials.
Methotrexate, azathioprine, and mycophenolate are generally ineffective; not routinely recommended.
Physical therapy with strengthening exercises, range-of-motion training, and gait training helps preserve function and prevent contractures.
Occupational therapy provides adaptive devices (button hooks, jar openers, zipper pulls) and assistive technology for activities of daily living.
Ankle-foot orthoses (AFOs) may be needed for foot drop; mobility aids (cane, walker, wheelchair) as disease progresses.
Dysphagia management includes dietary modification, swallowing techniques, and gastrostomy tube (PEG) placement in severe cases.
Regular neuromuscular clinic visits every 3–6 months for strength assessments, swallowing evaluation, and screening for aspiration pneumonia.
Prognosis: Slowly progressive disease with median time to wheelchair dependence of 10–15 years; life expectancy often near normal.
No curative treatment currently available; management is entirely supportive and symptomatic.
Which of the following is most characteristic of inclusion body myositis?
Answer: (C) Asymmetric involvement of quadriceps and finger flexors with rimmed vacuoles on biopsy is the hallmark of IBM. Unlike other inflammatory myopathies, IBM presents with asymmetric distal and proximal weakness, is refractory to immunosuppression, and requires all three pathological features (inflammation, rimmed vacuoles, protein inclusions) for definite diagnosis.
Needham M, Mastaglia FL. Inclusion body myositis: current pathogenetic concepts and diagnostic and therapeutic approaches. Lancet Neurol. 2007;6(7):620–631. https://doi.org/10.1016/S1474-4422(07)70171-0
Dimachkie MM, Barohn RJ. Inclusion body myositis. Neurol Clin. 2014;32(3):629–646. https://doi.org/10.1016/j.ncl.2014.04.007
Griggs RC, Askanas V, DiMauro S, et al. Inclusion body myositis and myopathies. Ann Neurol. 1995;38(5):705–713. https://doi.org/10.1002/ana.410380504
Rose MR, ENMC IBM Working Group. 188th ENMC International Workshop: Inclusion Body Myositis, 2-4 December 2011, Naarden, The Netherlands. Neuromuscul Disord. 2013;23(12):1044–1055. https://doi.org/10.1016/j.nmd.2013.08.007
Benveniste O, Guiguet M, Freebody J, et al. Long-term observational study of sporadic inclusion body myositis. Brain. 2011;134(11):3176–3184. https://doi.org/10.1093/brain/awr213

A 62-year-old man presents with progressive difficulty swallowing, hoarseness of voice, and weakness in elevating his right shoulder.
Neurological examination reveals an absent gag reflex, deviation of the uvula to the left, and weakness of the right sternocleidomastoid and trapezius muscles.
There is no sensory deficit, and cranial nerves IX, X, and XI are selectively involved.
MRI reveals a mass lesion at the right jugular foramen.
This constellation of findings is characteristic of Jugular Foramen Syndrome (Vernet Syndrome).
Jugular foramen syndrome is a rare neurological condition caused by dysfunction of cranial nerves IX (glossopharyngeal), X (vagus), and XI (accessory) as they exit through the jugular foramen.
It occurs more commonly in adults over 50 years and is often associated with neoplastic, infectious, vascular, or traumatic lesions at the skull base.
Benign tumors such as paragangliomas, schwannomas, or meningiomas are frequent causes, while metastatic lesions represent the most common malignant etiology.
Infectious causes, including varicella-zoster virus, or inflammatory conditions such as giant cell arteritis and granulomatosis with polyangiitis, are less common.
Clinical presentation is often delayed due to the slow progression of lesions in this anatomically complex region.
The jugular foramen is an opening at the skull base through which cranial nerves IX, X, and XI, as well as the internal jugular vein, pass.
Compression, infiltration, or destruction of these nerves due to tumors, infections, inflammation, or trauma leads to characteristic neurological deficits.
Neoplastic causes include benign lesions (paraganglioma, schwannoma, meningioma) and malignant tumors (metastasis, squamous cell carcinoma, lymphoma).
Vascular causes, such as jugular bulb enlargement or thrombosis, and congenital anomalies may also result in nerve compression.
Inflammatory and infectious processes cause nerve injury via edema, granulomatous infiltration, or direct viral damage.
The hallmark features result from involvement of cranial nerves IX, X, and XI, presenting with dysphagia, hoarseness, loss of gag reflex, and shoulder weakness.
Glossopharyngeal nerve involvement causes loss of posterior tongue sensation, impaired gag reflex, and reduced parotid secretion.
Vagus nerve dysfunction leads to vocal cord paralysis, nasal regurgitation, uvular deviation, and autonomic disturbances.
Accessory nerve involvement results in drooping of the shoulder, weakness in head rotation, and impaired abduction of the arm.
Additional features such as pulsatile tinnitus, glossopharyngeal neuralgia, or signs of raised intracranial pressure may occur if venous drainage is compromised.
MRI with contrast is the imaging modality of choice to identify lesions affecting the jugular foramen and surrounding structures.
CT with angiography can assess bony erosion and vascular involvement, while MR angiography/venography provides information on venous anatomy.
Laryngoscopy is essential to evaluate vocal cord function, and laboratory tests may help identify infectious or autoimmune causes.
Differential diagnoses include lateral medullary syndrome, isolated cranial nerve palsies, skull base metastases, and carotid space tumors.
Electrophysiological studies and CSF analysis can aid in differentiating inflammatory and infectious causes.
Treatment is etiology-specific and often requires a multidisciplinary approach involving neurosurgery, ENT, and oncology specialists.
Surgical resection is preferred for benign tumors such as schwannomas or meningiomas, with subtotal removal considered if vital structures are at risk.
Stereotactic radiosurgery or fractionated radiotherapy is effective for small paragangliomas or residual/recurrent disease.
Infections require targeted antimicrobial therapy (e.g., antivirals for VZV), while thrombosis is treated with anticoagulation.
Supportive care, including speech and swallowing therapy, is vital for functional recovery, and prognosis depends on the underlying cause and extent of nerve damage.
Which of the following findings is most characteristic of Jugular Foramen Syndrome?
Answer: (B) Dysphagia, hoarseness, and shoulder weakness due to IX, X, XI involvement

A 55-year-old woman from a remote area of Papua New Guinea presents with progressive unsteadiness and tremors over several months.
Family members report emotional lability, bursts of laughter, and difficulty walking and swallowing.
Examination reveals cerebellar ataxia, intention tremor, dysarthria, and exaggerated startle reflex.
Mental status gradually deteriorates, leading to severe dementia and mutism before death within one year.
Her community has a history of ritualistic endocannibalism practiced in past decades.
Kuru is a rare, fatal neurodegenerative disorder caused by prion infection, historically confined to the Fore people of Papua New Guinea.
The disease was transmitted through ritualistic cannibalism involving consumption of brain tissue from deceased relatives.
Incidence peaked in the 1950s and has since declined after cessation of cannibalistic practices.
The incubation period ranged from 5 to over 30 years.
Kuru is caused by misfolded prion proteins (PrPSc) that induce conformational change in normal prion protein (PrPC), leading to neuronal death.
The prions accumulate in the cerebellum and other brain regions, causing spongiform degeneration and gliosis without inflammation.
Transmission occurred through ingestion or contact with infected neural tissue.
Kuru shares pathophysiological mechanisms with other prion diseases such as Creutzfeldt–Jakob disease (CJD) and Gerstmann–Sträussler–Scheinker syndrome (GSS).
Prodromal phase: Headache, limb pain, and joint discomfort.
Ataxic phase: Progressive gait instability, truncal ataxia, and tremors.
Terminal phase: Severe dysarthria, dysphagia, dementia, and emotional lability ("pathological laughter" or crying).
Death typically occurs within 6–12 months of symptom onset.
Diagnosis is based on clinical features, geographic and cultural context, and exclusion of other causes.
Histopathology shows spongiform degeneration, neuronal loss, and prion protein deposition, particularly in the cerebellum.
EEG may show nonspecific slowing, unlike the periodic complexes seen in sporadic CJD.
Differential diagnoses include CJD, paraneoplastic cerebellar degeneration, multiple system atrophy, and spinocerebellar ataxias.
There is no effective treatment for kuru; management is purely supportive.
Prevention was achieved through cessation of cannibalistic funeral practices.
Public health education and surveillance led to eradication of new cases by the early 21st century.
Prion inactivation requires rigorous sterilization procedures, as prions resist conventional disinfection methods.
Which of the following neuropathological features is characteristic of kuru?
Answer: (B) Spongiform degeneration with PrP deposition.Kuru is a prion disease characterized by spongiform changes, neuronal loss, and accumulation of abnormal prion protein in the cerebellum and brainstem without inflammatory response.

A 58-year-old man with a 40-pack-year smoking history presents with progressive proximal muscle weakness and difficulty rising from chairs.
He reports dry mouth and occasional constipation but denies diplopia or ptosis.
Neurological examination reveals reduced reflexes that improve after brief muscle contraction.
Repetitive nerve stimulation shows a low-amplitude baseline compound muscle action potential (CMAP) that increases significantly with high-frequency stimulation.
A subsequent chest CT reveals a small-cell lung carcinoma.
LEMS is a rare autoimmune neuromuscular junction disorder with a prevalence of approximately 2–4 cases per million.
It is most frequently associated with underlying malignancies, particularly small-cell lung carcinoma (SCLC), accounting for \(\sim\)50–60% of cases.
The median age of onset is around 60 years, though idiopathic cases can present earlier.
There is a male predominance, particularly in paraneoplastic LEMS linked to smoking-related SCLC.
The disease is often underdiagnosed due to its insidious onset and overlap with other neuromuscular disorders.
LEMS is caused by autoantibodies directed against presynaptic P/Q-type voltage-gated calcium channels (VGCCs) at the neuromuscular junction.
These antibodies impair calcium influx during nerve terminal depolarization, reducing acetylcholine (ACh) release into the synaptic cleft.
The resulting defect leads to reduced postsynaptic depolarization and failure to reach the threshold for muscle contraction.
In paraneoplastic cases, cross-reactivity between tumor antigens and neuronal VGCCs triggers autoimmunity.
Autonomic nervous system involvement is common due to similar VGCC expression in autonomic ganglia.
Symmetrical proximal muscle weakness, especially in the hip and shoulder girdle, is the hallmark feature.
Autonomic symptoms such as dry mouth, constipation, erectile dysfunction, and pupillary abnormalities are frequent.
Deep tendon reflexes are often reduced or absent but characteristically improve after brief exercise (post-tetanic potentiation).
Unlike myasthenia gravis, ocular and bulbar involvement is less common and tends to occur later in the disease course.
Exercise-induced improvement of strength (facilitation) is a distinctive clinical sign.
Electrodiagnostic studies show low CMAP amplitude at rest and an incremental response (\(>\)100%) after high-frequency repetitive stimulation or brief exercise.
Serum testing reveals P/Q-type VGCC antibodies in 85–90% of cases, supporting the diagnosis.
A thorough malignancy screen, especially for SCLC, is essential upon diagnosis.
Differential diagnoses include myasthenia gravis, chronic inflammatory demyelinating polyneuropathy (CIDP), motor neuron disease, and botulism.
Distinguishing features from myasthenia gravis include predominant proximal weakness, autonomic involvement, and facilitation of reflexes after exercise.
Treatment of the underlying malignancy is crucial and often leads to partial or complete symptom resolution.
Symptomatic management includes 3,4-diaminopyridine (3,4-DAP), which enhances presynaptic ACh release by blocking potassium channels.
Acetylcholinesterase inhibitors may offer additional benefit but are generally less effective than in myasthenia gravis.
Immunosuppressive therapies (e.g., corticosteroids, azathioprine, IVIG, rituximab) are considered in idiopathic or refractory cases.
Regular cancer surveillance is recommended even if initial screening is negative, as SCLC may develop later.
Which of the following findings best differentiates Lambert–Eaton myasthenic syndrome (LEMS) from myasthenia gravis?
Answer: (B) Incremental increase in CMAP amplitude after high-frequency stimulation is characteristic of LEMS and helps differentiate it from myasthenia gravis.
Titulaer MJ, Lang B, Verschuuren JJ. Lambert–Eaton myasthenic syndrome: from clinical characteristics to therapeutic strategies. Lancet Neurol. 2011;10(12):1098–1107. DOI: 10.1016/S1474-4422(11)70245-9
Maddison P, Newsom-Davis J. Treatment for Lambert–Eaton myasthenic syndrome. Cochrane Database Syst Rev. 2011;2011(2):CD003279. DOI: 10.1002/14651858.CD003279.pub3
Lennon VA, Kryzer TJ, Griesmann GE, et al. Calcium-channel antibodies in the Lambert–Eaton myasthenic syndrome and other paraneoplastic syndromes. N Engl J Med. 1995;332(22):1467–1474. DOI: 10.1056/NEJM199506013322203

Differential Diagnoses: Alzheimer’s Disease | Parkinson’s Disease Dementia | Vascular Dementia | Normal Pressure Hydrocephalus
Related Symptoms: Fluctuating cognition | Visual hallucinations | REM sleep behavior disorder | Autonomic dysfunction
Diagnostic Tests: DaTscan Imaging | MRI | Polysomnography
A 72-year-old man presents with progressive cognitive decline over one year, marked by fluctuating attention and recurrent visual hallucinations.
His wife describes vivid, well-formed hallucinations of people and animals, alongside episodes of confusion lasting several hours.
Neurological examination reveals mild bradykinesia and rigidity without tremor, and no history of antipsychotic use.
Cognitive testing shows impaired visuospatial and executive function with relatively preserved memory.
These findings are consistent with Lewy body dementia (LBD), a neurodegenerative disorder combining features of Alzheimer’s and Parkinson’s disease.
LBD is the second most common cause of degenerative dementia after Alzheimer’s disease, responsible for 10–15% of cases.
The average age of onset is 65–75 years, with a slight male predominance.
Prevalence rises with age, affecting up to 5% of individuals older than 85 years.
LBD shares clinical overlap with Parkinson’s disease dementia (PDD), but cognitive impairment appears first or within one year of motor symptoms.
Risk factors include advanced age, REM sleep behavior disorder (RBD), and genetic variants such as GBA mutations.
LBD is caused by accumulation of misfolded α-synuclein forming Lewy bodies and neurites within cortical and limbic neurons.
These inclusions disrupt synaptic transmission, mitochondrial function, and axonal transport, producing widespread network dysfunction.
Loss of cholinergic neurons in the basal forebrain contributes to visual hallucinations and attention deficits, while nigrostriatal dopaminergic loss causes parkinsonism.
Concomitant Alzheimer pathology (amyloid-β plaques, tau tangles) is frequent and accelerates cognitive decline.
Prodromal REM sleep behavior disorder reflects early brainstem involvement before cortical spread.
Core features include fluctuating cognition, recurrent visual hallucinations**, and spontaneous parkinsonism.
REM sleep behavior disorder (RBD), characterized by dream enactment, may precede cognitive symptoms by several years.
Patients show marked sensitivity to antipsychotics, leading to severe extrapyramidal reactions.
Cognitive dysfunction primarily affects attention, visuospatial ability, and executive function, with early memory sparing.
Non-motor features include autonomic dysfunction, mood changes, and delusions.
Use the “central triad”: fluctuations + visual hallucinations + parkinsonism within 12 months. Severe worsened rigidity after standard antipsychotics is nearly pathognomonic—switch to quetiapine, clozapine, or pimavanserin.
Diagnosis is primarily clinical, guided by consensus criteria from the DLB Consortium.
Neuroimaging may reveal occipital hypometabolism on FDG-PET or reduced dopamine transporter uptake on DaT-SPECT.
Polysomnography confirms RBD, and MIBG cardiac scintigraphy often shows reduced sympathetic innervation.
Key differentials include Alzheimer’s disease, PDD, vascular dementia, and normal pressure hydrocephalus.
The distinction from PDD lies in timing: in LBD, cognitive impairment precedes or occurs within one year of parkinsonism onset.
Differential Diagnosis Comparison:
| Feature | Lewy Body Dementia | Alzheimer’s Disease | Parkinson’s Disease Dementia | Vascular Dementia |
|---|---|---|---|---|
| Onset | Dementia + parkinsonism within 1 yr | Gradual memory-first decline | Parkinsonism ≥1 yr before dementia | Stepwise |
| Hallucinations | Early, complex visual | Late, less formed | Late | Rare |
| Fluctuations | Prominent | Mild | Mild | Variable |
| REM Sleep Behavior Disorder | Common, prodromal | Uncommon | Common | Rare |
| Imaging | Occipital hypometabolism, DaTscan ↓ | Hippocampal atrophy | DaTscan ↓ | White matter disease |
| Drug Sensitivity | Severe to typical antipsychotics | Mild | Moderate | Mild |
Diagnosis of probable LBD requires: 1. Dementia plus ≥2 core clinical features (fluctuations, recurrent visual hallucinations, spontaneous parkinsonism, REM sleep behavior disorder) OR 2. Dementia plus 1 core feature AND ≥1 indicative biomarker, such as: - DaT-SPECT showing reduced striatal uptake - Polysomnography-confirmed REM sleep without atonia - MIBG scintigraphy showing low cardiac uptake
Possible LBD: Dementia + 1 core feature, or dementia + indicative biomarker without core features. Exclude alternative causes (e.g., stroke, medication effects).
Pharmacologic Therapy:
| Target | Therapy | Dose | Evidence Grade | Key Points |
|---|---|---|---|---|
| Cognition / Hallucinations | Rivastigmine (PO or patch) | 6-12 mg/day PO or 9.5 mg patch | Grade A | Improves attention, hallucinations |
| Donepezil | 5-10 mg/day | Grade A | Similar cognitive benefit | |
| Motor symptoms | Levodopa/carbidopa | Lowest effective dose | Grade B | May worsen psychosis; titrate cautiously |
| Psychosis | Quetiapine 12.5-50 mg HS | Grade B | Use if distressing hallucinations; monitor QT | |
| Clozapine 12.5-25 mg/day | Grade B | Requires ANC monitoring; least motor worsening | ||
| Pimavanserin 34 mg/day | Grade B | Approved for PD psychosis; helpful in LBD | ||
| REM Sleep Behavior Disorder | Melatonin 3-12 mg HS | Grade B | First-line, minimal side effects | |
| Clonazepam 0.25-1 mg HS | Grade C | Use if melatonin insufficient | ||
| Autonomic Dysfunction | Midodrine, fludrocortisone, droxidopa | Standard doses | Grade C | Treat orthostasis/constipation individually |
Management Algorithm:
Which of the following features most strongly supports a diagnosis of Lewy body dementia over Alzheimer’s disease?
Answer: (B) Fluctuating cognition, recurrent visual hallucinations, and arkinsonism occurring within one year of each other are classic features of Lewy body dementia.
McKeith IG, Boeve BF, Dickson DW, et al. Diagnosis and management of dementia with Lewy bodies: Fourth consensus report of the DLB Consortium. Neurology. 2017;89(1):88–100. DOI: 10.1212/WNL.0000000000004058
Walker Z, Possin KL, Boeve BF, Aarsland D. Lewy body dementias. Lancet. 2015;386(10004):1683–1697. DOI: 10.1016/S0140-6736(15)00462-6
Taylor JP, McKeith IG, Burn DJ, et al. New evidence on the management of Lewy body dementia. Lancet Neurol. 2020;19(2):157–169. DOI: 10.1016/S1474-4422(19)30153-X

A 28-year-old man presents with progressive difficulty climbing stairs and rising from a chair over the past 3 years.
He denies sensory symptoms but reports frequent falls and proximal muscle fatigue.
Physical examination reveals symmetrical proximal muscle weakness in the pelvic and shoulder girdles, with preserved reflexes and sensation.
No significant facial involvement is noted, and cardiac examination is unremarkable.
His family history is notable for a cousin with similar symptoms diagnosed with a muscular dystrophy.
LGMD comprises a heterogeneous group of inherited muscular dystrophies affecting the pelvic and shoulder girdle muscles.
The global prevalence is estimated at 1 in 14,500 to 1 in 123,000 individuals.
Onset is typically in late childhood to early adulthood, though it can occur at any age.
Both autosomal dominant (LGMD1) and autosomal recessive (LGMD2) inheritance patterns are recognized.
There is no significant sex predilection, though some subtypes exhibit regional and ethnic variations.
LGMD is caused by mutations in genes encoding sarcolemmal, cytoskeletal, or nuclear envelope proteins essential for muscle integrity.
These mutations lead to defective membrane repair, increased susceptibility to mechanical stress, and progressive muscle fiber degeneration.
Autosomal recessive forms (e.g., calpainopathy, dysferlinopathy) are generally more severe and have earlier onset.
Dominant forms often have a milder course but may be associated with cardiac or respiratory involvement.
Chronic muscle fiber necrosis and replacement by adipose and connective tissue contribute to progressive weakness.
Symmetrical proximal weakness affecting pelvic and shoulder girdle muscles is the hallmark.
Patients may present with difficulty climbing stairs, rising from chairs, or lifting objects overhead.
Calf hypertrophy, scapular winging, or Gowers’ sign may be present in some subtypes.
Cardiac involvement, including dilated cardiomyopathy or conduction abnormalities, occurs in certain genotypes.
Respiratory insufficiency can develop in advanced disease, necessitating ventilatory support.
Serum creatine kinase (CK) is often markedly elevated, sometimes exceeding 10 times the normal range.
Electromyography (EMG) shows a myopathic pattern with small, short-duration motor unit potentials.
Muscle biopsy reveals dystrophic changes, and immunohistochemistry may identify absent or abnormal protein expression.
Genetic testing is the gold standard for definitive diagnosis and subtype classification.
Cardiac and pulmonary evaluations are recommended for baseline assessment and ongoing surveillance.
Duchenne or Becker muscular dystrophy – earlier onset, X-linked inheritance, and more severe progression.
Polymyositis – subacute onset with inflammatory features and response to immunotherapy.
Spinal muscular atrophy – associated with lower motor neuron signs and tongue fasciculations.
Metabolic myopathies – often exercise-induced symptoms with normal baseline strength.
Congenital myopathies – present earlier and have distinct histopathological features.
There is no curative therapy; management focuses on supportive care and symptom control.
Physical therapy and regular exercise help maintain mobility and prevent contractures.
Orthotic devices and assistive technologies improve function and quality of life.
Cardiac and respiratory monitoring with early intervention are essential for morbidity reduction.
Gene therapy and molecular treatments are under investigation and hold promise for future management.
Which of the following features most strongly suggests a diagnosis of limb-girdle muscular dystrophy (LGMD)?
Answer: (C) Symmetrical proximal muscle weakness with elevated CK is characteristic of LGM

A 42-year-old woman presents with a two-week history of severe headaches that worsen upon standing and improve dramatically when lying down.
She denies trauma, lumbar puncture, or previous neurological disease.
Associated symptoms include nausea, neck stiffness, and transient diplopia.
MRI of the brain shows diffuse pachymeningeal enhancement, mild subdural fluid collections, and sagging of the brainstem.
The clinical picture suggests a diagnosis of low-pressure headache due to spontaneous intracranial hypotension (SIH).
Spontaneous intracranial hypotension (SIH) is a relatively uncommon but increasingly recognized cause of secondary headache.
The estimated annual incidence is approximately 5 per 100,000 individuals.
It predominantly affects individuals in the 30–50-year age range, with a slight female predominance.
Many cases are spontaneous, but underlying connective tissue disorders such as Marfan or Ehlers-Danlos syndrome may predispose to dural fragility.
Post-lumbar puncture CSF leaks remain the most common iatrogenic cause of low-pressure headaches.
Low-pressure headache results from reduced cerebrospinal fluid (CSF) volume and pressure, typically due to a spontaneous or iatrogenic CSF leak.
Spontaneous leaks often occur at the thoracic or cervicothoracic junction due to dural weakness or perineural cyst rupture.
The drop in CSF pressure causes downward displacement of the brain, resulting in traction on pain-sensitive structures such as the meninges and bridging veins.
Compensatory venous dilation and meningeal hyperemia further contribute to headache pathogenesis.
Chronic CSF hypotension can lead to subdural hygromas or hematomas, cranial nerve palsies, and even cognitive changes.
The hallmark symptom is an orthostatic headache — worsening within minutes of standing and improving within minutes of lying down.
Associated features include nausea, vomiting, neck stiffness, tinnitus, hearing changes, and diplopia (often due to sixth nerve palsy).
Symptoms may be less positional in chronic cases or after subdural fluid collections develop.
In severe cases, altered mental status or brainstem dysfunction may occur due to brain sagging.
The clinical course is variable, ranging from spontaneous resolution to chronic, debilitating headaches.
MRI of the brain with gadolinium is the imaging modality of choice, showing diffuse pachymeningeal enhancement, subdural fluid collections, engorged venous sinuses, and brain sagging.
Spinal imaging (MRI or CT myelography) may identify the site of CSF leak.
Lumbar puncture, if performed, often shows low opening pressure (<6 cm H\(_2\)O) but is not routinely required.
Differential diagnoses include post-dural puncture headache, Chiari malformation, meningitis, migraine, and intracranial mass lesions.
Clinical history and characteristic MRI findings usually distinguish SIH from other causes.
Initial management includes conservative measures such as bed rest, increased oral or IV fluids, caffeine, and abdominal binders.
If symptoms persist beyond 1–2 weeks, an epidural blood patch is the mainstay of treatment and often provides dramatic relief.
Repeat blood patches or targeted patches may be necessary if the leak site is identified.
Surgical repair is considered for refractory cases, especially when a dural defect or meningeal diverticulum is visualized.
Adjunctive therapy may include corticosteroids or fibrin glue in selected cases.
Which of the following findings is most characteristic of spontaneous intracranial hypotension?
Answer: (B) Diffuse pachymeningeal enhancement with orthostatic headache.

A 58-year-old man with poorly controlled diabetes presents with subacute onset of severe pain radiating from the lower back into the anterior thigh, followed by progressive weakness of hip flexion and knee extension.
Over the next few weeks, he notices muscle wasting in the quadriceps and difficulty rising from a seated position.
Neurological examination reveals reduced patellar reflexes and patchy sensory loss in the anteromedial thigh.
MRI of the lumbar spine is unremarkable, but nerve conduction studies show abnormalities involving multiple lumbosacral nerve roots.
The clinical picture suggests a diagnosis of lumbosacral plexopathy, often associated with diabetic radiculoplexus neuropathy.
Lumbosacral plexopathy is an uncommon but important cause of lower limb weakness, more frequently encountered in adults than in children.
It may arise from trauma, neoplastic infiltration, diabetes mellitus, radiation therapy, or idiopathic inflammatory causes.
The condition is often underdiagnosed due to its overlap with radiculopathy or mononeuropathies.
Diabetic lumbosacral radiculoplexus neuropathy (DLRPN) is the most frequent non-traumatic cause, typically seen in older adults with type 2 diabetes.
Cancer-related plexopathy, such as from pelvic or retroperitoneal malignancies, accounts for a significant proportion of non-diabetic cases.
The lumbosacral plexus is formed by the ventral rami of L1–S4 nerve roots, supplying motor and sensory innervation to the pelvis and lower limbs.
Pathology can result from mechanical trauma, compression by tumor or hematoma, or inflammatory and microvascular injury.
In diabetic radiculoplexus neuropathy, immune-mediated microvasculitis leads to ischemic injury of nerve fibers.
Malignant plexopathy often results from direct invasion or perineural spread of tumor cells, sometimes associated with severe, intractable pain.
Radiation-induced plexopathy develops months to years after treatment, due to fibrosis and vascular compromise.
Patients typically present with acute or subacute pain, often severe and radiating to the thigh, buttock, or leg.
Weakness follows the pain, commonly affecting hip flexion, knee extension, and occasionally distal muscles depending on the extent of involvement.
Sensory loss is patchy and does not conform to a single dermatomal or peripheral nerve distribution.
Deep tendon reflexes, especially the patellar reflex, are often diminished or absent.
In chronic cases, muscle wasting and gait disturbances become prominent, and autonomic involvement (e.g., orthostatic hypotension) may be seen in diabetic cases.
Diagnosis is based on clinical presentation, supported by electromyography (EMG) and nerve conduction studies showing multifocal involvement beyond single root or peripheral nerve territories.
MRI of the lumbosacral plexus with contrast helps identify structural causes such as tumors, hematomas, or inflammatory enhancement.
Cerebrospinal fluid (CSF) analysis may show elevated protein in inflammatory or neoplastic plexopathy.
Differential diagnosis includes lumbar radiculopathy, femoral or sciatic mononeuropathies, motor neuron disease, and cauda equina syndrome.
FDG-PET may be useful in detecting occult malignancy in cancer-related plexopathy.
Treatment depends on the underlying cause; diabetic plexopathy often responds to supportive care, glycemic control, and sometimes immunotherapy (e.g., corticosteroids or IVIG).
Neoplastic plexopathy requires oncologic management, including radiotherapy or chemotherapy.
Radiation-induced plexopathy is managed symptomatically, with physical therapy and pain control being the mainstays.
Physical and occupational therapy play a crucial role in preventing contractures and improving function.
Neuropathic pain is managed with agents such as gabapentin, pregabalin, or tricyclic antidepressants.
Which of the following clinical findings most strongly suggests lumbosacral plexopathy rather than lumbar radiculopathy?
Answer: (C) Patchy sensory deficits involving multiple non-dermatomal regions.

A 28-year-old woman with a known history of systemic lupus erythematosus (SLE) presents with new-onset seizures, confusion, and headache over the past two weeks.
She reports intermittent fevers, arthralgias, and a malar rash.
MRI of the brain shows scattered T2 hyperintensities in the white matter, and CSF reveals mild lymphocytic pleocytosis with elevated protein.
Serological testing shows high titers of anti-dsDNA and low complement levels.
These findings are suggestive of neuropsychiatric lupus, a manifestation of CNS involvement in SLE.
Central nervous system involvement occurs in approximately 20–40% of patients with SLE during their disease course.
It is more common in women, reflecting the strong female predominance of SLE overall (female:male ≈ 9:1).
Neuropsychiatric manifestations most frequently occur in the first five years after SLE diagnosis but can also precede systemic features.
Younger patients and those with high disease activity are at greater risk for CNS involvement.
Mortality and morbidity are significantly higher in patients with CNS lupus compared to those without neuropsychiatric manifestations.
CNS lupus results from a combination of autoantibody-mediated neuronal injury, immune complex deposition, complement activation, and cytokine-induced inflammation.
Autoantibodies such as anti-ribosomal P, anti-NR2 glutamate receptor, and antiphospholipid antibodies are implicated in neuronal dysfunction.
Microvascular injury, thrombosis, and blood-brain barrier disruption contribute to ischemia and neuronal damage.
Immune-mediated demyelination and vasculitis may also occur, leading to multifocal CNS lesions.
The result is a heterogeneous set of clinical syndromes ranging from diffuse encephalopathy to focal neurological deficits.
Neuropsychiatric lupus can manifest as cognitive dysfunction, psychosis, seizures, stroke, movement disorders, or transverse myelitis.
Headache and mood disturbances are among the most frequent but nonspecific features.
Cerebrovascular events often result from vasculitis or secondary antiphospholipid antibody syndrome.
Cranial neuropathies, peripheral neuropathies, and demyelinating syndromes are less common but recognized manifestations.
Symptoms may be acute, subacute, or chronic, and often occur during systemic disease flares.
Diagnosis is clinical, supported by neuroimaging, CSF studies, and serological evidence of lupus activity (e.g., anti-dsDNA, complement consumption).
MRI findings are often nonspecific but may show white matter hyperintensities, infarcts, or cortical atrophy.
CSF may show mild lymphocytic pleocytosis, elevated protein, or oligoclonal bands.
Differential diagnoses include multiple sclerosis, CNS infections, drug-induced neurotoxicity, neoplasms, and primary vasculitis.
Antiphospholipid antibody testing is essential to identify thrombotic mechanisms contributing to CNS involvement.
High-dose corticosteroids are the first-line treatment for acute CNS lupus flares.
Immunosuppressive agents such as cyclophosphamide, azathioprine, or mycophenolate mofetil are used in severe or refractory cases.
Rituximab or other biologics may be considered for resistant disease or relapsing neuropsychiatric manifestations.
Anticoagulation is indicated when antiphospholipid antibodies contribute to thrombosis.
Supportive management includes seizure control, psychiatric care, and cognitive rehabilitation as needed.
Which of the following autoantibodies is most strongly associated with neuropsychiatric lupus?
Answer: (B) Anti-ribosomal P antibody.
Hanly JG. Diagnosis and management of neuropsychiatric SLE. Nat Rev Rheumatol. 2014;10(6):338–347. DOI: 10.1038/nrrheum.2014.15
Bertsias GK, Ioannidis JP, Aringer M, et al. EULAR recommendations for neuropsychiatric lupus. Ann Rheum Dis. 2010;69(12):2074–2082. DOI: 10.1136/ard.2010.130476
Jeltsch-David H, Muller S. Neuropsychiatric systemic lupus erythematosus: pathogenesis and biomarkers. Nat Rev Neurol. 2014;10(10):579–596. DOI: 10.1038/nrneurol.2014.148

A 45-year-old man presents with a two-week history of severe headache, neck stiffness, and intermittent facial drooping.
He recalls a tick bite while hiking in a wooded area six weeks ago, followed by a transient erythema migrans rash.
Neurological examination reveals a right-sided lower motor neuron facial palsy and signs of mild meningismus.
CSF analysis shows lymphocytic pleocytosis, elevated protein, and intrathecal Borrelia-specific antibodies.
These findings are consistent with Lyme neuroborreliosis, a manifestation of systemic Lyme disease affecting the central or peripheral nervous system.
Lyme disease is the most common vector-borne infection in the Northern Hemisphere, caused by Borrelia burgdorferi transmitted by Ixodes ticks.
Neurological involvement occurs in approximately 10–15% of untreated cases.
The disease is endemic in temperate regions of North America, Europe, and parts of Asia, particularly during spring and summer.
Most cases occur in adults aged 30–60 years, though children are also susceptible, particularly to cranial neuropathies.
Risk increases with longer tick attachment time (>36 hours) and delayed removal.
After inoculation through a tick bite, Borrelia burgdorferi disseminates hematogenously and can invade the nervous system within weeks.
The host immune response plays a major role in tissue injury, with lymphocytic inflammation of meninges, nerve roots, and cranial nerves.
In the CNS, spirochetes induce meningeal inflammation and vasculitis, while in the PNS, they cause radiculoneuritis and mononeuritis multiplex.
Intrathecal antibody production contributes to persistent inflammation and may sustain symptoms even after bacterial clearance.
Chronic untreated infection can result in axonal damage, gliosis, and neurocognitive impairment.
Neurological manifestations typically develop weeks to months after initial infection and are often part of stage 2 (early disseminated) disease.
Common presentations include lymphocytic meningitis, cranial neuropathies (especially facial nerve palsy), and painful radiculopathies.
Late manifestations may include encephalomyelitis, peripheral neuropathy, cognitive impairment, and psychiatric changes.
Bannwarth syndrome, characterized by lymphocytic meningitis, radicular pain, and cranial neuropathy, is classic in European Lyme disease.
Ocular involvement (e.g., uveitis), myelitis, and vasculitic stroke are rare but recognized complications.
Diagnosis is based on clinical findings, exposure history, and laboratory confirmation of Borrelia infection.
Serum two-tiered testing (ELISA followed by Western blot) is standard, while CSF analysis often reveals lymphocytic pleocytosis, elevated protein, and intrathecal antibody synthesis.
PCR testing on CSF is specific but less sensitive, and neuroimaging is typically normal or shows nonspecific white matter lesions.
Differential diagnosis includes viral meningitis, Guillain-Barré syndrome, neurosarcoidosis, multiple sclerosis, and idiopathic facial palsy.
Diagnosis can be challenging in the absence of erythema migrans or known tick exposure.
Early neuroborreliosis is treated with intravenous ceftriaxone, cefotaxime, or penicillin G for 14–21 days.
Oral doxycycline may be used for mild cases such as isolated cranial neuropathy or radiculitis without meningitis.
Late or severe disease (e.g., encephalomyelitis) requires prolonged IV antibiotic therapy, often up to 28 days.
Adjunctive corticosteroids are not routinely recommended except for severe inflammatory complications.
Most patients recover fully with timely treatment, though residual neuropathic pain or cognitive deficits can persist.
Which of the following clinical findings is most characteristic of Lyme neuroborreliosis?
Answer: (B) Painful radiculopathy with lymphocytic meningitis weeks after a tick bite.

A 62-year-old immunocompetent man presents with progressive cognitive decline, personality changes, and focal right-sided weakness over two months.
MRI brain reveals a homogeneously enhancing, periventricular mass with surrounding edema and restricted diffusion on DWI.
There is no evidence of systemic lymphoma on CT chest, abdomen, and pelvis.
Stereotactic brain biopsy confirms diffuse large B-cell lymphoma confined to the CNS.
This presentation is typical of Primary Central Nervous System Lymphoma (PCNSL), a rare extranodal non-Hodgkin lymphoma.
PCNSL accounts for approximately 2–3% of all primary brain tumors and 4–6% of extranodal lymphomas.
The median age at diagnosis is 60–65 years, though incidence is higher in immunocompromised individuals such as those with HIV or post-transplant.
There is a slight male predominance, with a male-to-female ratio of about 1.5:1.
The incidence has increased in immunocompetent individuals over recent decades, possibly due to improved diagnostic imaging.
Secondary CNS involvement can occur in systemic lymphoma but differs from primary disease in clinical behavior and prognosis.
PCNSL is typically a high-grade diffuse large B-cell lymphoma (DLBCL) arising within the CNS parenchyma, leptomeninges, eyes, or spinal cord.
Malignant lymphocytes infiltrate along perivascular spaces and often aggregate near ventricular surfaces or deep white matter.
In immunocompromised patients, Epstein-Barr virus (EBV) infection is strongly associated with tumorigenesis.
The blood-brain barrier plays a crucial role in tumor microenvironment and limits chemotherapeutic penetration.
Tumor proliferation leads to mass effect, peritumoral edema, and local neurological dysfunction.
Symptoms are often subacute and vary depending on lesion location, including cognitive changes, focal neurological deficits, and seizures.
Behavioral and personality changes are common when the frontal lobes are involved.
Visual loss may occur due to ocular involvement, and leptomeningeal dissemination can present with cranial neuropathies.
Headaches and signs of increased intracranial pressure may result from mass effect or hydrocephalus.
In immunocompromised patients, presentation can be more acute and multifocal.
MRI typically shows a single or multiple, homogeneously enhancing, periventricular or deep white matter mass with restricted diffusion and minimal necrosis.
Stereotactic biopsy remains the gold standard for diagnosis and should be performed before corticosteroid therapy, which can obscure histology.
CSF cytology and flow cytometry can support the diagnosis in cases with leptomeningeal involvement.
Differential diagnoses include glioblastoma multiforme, metastases, demyelinating lesions, and infectious processes such as toxoplasmosis (especially in HIV).
PET/CT or systemic workup is required to rule out systemic lymphoma with secondary CNS involvement.
High-dose methotrexate-based chemotherapy is the cornerstone of treatment and often combined with rituximab and other agents.
Whole-brain radiotherapy (WBRT) is used as consolidation or for relapse but is avoided as upfront therapy due to neurotoxicity, especially in elderly patients.
Corticosteroids provide rapid symptom relief by reducing edema but should be withheld until after biopsy if possible.
Autologous stem cell transplantation may be considered in younger patients with relapsed or refractory disease.
Close monitoring with MRI and neurocognitive testing is essential for long-term follow-up.
Which of the following features is most characteristic of primary CNS ymphoma on MRI?
Answer: (B) Homogeneous enhancement with periventricular localization and restricted diffusion.

A 57-year-old man with a long-standing history of hypertension and smoking two packs per day presents with acute onset of nausea, hiccups, vomiting, and weakness on the left side of his body.
On examination, he has left-sided hemiparesis sparing the face, impaired proprioception on the left, and tongue deviation toward the right side.
There is no facial weakness or Horner’s syndrome.
MRI brain reveals an acute infarct in the right medial medulla.
The findings are consistent with medial medullary syndrome due to anterior spinal artery occlusion.
Medial medullary syndrome (MMS), also known as Dejerine syndrome, is an uncommon ischemic stroke of the brainstem.
It accounts for less than 1% of all ischemic strokes.
It typically affects older adults with vascular risk factors such as hypertension, diabetes, and heavy smoking.
The usual etiology is occlusion of the anterior spinal artery or its penetrating branches from the vertebral artery.
Bilateral involvement is rare but can cause severe quadriplegia and respiratory compromise.
The syndrome arises from infarction of the medial medulla, supplied by the anterior spinal artery.
Key structures involved include the corticospinal tract, medial lemniscus, and hypoglossal nerve or its nucleus.
Interruption of the corticospinal tract causes contralateral hemiplegia sparing the face.
Damage to the medial lemniscus leads to contralateral loss of proprioception and vibration sense.
Involvement of the hypoglossal nerve results in ipsilateral tongue weakness, with deviation toward the lesion side.
The classic triad includes contralateral hemiplegia, contralateral loss of proprioception and vibration, and ipsilateral tongue paralysis.
The facial muscles are usually spared due to bilateral cortical representation.
Dysarthria and mild dysphagia may occur due to hypoglossal weakness.
Pain and temperature sensation are preserved since the spinothalamic tract is located laterally.
In severe or bilateral cases, respiratory and bulbar functions can be severely impaired.
Diagnosis is primarily clinical, supported by MRI with diffusion-weighted imaging.
The lesion typically appears in the paramedian region of the medulla.
MR or CT angiography may reveal anterior spinal or vertebral artery occlusion.
Brainstem auditory and somatosensory evoked potentials can demonstrate tract involvement.
Differential diagnosis with lateral medullary or pontine infarctions is essential for accurate localization.

Figure: Diffusion-weighted MRI showing right medial medullary infarct consistent with anterior spinal artery territory involvement.
Lateral medullary (Wallenberg) syndrome presents with ipsilateral facial sensory loss, Horner’s syndrome, and contralateral pain and temperature loss.
Pontine infarction often includes facial weakness or horizontal gaze palsy, unlike MMS.
High cervical cord lesions can mimic motor and sensory symptoms but lack cranial nerve findings.
Demyelinating diseases or brainstem tumors should be considered in younger patients.
Other vascular syndromes such as vertebrobasilar insufficiency may have overlapping symptoms.
Acute management follows standard ischemic stroke protocols.
Thrombolytic therapy is considered if within the appropriate time window.
Long-term management includes antiplatelet or anticoagulant therapy, risk factor control, and smoking cessation.
Physical, occupational, and speech therapy are crucial for recovery of strength and speech.
Secondary prevention includes blood pressure control, diabetes management, lipid reduction, and lifestyle modification.
A 57-year-old man presents with nausea, vomiting, hiccups, left-sided weakness, and tongue deviation to the right. MRI shows a right medial medullary infarct. Which artery is most likely occluded?
Answer: (B) Anterior spinal artery

A 19-year-old woman presents with recurrent episodes of severe headache, vomiting, and focal neurological deficits, including hemiparesis and visual disturbances.
Episodes mimic strokes but occur without vascular risk factors and are not confined to vascular territories on neuroimaging.
Her past medical history includes short stature, sensorineural hearing loss, and episodes of seizures since childhood.
Laboratory evaluation reveals elevated serum lactate and pyruvate levels both at rest and after exercise.
Muscle biopsy shows ragged red fibers, and genetic testing confirms a Laboratory mitochondrial DNA mutation, consistent with MELAS syndrome.
MELAS is one of the most common mitochondrial encephalomyopathies, accounting for approximately 80% of mitochondrial stroke-like syndromes.
The estimated prevalence is 1 in 5,000 to 1 in 10,000 individuals worldwide, though true incidence may be underestimated.
Most cases present in childhood or adolescence, but adult-onset cases have been reported.
It exhibits maternal inheritance due to mutations in mitochondrial DNA (mtDNA), most commonly the m.3243A>G mutation in the MT-TL1 gene.
Affected individuals often have a family history of maternally inherited neuromuscular or metabolic disorders.
MELAS is caused by mutations in mitochondrial DNA affecting oxidative phosphorylation, leading to impaired ATP production.
The MT-TL1 gene mutation disrupts mitochondrial tRNA for leucine, causing defective protein synthesis and energy metabolism.
Energy failure is particularly detrimental in high-demand tissues like the brain, skeletal muscle, and heart.
Stroke-like episodes result from neuronal metabolic crisis, microvascular endothelial dysfunction, and nitric oxide depletion rather than vascular occlusion.
Lactic acidosis arises from anaerobic glycolysis due to mitochondrial dysfunction, contributing to cellular injury.
Onset is typically before age 40, often with seizures, recurrent stroke-like episodes, and encephalopathy.
Neurological manifestations include hemiparesis, cortical blindness, aphasia, migraines, and cognitive decline.
Extraneurological signs include short stature, diabetes mellitus, cardiomyopathy, sensorineural hearing loss, and myopathy.
Episodes are often precipitated by metabolic stressors such as infections, fasting, or dehydration.
Over time, progressive neurodegeneration can lead to dementia, recurrent seizures, and severe disability.
Diagnosis is based on clinical presentation, biochemical findings, imaging, muscle biopsy, and genetic testing.
Elevated lactate and pyruvate in blood or CSF support a mitochondrial etiology.
Brain MRI shows stroke-like lesions not conforming to vascular territories, often with cortical and subcortical involvement.
Differential diagnoses include ischemic stroke, mitochondrial stroke syndromes (e.g., Leigh syndrome), encephalitis, and vasculitis.
Definitive diagnosis is made by identifying a pathogenic mtDNA mutation, most commonly m.3243A>G.
There is no curative treatment; management is supportive and aimed at preventing and mitigating stroke-like episodes and complications.
Acute stroke-like episodes are treated with intravenous L-arginine or citrulline to improve nitric oxide-mediated vasodilation.
Antiepileptic drugs are used for seizure control, but valproic acid should be avoided due to mitochondrial toxicity.
Supportive measures include physiotherapy, hearing aids, diabetes management, and cardiologic monitoring.
Experimental therapies under investigation include coenzyme Q10,riboflavin, and idebenone to support mitochondrial function.
Which of the following features best distinguishes stroke-like episodes in MELAS from typical ischemic strokes?
Answer: (B) Elevated serum lactate during acute episodes Stroke-like episodes in MELAS are metabolic in origin, associated with lactic acidosis, and the lesions typically do not conform to vascular territories.

A 58-year-old woman presents with progressive headaches, occasional seizures, and subtle personality changes over six months.
Neurological examination reveals mild right-sided weakness and papilledema.
Brain MRI shows a well-circumscribed, dural-based extra-axial mass with a “dural tail” sign over the left frontal convexity.
Surgical biopsy confirms a WHO Grade I meningioma.
She undergoes gross total resection with resolution of symptoms and no evidence of recurrence at one-year follow-up.
Meningiomas are the most common primary intracranial tumors, accounting for 30–35% of central nervous system neoplasms.
Most cases occur between ages 50–70 and are about twice as common in women, suggesting hormonal influence.
The majority (WHO Grade I) are benign; 5–7% are atypical (Grade II) and 1–3% are anaplastic (Grade III).
Risk factors include exposure to ionizing radiation (especially in childhood) and genetic syndromes such as neurofibromatosis type 2 (NF2).
Incidental detection is increasingly common with modern neuroimaging.
Meningiomas arise from arachnoid cap cells of the leptomeninges and typically attach to the dura.
Tumors grow slowly and expand by compression rather than infiltration.
Molecular changes include loss of chromosome 22q and inactivation of NF2; mutations in TRAF7, KLF4, and AKT1 are associated with histological variants.
Progesterone receptor expression may contribute to growth, explaining female predominance and occasional pregnancy-related enlargement.
Higher-grade meningiomas exhibit increased mitotic activity, necrosis, and invasiveness, correlating with recurrence risk and worse outcomes.
Symptoms are usually insidious and depend on size, location, and growth rate.
Common manifestations include headaches, seizures, focal deficits, and personality changes.
Convexity meningiomas often cause focal motor deficits; parasagittal lesions may cause leg weakness.
Skull base tumors can produce cranial neuropathies, visual loss, or cerebellar signs.
Acute deterioration is uncommon but can occur due to edema, hemorrhage, or acute hydrocephalus.
MRI with contrast is the diagnostic gold standard, showing a well-demarcated extra-axial mass with homogeneous enhancement and a characteristic dural tail.
CT may demonstrate calcifications or hyperostosis.
Histopathology confirms the diagnosis, with epithelial membrane antigen (EMA) positivity.
Differential diagnoses include metastases, hemangiopericytoma, dural lymphoma, and schwannoma.
Perfusion MRI and PET can assist in distinguishing meningiomas from other extra-axial lesions and assessing recurrence.
Treatment is based on size, location, symptoms, grade, and comorbidities.
Surgical resection (Simpson Grade I or II) is the preferred treatment, aiming for complete removal.
Radiosurgery or radiotherapy is used for residual, recurrent, inoperable, or high-grade tumors.
Observation with serial imaging is appropriate for small, asymptomatic, or incidentally found lesions.
Recurrence risk depends on WHO grade and extent of resection, requiring long-term imaging follow-up.
Which of the following MRI features is most characteristic of a meningioma?
Answer: (B) Extra-axial mass with dural tail and homogeneous enhancement.This imaging pattern strongly suggests a meningioma due to its duralattachment and vascularity.
Goldbrunner R, Stavrinou P, Jenkinson MD, et al. EANO guidelines for the diagnosis and treatment of meningiomas. Lancet Oncol. 2021;22(8):e281–e292. DOI: 10.1093/neuonc/noab150
Wiemels J, Wrensch M, Claus EB. Epidemiology and etiology of meningioma. J Neurooncol. 2010;99(3):307–314. DOI: 10.1007/s11060-010-0386-3

A 24-year-old previously healthy man presents to the emergency department with a 2-day history of fever, severe headache, nausea, and photophobia.
On examination, he is febrile and irritable, with nuchal rigidity and a positive Kernig’s sign.
He develops confusion and generalized tonic-clonic seizures shortly after admission.
Lumbar puncture reveals elevated opening pressure, neutrophilic pleocytosis, low glucose, and elevated protein.
Blood cultures grow Neisseria meningitidis, confirming the diagnosis of acute bacterial meningitis.
Meningitis, defined as inflammation of the meninges surrounding the brain and spinal cord, is a global health concern with significant morbidity and mortality.
Bacterial meningitis is most common in neonates and young adults, while viral meningitis predominates in children and young adults with generally benign outcomes.
In developed countries, the annual incidence of bacterial meningitis is 1–2 per 100,000, while viral meningitis is 10 times more frequent.
Streptococcus pneumoniae and Neisseria meningitidis are the leading causes in adults, whereas Group B Streptococcus and Escherichia coli predominate in neonates.
Vaccination has dramatically reduced the incidence of meningitis caused by Haemophilus influenzae type b and meningococcal serogroups.
Pathogens reach the meninges via hematogenous spread, contiguous extension from adjacent infections, or direct inoculation following trauma or surgery.
Once in the subarachnoid space, microbial replication triggers an intense inflammatory response with cytokine release, leukocyte infiltration, and blood-brain barrier disruption.
This inflammation leads to increased intracranial pressure, cerebral edema, impaired cerebral perfusion, and neuronal injury.
Bacterial meningitis typically produces a purulent exudate and intense neutrophilic response, whereas viral meningitis induces a predominantly lymphocytic response.
In certain cases, such as tuberculous or fungal meningitis, a granulomatous response results in a chronic course with basal meningeal involvement.
The classic triad of meningitis includes fever, headache, and nuchal rigidity, though all three are present in fewer than half of adult cases.
Altered mental status, photophobia, nausea, and vomiting are common presenting symptoms.
Seizures, focal neurological deficits, and cranial nerve palsies may occur, particularly in bacterial or tuberculous meningitis.
Neonates and elderly patients may present atypically, often with lethargy, poor feeding, or subtle changes in mental status.
Petechial or purpuric rash suggests meningococcemia, a medical emergency associated with disseminated intravascular coagulation and septic shock.
Lumbar puncture with cerebrospinal fluid (CSF) analysis is the gold standard for diagnosis and should be performed promptly unless contraindicated.
Typical CSF findings in bacterial meningitis include neutrophilic pleocytosis, low glucose (<40 mg/dL), elevated protein, and high opening pressure.
Viral meningitis usually shows lymphocytic pleocytosis with normal glucose and mildly elevated protein, while tuberculous meningitis presents with lymphocytic predominance and low glucose.
Differential diagnoses include encephalitis, brain abscess, subarachnoid hemorrhage, leptomeningeal carcinomatosis, and autoimmune meningitis.
Blood cultures, CSF Gram stain, PCR assays, and serology assist in identifying the causative organism and guiding therapy.
Empiric intravenous antibiotics should be initiated immediately after blood cultures are obtained, even before CSF results are available.
Standard empiric therapy in adults includes a third-generation cephalosporin (e.g., ceftriaxone) plus vancomycin, with ampicillin added in older adults or immunocompromised patients for Listeria coverage.
Adjunctive corticosteroids (e.g., dexamethasone) reduce inflammation and improve outcomes, especially in pneumococcal meningitis.
Supportive care includes intracranial pressure management, seizure control, and treatment of systemic complications such as septic shock.
Preventive strategies include vaccination against S. pneumoniae, N. meningitidis, and H. influenzae, as well as prophylactic antibiotics for close contacts of meningococcal cases.
Which of the following cerebrospinal fluid (CSF) findings is most characteristic of bacterial meningitis?
Answer: (B) Neutrophilic pleocytosis, low glucose, elevated protein This CSF profile is classic for bacterial meningitis due to the intense neutrophilic inflammatory response and increased metabolic consumption of glucose.

A 45-year-old overweight female presents with a 6-month history of burning, tingling, and numbness over the outer aspect of her left thigh.
The symptoms are worse when standing or walking for long periods and improve when sitting or flexing the hip.
She denies weakness, back pain, or bowel/bladder disturbances.
Neurological examination reveals decreased sensation in the anterolateral thigh, with preserved strength and reflexes.
These findings are consistent with meralgia paresthetica, an entrapment neuropathy of the lateral femoral cutaneous nerve.
Meralgia paresthetica (MP) is a relatively common mononeuropathy resulting from compression of the lateral femoral cutaneous nerve (LFCN).
The estimated incidence is 4-5 per 10,000 individuals per year, with a slight male predominance.
It most frequently affects adults between 30 and 60 years of age.
Risk factors include obesity, pregnancy, diabetes mellitus, tight clothing or belts, and prolonged standing or walking.
Postsurgical cases are increasingly recognized, particularly after spine, pelvic, or bariatric surgery.
The lateral femoral cutaneous nerve is a purely sensory branch of the lumbar plexus (L2–L3) that emerges from the pelvis near the anterior superior iliac spine (ASIS).
It traverses under or through the inguinal ligament, a common site of mechanical entrapment or compression.
External pressure (e.g., from tight belts, obesity, or pregnancy) or internal factors (e.g., scar tissue, postsurgical changes) can lead to nerve ischemia and dysfunction.
Diabetes may predispose to MP due to microvascular compromise and increased nerve susceptibility to compression.
The pathology is typically focal demyelination, but chronic cases may exhibit secondary axonal loss.
MP presents with paresthesia, burning pain, or numbness over the anterolateral thigh, usually unilateral but occasionally bilateral.
Symptoms are purely sensory, with no associated motor deficits or reflex changes.
Pain is often aggravated by prolonged standing, hip extension, or wearing tight garments, and relieved by sitting or hip flexion.
Tinel’s sign may be elicited by tapping over the inguinal ligament near the ASIS, reproducing symptoms.
The absence of weakness, back pain, or radicular distribution helps differentiate MP from lumbosacral radiculopathy.
Diagnosis is primarily clinical, based on characteristic sensory symptoms and physical findings localized to the LFCN distribution.
Electromyography (EMG) and nerve conduction studies are often normal but may help exclude other neuropathies.
Imaging (e.g., MRI or ultrasound) is reserved for atypical cases or when a mass lesion or pelvic pathology is suspected.
Differential diagnoses include L2–L3 radiculopathy, femoral neuropathy, trochanteric bursitis, hip joint pathology, and peripheral neuropathies.
A diagnostic nerve block with local anesthetic over the LFCN can provide both confirmation and therapeutic benefit.
Conservative management is first-line and includes weight reduction, avoiding tight clothing or belts, and activity modification.
Neuropathic pain medications (e.g., gabapentin, pregabalin, or tricyclic antidepressants) can be used for symptomatic relief.
Local corticosteroid and anesthetic injections around the inguinal ligament may provide prolonged relief in persistent cases.
Surgical decompression or neurectomy is reserved for severe, refractory cases with significant functional impairment.
Prognosis is generally excellent, with spontaneous resolution in many cases over weeks to months.
Which of the following clinical features most strongly suggests meralgia paresthetica rather than lumbar radiculopathy?
Answer: (B) Burning and tingling localized to the anterolateral thigh without motor weakness Meralgia paresthetica is characterized by a purely sensory disturbance in the distribution of the lateral femoral cutaneous nerve.
Harney D, Patijn J. Meralgia paresthetica: diagnosis and management strategies. Pain Med. 2007;8(8):669–677. DOI: 10.1111/j.1526-4637.2006.00227.x
Grossman MG, Ducey SA, Nadler SS, Levy AS. Meralgia paresthetica: diagnosis and treatment. J Am Acad Orthop Surg. 2001;9(5):336–344. DOI: 10.5435/00124635-200109000-00007

A 78-year-old female with a history of hypertension, monoclonal gammopathy of undetermined significance (MGUS), and arthritis presents with progressive numbness and tingling in her feet over several months.
She reports difficulty walking and occasional imbalance, with symptoms slowly ascending up to her knees.
There is no history of diabetes, alcohol abuse, or exposure to neurotoxic medications.
On examination, she has diminished vibration and proprioception in the lower limbs, mild distal weakness, and reduced ankle reflexes.
Nerve conduction studies reveal a symmetric, predominantly demyelinating polyneuropathy, raising suspicion for MGUS-associated neuropathy.
MGUS is found in approximately 3–4% of adults over 50 years of age and is more common in men than women.
Peripheral neuropathy occurs in about 10% of individuals with MGUS, most often associated with the IgM subtype.
IgM paraproteins are more likely to cause neuropathy compared to IgG or IgA subtypes.
The condition tends to present insidiously and is typically chronic and progressive.
The prevalence of MGUS-associated neuropathy increases with age and often coexists with other age-related comorbidities.
MGUS-associated neuropathy is primarily immune-mediated, resulting from the interaction of monoclonal immunoglobulins with peripheral nerve components.
In IgM MGUS, the paraprotein often targets myelin-associated glycoprotein (MAG), leading to demyelination and distal nerve damage.
IgG and IgA MGUS may cause axonal neuropathy through deposition of immune complexes or vascular injury.
The immune reaction triggers complement activation and segmental demyelination with secondary axonal loss.
Chronic immune-mediated injury results in progressive sensory loss and motor dysfunction.
Patients commonly present with distal symmetric sensory neuropathy characterized by numbness, tingling, and burning pain.
Weakness develops later and is usually more prominent distally, especially in the lower limbs.
Tremor and imbalance are frequent in IgM-related cases due to demyelination and proprioceptive deficits.
Neuropathic pain, sensory ataxia, and absent reflexes may occur as the disease progresses.
In severe cases, there may be gait instability and disability, although autonomic symptoms are typically mild or absent.
Diagnosis requires detection of a monoclonal protein by serum electrophoresis and immunofixation, confirming MGUS.
Nerve conduction studies typically show a demyelinating or mixed pattern, especially in IgM cases.
Anti-MAG antibody testing supports the diagnosis when IgM paraprotein is present.
Differential diagnoses include CIDP (lacks paraproteinemia), diabetic polyneuropathy (metabolic), POEMS syndrome (multisystem features), and AL amyloidosis (autonomic and painful).
Excluding paraneoplastic and toxic neuropathies is essential before attributing symptoms to MGUS.
Management focuses on symptom control and immunotherapy for progressive or disabling neuropathy.
For IgM anti-MAG neuropathy, treatments such as rituximab or intravenous immunoglobulin (IVIg) may provide benefit.
Plasma exchange and corticosteroids have limited and often transient efficacy.
Physical therapy and assistive devices are important for maintaining mobility and function.
Close follow-up is required to monitor for transformation of MGUS into malignant plasma cell disorders such as Waldenström macroglobulinemia or multiple myeloma.
Which of the following is most characteristic of MGUS-associated neuropathy?
Answer: (B) Distal symmetric demyelinating neuropathy associated with IgM paraprotein
Nobile-Orazio E. Neuropathy and monoclonal gammopathy. Handb Clin Neurol. 2013;115:443–459. DOI: 10.1016/B978-0-444-52902-2.00025-4
Joint Task Force of the European Federation of Neurological Societies and the Peripheral Nerve Society. European Federation of Neurological Societies/Peripheral Nerve Society guideline on management of paraproteinemic demyelinating neuropathies: first revision. J Peripher Nerv Syst. 2010;15(3):185–195. DOI: 10.1111/j.1529-8027.2010.00278.x

Differential Diagnoses: Cluster Headache | Tension-Type Headache | Idiopathic Intracranial Hypertension | TIA
Related Symptoms: Headache | Photophobia | Aura | Nausea/Vomiting
Diagnostic Tools: ICHD-3 Criteria | Headache Diary | Neuroimaging (if red flags)
A 32-year-old woman presents with recurrent, throbbing headaches over the past 8 years, typically unilateral and associated with photophobia, phonophobia, and nausea.
Attacks last between 4 and 72 hours and are often preceded by visual scintillations and zigzag lines lasting about 20 minutes.
The headaches significantly interfere with her daily functioning and are aggravated by physical activity.
There is a strong family history of similar headaches in her mother and sister.
These findings are consistent with migraine with aura, a primary headache disorder characterized by episodic neurovascular dysfunction.
Migraine is a common primary headache disorder affecting approximately 12–15% of the global population.
It is more prevalent in women (3:1 female-to-male ratio) and typically begins in adolescence or early adulthood.
The peak incidence occurs between 25 and 45 years of age, coinciding with the most productive years of life.
Genetic predisposition plays a major role, with up to 70% of patients having a positive family history.
Migraine is a leading cause of disability worldwide and contributes substantially to socioeconomic burden due to lost productivity.
Cortical spreading depression generates aura and activates brainstem nuclei (dorsal pons), which in turn excite the trigeminovascular system.
Trigeminal afferents release CGRP, substance P, and neurokinin A, producing vasodilation, plasma extravasation, and neurogenic inflammation.
Central sensitization within the trigeminal nucleus caudalis and thalamus explains cutaneous allodynia and photophobia.
Hormonal fluctuations, genetic ion-channel variants (CACNA1A, SCN1A), and environmental triggers modulate neuronal excitability.
CGRP monoclonal antibodies and gepants directly target this pathway, validating the mechanistic model.
Migraine typically presents as recurrent, unilateral, pulsating headaches lasting 4–72 hours, often accompanied by nausea, vomiting, photophobia, and phonophobia.
Aura occurs in about 25–30% of patients and may manifest as visual disturbances (scintillating scotomas, fortification spectra), sensory symptoms, or dysphasia.
The attacks are often preceded by premonitory symptoms (e.g., yawning, mood changes) and followed by a postdromal phase with fatigue or cognitive slowing.
Physical activity, hormonal changes, stress, certain foods, and sleep disturbances are common triggers.
Neurological examination is usually normal between attacks, and chronic migraine is defined as headaches occurring on 15 or more days per month for over 3 months.
Positive, spreading aura lasting 5–60 minutes followed by headache strongly favors migraine. Sudden negative symptoms (vision loss, weakness) without headache should prompt vascular evaluation.
Diagnosis is clinical and based on the International Classification of Headache Disorders (ICHD-3) criteria.
Typical features include recurrent unilateral pulsating headaches with moderate to severe intensity, aggravated by routine activity, and associated with nausea or sensory sensitivities.
Neuroimaging is indicated in atypical presentations, new-onset headache after age 50, focal neurological deficits, or red flag symptoms (e.g., papilledema, seizures).
Differential diagnoses include tension-type headache, cluster headache, trigeminal neuralgia, idiopathic intracranial hypertension, and secondary causes such as intracranial mass or vascular malformation.
Distinguishing migraine aura from transient ischemic attack (TIA) is critical; aura develops gradually and is often positive (e.g., visual scintillations), whereas TIA is sudden and negative (e.g., vision loss).
Differential Diagnosis Comparison:
| Feature | Migraine | Tension-Type | Cluster Headache | Idiopathic Intracranial Hypertension |
|---|---|---|---|---|
| Pain Quality | Pulsating, moderate-severe | Pressing, mild-moderate | Excruciating orbital | Pressure/daily diffuse |
| Duration | 4–72 h | 30 min–7 d | 15–180 min | Daily, persistent |
| Laterality | Unilateral (can be bilateral) | Bilateral | Strictly unilateral | Diffuse |
| Associated Symptoms | Nausea, photophobia, aura | None/minimal | Autonomic (tearing, ptosis) | Papilledema, visual obscurations |
| Triggers | Hormonal, foods, stress | Stress, posture | Alcohol, nocturnal onset | Obesity, medications |
Migraine without aura: ≥5 attacks lasting 4–72 h with ≥2 of: unilateral, pulsating, moderate/severe, aggravated by activity and ≥1 of nausea/vomiting or photophobia/phonophobia.
Migraine with aura: ≥2 attacks with reversible aura symptoms (visual, sensory, speech, motor, brainstem, retinal) lasting 5–60 min, followed by headache within 60 min.
Exclude other diagnoses (SNOOP red flags) via history/exam ± imaging.
Acute Therapy (treat within 1 hour of onset):
| Class | Examples | Notes |
|---|---|---|
| NSAIDs / Acetaminophen | Ibuprofen 400-800 mg, naproxen 500-550 mg | First-line for mild-moderate attacks |
| Triptans | Sumatriptan 50-100 mg PO or 6 mg SC; rizatriptan 10 mg | Avoid in CAD, uncontrolled HTN; combine with NSAID for synergy |
| Gepants | Ubrogepant 50-100 mg, rimegepant 75 mg ODT | Useful when triptans contraindicated |
| Ditans | Lasmiditan 50-200 mg | Non-vasoconstrictive; caution driving for 8 h |
| Adjuncts | Metoclopramide, prochlorperazine | Address nausea, enhance absorption |
Preventive Therapy (≥4 migraine days/month or disabling attacks):
| Category | Agents | Evidence Grade | Key Considerations |
|---|---|---|---|
| Beta-blockers | Propranolol, metoprolol | Grade A | Avoid in asthma, bradycardia |
| Antiepileptics | Topiramate, valproate | Grade A | Topiramate causes paresthesia/weight loss; valproate teratogenic |
| Antidepressants | Amitriptyline, venlafaxine | Grade B | Helpful with comorbid insomnia, depression |
| CGRP mAbs | Erenumab, fremanezumab, galcanezumab, eptinezumab | Grade A | Monthly/quarterly injections; minimal systemic effects |
| OnabotulinumtoxinA | 155-195 U q12wk | Grade A for chronic migraine | PREEMPT injection protocol; safe with CGRP mAbs |
| Neuromodulation | Single-pulse TMS, vagal nerve stimulation | Grade C | Adjunct for refractory patients |
Treatment Algorithm: 1. Assess frequency & disability (MIDAS, HIT-6). 2. Acute plan: Educate on early dosing, limit acute meds to ≤10 days/month to avoid medication-overuse headache. 3. Preventive plan: Start first-line agent; titrate every 4-6 weeks; set goals (≥50% reduction in migraine days). 4. Refractory cases: Combine preventive classes (e.g., CGRP mAb + onabotulinumtoxinA), refer to headache specialist, consider lifestyle coaching, CBT, or biofeedback. 5. Lifestyle: Regular sleep, hydration, exercise, trigger diary, mindful stress reduction.
Which of the following features most strongly supports a diagnosis of migraine with aura rather than transient ischemic attack (TIA)?
Answer: (B) Gradual progression of visual scintillations followed by headache Migraine aura typically develops gradually over 5–20 minutes,is often positive (e.g., visual scintillations), and is followed by a headache, whereas TIA is abrupt, negative, and often not followed by headache.
Goadsby PJ, Holland PR, Martins-Oliveira M, Hoffmann J, Schankin C, Akerman S. Pathophysiology of migraine: a disorder of sensory processing. Physiol Rev. 2017;97(2):553–622. DOI: 10.1152/physrev.00034.2015
Charles A. The pathophysiology of migraine: implications for clinical management. Lancet Neurol. 2018;17(2):174–182. DOI: 10.1016/S1474-4422(17)30435-0
Headache Classification Committee of the International Headache Society (IHS). The International Classification of Headache Disorders, 3rd edition.Cephalalgia. 2018;38(1):1–211. DOI: 10.1177/0333102417738202

A 54-year-old man presents with a 4-day history of unsteady gait, double vision, and drooping eyelids following a recent upper respiratory tract infection.
Neurological examination reveals bilateral ophthalmoplegia, absent deep tendon reflexes, and a broad-based ataxic gait.
Limb strength is preserved, but Romberg testing is positive and proprioception is impaired.
Nerve conduction studies show features of demyelination, and serum testing is positive for anti-GQ1b IgG antibodies.
The clinical picture is consistent with Miller Fisher Syndrome (MFS), a rare variant of Guillain-Barré Syndrome (GBS).
MFS is a rare subtype of GBS, accounting for approximately 5–10% of all cases.
It shows a male predominance (2:1) and typically affects adults in their fifth to sixth decade of life.
The incidence varies geographically, being more frequent in East Asia (notably Japan and Taiwan) than in Western countries.
Most cases are preceded by a respiratory or gastrointestinal infection, commonly caused by Campylobacter jejuni or Haemophilus influenzae.
Seasonal peaks often occur in the winter and spring months, paralleling common respiratory infection trends.
MFS is an autoimmune neuropathy triggered by molecular mimicry following infection, leading to cross-reactivity with neuronal gangliosides.
The hallmark antibody is anti-GQ1b IgG, which targets gangliosides highly expressed in oculomotor nerves and muscle spindle afferents.
Complement activation and immune-mediated demyelination result in conduction block, impaired nerve signaling, and neurological deficits.
Immune complexes may also disrupt nodes of Ranvier, contributing to conduction failure and secondary axonal injury.
This targeted immune response explains the classical triad of ophthalmoplegia, ataxia, and areflexia.
MFS classically presents with the triad of ophthalmoplegia, ataxia, and areflexia, often developing over several days.
Ophthalmoplegia is typically bilateral and symmetric, with involvement of cranial nerves III, IV, and VI.
Ataxia is due to proprioceptive dysfunction rather than cerebellar disease and is often severe despite preserved strength.
Limb weakness is usually absent or minimal, differentiating MFS from classic GBS.
Additional features may include facial weakness, sensory disturbances, and mild dysautonomia, but respiratory involvement is rare.
Diagnosis is clinical, supported by the presence of the classic triad and recent infectious history.
Cerebrospinal fluid (CSF) typically shows albuminocytologic dissociation (elevated protein with normal cell count) after the first week.
Anti-GQ1b IgG is present in over 85–90% of cases and is highly specific for MFS.
Differential diagnoses include brainstem stroke, Wernicke encephalopathy, myasthenia gravis, botulism, Bickerstaff brainstem encephalitis, and ocular myositis.
Neuroimaging is generally normal but may be warranted to exclude central causes if atypical features (e.g., altered mental status) are present.
MFS is generally self-limiting, with spontaneous recovery occurring over 6–12 weeks in most patients.
Immunotherapy with intravenous immunoglobulin (IVIg) or plasma exchange may accelerate recovery, particularly in severe or overlapping cases with GBS.
Supportive care includes monitoring for autonomic instability and providing physical therapy to aid gait recovery.
Corticosteroids are not recommended, as they have not demonstrated benefit.
Long-term prognosis is excellent, with over 90% of patients achieving full or near-full recovery without significant residual deficits.
Which of the following features is most characteristic of Miller Fisher Syndrome?
Answer: (B) Bilateral ophthalmoplegia, ataxia, and areflexia with positive anti-GQ1b antibodies This triad, along with anti-GQ1b positivity, is highly characteristic of Miller Fisher Syndrome and helps distinguish it from other neuromuscular disorders such as classic GBS.
Odaka M, Yuki N, Hirata K. Clinical features and prognosis of Miller Fisher syndrome. Neurology. 2001;56(8):1104–1106. DOI: 10.1212/WNL.56.8.1104
Chiba A, Kusunoki S, Obata H, Machinami R, Kanazawa I. Serum anti-GQ1b IgG antibody is associated with ophthalmoplegia in Miller Fisher syndrome and related disorders. Ann Neurol. 1993;33(6):583–587. DOI: 10.1212/wnl.43.10.1911
Willison HJ, Jacobs BC, van Doorn PA. Guillain–Barré syndrome. Lancet. 2016;388(10045):717–727.DOI: 10.1016/S0140-6736(16)00339-1

A 52-year-old woman presents with sudden onset foot drop in the right leg, followed by numbness and weakness in her left hand two weeks later.
She reports burning pain in the affected areas and unintentional weight loss over the past three months.
Examination reveals asymmetric motor weakness, patchy sensory loss, and absent ankle reflexes in affected territories.
Nerve conduction studies show axonal loss in the peroneal and ulnar nerves with sparing of other regions.
Laboratory tests reveal elevated ESR and positive ANCA, and nerve biopsy shows necrotizing vasculitis, confirming mononeuritis multiplex secondary to systemic vasculitis.
Mononeuritis multiplex (MNM) is an uncommon but important cause of peripheral neuropathy characterized by involvement of two or more non-contiguous peripheral nerves.
It accounts for less than 10% of all peripheral neuropathies but is a major neurological manifestation of systemic vasculitides.
MNM most frequently affects adults between 40 and 70 years, with a slight male predominance depending on the underlying etiology.
Common causes include systemic vasculitis (e.g., polyarteritis nodosa, microscopic polyangiitis), connective tissue diseases, infections, diabetes, and sarcoidosis.
Prompt diagnosis is essential because early treatment of the underlying cause significantly improves prognosis and functional outcomes.
MNM typically results from immune-mediated inflammation of epineurial blood vessels supplying peripheral nerves, leading to ischemic infarction.
Vasculitic neuropathies cause fibrinoid necrosis, vascular occlusion, and subsequent Wallerian degeneration of affected nerve segments.
The resulting nerve damage is patchy and multifocal, affecting both motor and sensory fibers in an asymmetric distribution.
Infectious and metabolic causes, such as leprosy or diabetes, may lead to similar pathology via direct nerve invasion or microvascular compromise.
Chronic inflammation can lead to secondary demyelination and axonal regeneration, contributing to variable recovery and relapsing presentations.
MNM typically presents with acute or subacute, asymmetric, multifocal motor and sensory deficits involving non-contiguous peripheral nerves.
Pain is a prominent early feature, often neuropathic and localized to affected nerves, followed by weakness and sensory loss.
Foot drop due to peroneal nerve involvement or wrist drop due to radial nerve involvement are classic presenting signs.
Over time, additional nerves may be affected sequentially, leading to a stepwise, patchy neurological deficit.
Autonomic involvement is uncommon but may occur in systemic diseases such as diabetes or amyloidosis.
Diagnosis is based on clinical presentation, electrophysiological evidence of asymmetric axonal neuropathy, and identification of the underlying cause.
Nerve conduction studies show reduced amplitudes and evidence of axonal loss in discrete nerves with relative sparing of others.
Laboratory evaluation includes inflammatory markers, autoantibody testing (e.g., ANCA, ANA), infection screening, and metabolic workup.
Nerve biopsy may demonstrate necrotizing vasculitis, perivascular inflammation, and ischemic changes, confirming the diagnosis in uncertain cases.
Differential diagnoses include multifocal motor neuropathy, MADSAM, leprosy, and neoplastic infiltration of nerves.
Management focuses on treating the underlying cause and preventing further nerve damage.
In vasculitic neuropathies, high-dose corticosteroids are first-line therapy, often combined with immunosuppressants such as cyclophosphamide or rituximab.
Infections require targeted antimicrobial therapy, while diabetic or sarcoid-associated MNM requires optimal disease control and immunomodulation.
Early initiation of therapy improves functional recovery, though residual deficits may persist due to irreversible axonal damage.
Physical and occupational therapy play a vital role in maximizing functional outcomes and improving quality of life.
Which of the following features most strongly suggests mononeuritis multiplex?
Answer: (B) Acute, asymmetric, multifocal involvement of non-contiguous nerves Mononeuritis multiplex classically presents with abrupt,asymmetric deficits involving multiple non-contiguous nerves due to ischemic infarction from vasculitic inflammation.

A 60-year-old man presents with progressive muscle twitching, severe insomnia, and recurrent hallucinations over six months.
He reports profuse sweating, palpitations, and unexplained weight loss, suggesting significant autonomic involvement.
Neurological examination shows widespread fasciculations, myokymia, and mild distal limb weakness.
EEG reveals nonspecific slowing, and serological testing is positive for anti-CASPR2 antibodies.
This presentation is characteristic of Morvan disease, a rare autoimmune encephalopathy associated with peripheral nerve hyperexcitability.
Morvan disease is extremely rare, with fewer than 150 cases reported worldwide.
It predominantly affects middle-aged to elderly men, most commonly between 50 and 70 years of age.
Many cases are paraneoplastic, often associated with thymoma or other neoplasms.
The disease course is typically subacute to chronic and often underrecognized due to its variable presentation.
Most cases are reported from Europe and Asia, but it occurs globally without ethnic predilection.
Morvan disease is an autoimmune disorder targeting the voltage-gated potassium channel (VGKC) complex, particularly CASPR2 and occasionally LGI1.
Autoantibody-mediated disruption of neuronal potassium channel function leads to hyperexcitability in peripheral and central neurons.
This immune response causes both neuromyotonia (peripheral nerve involvement) and encephalopathy (CNS involvement).
Dysautonomia arises from autonomic ganglia involvement, leading to cardiovascular, thermoregulatory, and gastrointestinal manifestations.
Thymoma or other tumors may trigger the autoimmune process as part of a paraneoplastic syndrome.
The classical triad includes neuromyotonia, dysautonomia, and encephalopathy.
Neuromyotonia presents as fasciculations, muscle cramps, stiffness,and myokymia, often continuous even at rest.
Dysautonomic features include hyperhidrosis, tachycardia, blood pressure instability, and severe insomnia.
Central nervous system involvement manifests as hallucinations, confusion, agitation, memory deficits, and sometimes seizures.
The disease course is variable, with potential for relapses and significant morbidity if untreated.
Diagnosis is based on clinical presentation, electrophysiological evidence of nerve hyperexcitability, and antibody testing.
EMG shows spontaneous discharges such as doublets, triplets, or neuromyotonic discharges.
Serum detection of anti-CASPR2 antibodies is highly suggestive and helps confirm the diagnosis.
Differential diagnoses include Isaacs syndrome (peripheral involvement without CNS signs), limbic encephalitis, prion disease, and paraneoplastic encephalomyelitis.
MRI is usually normal, and CSF findings are often mild or nonspecific, with occasional lymphocytic pleocytosis.
Immunotherapy with corticosteroids, IVIg, or plasma exchange is the mainstay of treatment.
Immunosuppressants such as azathioprine, mycophenolate, or rituximab may be used for refractory cases.
Symptomatic therapy with anticonvulsants (e.g., carbamazepine, phenytoin) can reduce neuromyotonia and improve autonomic symptoms.
In paraneoplastic cases, tumor identification and removal (e.g., thymectomy) are crucial and can significantly improve outcomes.
Long-term prognosis is generally favorable with treatment, but relapses may occur, requiring ongoing follow-up.
oindent Which of the following is most characteristic of Morvan disease?
Answer: (B) Neuromyotonia with severe insomnia, dysautonomia, and anti-CASPR2 antibodies This constellation of features, especially with VGKC-complex antibodies, is highly specific for Morvan disease.

A 9-year-old girl presents with recurrent transient ischemic attacks (TIAs) characterized by hemiparesis and speech arrest, often precipitated by crying or hyperventilation.
MRI reveals multiple small infarcts in the frontal and parietal lobes, and MR angiography shows severe bilateral stenosis of the distal internal carotid arteries.
Cerebral angiography demonstrates a classic “puff of smoke” appearance from collateral vessel proliferation.
There is no evidence of vasculitis or atherosclerosis, and family history is notable for a sibling with similar neurological episodes.
These findings are consistent with Moyamoya disease, a progressive cerebrovascular occlusive disorder predominantly affecting children.
Moyamoya disease is rare, with the highest prevalence in East Asian populations, especially in Japan, Korea, and China.
The estimated incidence is about 0.35 to 0.94 per 100,000 person-years, with a bimodal age distribution peaking in childhood (5–10 years) and in adults (30–40 years).
There is a slight female predominance, with a female-to-male ratio of approximately 1.8:1.
About 10–15% of cases have a familial occurrence, indicating a genetic predisposition, often linked to mutations in the RNF213 gene.
Moyamoya disease should be distinguished from “Moyamoya syndrome,” which occurs secondary to other conditions such as Down syndrome, neurofibromatosis type 1, or sickle cell disease.
The disease is characterized by progressive stenosis or occlusion of the distal internal carotid arteries and proximal segments of the anterior and middle cerebral arteries.
In response, a compensatory network of fragile, dilated collateral vessels develops at the base of the brain, producing the angiographic “moyamoya” appearance (Japanese for “hazy puff of smoke”).
Genetic mutations, particularly in RNF213, are implicated in familial cases and may contribute to abnormal vascular remodeling.
Chronic cerebral hypoperfusion results in recurrent ischemic events in children and, less commonly, intracranial hemorrhage in adults.
Pathologically, there is fibrocellular thickening of the intima, attenuation of the media, and disruption of the internal elastic lamina.
In children, recurrent TIAs or ischemic strokes are the most common presentation, often triggered by hyperventilation, crying, or fever.
Adults more frequently present with intracerebral hemorrhage due to rupture of fragile collateral vessels, often in the basal ganglia or thalamus.
Seizures, cognitive decline, developmental delay, and headaches may also occur.
Transient neurological symptoms such as weakness, aphasia, or visual disturbances are common and often reversible initially.
Progressive disease can lead to permanent neurological deficits, vascular dementia, or death if untreated.
Diagnosis is based on characteristic angiographic findings: bilateral stenosis of the distal internal carotid arteries with abnormal basal collateral networks.
MRI/MRA are useful non-invasive tools that can demonstrate vessel narrowing, ischemic lesions, and collateral circulation.
Digital subtraction angiography (DSA) remains the gold standard for diagnosis and grading disease severity.
Differential diagnoses include vasculitis (e.g., Takayasu arteritis), atherosclerotic cerebrovascular disease, fibromuscular dysplasia, and intracranial arterial dissection.
Laboratory studies are typically normal, and CSF analysis helps exclude inflammatory or infectious causes.
The primary goal of management is to prevent recurrent ischemic events and improve cerebral perfusion.
Surgical revascularization is the mainstay of treatment and includes direct procedures (e.g., superficial temporal artery to middle cerebral artery bypass) or indirect procedures (e.g., encephaloduroarteriosynangiosis).
Antiplatelet therapy (e.g., aspirin) may be used to reduce the risk of thromboembolic events, though evidence is limited.
Supportive care involves controlling seizures, avoiding hyperventilation, and managing risk factors such as hypertension.
Long-term prognosis depends on early diagnosis and successful revascularization, which significantly reduces the risk of stroke and improves neurological outcomes.
oindent Which of the following angiographic findings is most characteristic of Moyamoya disease?
Answer: (B) “Puff of smoke” appearance from basal collateral networks,This appearance on angiography is the hallmark of Moyamoya disease,representing proliferative collateral vessels in response to progressive intracranial arterial stenosis.
Scott RM, Smith ER. Moyamoya disease and moyamoya syndrome. N Engl J Med. 2009;360(12):1226–1237. DOI: 10.1056/NEJMra0804622
Kuroda S, Houkin K. Moyamoya disease: current concepts and future perspectives. Lancet Neurol. 2008;7(11):1056–1066. DOI: 10.1016/S1474-4422(08)70240-0
Ahn IM, Park DH, Hann HJ, et al. Incidence, prevalence, and survival of moyamoya disease in Korea: a nationwide, population-based study. Stroke. 2014;45(4):1090–1095. DOI: 10.1161/STROKEAHA.113.004273

A 55-year-old man presents with a 2-year history of asymmetric sensory loss and weakness in his right hand and left foot, gradually worsening over time.
He describes numbness, tingling, and difficulty gripping objects, without significant pain or systemic symptoms.
Examination reveals asymmetric distal weakness, patchy sensory deficits, and areflexia in multiple nerves, with no upper motor neuron signs.
Nerve conduction studies show multifocal conduction block affecting both motor and sensory nerves.
Based on clinical, electrophysiological, and laboratory findings, a diagnosis of MADSAM neuropathy is made, and he is started on intravenous immunoglobulin (IVIg) therapy.
MADSAM, also known as Lewis-Sumner syndrome, is a rare variant of chronic inflammatory demyelinating polyradiculoneuropathy (CIDP).
It accounts for approximately 6–15% of all CIDP cases and has a slight male predominance.
The typical age of onset is in the fifth or sixth decade of life, though cases have been reported in younger adults.
The disease is chronic and slowly progressive, often with a relapsing-remitting course.
Delay in diagnosis is common due to its focal and asymmetric presentation, often mimicking mononeuritis multiplex or multifocal motor neuropathy.
MADSAM is believed to be an autoimmune, immune-mediated demyelinating neuropathy targeting both sensory and motor peripheral nerves.
Autoantibodies, complement activation, and T-cell–mediated mechanisms contribute to segmental demyelination and secondary axonal degeneration.
Inflammatory infiltration at the level of nerve roots and peripheral nerves leads to conduction block and focal demyelination.
Unlike MMN, MADSAM affects sensory fibers significantly, leading to mixed motor-sensory deficits.
Pathology often shows demyelination, onion-bulb formation, and perivascular inflammatory infiltrates, similar to other CIDP variants.
MADSAM typically presents with asymmetric, multifocal weakness and sensory loss involving both upper and lower limbs.
The disease often starts distally, with involvement of individual peripheral nerves, such as radial, ulnar, or peroneal.
Sensory symptoms, including numbness, paresthesia, and impaired proprioception, are common and may precede weakness.
Deep tendon reflexes are usually reduced or absent, and ataxia may occur due to sensory involvement.
Cranial nerve involvement and autonomic symptoms are rare, distinguishing MADSAM from some other neuropathies.
Diagnosis is based on clinical features, electrodiagnostic evidence of multifocal demyelination, and exclusion of other causes of neuropathy.
Nerve conduction studies show conduction block, temporal dispersion, and prolonged distal latencies in both motor and sensory nerves.
Cerebrospinal fluid (CSF) analysis often reveals elevated protein without pleocytosis, consistent with an inflammatory demyelinating process.
Differential diagnoses include multifocal motor neuropathy (MMN), vasculitic neuropathy, hereditary neuropathies, and mononeuritis multiplex.
Nerve biopsy, rarely required, may demonstrate demyelination, onion-bulb formation, and perivascular inflammation.
IVIg is considered the first-line treatment and is effective in improving strength and sensory symptoms in most patients.
Corticosteroids and plasma exchange are also beneficial, particularly in cases unresponsive to IVIg.
Long-term immunosuppressive therapy (e.g., azathioprine, mycophenolate mofetil, rituximab) may be considered for refractory disease.
Early treatment is important to prevent irreversible axonal damage and maximize functional recovery.
Physical and occupational therapy are essential components of long-term management to maintain mobility and quality of life.
Which of the following features most strongly distinguishes MADSAM from ultifocal motor neuropathy (MMN)?
Answer: (C) Prominent sensory symptoms and deficits MADSAM typically affects both motor and sensory fibers, whereas MMN is characterized by purely motor involvement.
Saperstein DS, Amato AA, Wolfe GI, Katz JS, Nations SP, Jackson CE, Bryan WW, Burns DK, Barohn RJ. Multifocal acquired demyelinating sensory and motor neuropathy: the Lewis-Sumner syndrome. Muscle Nerve. 1999;22(5):560–566. DOI: 10.1002/(SICI)1097-4598(199905)22:5<560::AID-MUS2>3.0.CO;2-Q
Dimachkie MM, Barohn RJ, Katz J. Multifocal motor neuropathy, multifocal acquired demyelinating sensory and motor neuropathy, and other chronic acquired demyelinating polyneuropathy variants. Neurol Clin. 2013;31(2):533–555. DOI: 10.1016/j.ncl.2013.01.001

Differential Diagnoses: ALS | CIDP | Mononeuritis Multiplex | Inclusion Body Myositis
Related Symptoms: Focal distal weakness | Wrist drop | Hand atrophy | Fasciculations
Diagnostic Tools: Nerve Conduction Studies | Anti-GM1 Antibody Testing | Nerve Ultrasound/MRI
A 42-year-old man presents with gradually progressive weakness of his right hand over 18 months, interfering with fine motor tasks.
There is no sensory loss, pain, or systemic illness, and he denies exposure to toxins or infections.
Examination reveals asymmetric distal weakness and atrophy in radial and ulnar nerve territories, with preserved sensation.
Nerve conduction studies demonstrate focal conduction block in motor nerves without sensory involvement, and serum testing shows anti-GM1 IgM antibodies.
The patient improves significantly after intravenous immunoglobulin (IVIg), confirming multifocal motor neuropathy (MMN).
MMN is a rare, chronic, immune-mediated neuropathy with an estimated prevalence of 0.6–2 per 100,000 individuals.
It occurs twice as often in men as in women.
The usual age of onset is between 30 and 50 years, although pediatric and late-onset cases are described.
Because of its pure motor presentation, MMN is frequently misdiagnosed as motor neuron disease.
Early recognition is vital, as prompt immunotherapy prevents permanent axonal loss.
MMN presents with slowly progressive, asymmetric, distal limb weakness, most commonly in the upper limbs.
Wrist and finger extensor weakness may cause wrist drop or difficulty performing fine movements.
Sensory loss is absent, which differentiates MMN from other neuropathies.
Tendon reflexes are normal or mildly reduced in affected muscles.
Fasciculations and cramps may occur but are milder than those in amyotrophic lateral sclerosis (ALS).
Hand or wrist drop with pure motor involvement and conduction block on NCS strongly suggests MMN rather than ALS; prompt IVIg can halt axonal damage.
Diagnosis is based on asymmetric motor weakness with electrophysiologic evidence of conduction block in motor nerves.
Sensory conduction studies remain normal, confirming selective motor involvement.
Anti-GM1 IgM antibodies support the diagnosis but are not universally present.
Differentials include ALS, chronic inflammatory demyelinating polyneuropathy (CIDP), hereditary motor neuropathies, and vasculitic neuropathies.
Nerve ultrasound or MRI may reveal focal nerve enlargement or T2 hyperintensity consistent with inflammatory demyelination.
Differential Diagnosis Comparison:
| Feature | MMN | ALS | CIDP | Hereditary Motor Neuropathy |
|---|---|---|---|---|
| Sensory Symptoms | Absent | Absent | Present | Absent |
| UMN Signs | Absent | Present | Absent | Absent |
| Conduction Block | Present (motor) | Absent | Possible (motor + sensory) | Absent |
| Response to IVIg | Dramatic | None | Variable | None |
| Course | Slowly progressive, treatable | Rapid, fatal | Fluctuating | Slowly progressive, genetic |
Immunotherapy:
| Therapy | Regimen | Notes |
|---|---|---|
| IVIg | 2 g/kg loading over 2–5 days; maintenance 0.4–1 g/kg q2–6 weeks | First-line; monitor strength to adjust interval |
| Cyclophosphamide or Rituximab | Case-by-case | Consider for IVIg-refractory patients |
| Ineffective/Harmful | Corticosteroids, plasmapheresis | May worsen weakness |
Supportive Care: - Physical/occupational therapy, orthotic support for wrist drop. - Monitor for IVIg adverse effects (thrombosis, renal dysfunction). - Patient education on recognizing relapses; prompt retreatment.
Management Algorithm: 1. Confirm diagnosis via clinical and electrodiagnostic criteria. 2. Initiate IVIg; assess response after loading cycle. 3. Establish maintenance schedule tailored to recurrence; consider subcutaneous Ig for stable patients. 4. Escalate therapy (rituximab, cyclophosphamide) if IVIg dependence is high or response wanes. 5. Rehabilitation & monitoring: Track strength, function, and nerve conduction; adjust therapy accordingly.
Which of the following features most strongly supports a diagnosis of multifocal motor neuropathy rather than amyotrophic lateral sclerosis (ALS)?
Answer: (C) Conduction block on motor nerve conduction studies without sensory involvement. This electrophysiologic finding is characteristic of MMN and differentiates it from ALS, which shows diffuse lower and upper motor neuron involvement without conduction block.

Differential Diagnoses: ADEM | Neuromyelitis Optica (NMOSD) | CNS Vasculitis | Sarcoidosis
Related Symptoms: Optic Neuritis | Ataxia | Numbness | Muscle Weakness | Diplopia
Diagnostic Tests: Lumbar Puncture | MRI | Visual Evoked Potentials
A 28-year-old woman presents with acute onset blurred vision and pain in her right eye, followed weeks later by numbness and weakness in her left leg.
Neurological examination reveals a right afferent pupillary defect and increased reflexes with a positive Babinski sign on the left.
MRI of the brain shows multiple ovoid hyperintense lesions in the periventricular white matter, with one enhancing lesion on gadolinium contrast.
Cerebrospinal fluid (CSF) analysis demonstrates oligoclonal bands and elevated IgG index.
The clinical presentation and investigations are consistent with a diagnosis of multiple sclerosis (MS), a chronic immune-mediated demyelinating disease of the central nervous system.

Axial FLAIR images showing periventricular white matter lesion suggestive of MS
📹 Watch Video: MS{:target=“_blank”}
MS affects approximately 2.8 million people worldwide, with an incidence of 2–10 per 100,000 per year and a prevalence highest in temperate regions.
The disease predominantly affects young adults, with a peak onset between ages 20 and 40 years.
There is a strong female predominance, with a female-to-male ratio of about 3:1.
Genetic susceptibility is influenced by HLA-DRB1*1501 and other immune-related alleles, with increased risk among first-degree relatives.
Environmental risk factors include low vitamin D levels, Epstein–Barr virus infection, smoking, and high latitude residence.
MS is an autoimmune demyelinating disease characterized by immune-mediated destruction of CNS myelin and axonal injury.
Activated T lymphocytes (especially Th1 and Th17 cells) cross the blood-brain barrier and initiate an inflammatory cascade targeting myelin antigens.
Demyelination disrupts saltatory conduction, resulting in neurological deficits, while chronic inflammation leads to axonal degeneration and progressive disability.
Lesions are typically disseminated in space (multiple CNS sites) and time (relapsing episodes), often centered around venules in the periventricular white matter.
Pathologically, MS plaques demonstrate perivascular lymphocytic infiltration, demyelination, relative axonal preservation initially, and astroglial scarring.
Key Mechanisms: - Autoimmune T-cell activation (Th1, Th17) - Blood-brain barrier disruption - Myelin destruction via inflammatory cascade - Axonal degeneration in chronic lesions - Perivenular demyelination pattern - Astroglial scar formation (sclerosis)
MS typically presents with relapsing-remitting episodes of neurological dysfunction separated in time and affecting different CNS sites.
Common manifestations include optic neuritis, transverse myelitis, internuclear ophthalmoplegia, sensory disturbances, and limb weakness.
Less frequent features include cerebellar ataxia, trigeminal neuralgia, cognitive impairment, and fatigue.
Heat sensitivity (Uhthoff’s phenomenon) and paroxysmal symptoms may occur.
Disease course varies, with most patients initially relapsing-remitting, but a subset progresses to secondary progressive MS.
Uhthoff’s phenomenon (worsening symptoms with heat/exercise) is classic for MS. Look for dissemination in space AND time: multiple CNS locations affected at different timepoints. Oligoclonal bands present in >90% of MS patients.
Diagnosis is based on the McDonald criteria, requiring dissemination in space and time, supported by clinical, radiological, and CSF evidence.
MRI is the gold standard for detecting demyelinating lesions, especially periventricular, juxtacortical, infratentorial, and spinal cord plaques.
CSF analysis often reveals oligoclonal IgG bands and elevated IgG index, seen in over 90% of patients.
Evoked potentials (e.g., visual evoked potentials) can detect subclinical lesions.
Differential diagnoses include neuromyelitis optica spectrum disorder (NMOSD), acute disseminated encephalomyelitis (ADEM), CNS vasculitis, sarcoidosis, and infections such as HIV or syphilis.
Differential Diagnosis Comparison:
| Feature | MS | NMOSD | ADEM |
|---|---|---|---|
| Age | 20-40 years | Any age (often older) | Children (5-8 yr) |
| Course | Relapsing-remitting | Relapsing, more severe | Monophasic |
| Optic Neuritis | Unilateral, good recovery | Bilateral, poor recovery | Rare |
| Spinal Lesions | <2 vertebral segments | >3 segments (LETM) | Variable |
| Brain MRI | Periventricular ovoid lesions | Less prominent | Large, bilateral, poorly demarcated |
| CSF OCBs | Present (>90%) | Usually absent | Absent/transient |
| Antibodies | None specific | Anti-AQP4, Anti-MOG | None |
| Encephalopathy | Absent | Rare | Prominent |
MS Diagnosis requires: 1. Dissemination in Space (≥2 characteristic CNS lesions) - Periventricular, juxtacortical, infratentorial, or spinal cord 2. Dissemination in Time (≥1 of following): - New T2 or gadolinium-enhancing lesion on follow-up MRI - Simultaneous gadolinium-enhancing and non-enhancing lesions - Historical clinical attack + current lesions 3. No better explanation for symptoms 4. Supportive evidence: - CSF oligoclonal bands (>90% of MS) - Elevated IgG index
Acute Relapse Treatment:
| Treatment | Dose | Route | Duration | Evidence Grade | Use |
|---|---|---|---|---|---|
| Methylprednisolone | 1 g/day | IV | 3-5 days | Grade A | First-line for acute relapse |
| Oral Prednisone | 1250 mg/day | PO | 3-5 days | Grade B | Alternative if IV not available |
| Plasma Exchange | 5-7 exchanges | - | 10-14 days | Grade B | For steroid-refractory cases |
Disease-Modifying Therapies (DMTs):
| Class | Examples | Route | Efficacy | Evidence Grade |
|---|---|---|---|---|
| Injectable | Interferon-β, Glatiramer acetate | SC/IM | Moderate (30-35% reduction) | Grade A |
| Oral | Fingolimod, Teriflunomide, Dimethyl fumarate | PO | Moderate-High (40-55%) | Grade A |
| Monoclonal Abs | Ocrelizumab, Natalizumab, Alemtuzumab | IV | High (50-70% reduction) | Grade A |
Treatment Algorithm:
Prognosis: - Variable course: 85% start as relapsing-remitting - 50-70% develop secondary progressive MS within 15-20 years - Early DMT initiation improves long-term outcomes - 10-15% have benign course with minimal disability
Which of the following MRI findings is most characteristic of multiple Sclerosis?
Answer: (B) Ovoid periventricular lesions oriented perpendicular to the ventricles (Dawson’s fingers) These lesions reflect demyelinating plaques along medullary veins and are a hallmark imaging feature of MS.

A 7-year-old boy is brought to the clinic with progressive difficulty climbing stairs and frequent falls over the past year.
His parents note calf muscle enlargement and a waddling gait, and he uses his hands to push himself upright from the floor (Gowers’ sign).
Neurological examination reveals proximal lower limb weakness and pseudohypertrophy of the calves.
Serum creatine kinase (CK) is markedly elevated, and genetic testing identifies a deletion in the DMD gene.
These findings are consistent with Duchenne muscular dystrophy (DMD), the most common form of muscular dystrophy in children.
Muscular dystrophies (MDs) are a group of inherited myopathies characterized by progressive muscle weakness and degeneration.
Duchenne muscular dystrophy is the most frequent, affecting approximately 1 in 3,500 live male births, followed by Becker muscular dystrophy (BMD) with a milder course.
Limb-girdle, facioscapulohumeral, Emery-Dreifuss, and myotonic dystrophies are less common but collectively contribute to significant neuromuscular morbidity.
Most MDs present in childhood, though some forms (e.g., myotonic dystrophy) may manifest in adulthood.
There is a strong genetic component, with inheritance patterns including X-linked (e.g., DMD/BMD), autosomal dominant, and autosomalrecessive.
Muscular dystrophies result from mutations in genes encoding structural or regulatory proteins critical to muscle fiber integrity and function.
DMD and BMD arise from mutations in the DMD gene on the X chromosome, leading to absent (DMD) or reduced (BMD) dystrophin, a key sarcolemmal cytoskeletal protein.
The loss of dystrophin disrupts the dystrophin-glycoprotein complex, causing increased membrane fragility and muscle fiber necrosis.
Chronic cycles of degeneration and regeneration eventually lead to muscle fibrosis, fatty infiltration, and irreversible weakness.
Other forms, such as facioscapulohumeral or limb-girdle dystrophies, involve mutations in genes encoding sarcolemmal, nuclear, or extracellular matrix proteins.
The hallmark is progressive skeletal muscle weakness, typically beginning in proximal muscles and later involving distal and respiratory muscles.
Duchenne MD often manifests between ages 2 and 5 with delayed motor milestones, frequent falls, and pseudohypertrophy of the calves.
Cardiac involvement (dilated cardiomyopathy, conduction abnormalities) and respiratory failure are major causes of morbidity and mortality.
Cognitive impairment is seen in some forms (notably DMD), while contractures and scoliosis develop as disease progresses.
Other forms have distinctive features, such as scapular winging in facioscapulohumeral MD or early contractures in Emery-Dreifuss MD.
Diagnosis involves a combination of clinical features, elevated serum CK, electromyography showing myopathic changes, and muscle biopsy demonstrating dystrophic pathology.
Genetic testing is the gold standard, identifying specific gene mutations and enabling carrier detection and prenatal diagnosis.
MRI of skeletal muscle can aid in characterizing distribution and severity of involvement.
Differential diagnoses include congenital myopathies, metabolic myopathies, inflammatory myopathies, and neuromuscular junction disorders.
Cardiac evaluation and pulmonary function testing are essential for assessing systemic involvement and guiding management.
There is currently no cure, but multidisciplinary management can significantly prolong survival and improve quality of life.
Glucocorticoids (e.g., prednisone, deflazacort) slow disease progression and preserve ambulation in DMD.
Emerging therapies, such as exon-skipping (eteplirsen) and gene replacement therapy, offer targeted approaches for select mutations.
Supportive care includes physical therapy, orthopedic interventions for contractures and scoliosis, non-invasive ventilation, and cardioprotective medications (e.g., ACE inhibitors).
Genetic counseling is crucial for affected families, and early diagnosis allows for anticipatory care and clinical trial enrollment.
Which of the following best describes the primary pathophysiological defect in Duchenne muscular dystrophy?
Answer: (B) Absence of dystrophin leading to sarcolemmal instability
Mercuri E, Muntoni F. Muscular dystrophies. Lancet. 2013;381(9869):845–860.
Bushby K, et al. Diagnosis and management of Duchenne muscular dystrophy, part 1: diagnosis, and pharmacological and psychosocial management. Lancet Neurol. 2010;9(1):77–93.
Hoffman EP, Brown RH Jr, Kunkel LM. Dystrophin: the protein product of the Duchenne muscular dystrophy locus. Cell. 1987;51(6):919–928.

Differential Diagnoses: Lambert-Eaton Myasthenic Syndrome | Botulism | Motor Neuron Disease
Related Symptoms: Ptosis | Diplopia | Dysphagia | Muscle Weakness
Diagnostic Tests: EMG/NCS | Antibody Testing
See Also: Myasthenic Crisis | Thymoma
A 32-year-old woman presents with progressive double vision and drooping eyelids that worsen by evening and improve with rest.
Over several weeks, she develops difficulty chewing and swallowing, with occasional shortness of breath.
Neurological examination reveals fatigable weakness of the extraocular muscles and proximal limb muscles, with preserved reflexes and sensation.
Administration of edrophonium (a short-acting acetylcholinesterase inhibitor) produces transient improvement in muscle strength.
These findings are consistent with myasthenia gravis (MG), an autoimmune disorder affecting the neuromuscular junction.
MG has an estimated prevalence of 20–50 per 100,000 population worldwide, with incidence rates of 3–5 per million per year.
The disease shows a bimodal age distribution: young women (20–40) years) and older men (60–80 years).
There is no significant ethnic predilection, although incidence may vary geographically.
Thymic abnormalities, including thymic hyperplasia (65%) and thymoma (10–15%), are common associations.
Advances in diagnosis and treatment have significantly improved survival, with most patients achieving near-normal life expectancy.
MG is an autoimmune disease characterized by antibodies targeting components of the postsynaptic neuromuscular junction.
Most commonly, antibodies are directed against the acetylcholine receptor (AChR); others include muscle-specific kinase (MuSK) and low-density lipoprotein receptor-related protein 4 (LRP4).
These autoantibodies reduce functional AChR density through complement-mediated destruction, receptor internalization, and blockade of receptor function.
The result is impaired neuromuscular transmission, manifesting as fluctuating muscle weakness and fatigability.
Thymic abnormalities contribute to autoimmune activation by supporting autoreactive T-cell development.
Key Mechanisms: - AChR antibody (80-85%): Complement-mediated receptor destruction - MuSK antibody (5-8%): Impaired receptor clustering, IgG4-mediated (no complement) - LRP4 antibody (<5%): Disrupts agrin-LRP4-MuSK signaling - Thymic role: Hyperplasia or thymoma drives autoimmune response - Decremental response: Reduced ACh quanta → fatigue with repetition
The hallmark feature is fluctuating muscle weakness that worsens with exertion and improves with rest (“fatigability”).
Ocular involvement occurs in over 50% of patients, presenting with ptosis and diplopia. 15% remain purely ocular.
Bulbar symptoms such as dysarthria, dysphagia, and chewing fatigue are common in generalized MG.
Limb and axial muscle weakness can occur, typically affecting proximal muscles more than distal ones.
Respiratory muscle involvement can lead to life-threatening myasthenic crisis, often precipitated by infection or medication.
Classic triad: Ptosis + diplopia + fatigable weakness that worsens by evening and improves with rest. Ice pack test for ptosis (>2mm improvement) is 80% sensitive. Edrophonium test is obsolete (cardiac risks). MuSK-positive MG → predominantly bulbar/facial weakness, less ocular involvement, poorer response to cholinesterase inhibitors.
Diagnostic Approach: - Diagnosis is based on clinical features, antibody testing, neurophysiological studies, and pharmacologic response.
Differential Diagnosis Comparison:
| Feature | Myasthenia Gravis | LEMS | Botulism | ALS |
|---|---|---|---|---|
| Weakness Pattern | Ocular > bulbar > limb | Proximal limb > ocular rare | Descending (cranial → limb) | Asymmetric, progressive |
| Fatigability | Worsens with use | Improves with use | Stable/worsens | Progressive, no fatigue |
| Autonomic | Absent | Dry mouth, impotence | Dilated pupils, ileus | Absent |
| Reflexes | Normal/brisk | Reduced, post-exercise facilitation | Reduced/absent | Hyperreflexia + Babinski |
| EMG Pattern | Decremental (RNS) | Incremental >100% (RNS) | Decremental | Fibrillations, fasciculations |
| Antibodies | AChR (80-85%), MuSK (5-8%) | P/Q-type VGCC (85-90%) | None (toxin assay) | None |
| Association | Thymus (75%) | Small cell lung cancer (60%) | Contaminated food | None |
Definite MG requires ONE of: 1. Positive antibodies: AChR, MuSK, or LRP4 2. Abnormal neurophysiology + clinical improvement with cholinesterase inhibitors: - RNS with >10% decrement, OR - Single-fiber EMG with increased jitter/blocking 3. Clinical improvement with immunotherapy in seronegative cases
Supporting features: - Fluctuating fatigable weakness - Ocular and/or bulbar involvement - Improvement with rest - Thymic abnormality on CT chest
Symptomatic Treatment (Cholinesterase Inhibitors):
| Drug | Dose | Route | Onset | Evidence Grade | Notes |
|---|---|---|---|---|---|
| Pyridostigmine | 30-120 mg q4-6h (max 600 mg/day) | PO | 30-60 min | Grade A | First-line symptomatic; avoid overdose (cholinergic crisis) |
| Neostigmine | 15 mg q4h | PO | 45-75 min | Grade B | Alternative to pyridostigmine |
Immunosuppressive Therapy (Long-term Control):
| Drug | Dose | Onset of Effect | Evidence Grade | Key Notes |
|---|---|---|---|---|
| Prednisone | 0.5-1 mg/kg/day (start 10-20 mg, titrate up) | 2-4 weeks | Grade A | Taper after improvement; initial worsening possible |
| Azathioprine | 2-3 mg/kg/day (max 200 mg) | 6-12 months | Grade A | Steroid-sparing; monitor LFTs, CBC |
| Mycophenolate | 1,000-1,500 mg BID | 6-12 months | Grade B | Better tolerated than azathioprine; teratogenic |
| Cyclosporine | 3-5 mg/kg/day divided BID | 4-8 weeks | Grade B | Faster onset; monitor BP, creatinine |
| Tacrolimus | 3-5 mg/day | 4-8 weeks | Grade C | Alternative to cyclosporine |
| Rituximab | 375 mg/m² weekly × 4, or 1 g × 2 | 3-6 months | Grade B | Especially MuSK+ MG; monitor infections |
Rapid Immunomodulation (Crisis/Severe Exacerbation):
| Intervention | Protocol | Evidence Grade | Indications |
|---|---|---|---|
| IVIG | 2 g/kg over 2-5 days | Grade A | Myasthenic crisis, severe exacerbation, preoperative |
| Plasma Exchange (PLEX) | 5 exchanges over 10-14 days | Grade A | Myasthenic crisis, refractory cases |
| Eculizumab | 900 mg weekly × 4, then 1,200 mg q2 weeks | Grade B | Refractory generalized AChR+ MG (complement inhibitor) |
Surgical Treatment:
| Indication | Timing | Evidence Grade | Expected Benefit |
|---|---|---|---|
| Thymoma | Urgent (malignancy risk) | Grade A | Tumor control; variable MG improvement |
| Generalized AChR+ MG (age <60) | Within 2 years of onset | Grade A | 50-60% remission/minimal manifestation at 3 years |
| Pure ocular MG | Not indicated | Grade C | Low benefit |
Treatment Algorithm:
Medications to AVOID in MG: - ❌ Antibiotics: Aminoglycosides, fluoroquinolones, macrolides - ❌ Cardiac: Beta-blockers, calcium channel blockers, quinidine - ❌ Neuromuscular: Muscle relaxants, magnesium - ❌ Other: D-penicillamine, interferon-alpha, checkpoint inhibitors
Which of the following best distinguishes myasthenia gravis from Lambert-Eaton myasthenic syndrome (LEMS)?
Answer: (B) Presence of ocular symptoms such as ptosis and diplopia Ocular involvement is characteristic of MG and rare in LEMS, which typically improves with repeated activity due to presynaptic facilitation.

A 28-year-old woman presents with sudden onset bilateral vision loss over three days, preceded by eye pain on movement.
MRI of the brain and orbits shows bilateral optic nerve enhancement without significant demyelinating lesions elsewhere.
Serum testing is positive for myelin oligodendrocyte glycoprotein (MOG)-IgG antibodies using a live cell-based assay.
Over the next few weeks, she develops new neurological deficits including lower limb weakness and bladder dysfunction.
These findings are consistent with MOGAD, an inflammatory demyelinating disease distinct from multiple sclerosis (MS) and neuromyelitis optica spectrum disorder (NMOSD).
MOGAD is a rare autoimmune demyelinating disease of the central nervous system (CNS), accounting for ~5–10% of cases initially suspected to be MS or NMOSD.
It affects both children and adults, with a slight male predominance in pediatric cases and a female predominance in adults.
The mean age of onset is between 20 and 40 years, though cases can occur across the lifespan.
Pediatric cases often present as acute disseminated encephalomyelitis (ADEM), while adults frequently present with optic neuritis or transverse myelitis.
Relapsing disease occurs in about 30–50% of patients, but overall prognosis is better than MS or AQP4-positive NMOSD.
MOGAD is mediated by pathogenic IgG1 antibodies directed against myelin oligodendrocyte glycoprotein, a surface protein on CNS myelin.
These antibodies trigger complement activation, antibody-dependent cellular cytotoxicity, and demyelination.
Unlike MS, MOGAD lacks significant T-cell infiltration and chronic neurodegeneration.
It is considered a distinct nosological entity from AQP4-positive NMOSD, which targets astrocytic aquaporin-4 channels.
The disease is monophasic in many patients, though recurrent episodes are possible, especially without long-term immunotherapy.
Common presentations include optic neuritis (often bilateral), transverse myelitis (usually longitudinally extensive), and ADEM-like encephalitis (especially in children).
Optic neuritis in MOGAD typically shows marked optic disc swelling and severe visual loss, but visual recovery is often good.
Myelitis may cause acute paraparesis or quadriparesis, sensory level, and autonomic dysfunction.
Brain involvement can mimic MS but often has ill-defined or fluffy lesions, sometimes involving the deep gray matter.
Relapses, if they occur, are often milder and more steroid-responsive compared to AQP4-NMOSD.
Diagnosis is based on a compatible clinical syndrome, MRI findings, and detection of serum MOG-IgG using a live cell-based assay.
CSF may show mild pleocytosis and elevated protein but rarely has oligoclonal bands.
MRI findings include longitudinally extensive spinal cord lesions and optic nerve enhancement often involving the anterior segments.
Differentials include multiple sclerosis, AQP4-NMOSD, infectious myelitis, and paraneoplastic demyelination.
AQP4-IgG and MOG-IgG should both be tested to accurately differentiate MOGAD from NMOSD.
Acute treatment involves high-dose intravenous corticosteroids,followed by a slow taper over weeks.
Plasma exchange or IVIG is used for severe or steroid-refractory attacks.
Maintenance therapy is considered in relapsing disease and may includem azathioprine, mycophenolate mofetil, rituximab, or IVIG.
Long-term immunotherapy is often not required for monophasic cases.
Regular monitoring with MRI and antibody titers can help guide treatment duration and relapse prevention.
Which of the following features most reliably distinguishes MOGAD from AQP4-positive NMOSD?
Answer: (C) Good visual recovery and steroid responsiveness While both diseases can cause optic neuritis and extensive myelitis, MOGAD is characterized by better recovery and higher responsiveness to corticosteroids compared to AQP4-positive NMOS

A 45-year-old man presents with a 6-month history of progressive proximal muscle weakness, particularly noticeable when climbing stairs and combing his hair.
He denies sensory symptoms but reports mild myalgias and occasional difficulty swallowing.
Neurological examination reveals symmetric weakness of the hip flexors and shoulder abductors, with preserved reflexes and sensation.
Serum creatine kinase (CK) levels are elevated, and electromyography shows a myopathic pattern with small, short-duration motor unit potentials.
Muscle biopsy demonstrates endomysial inflammation and necrotic fibers, consistent with an inflammatory myopathy.
Myopathies are a heterogeneous group of diseases affecting skeletal muscle, with an estimated prevalence of 50–100 per million population.
They can be classified as hereditary (e.g., muscular dystrophies, metabolic myopathies, congenital myopathies) or acquired (e.g., inflammatory, endocrine, toxic).
Inflammatory myopathies such as polymyositis, dermatomyositis, and inclusion body myositis are more common in adults, particularly between 30 and 60 years.
Genetic myopathies, including Duchenne and Becker muscular dystrophies, typically present in childhood, whereas limb-girdle muscular dystrophies manifest in adolescence or adulthood.
Risk factors for acquired myopathies include autoimmune disease, infections, certain medications (e.g., statins, steroids), and systemic illnesses such as thyroid disorders.
Myopathies arise from diverse mechanisms, including genetic mutations affecting structural or metabolic proteins, immune-mediated muscle fiber injury, and toxic or metabolic disturbances.
Inflammatory myopathies are characterized by T-cell or antibody-mediated immune responses leading to muscle fiber necrosis and regeneration.
Metabolic myopathies result from defects in enzymes involved in glycogen, lipid, or mitochondrial metabolism, causing exercise intolerance and muscle breakdown.
Muscular dystrophies involve mutations in structural proteins such as dystrophin or sarcoglycan, resulting in membrane instability and progressive muscle degeneration.
Drug-induced or endocrine myopathies often involve reversible muscle damage secondary to metabolic derangements or direct cytotoxic effects.
The hallmark of myopathies is symmetric, proximal muscle weakness, typically affecting the shoulder and pelvic girdle muscles.
Patients may experience difficulty climbing stairs, rising from a seated position, or lifting objects overhead.
Myalgias, muscle cramps, and fatigue are common, although sensory function remains intact.
Specific signs may point to subtypes: skin rash in dermatomyositis, distal involvement in inclusion body myositis, or episodic rhabdomyolysis in metabolic myopathies.
Cardiac and respiratory involvement may occur in certain myopathies, particularly dystrophinopathies and mitochondrial myopathies.
Diagnosis involves a combination of clinical assessment, laboratory evaluation, neurophysiological testing, and muscle biopsy.
Elevated serum CK, aldolase, and transaminases suggest active muscle injury, while specific autoantibodies can help classify inflammatory myopathies.
Electromyography typically shows a myopathic pattern with small, short-duration motor unit potentials and early recruitment.
Muscle biopsy reveals characteristic histopathological features such as necrosis, inflammation, vacuoles, or specific protein accumulations.
Differential diagnoses include neuropathies, neuromuscular junction disorders (e.g., myasthenia gravis), motor neuron disease, and deconditioning.
Treatment depends on the underlying cause and may include immunosuppressive therapy, enzyme replacement, dietary modifications, or supportive care.
Inflammatory myopathies are managed with corticosteroids as first-line therapy, often combined with steroid-sparing agents such as azathioprine or methotrexate.
Metabolic myopathies may respond to dietary interventions (e.g., high-carbohydrate meals before exercise) or specific enzyme replacement therapies.
Supportive care includes physical therapy, respiratory support, and management of complications such as cardiac involvement.
Genetic counseling and targeted therapies are emerging for hereditary myopathies, particularly those involving defined molecular defects.
Which of the following findings best distinguishes myopathy from neuropathy?
Answer: (A) Proximal muscle weakness with preserved reflexes Myopathies characteristically present with proximal weakness and preserved reflexes and sensation, whereas neuropathies typically cause distal weakness, sensory deficits, and reduced reflexes.

Differential Diagnoses: Muscular Dystrophy | Metabolic Myopathy | Statin Myopathy | Neuromuscular Junction Disorders
Related Symptoms: Proximal weakness | Myalgias | Rash | Dysphagia
Diagnostic Tools: CK/Aldolase | Autoantibody Panels | Muscle MRI/Biopsy
A 52-year-old woman presents with progressive difficulty climbing stairs and rising from a chair over the past 4 months.
She reports mild muscle pain and fatigue but denies sensory loss or fasciculations.
Examination reveals symmetric proximal muscle weakness in the hip and shoulder girdles, with preserved deep tendon reflexes and normal sensation.
Serum creatine kinase (CK) is markedly elevated, and electromyography shows small, short-duration motor unit potentials.
Muscle biopsy reveals lymphocytic infiltration and muscle fiber necrosis, consistent with idiopathic inflammatory myositis.
Myositis refers to a group of idiopathic inflammatory myopathies(IIMs), including polymyositis, dermatomyositis, and inclusion body myositis (IBM).
The combined incidence of IIMs is approximately 1–10 per million per year, with a female predominance, particularly in polymyositis and dermatomyositis.
Polymyositis and dermatomyositis commonly present between 30 and 60 years of age, while IBM typically affects individuals over 50.
Dermatomyositis is often associated with malignancies (e.g., ovarian, breast, lung), particularly in older adults.
Genetic susceptibility (e.g., HLA-DRB1 alleles) and environmental factors (e.g., viral infections, drugs) contribute to disease development.
The hallmark is symmetric proximal muscle weakness, particularly involving hip and shoulder girdle muscles, leading to difficulties in climbing stairs or combing hair.
Myalgias and muscle tenderness may occur but are often mild or absent.
Dermatomyositis presents with characteristic cutaneous features such as heliotrope rash, Gottron papules, and photosensitive rashes.
Extra-muscular involvement may include interstitial lung disease, dysphagia, cardiac conduction abnormalities, and increased malignancy risk.
IBM is distinct in its asymmetric, slowly progressive weakness, often affecting distal muscles such as finger flexors and quadriceps.
Think dermatomyositis when a heliotrope rash or Gottron papules accompany proximal weakness—screen for malignancy (especially in anti-TIF1-γ–positive patients).
Diagnosis is based on a combination of clinical features, elevated muscle enzymes (CK, aldolase), autoantibody testing, electromyography, and muscle biopsy.
MRI of muscle can identify areas of inflammation and guide biopsy site selection.
Autoantibody panels help classify subtypes and predict clinical course (e.g., anti-Mi-2 in dermatomyositis, anti-SRP in severe polymyositis).
Differential diagnoses include muscular dystrophies, metabolic myopathies, drug-induced myopathy (e.g., statins, steroids), hypothyroid myopathy, and neuromuscular junction disorders.
Malignancy screening is recommended in dermatomyositis due to its strong paraneoplastic association.
Differential Diagnosis Comparison:
| Feature | Myositis (PM/DM) | Inclusion Body Myositis | Muscular Dystrophy | Neuropathy |
|---|---|---|---|---|
| Weakness pattern | Symmetric proximal | Asymmetric, distal + quadriceps | Variable (often proximal) | Distal > proximal |
| Reflexes | Preserved until late | Preserved | Reduced in advanced disease | Reduced |
| CK level | Elevated (often >10×) | Mild-moderate elevation | Variable | Normal/mildly ↑ |
| Biopsy | Endomysial/perifascicular inflammation | Rimmed vacuoles, endomysial inflammation | Dystrophic changes | Axonal loss |
| Autoantibodies | MSA/MSA+ | None specific | None | None |
First-line therapy involves high-dose corticosteroids (e.g., prednisone 1 mg/kg/day), followed by a slow taper based on clinical response and CK normalization.
Immunosuppressive agents such as azathioprine, methotrexate, or mycophenolate mofetil are used as steroid-sparing options or for refractory disease.
Intravenous immunoglobulin (IVIG) or rituximab may be effective in severe or treatment-resistant cases, especially in dermatomyositis.
Supportive care includes physical therapy, management of respiratory or cardiac involvement, and treatment of interstitial lung disease if present.
Regular malignancy surveillance is crucial in dermatomyositis, and long-term follow-up is essential due to potential relapses.
First-line Therapy:
| Strategy | Details |
|---|---|
| Corticosteroids | Prednisone 1 mg/kg/day (max 60–80 mg) with slow taper; consider IV methylpred pulses in severe disease |
| Steroid-sparing agents | Azathioprine, methotrexate, mycophenolate mofetil added early to reduce steroid exposure |
Second-line / Refractory:
| Scenario | Therapy |
|---|---|
| Dermatomyositis/polymyositis refractory | IVIG, rituximab, cyclophosphamide |
| Necrotizing autoimmune myopathy (anti-SRP/HMGCR) | Aggressive immunosuppression (IVIG + rituximab) |
| Inclusion body myositis | Limited response to immunotherapy; focus on rehab, assistive devices |
Supportive Care: - Physical/occupational therapy to maintain strength and prevent contractures. - Speech/swallow evaluation for dysphagia; nutritional support. - ILD management (e.g., mycophenolate, tacrolimus) when present. - Malignancy surveillance in dermatomyositis.
Management Algorithm: 1. Confirm diagnosis via labs, autoantibodies, biopsy. 2. Start high-dose steroids + steroid-sparing agent; monitor CK and strength. 3. Assess response at 4–8 weeks; escalate to IVIG/rituximab if inadequate. 4. Address complications (ILD, dysphagia) with targeted therapy. 5. Long-term maintenance: Gradual taper to lowest effective immunosuppression; regular monitoring for relapse and malignancy.
Which of the following findings is most characteristic of dermatomyositis compared to polymyositis?
Answer: (B) Perivascular inflammation with complement deposition. Dermatomyositis is distinguished by perivascular and perifascicular inflammation, complement activation, and characteristic cutaneous manifestations, whereas polymyositis shows endomysial CD8\(^{+}\) T-cell infiltration.

A 15-year-old male presents with lifelong muscle stiffness, especially after rest, which improves with repeated activity (warm-up phenomenon).
He reports difficulty initiating movement after sitting, but once he starts walking or climbing stairs, the stiffness diminishes.
There is no muscle pain or weakness, but he describes occasional transient muscle hypertrophy, giving him an athletic appearance.
Neurological examination reveals delayed muscle relaxation after percussion of the thenar muscles and after voluntary contraction.
Family history reveals similar symptoms in his father, suggesting a hereditary neuromuscular condition.
Myotonia congenita is a rare, hereditary skeletal muscle channelopathy caused by mutations in the CLCN1 gene encoding the skeletal muscle chloride channel.
The prevalence is estimated at 1 in 100,000 worldwide, though it varies regionally, with higher prevalence in Northern Europe and parts of Scandinavia.
There are two main clinical subtypes: Thomsen disease (autosomal dominant, often milder) and Becker disease (autosomal recessive, often more severe).
Onset typically occurs in childhood or adolescence but may be delayed until adulthood.
Both sexes are affected, though Becker type often shows male predominance due to variable expressivity.
Myotonia congenita results from loss-of-function mutations in the CLCN1 gene, reducing chloride conductance in skeletal muscle fibers.
Chloride channels normally stabilize the resting membrane potential and dampen excitability after depolarization.
Reduced chloride conductance leads to hyperexcitability of the muscle membrane, causing repetitive action potentials after a single stimulus.
This hyperexcitability manifests as myotonia — delayed muscle relaxation after voluntary contraction or percussion.
Becker type usually involves more severe channel dysfunction and may present with mild transient weakness due to depolarization block.
The hallmark symptom is myotonia, characterized by muscle stiffness that improves with repeated contractions (warm-up phenomenon).
Stiffness is most prominent after rest, upon sudden movements, or with exposure to cold.
Muscle hypertrophy is common, particularly in the lower limbs and upper arms, giving a "Herculean" appearance.
Becker type may present with transient muscle weakness following episodes of stiffness, whereas weakness is typically absent in Thomsen type.
Reflexes, sensation, and cranial nerve functions remain normal, differentiating it from other neuromuscular disorders.
Diagnosis is based on clinical features, electromyography (EMG) findings, and genetic testing for CLCN1 mutations.
EMG reveals characteristic myotonic discharges — waxing and waning potentials producing a "dive bomber" sound.
Serum CK is typically normal or mildly elevated, and muscle biopsy shows nonspecific changes or fiber hypertrophy.
Differential diagnoses include paramyotonia congenita (worsens with activity and cold), myotonic dystrophy (multisystem involvement and progressive weakness), and metabolic myopathies.
Family history and age of onset are crucial in differentiating the subtypes and guiding genetic counseling.
Most patients do not require treatment if symptoms are mild and non-disabling.
For symptomatic cases, sodium channel blockers such as mexiletine are the mainstay of therapy, reducing muscle hyperexcitability and stiffness.
Alternatives include lamotrigine, carbamazepine, or phenytoin, though their use is limited by side effects.
Non-pharmacologic strategies include regular exercise, avoiding cold exposure, and preconditioning muscles before activity.
Genetic counseling is recommended for affected families, particularly for autosomal dominant forms.
Which of the following clinical features best distinguishes myotonia congenita from paramyotonia congenita?
Answer: (B) Worsening of stiffness with repeated muscle activity Myotonia congenita is characterized by the warm-up phenomenon, where stiffness improves with repeated activity, whereas paramyotonia congenita typically worsens with activity and cold exposure.

A 28-year-old man presents with gradually worsening muscle weakness and difficulty releasing his grip after shaking hands.
He reports early-onset cataracts, excessive daytime sleepiness, and intermittent palpitations.
Family history reveals that his mother had similar symptoms and died suddenly in her 40s.
On examination, percussion of the thenar eminence shows delayed relaxation, and facial muscles appear thin with a characteristic "hatchet face."
ECG demonstrates first-degree atrioventricular block, raising concern for conduction system disease.
Myotonic dystrophy (DM) is the most common adult-onset muscular dystrophy, affecting approximately 1 in 8,000 individuals worldwide.
It is inherited in an autosomal dominant pattern with almost complete penetrance but variable expressivity.
There are two major types: DM1 (Steinert disease) due to CTG repeat expansion in the DMPK gene, and DM2 (proximal myotonic myopathy) due to CCTG expansion in CNBP.
DM1 typically presents earlier and is more severe, whereas DM2 often has a milder and later onset.
Anticipation — earlier onset and increased severity in successive generations — is a hallmark, particularly in DM1.
Myotonic dystrophy results from abnormal expansion of unstable nucleotide repeats in non-coding regions, leading to toxic RNA gain-of-function.
The expanded RNA sequesters RNA-binding proteins such as MBNL1, disrupting alternative splicing of multiple pre-mRNAs.
Aberrant splicing affects key proteins involved in muscle function, insulin signaling, cardiac conduction, and chloride channel regulation.
Progressive loss of muscle fiber integrity, myotonia, and multisystem involvement result from these molecular disturbances.
In congenital forms, severe hypotonia and respiratory compromise may occur due to in utero effects of toxic RNA.
Myotonia (delayed muscle relaxation) is a cardinal sign, often first noticed as difficulty releasing a grip.
Distal muscle weakness and wasting progress slowly, producing characteristic facial features such as temporal wasting, ptosis, and "hatchet face."
Multisystem involvement includes cardiac conduction defects, cataracts, insulin resistance, hypogonadism, and excessive daytime sleepiness.
Cognitive and psychiatric symptoms such as apathy, learning difficulties, or frontal lobe dysfunction may be present.
Congenital myotonic dystrophy manifests with hypotonia, feeding difficulties, and developmental delay in neonates.
Diagnosis is based on clinical features, family history, electromyography (showing myotonic discharges), and genetic testing for repeat expansions.
Serum creatine kinase (CK) may be normal or mildly elevated.
Muscle biopsy, though rarely required, shows muscle fiber atrophy, internal nuclei, and ring fibers.
Differential diagnoses include other myotonic syndromes (e.g., myotonia congenita), facioscapulohumeral muscular dystrophy, and mitochondrial myopathies.
Prenatal or presymptomatic genetic testing is recommended for families with known mutations.
There is no curative therapy; management focuses on symptomatic relief and prevention of complications.
Myotonia can be treated with sodium channel blockers such as mexiletine, though not all patients require pharmacologic therapy.
Cardiac evaluation with regular ECG and pacemaker insertion if conduction disease develops is essential.
Cataracts, endocrine abnormalities, and sleep disturbances should be screened for and managed appropriately.
Genetic counseling is crucial due to autosomal dominant inheritance and anticipation risk.
Which of the following findings is most characteristic of myotonic dystrophy?
Answer: (C) Difficulty releasing grip after handshakes and early cataracts — these are classic manifestations of myotonic dystrophy,reflecting myotonia and multisystem involvement.

A 22-year-old woman presents with excessive daytime sleepiness for one year.
She experiences irresistible sleep attacks during quiet activities such as reading or attending lectures.
Her roommate reports episodes of sudden collapse with laughter, suggestive of cataplexy.
She describes vivid dream-like experiences while falling asleep and awakening.
There is no history of substance use or psychiatric illness, and nocturnal sleep is unrefreshing.
Narcolepsy affects approximately 0.02–0.05% of the general population.
Onset is most common in the second or third decade of life.
There is a slight male predominance.
Familial aggregation occurs, with HLA-DQB1*06:02 strongly associated.
The condition significantly increases risk of accidents and psychosocial impairment.
The core abnormality is loss of hypocretin (orexin)-producing neurons in the lateral hypothalamus.
This leads to instability in transitions between wakefulness and REM sleep.
Autoimmune mechanisms are suspected, often triggered by infection or vaccination.
Genetic susceptibility, particularly HLA-DQB1*06:02, is a consistent finding.
Secondary narcolepsy can result from hypothalamic lesions or trauma.
Excessive daytime sleepiness is universal and often the earliest symptom.
Cataplexy manifests as sudden loss of muscle tone triggered by emotions such as laughter or anger.
Sleep paralysis occurs at sleep onset or awakening.
Hypnagogic and hypnopompic hallucinations reflect intrusion of REM phenomena into wakefulness.
Fragmented nocturnal sleep and automatic behaviors may also occur.
Diagnosis is based on clinical features and confirmed by polysomnography followed by multiple sleep latency testing.
A mean sleep latency of less than 8 minutes with two or more sleep-onset REM periods is diagnostic.
Cerebrospinal fluid hypocretin-1 levels are low or undetectable in narcolepsy type 1.
Differential diagnoses include insufficient sleep, sleep apnea, idiopathic hypersomnia, depression, and sedating medications.
Neuroimaging is typically normal unless a secondary cause is present.
Regular sleep schedule and scheduled daytime naps improve alertness.
Stimulants such as modafinil, armodafinil, or methylphenidate are used to reduce daytime sleepiness.
Cataplexy and REM-related symptoms are treated with sodium oxybate or antidepressants such as venlafaxine.
Behavioral counseling and patient education are essential to manage lifestyle and occupational risks.
Long-term follow-up focuses on treatment adherence, sleep hygiene, and psychosocial support.
A 25-year-old man presents with excessive daytime sleepiness, cataplexy, and hypnagogic hallucinations. Cerebrospinal fluid hypocretin-1 is low. Which structure is primarily affected? A. Locus coeruleus B. Ventrolateral preoptic nucleus C. Lateral hypothalamus D. Suprachiasmatic nucleus
Answer: C. Lateral hypothalamus

A 24-year-old woman presents with progressive balance difficulties, tingling in her lower limbs, and visual impairment over the past two years.
She reports frequent falls and night blindness. Family history reveals that her maternal uncle had similar neurological issues in his 30s.
On examination, she demonstrates distal sensory loss, decreased ankle reflexes, cerebellar ataxia, and retinal pigmentary changes on fundoscopic exam.
MRI of the brain shows cerebellar and basal ganglia atrophy, and nerve conduction studies reveal a sensory axonal neuropathy.
Mitochondrial DNA testing identifies a mutation in the MT-ATP6 gene, confirming a diagnosis of NARP syndrome.
NARP syndrome is a rare mitochondrial disorder caused by mutations in mitochondrial DNA (mtDNA), primarily in the MT-ATP6 gene.
It follows a maternal inheritance pattern due to the exclusively maternal transmission of mtDNA.
The condition is extremely rare, with an estimated prevalence of less than 1 in 100,000 individuals worldwide.
Onset typically occurs in childhood or early adulthood, but the severity and age of onset can vary widely depending on the heteroplasmy level of the mutation.
Higher mutation loads (>90%) are associated with more severe phenotypes such as Leigh syndrome, whereas lower loads (70–90%) manifest as NARP.
NARP results from point mutations in the MT-ATP6 gene, which encodes a subunit of mitochondrial ATP synthase (Complex V) involved in oxidative phosphorylation.
These mutations impair ATP production, leading to energy deficiency particularly in tissues with high metabolic demand such as neurons and retinal cells.
The resulting bioenergetic failure causes neuronal dysfunction, axonal degeneration, and photoreceptor death.
Reactive oxygen species generation and secondary mitochondrial damage further exacerbate cellular injury.
The heteroplasmic nature of mtDNA mutations leads to phenotypic variability, with clinical severity proportional to the percentage of mutant mtDNA.
The classical triad includes sensory neuropathy, cerebellar ataxia, and retinitis pigmentosa.
Patients often present with distal paresthesias, areflexia, gait instability, and progressive visual loss due to retinal degeneration.
Additional features may include developmental delay, cognitive impairment, seizures, hearing loss, and proximal muscle weakness.
Some patients develop proximal muscle weakness and exercise intolerance, reflecting systemic mitochondrial dysfunction.
Disease progression is typically slow but relentless, with significant disability developing over years to decades.
Diagnosis is based on clinical presentation, family history, and confirmation of mtDNA MT-ATP6 mutations by genetic testing.
Ancillary investigations include nerve conduction studies (showing sensory axonal neuropathy), fundus examination (revealing retinitis pigmentosa), and MRI (showing cerebellar atrophy or basal ganglia changes).
Muscle biopsy may show ragged-red fibers and cytochrome c oxidase (COX)-negative fibers, indicating mitochondrial dysfunction.
Differential diagnosis includes Friedreich’s ataxia, Refsum disease, Charcot–Marie–Tooth disease, and spinocerebellar ataxias.
Maternal inheritance pattern and systemic manifestations help distinguish NARP from nuclear-encoded ataxia-neuropathy syndromes.
There is no definitive cure; management is largely supportive and aims to improve quality of life.
Coenzyme Q10, riboflavin, L-carnitine, and other mitochondrial cofactors are often used empirically, though evidence is limited.
Physical and occupational therapy are crucial for maintaining mobility and functional independence.
Visual aids, hearing support, and seizure control with antiepileptic medications may be required.
Genetic counseling is essential, as maternal relatives may carry the mutation and be at risk of developing disease.
Which of the following genetic mutations is most commonly associated with NARP syndrome?
Answer: (B) MT-ATP6 gene mutation NARP syndrome is most often caused by a point mutation in the MT-ATP6 gene encoding a subunit of mitochondrial ATP synthase, leading to impaired oxidative phosphorylation.

A 38-year-old man presents with sudden, severe, burning pain in his right shoulder that began abruptly two days after a mild upper respiratory infection.
The pain radiates down his arm and is unresponsive to NSAIDs, subsiding after several days.
Subsequently, he notices profound weakness and wasting of his shoulder and upper arm muscles, particularly the deltoid and supraspinatus.
Reflexes remain intact, and there is no sensory level or sphincter involvement.
Electromyography shows acute denervation changes in the upper brachial plexus distribution, consistent with neuralgic amyotrophy.
Neuralgic amyotrophy (NA), also known as Parsonage-Turner syndrome, is a rare but likely underdiagnosed peripheral nerve disorder.
The estimated annual incidence is 1–3 per 100,000, though subclinical or mild cases may make the true incidence higher.
It typically affects adults between 20 and 60 years, with a slight male predominance.
Around 30–50% of cases are preceded by a triggering event such as infection, surgery, vaccination, or strenuous exercise.
Familial forms exist, associated with autosomal dominant mutations in the SEPT9 gene.
The exact mechanism of NA remains unclear but is believed to involve an immune-mediated inflammatory attack on the brachial plexus or individual peripheral nerves.
This immune reaction may be triggered by molecular mimicry following infection or vaccination.
Inflammatory infiltration leads to axonal damage and demyelination, causing acute pain followed by muscle weakness and atrophy.
The upper trunk of the brachial plexus and its branches (e.g., suprascapular, axillary, long thoracic nerves) are most commonly affected.
In hereditary neuralgic amyotrophy, structural abnormalities in peripheral nerves may predispose them to inflammation and injury.
The classic presentation is sudden, severe, unilateral shoulder pain often described as stabbing or burning, typically lasting days to weeks.
After the acute pain phase, patients develop focal muscle weakness, atrophy, and sensory changes in the affected nerve distribution.
Commonly involved muscles include the deltoid, supraspinatus, infraspinatus, serratus anterior (leading to winged scapula), and biceps brachii.
Sensory symptoms, if present, are usually mild and patchy, often overshadowed by motor deficits.
Recurrent episodes can occur, particularly in hereditary forms, and bilateral involvement is seen in up to 30% of cases.
Diagnosis is primarily clinical, based on the characteristic sequence of acute pain followed by weakness and muscle wasting.
Electromyography (EMG) confirms denervation and helps localize involvement, often revealing axonal damage.
MRI of the brachial plexus or affected muscles may show T2 hyperintensity or enhancement, supporting the diagnosis.
Differential diagnoses include cervical radiculopathy, rotator cuff tear, motor neuron disease, multifocal motor neuropathy, and neoplastic plexopathy.
Absence of sensory level, normal reflexes, and the temporal evolution of symptoms help distinguish NA from these conditions.
Acute management focuses on pain control with NSAIDs, neuropathic agents, or short courses of corticosteroids, which may shorten symptom duration if given early.
Physical therapy and rehabilitation are essential to maintain range of motion and prevent joint contractures during the weakness phase.
Most patients show significant spontaneous recovery within 6–18 months, although some may have residual deficits.
In recurrent or hereditary cases, immunosuppressive agents may be considered.
Surgical nerve transfer or tendon transfer may be an option for persistent severe weakness after 18–24 months.
Which of the following features most strongly suggests neuralgic amyotrophy rather than cervical radiculopathy?
Answer: (B) Acute onset of severe shoulder pain followed days later by patchy muscle weakness This temporal pattern is highly characteristic of neuralgic amyotrophy and differentiates it from cervical radiculopathy,
van Alfen N, van Engelen BG. The clinical spectrum of neuralgic amyotrophy in 246 cases. Brain. 2006;129(2):438–450.
Feinberg JH, Radecki J. Parsonage-Turner syndrome. HSS J. 2010;6(2):199–205.
van Eijk JJ, et al. Neuralgic amyotrophy: An update on diagnosis, pathophysiology, and treatment. Muscle Nerve. 2016;53(3):337–350.

A 17-year-old male presents with multiple light-brown skin patches since early childhood and several soft, non-tender, cutaneous nodules over his trunk and limbs.
He reports progressive visual blurring and occasional headaches.
On examination, he has more than six café-au-lait macules larger than 1.5 cm, axillary freckling, and multiple cutaneous neurofibromas.
Ophthalmologic evaluation reveals Lisch nodules on the iris, and MRI shows an optic pathway glioma.
These findings are consistent with Neurofibromatosis type 1 (NF1), a common autosomal dominant neurocutaneous disorder.
Neurofibromatosis (NF) is a group of genetic disorders characterized by the development of multiple tumors along nerves and other systemic manifestations.
The two main types are NF1 (von Recklinghausen disease) and NF2; a third, rarer type is schwannomatosis.
NF1 occurs in approximately 1 in 3,000 individuals, while NF2 is rarer, affecting about 1 in 25,000.
Both are inherited in an autosomal dominant manner with high penetrance, although about 50% of NF1 cases result from de novo mutations.
NF affects both sexes and all ethnicities equally, but clinical severity can vary widely even within families.
NF1 results from mutations in the NF1 gene on chromosome 17q11.2, encoding neurofibromin, a tumor suppressor that negatively regulates the Ras oncogene pathway.
NF2 arises from mutations in the NF2 gene on chromosome 22q12, which encodes merlin (schwannomin), a protein involved in cytoskeletal organization and cell proliferation control.
Loss of these tumor suppressors leads to uncontrolled cellular growth, tumor formation, and secondary effects on nerve, skin, and vascular tissues.
Somatic second-hit mutations often contribute to tumor development in affected tissues.
The resulting pathology includes benign neurofibromas, malignant peripheral nerve sheath tumors, gliomas, schwannomas, and meningiomas, depending on the NF type.
NF1 is characterized by multiple café-au-lait macules, axillary or inguinal freckling, and cutaneous neurofibromas.
Lisch nodules (iris hamartomas) and optic pathway gliomas are frequent ocular manifestations.
Skeletal abnormalities such as scoliosis, pseudoarthrosis of the tibia, and sphenoid wing dysplasia may occur.
NF2 commonly presents with bilateral vestibular schwannomas, hearing loss, balance disturbances, and additional intracranial tumors such as meningiomas.
Both types are associated with an increased risk of malignancies, particularly malignant peripheral nerve sheath tumors (NF1) and ependymomas or meningiomas (NF2).
NF1 is diagnosed clinically using NIH criteria, requiring at least two features such as six or more café-au-lait macules, two or more neurofibromas, axillary freckling, optic glioma, two or more Lisch nodules, distinctive osseous lesions, or a first-degree relative with NF1.
NF2 diagnosis relies on the presence of bilateral vestibular schwannomas or a family history plus other tumors (e.g., meningiomas, gliomas, schwannomas).
Genetic testing can confirm the diagnosis, especially in atypical cases or for prenatal counseling.
Differential diagnoses include Legius syndrome (SPRED1 mutation), McCune-Albright syndrome, Noonan syndrome, and multiple endocrine neoplasia type 2B.
MRI is crucial for evaluating intracranial or spinal involvement, particularly optic pathway gliomas and vestibular schwannomas.
There is no curative therapy; management focuses on surveillance, early detection of complications, and symptomatic treatment.
Regular follow-up includes annual physical and neurologic examinations, ophthalmologic assessments, and MRI imaging when indicated.
Surgical removal of symptomatic neurofibromas, optic gliomas, or vestibular schwannomas may be necessary.
MEK inhibitors (e.g., selumetinib) have shown promise in reducing plexiform neurofibroma volume in NF1.
Genetic counseling is essential for affected individuals and families due to the autosomal dominant inheritance and variable expressivity.
oindent Which of the following findings is most characteristic of Neurofibromatosis type 1?
Answer: (B) Multiple café-au-lait macules and axillary freckling

A 34-year-old woman presents with acute bilateral vision loss preceded by eye pain, followed two weeks later by rapidly progressive paraparesis and urinary retention.
Neurological examination reveals bilateral optic neuritis and a sensory level at T6 with loss of pain and temperature sensation below the lesion.
MRI of the spine shows a longitudinally extensive transverse myelitis (LETM) extending over more than three vertebral segments.
Serum testing is positive for anti-aquaporin-4 (AQP4) antibodies.
The clinical and radiological features are consistent with neuromyelitis optica spectrum disorder (NMOSD).
NMOSD is a rare autoimmune demyelinating disease of the central nervous system (CNS) predominantly affecting the optic nerves and spinal cord.
The estimated prevalence is 0.5–10 per 100,000, with a higher frequency in individuals of Asian, African, and Latin American ancestry.
It predominantly affects women, with a female-to-male ratio of approximately 9:1.
The typical age of onset is between 30 and 40 years, but pediatric and elderly cases also occur.
Unlike multiple sclerosis (MS), NMOSD relapses are often more severe and associated with permanent disability.
NMOSD is an antibody-mediated astrocytopathy characterized by immune attack against aquaporin-4 (AQP4) water channels on astrocytic endfeet.
AQP4-IgG activates complement, leading to astrocyte destruction, secondary demyelination, and neuronal injury.
T cells and B cells contribute to the autoimmune response, with cytokines such as IL-6 playing a key role in pathogenesis.
A minority of cases are associated with antibodies against myelin oligodendrocyte glycoprotein (MOG), which define a distinct but overlapping clinical entity.
Infections, vaccinations, or systemic autoimmune diseases (e.g., systemic lupus erythematosus, Sjögren syndrome) can act as triggers.
NMOSD most commonly presents with recurrent episodes of optic neuritis (often bilateral and severe) and longitudinally extensive transverse myelitis (LETM).
Brainstem involvement can cause area postrema syndrome (intractable nausea, vomiting, hiccups) and other features such as respiratory failure or oculomotor disturbances.
Other manifestations include hypothalamic dysfunction, diencephalic syndromes, and cerebral lesions mimicking demyelination.
Relapses tend to cause significant and often irreversible disability, unlike MS, where recovery is usually better.
Interattack intervals are variable, but untreated NMOSD often follows a relapsing course with cumulative neurological deficits.
Diagnosis is based on clinical presentation, MRI findings, and serological detection of AQP4-IgG antibodies (present in 70–80% of cases).
MRI typically reveals LETM spanning three or more vertebral segments and optic nerve involvement extending posteriorly to the chiasm.
The 2015 International Panel for NMO Diagnosis (IPND) criteria require at least one core clinical characteristic plus AQP4-IgG positivity or supportive imaging evidence.
Differential diagnoses include multiple sclerosis (short-segment myelitis, periventricular lesions), MOG-associated disease, sarcoidosis, paraneoplastic myelitis, and vasculitis.
Cerebrospinal fluid (CSF) often lacks oligoclonal bands (seen in MS) and may show neutrophilic pleocytosis or elevated GFAP levels.
Acute attacks are treated with high-dose intravenous methylprednisolone (1 g/day for 3–5 days), often followed by plasma exchange if there is inadequate response.
Long-term relapse prevention involves immunosuppression with agents such as rituximab, azathioprine, or mycophenolate mofetil.
New targeted therapies include eculizumab (anti-C5), inebilizumab (anti-CD19), and satralizumab (anti–IL-6 receptor), which significantly reduce relapse rates.
Supportive care includes visual rehabilitation, bladder management, physical therapy, and psychosocial support.
Early diagnosis and sustained immunotherapy are crucial for preventing relapses and reducing disability progression.
oindent Which of the following features most reliably distinguishes NMOSD from multiple sclerosis?
Answer: (C) Longitudinally extensive spinal cord lesions involving three or more vertebral segments LETM is a hallmark of NMOSD and contrasts with the typically short-segment lesions seen in MS.

A 52-year-old man presents with progressive memory impairment, personality changes, and unsteady gait over several months.
He reports a remote history of untreated genital ulcers and now has positive syphilis serology on routine screening.
On examination, he has absent ankle reflexes, a positive Romberg sign, and pupillary abnormalities (Argyll Robertson pupils).
Cerebrospinal fluid (CSF) analysis reveals lymphocytic pleocytosis and elevated protein.
These findings are suggestive of neurosyphilis, a late manifestation of untreated Treponema pallidum infection.
Neurosyphilis is a manifestation of untreated or inadequately treated syphilis, occurring in 4–10% of infected individuals.
It can develop at any stage of syphilis but is most common in the tertiary stage, years after initial infection.
The incidence has declined with widespread antibiotic use but remains significant in high-risk populations, including those with HIV.
Co-infection with HIV accelerates disease progression and can alter clinical manifestations.
Early recognition and treatment of primary syphilis greatly reduce the risk of neurosyphilis.
Neurosyphilis results from hematogenous dissemination of Treponema pallidum to the central nervous system.
It can present as asymptomatic meningitis, meningovascular syphilis, general paresis, or tabes dorsalis.
Chronic inflammation causes neuronal degeneration, microglial activation, and meningeal fibrosis.
Meningovascular involvement leads to endarteritis obliterans, resulting in ischemic strokes.
Damage to the dorsal columns and dorsal roots produces the classic sensory ataxia of tabes dorsalis.
Early neurosyphilis manifests as meningitis with headache, cranial nerve palsies, or seizures.
Meningovascular syphilis may present with stroke-like symptoms, often in younger patients.
General paresis causes cognitive decline, personality changes, and psychosis.
Tabes dorsalis presents with sensory ataxia, lightning pains, and Argyll Robertson pupils.
Ocular involvement (uveitis, optic neuritis) and otosyphilis (sensorineural hearing loss) can occur at any stage.
Diagnosis relies on a combination of serologic tests and CSF findings.
Non-treponemal (VDRL, RPR) and treponemal (FTA-ABS, TP-PA) tests should be performed in all suspected cases.
CSF typically shows lymphocytic pleocytosis, elevated protein, and a reactive CSF-VDRL (specific but less sensitive).
Neuroimaging may show meningeal enhancement or cerebral infarcts in meningovascular disease.
Differential diagnoses include multiple sclerosis, HIV-associated neurocognitive disorders, vasculitis, and other chronic meningitides.
High-dose intravenous penicillin G (18–24 million units/day for 10–14 days) is the standard of care.
For penicillin-allergic patients, desensitization is recommended due to its superior efficacy.
Close monitoring of CSF parameters is required to confirm treatment response, typically every 6–12 months.
Symptomatic treatment may include analgesics for pain, antiepileptics for seizures, and supportive care for cognitive impairment.
Early detection and treatment significantly improve outcomes, though advanced neurological deficits may be irreversible.
Which of the following clinical findings is most characteristic of tabes dorsalis in neurosyphilis?
Answer: (B) Sensory ataxia with lightning pains

A 62-year-old man with a history of type 2 diabetes and hypertension presents with sudden, painless vision loss in his right eye upon waking.
He reports a dark, altitudinal visual field defect but denies headache, scalp tenderness, or jaw claudication.
Fundoscopic examination shows optic disc edema with a small, crowded ("disc-at-risk") appearance and peripapillary hemorrhages.
The contralateral eye shows a similarly small, cupless optic disc.
Laboratory evaluation reveals normal erythrocyte sedimentation rate (ESR) and C-reactive protein (CRP), making arteritic causes less likely.
NAION is the most common acute optic neuropathy in adults over 50, with an estimated annual incidence of 2–10 per 100,000 individuals.
It typically affects individuals with vascular risk factors such as diabetes, hypertension, hyperlipidemia, and obstructive sleep apnea.
A "disc-at-risk" (small, crowded optic nerve head) is a major predisposing anatomical factor.
Approximately 15–20% of patients develop NAION in the fellow eye within five years.
Men and women are affected equally, and the condition is more frequent in Caucasians.
NAION results from hypoperfusion or non-inflammatory infarction of the optic nerve head supplied by the short posterior ciliary arteries.
The ischemic insult leads to axoplasmic flow stasis, swelling, and compartment syndrome within the confined optic disc, worsening the damage.
A nocturnal hypotension "watershed" mechanism is implicated, explaining the frequent occurrence upon waking.
A "disc-at-risk" predisposes patients by limiting the space for axons and vessels, making them more susceptible to ischemia.
Unlike arteritic AION (associated with giant cell arteritis), NAION is not caused by vasculitis and typically lacks systemic inflammatory features.
The hallmark presentation is sudden, painless monocular vision loss, often noticed upon awakening.
Visual field defects are typically altitudinal (inferior more common) but can be central or diffuse.
Relative afferent pupillary defect (RAPD) is present if the contralateral eye is unaffected.
Fundus examination reveals optic disc edema, peripapillary splinter hemorrhages, and a small, crowded disc.
Systemic symptoms such as headache, scalp tenderness, or jaw claudication suggest arteritic AION rather than NAION.
Diagnosis is primarily clinical, based on history, examination, and fundoscopic findings.
Visual field testing demonstrates characteristic altitudinal defects.
ESR and CRP should be checked in all patients over 50 to exclude arteritic AION (giant cell arteritis).
Differential diagnoses include arteritic AION, optic neuritis (often painful, younger patients, demyelinating), compressive optic neuropathy, and anterior optic nerve infiltration.
Fluorescein angiography may show delayed or absent filling of the peripapillary choroidal circulation but is not routinely required.
There is currently no proven treatment to reverse vision loss in NAION.
The mainstay of management is optimization of vascular risk factors, including strict control of blood pressure, blood glucose, and lipid levels.
Patients should be screened and treated for obstructive sleep apnea, which is a modifiable risk factor.
Avoidance of nocturnal hypotension (e.g., adjusting timing of antihypertensives) may reduce recurrence risk.
Low-dose aspirin is sometimes prescribed to reduce contralateral involvement, although evidence is inconclusive.
Which of the following findings is most characteristic of non-arteritic anterior ischemic optic neuropathy (NAION)?
Answer: (B) Optic disc edema with peripapillary hemorrhages and altitudinal field defect.

A 45-year-old woman presents with recurrent, severe, stabbing pain originating at the base of her skull and radiating towards the vertex and frontal scalp.
The pain is episodic, lasting from seconds to minutes, and is often triggered by neck movement or pressure over the occipital region.
She reports scalp tenderness and occasional light sensitivity during episodes but denies visual aura or autonomic symptoms.
There is a history of whiplash injury 2 years ago, and she experiences chronic neck stiffness.
Physical examination reveals tenderness over the greater occipital nerve and reproduction of pain upon palpation.
Occipital neuralgia (ON) is a rare but underdiagnosed cause of chronic headache, with an incidence of approximately 3.2 per 100,000 individuals annually.
It occurs more frequently in women, most often presenting in the fourth and fifth decades of life.
The true prevalence may be underestimated due to diagnostic overlap with migraine and cervicogenic headache.
Risk factors include previous head or neck trauma, cervical spondylosis, muscular tension, and entrapment neuropathies.
ON can occur idiopathically or secondary to structural lesions, postoperative scarring, or neoplastic compression.
Occipital neuralgia arises from irritation, inflammation, or compression of the greater, lesser, or third occipital nerves, which originate from the C2–C3 dorsal rami.
Common mechanisms include muscular entrapment (e.g., in the semispinalis capitis), nerve injury from trauma, or degenerative cervical spine changes.
Chronic nerve irritation leads to peripheral and central sensitization, contributing to pain persistence and spread.
Rarely, vascular malformations or tumors compressing the occipital nerves may be responsible.
The close anatomic relationship between cervical musculature and the occipital nerves explains why neck posture and muscle spasm exacerbate symptoms.
ON typically presents with paroxysmal, stabbing, or shooting pain in the distribution of the occipital nerves, often radiating to the vertex or behind the eyes.
The pain is usually unilateral but may be bilateral, and it often occurs in recurrent episodes separated by pain-free intervals.
Associated symptoms can include scalp allodynia, tenderness, and photophobia, but nausea and autonomic features are usually absent.
Palpation over the occipital nerve exit points often reproduces the pain (Tinel’s sign).
Neck movements, pressure, or sustained postures typically exacerbate the pain, distinguishing it from primary headache disorders.
Diagnosis is primarily clinical, based on characteristic pain distribution, tenderness over the occipital nerve, and reproduction of symptoms on palpation.
Diagnostic nerve block with local anesthetic that relieves pain confirms the diagnosis and helps differentiate ON from other causes.
MRI of the cervical spine and posterior fossa may be warranted to exclude secondary causes such as tumors, Chiari malformation, or vascular compression.
Differential diagnoses include migraine (more diffuse pain, associated features), cervicogenic headache (originates from cervical pathology), trigeminal neuralgia (different dermatomal distribution), and tension-type headache (bilateral, non-paroxysmal pain).
Electrophysiological studies are not routinely used but may be helpful in atypical presentations or to rule out concurrent neuropathies.
Initial treatment includes conservative measures such as physical therapy, posture correction, warm compresses, and nonsteroidal anti-inflammatory drugs (NSAIDs).
Pharmacologic therapy may include anticonvulsants (e.g., gabapentin, carbamazepine) and muscle relaxants for neuropathic and myofascial components.
Occipital nerve blocks with local anesthetics and corticosteroids can provide both diagnostic and therapeutic benefit, with relief lasting weeks to months.
In refractory cases, interventional options include radiofrequency ablation, occipital nerve stimulation, or surgical decompression.
Addressing underlying causes, such as cervical spine pathology or mass lesions, is crucial in secondary occipital neuralgia.
Which of the following is a distinguishing clinical feature of occipital neuralgia?
Answer: (B) Sudden, stabbing paroxysms of pain radiating from the occipital region towards vertex

An 85-year-old man presents with a six-month history of intermittent drooping of his left eyelid that worsens toward evening and improves with rest.
He denies diplopia at rest but reports transient double vision with fatigue.
There is no limb weakness, dysphagia, or dysarthria.
Examination reveals left-sided ptosis that increases after sustained upgaze and improves following rest.
Pupillary responses are normal, and extraocular movements show mild fatigability without ophthalmoplegia.
Ocular myasthenia gravis (OMG) represents approximately 15–20% of all cases of myasthenia gravis.
It may occur at any age but has bimodal peaks—young women and elderly men are most affected.
Around half of patients with purely ocular symptoms progress to generalized disease within two years.
The incidence increases with age, possibly due to thymic atrophy and immune dysregulation.
Coexisting autoimmune disorders such as thyroid disease are more frequent in affected individuals.
OMG results from an autoimmune attack against postsynaptic acetylcholine receptors (AChR) or muscle-specific kinase (MuSK).
Autoantibody binding leads to receptor degradation and complement-mediated damage at the neuromuscular junction.
This impairs synaptic transmission, producing fatigable muscle weakness.
The extraocular muscles are particularly vulnerable due to their high firing frequency and low safety margin for transmission.
Thymic abnormalities, including hyperplasia and thymoma, play a role in antigenic sensitization.
Ptosis and diplopia are the hallmark manifestations of OMG.
Symptoms fluctuate during the day and worsen with fatigue, heat, or illness.
Pupils are characteristically spared, distinguishing it from cranial nerve III palsy.
Cogan’s lid twitch and fatigability on sustained upgaze are supportive signs.
Orbicularis oculi weakness and impaired eye closure may also be present in advanced cases.
Diagnosis relies on clinical features supported by antibody testing for AChR and MuSK.
The ice pack test transiently improves ptosis and is a simple bedside aid.
Single-fiber electromyography is the most sensitive electrophysiologic test.
Differential diagnoses include thyroid eye disease, cranial nerve palsies, mitochondrial myopathies, and Lambert-Eaton myasthenic syndrome.
Neuroimaging is indicated to exclude compressive or infiltrative orbital pathology when atypical features are present.
Initial management includes symptomatic treatment with acetylcholinesterase inhibitors such as pyridostigmine.
Corticosteroids are introduced in patients with significant or refractory symptoms.
Immunosuppressive agents such as azathioprine or mycophenolate may be added for long-term control.
Thymectomy is considered in thymomatous or generalized disease but has limited benefit in purely ocular cases.
Regular follow-up is essential to monitor for generalization and adverse effects of therapy.
Which of the following findings best distinguishes ocular myasthenia gravis from a third nerve palsy?
Answer: (C) Fluctuating ptosis and diplopia with normal pupils

A 63-year-old man of French-Canadian descent presents with gradually worsening drooping of both eyelids and increasing difficulty swallowing solid foods over the past 6 years.
He reports needing multiple swallows for a single sip of water and occasional choking episodes, but limb weakness is minimal.
His father and uncle developed similar symptoms in their 60s, suggesting a hereditary component.
Neurological examination reveals bilateral ptosis, preserved reflexes, intact sensation, and mild proximal lower limb weakness.
Cognitive function remains normal, and there is no evidence of fluctuating symptoms or fatigability.
Oculopharyngeal muscular dystrophy (OPMD) is a rare late-onset inherited myopathy predominantly seen in individuals of French-Canadian, Ashkenazi Jewish, and Bukhara Jewish descent.
The global prevalence is approximately 1 in 100,000, though it can be as high as 1 in 1,000 in endemic regions like Quebec.
Disease onset typically occurs in the 5th to 7th decade of life and progresses slowly over decades.
Most cases follow an autosomal dominant inheritance pattern, but rarer autosomal recessive forms have been described with later onset and milder progression.
Genetic anticipation is not a feature, but family clustering is common due to founder mutations.
OPMD results from abnormal expansion of a GCN trinucleotide repeat in the PABPN1 gene on chromosome 14q11.2-q13, typically expanding from the normal 10 repeats to 12–17.
The mutated PABPN1 protein forms intranuclear aggregates in skeletal muscle fibers, disrupting normal RNA processing and polyadenylation.
These toxic aggregates lead to progressive muscle fiber degeneration, primarily affecting the levator palpebrae superioris and pharyngeal muscles.
With disease progression, proximal limb muscles—especially hip flexors—can also become involved, but respiratory and cardiac muscles are usually spared.
Histopathology reveals rimmed vacuoles, endomysial fibrosis, and characteristic intranuclear inclusions on muscle biopsy.
The hallmark feature is slowly progressive bilateral ptosis, often necessitating surgical correction as it progresses.
Dysphagia typically begins with solids but may later involve liquids, increasing the risk of aspiration and weight loss.
Proximal limb weakness, particularly in the lower extremities, manifests as difficulty rising from a chair or climbing stairs in later stages.
Unlike many other myopathies, respiratory and cardiac muscles are rarely affected, and deep tendon reflexes are preserved.
The disease course is indolent, with most patients remaining ambulatory for decades despite progressive bulbar and ocular involvement.
Diagnosis is confirmed by genetic testing demonstrating a pathogenic GCN repeat expansion in the PABPN1 gene.
Electromyography (EMG) typically shows myopathic changes, particularly in pharyngeal muscles, but is not diagnostic.
Muscle biopsy may support the diagnosis by revealing rimmed vacuoles and intranuclear inclusions, though it is not required if genetic confirmation is obtained.
Differential diagnoses include myasthenia gravis (fluctuating weakness and response to acetylcholinesterase inhibitors), mitochondrial myopathies (exercise intolerance and ragged red fibers), and inclusion body myositis (asymmetric distal and proximal weakness with inflammation).
Unlike these conditions, OPMD exhibits a non-fluctuating, slowly progressive course with predominant ocular and pharyngeal involvement.
Management is primarily supportive, focusing on improving quality of life and minimizing complications.
Ptosis may be surgically corrected with levator advancement or frontalis sling procedures to improve vision.
Swallowing therapy with dietary modifications, such as thickened liquids and smaller bites, helps reduce aspiration risk; cricopharyngeal myotomy or botulinum toxin injection may be indicated for severe dysphagia.
Gastrostomy tube placement should be considered in patients with significant weight loss or recurrent aspiration pneumonia.
Experimental treatments, including antisense oligonucleotide therapy targeting PABPN1 mRNA, are under investigation but not yet clinically available.
Which of the following best distinguishes oculopharyngeal muscular dystrophy (OPMD) from myasthenia gravis?
Answer: (C) Slow, non-fluctuating progression of symptoms

A 45-year-old man presents with new-onset seizures and progressive headaches over several months.
Neurological examination reveals subtle cognitive slowing and mild right arm weakness.
MRI of the brain shows a well-demarcated cortical-subcortical mass in the frontal lobe with heterogeneous enhancement and calcifications.
Stereotactic biopsy demonstrates a diffusely infiltrating glioma with round nuclei and perinuclear halos — the classic “fried-egg” appearance.
Genetic analysis confirms 1p/19q co-deletion and an IDH1 mutation, establishing the diagnosis of oligodendroglioma.
Oligodendrogliomas account for approximately 2–5% of all primary intracranial tumors and 10–15% of gliomas.
They typically occur in adults aged 35–55 years, with a slight male predominance.
These tumors most commonly arise in the frontal and temporal lobes, frequently presenting with seizures as the initial symptom.
Oligodendrogliomas are more prevalent in individuals of European ancestry, with unclear environmental risk factors identified.
Median overall survival ranges from 10–15 years, significantly longer than that of astrocytomas or glioblastomas, especially when 1p/19q co-deletion is present.
Oligodendrogliomas arise from oligodendrocytes — glial cells responsible for myelinating CNS axons.
Tumorigenesis is driven by early IDH1 or IDH2 mutations followed by 1p/19q co-deletion, a hallmark molecular signature associated with better prognosis and treatment response.
Additional genetic alterations may include TERT promoter mutations and CIC or FUBP1 mutations, contributing to tumor progression.
The 1p/19q co-deletion enhances sensitivity to alkylating chemotherapy agents and radiation, influencing therapeutic decision-making.
Over time, low-grade oligodendrogliomas (WHO grade II) can undergo malignant transformation into anaplastic oligodendroglioma (WHO grade III) with increased proliferation and necrosis.
Seizures are the most common presenting symptom, occurring in up to 80% of patients due to cortical involvement.
Progressive headaches, cognitive impairment, or focal neurological deficits (e.g., hemiparesis, aphasia) occur depending on tumor location.
Personality or behavioral changes are frequent when the frontal lobe is involved.
Visual field defects, motor weakness, or speech disturbances may develop as the tumor enlarges.
Symptoms tend to evolve insidiously, reflecting the tumor’s relatively slow growth rate compared with other gliomas.
MRI typically reveals a cortical or subcortical mass with ill-defined margins, calcifications, and minimal edema; enhancement is variable.
Histopathology shows round nuclei with perinuclear halos (“fried-egg” appearance) and delicate branching capillaries (“chicken-wire” vasculature).
Molecular testing confirming IDH mutation and 1p/19q co-deletion is essential for definitive diagnosis and prognostication.
Differential diagnoses include astrocytoma (lacks 1p/19q co-deletion), glioblastoma (more aggressive and rapidly progressive), metastatic carcinoma (often multiple lesions), and meningioma (extra-axial and dural-based).
CT scan may be helpful for detecting calcifications, while PET imaging can assist in assessing metabolic activity and tumor grade.
Maximal safe surgical resection is the cornerstone of treatment and improves seizure control and survival.
Adjuvant radiotherapy and chemotherapy (typically PCV regimen — procarbazine, lomustine, vincristine — or temozolomide) are indicated for higher-grade or incompletely resected tumors.
Molecular markers, especially 1p/19q co-deletion and IDH mutation status, guide therapeutic decisions and prognosis.
Regular MRI surveillance is necessary to monitor for recurrence or malignant transformation.
Clinical trial enrollment should be considered, particularly for recurrent or progressive disease not responsive to standard therapy.
Which of the following genetic alterations is characteristic of oligodendroglioma and has significant diagnostic and prognostic implications?
Answer: (C) 1p/19q co-deletion
Louis DN, Perry A, Wesseling P, Brat DJ, Cree IA, Figarella-Branger D, Hawkins C, Ng HK, Pfister SM, Reifenberger G, Soffietti R, von Deimling A, Ellison DW. The 2021 WHO Classification of Tumors of the Central Nervous System: a summary. Neuro-Oncology. 2021;23(8):1231–1251. DOI: 10.1093/neuonc/noab106
Cairncross JG, Ueki K, Zlatescu MC, Lisle DK, Finkelstein DM, Hammond RR, Silver JS, Stark PC, Macdonald DR, Ino Y, Ramsay DA, Louis DN. Specific genetic predictors of chemotherapeutic response and survival in patients with anaplastic oligodendrogliomas. J Natl Cancer Inst. 1998;90(19):1473–1479. DOI: 10.1093/jnci/90.19.1473
Weller M, van den Bent M, Tonn JC, Stupp R, Preusser M, Cohen-Jonathan-Moyal E, Henriksson R, Le Rhun E, Balana C, Chinot O, Bendszus M, Reijneveld JC, Dhermain F, French P, Marosi C, Watts C, Oberg I, Baumert BG, Taphoorn MJB, Hegi ME, Westphal M, Reifenberger G, Wick W. EANO guidelines for the diagnosis and treatment of adult astrocytic and oligodendroglial gliomas. Lancet Oncol. 2017;18(6):e315–e329. DOI: 10.1016/S1470-2045(17)30194-8

Which bedside finding most supports neurogenic orthostatic hypotension?
Answer: (B) SBP drop 25 mmHg with minimal HR increase suggests impaired autonomic compensation (neurogenic).

A 60-year-old woman presents with a two-year history of unsteadiness and leg trembling that occurs exclusively when standing still.
She describes a sensation of rapid “internal vibration” in her legs, which subsides immediately upon walking, sitting, or lying down.
There is no associated vertigo, syncope, or falls, but she avoids prolonged standing due to fear of imbalance.
Neurological examination is unremarkable except for rapid, fine tremors in the lower limbs when standing, best appreciated by palpation or auscultation.
Electromyography reveals synchronous, high-frequency discharges in the gastrocnemius muscles, confirming the clinical suspicion.
Orthostatic tremor (OT) is a rare movement disorder, first described in 1984, with an unknown true prevalence due to underdiagnosis and frequent misclassification as essential tremor or anxiety-related imbalance.
It typically presents in individuals over 50 years of age, although younger-onset cases are reported.
Both sexes are affected equally, and most cases are sporadic, though familial clustering has been reported.
Secondary OT has been associated with neurodegenerative conditions, including Parkinson’s disease, multiple system atrophy, and cerebellar degeneration.
Because symptoms may be subtle and non-visible, many patients experience significant diagnostic delays.
The precise pathophysiology of OT is not fully understood, but evidence suggests involvement of central oscillatory networks, particularly within the cerebello-thalamo-cortical and brainstem motor circuits.
Functional neuroimaging has demonstrated altered connectivity in the cerebellum, thalamus, and supplementary motor area.
OT is characterized by synchronous activation of motor units in leg muscles, generating high-frequency tremor activity (13–18 Hz).
Some patients demonstrate structural cerebellar atrophy, supporting a potential cerebellar contribution to the disorder.
Secondary OT may arise due to neurodegenerative disease, implicating basal ganglia involvement in tremor modulation.
The hallmark feature is a high-frequency (13–18 Hz) tremor of the legs that appears only while standing and disappears with walking, sitting, or lying down.
Patients often describe a subjective feeling of unsteadiness, “shakiness,” or internal vibration rather than visible tremor.
Prolonged standing exacerbates symptoms, and many patients adopt compensatory behaviors such as shifting weight or leaning for support.
Tremor is typically bilateral and synchronous, and may be detected by palpation, auscultation (producing a “helicopter-like” sound), or EMG.
Unlike essential tremor or parkinsonian tremor, OT does not involve the upper limbs or occur at rest.
Diagnosis is primarily clinical, supported by surface electromyography (EMG) showing synchronous bursts at 13–18 Hz in the lower limb muscles during standing.
Tremor is often not visible, making EMG confirmation crucial for diagnosis.
MRI or functional imaging may be used to exclude secondary causes such as cerebellar atrophy or parkinsonian syndromes.
Differential diagnoses include essential tremor (lower frequency, visible, involves upper limbs), parkinsonian tremor (resting, asymmetric, lower frequency), psychogenic tremor (variable frequency and distractibility), and sensory ataxia.
Misdiagnosis is common, particularly as anxiety or orthostatic intolerance, underscoring the need for electrophysiologic testing.
Pharmacologic treatment remains challenging; clonazepam is considered the first-line therapy and may provide partial symptom relief.
Other medications such as gabapentin, pregabalin, and valproate have shown variable efficacy, while propranolol and levodopa are generally ineffective.
Physical therapy and gait training may improve functional stability and reduce fall risk.
In refractory cases, deep brain stimulation of the ventral intermediate nucleus of the thalamus has been reported to significantly reduce tremor amplitude.
Patient education, psychological support, and lifestyle modifications—such as avoiding prolonged standing—are essential components of comprehensive management.
Which of the following best characterizes orthostatic tremor?
Answer: (B) A high-frequency (13–18 Hz) synchronous tremor occurring while standing

A 64-year-old woman with 40-pack-year smoking history presents with progressive gait ataxia, diplopia, and new-onset short-term memory impairment over 3 months. Neurological examination reveals limb dysmetria, truncal instability, and mild confusion, but no focal motor or sensory deficits. Brain MRI is unremarkable, and CSF shows mild lymphocytic pleocytosis without evidence of infection or malignancy. Serum testing reveals anti-Hu (ANNA-1) antibodies. Subsequent CT chest identifies small-cell lung carcinoma, leading to diagnosis of paraneoplastic limbic encephalitis and cerebellar degeneration.
Immune-mediated mechanism: - Immune response against shared antigens (onconeural antigens) expressed by tumor and neural tissue - Tumor-induced B and T lymphocyte activation → autoantibody production + cytotoxic neuronal damage - Cross-reactivity between tumor antigens and neuronal proteins
Antibody classification and prognosis:
1. Intracellular (cytoplasmic/nuclear) antibodies: - Examples: Anti-Hu (ANNA-1), Anti-Yo (PCA-1), Anti-Ri (ANNA-2), Anti-Ma2 - Mechanism: T-cell mediated neuronal destruction - Prognosis: Poor; irreversible neuronal damage - Treatment response: Limited response to immunotherapy - Associated syndromes: Limbic encephalitis, cerebellar degeneration, sensory neuronopathy
2. Cell-surface/synaptic antibodies: - Examples: Anti-NMDA receptor, Anti-LGI1, Anti-CASPR2, Anti-AMPA receptor - Mechanism: Antibody-mediated reversible synaptic dysfunction - Prognosis: Better; potential for recovery - Treatment response: More likely to respond to immunotherapy - Associated syndromes: Encephalitis, seizures, movement disorders
Common antibody-cancer-syndrome associations: - Anti-Hu (ANNA-1): SCLC → limbic encephalitis, sensory neuronopathy, encephalomyelitis - Anti-Yo (PCA-1): Ovarian/breast cancer → cerebellar degeneration - Anti-Ri (ANNA-2): Breast/SCLC → brainstem encephalitis, cerebellar ataxia - Anti-Ma2: Testicular germ cell tumor → limbic/brainstem encephalitis - Anti-CV2 (CRMP5): SCLC/thymoma → encephalomyelitis, chorea, uveitis
General characteristics: - Symptoms may precede tumor diagnosis by months to years - Typically subacute onset and progressive course (distinguishes from metabolic/infectious causes) - Can affect any level of nervous system
Central nervous system syndromes:
Limbic encephalitis: - Short-term memory loss, confusion - Seizures (temporal lobe) - Psychiatric changes (personality, mood, hallucinations) - MRI: T2/FLAIR hyperintensity in medial temporal lobes
Cerebellar degeneration: - Progressive ataxia (gait, limb, truncal) - Dysarthria - Nystagmus - MRI: cerebellar atrophy (late finding)
Brainstem encephalitis: - Cranial neuropathies - Nystagmus, vertigo - Dysphagia, dysarthria - Respiratory compromise (severe cases)
Encephalomyelitis: - Multifocal CNS involvement - Cognitive, motor, sensory deficits - Seizures
Peripheral nervous system syndromes:
Sensory neuronopathy (subacute sensory ganglionopathy): - Asymmetric sensory loss (pain, proprioception) - Sensory ataxia - Preserved motor function - Associated with anti-Hu
Motor neuropathy: - Guillain-Barré-like presentation - Progressive weakness - Areflexia
Autonomic dysfunction: - Orthostatic hypotension - Gastrointestinal dysmotility - Bladder dysfunction - Cardiac arrhythmias
Neuromuscular junction: - Lambert-Eaton myasthenic syndrome (LEMS) - SCLC - Myasthenia gravis - thymoma
Diagnostic criteria (2021 updated criteria): Requires clinical syndrome + onconeural antibody and/or cancer within 5 years
Clinical evaluation: - Detailed neurological examination - Subacute progressive symptoms (<3 months to peak) - Exclude other causes
Antibody testing: - Serum and CSF onconeural antibodies - High-risk antibodies: Anti-Hu, Anti-Yo, Anti-Ri, Anti-Ma2, Anti-CV2 - Intermediate-risk: Anti-SOX1, Anti-Tr, Anti-Zic4 - Send comprehensive paraneoplastic panel
Neuroimaging: - MRI brain/spine with contrast - Limbic encephalitis: T2/FLAIR hyperintensity in medial temporal lobes - Cerebellar degeneration: atrophy (late finding) - Often normal or subtle findings - FDG-PET brain: increased metabolism in affected regions
CSF analysis: - Lymphocytic pleocytosis (10-100 cells/μL) - Elevated protein - Oligoclonal bands - Normal glucose - Negative infectious workup
Cancer screening: - Comprehensive tumor search mandatory: - CT chest/abdomen/pelvis with contrast - FDG-PET/CT (most sensitive for occult malignancy) - Mammography, pelvic ultrasound (women) - Testicular ultrasound (men) - Repeat screening every 3-6 months if initial negative (up to 4 years) - Antibody type guides cancer search: - Anti-Hu → SCLC (chest CT) - Anti-Yo → ovarian/breast cancer - Anti-Ma2 → testicular germ cell tumor
Differential diagnosis: - Primary autoimmune encephalitis (without cancer) - Metastatic disease to CNS - Parainfectious/post-infectious encephalitis - Toxic/metabolic encephalopathy - Neurodegenerative disease (Alzheimer’s, CJD) - CNS lymphoma - Wernicke encephalopathy
Principle: Treat cancer + immunotherapy. Prognosis depends on antibody type and cancer treatment success.
Cancer treatment (cornerstone): - Identify and treat underlying malignancy promptly - Tumor-directed therapy often stabilizes or improves neurologic symptoms - Surgery, chemotherapy, radiation as appropriate for cancer type - Even partial tumor response may benefit neurologic symptoms
Immunotherapy:
First-line (especially for surface antibody syndromes): - Corticosteroids: methylprednisolone 1 g IV daily × 3-5 days, then oral taper - IVIG: 2 g/kg divided over 2-5 days - Plasma exchange (PLEX): 5-7 exchanges over 10-14 days - Often use combination approach
Second-line (refractory cases): - Rituximab: 375 mg/m² weekly × 4 doses (anti-CD20) - Cyclophosphamide: 750 mg/m² monthly - Mycophenolate mofetil: 1000-1500 mg twice daily - Tocilizumab: for refractory anti-NMDA receptor encephalitis
Symptomatic management: - Seizures: antiepileptic drugs (levetiracetam, lacosamide) - Ataxia: physical therapy, assistive devices - Dysautonomia: fludrocortisone, midodrine, salt supplementation - Cognitive/psychiatric: supportive care, cognitive rehabilitation - Pain: neuropathic pain management (gabapentin, pregabalin)
Monitoring: - Serial neurologic examinations - Repeat MRI to assess response - Monitor for cancer recurrence - Long-term follow-up essential
Prognosis:
Surface antibody syndromes: - Better prognosis - Potential for significant recovery with treatment - Examples: Anti-NMDA receptor, Anti-LGI1
Intracellular antibody syndromes: - Poor prognosis - Irreversible neuronal damage (T-cell mediated) - Incomplete recovery despite treatment - Examples: Anti-Hu, Anti-Yo, Anti-Ri
Factors predicting outcome: - Early cancer detection and treatment - Antibody type (surface vs. intracellular) - Severity at presentation - Promptness of immunotherapy initiation
oindent Which of the following antibodies is most commonly associated with paraneoplastic cerebellar degeneration in a patient with breast cancer?
Answer: (B) Anti-Yo (PCA-1)

Differential Diagnoses: Progressive Supranuclear Palsy | Multiple System Atrophy | Essential Tremor | Dementia with Lewy Bodies
Related Symptoms: Tremor | Bradykinesia | Rigidity | Gait Ataxia
Diagnostic Tests: DaTscan Imaging | Neurologic Examination
See Also: Dementia
A 68-year-old man presents with a 2-year history of progressive slowness of movement and stiffness, initially affecting his right hand.
His wife reports a resting tremor in the same hand and reduced arm swing while walking.
Examination reveals a pill-rolling tremor at rest, cogwheel rigidity, bradykinesia, and a stooped posture with shuffling gait.
The patient’s handwriting has become progressively smaller (micrographia), and he reports difficulty turning in bed and initiating movements.
These findings are consistent with idiopathic Parkinson’s disease (PD).
Parkinson’s disease is the second most common neurodegenerative disorder after Alzheimer’s disease.
The global prevalence is approximately 100–200 per 100,000 population, increasing to over 1,000 per 100,000 in individuals over 80 years.
The mean age of onset is around 60 years, with a slight male predominance.
Both genetic and environmental factors contribute to disease risk, including pesticide exposure, rural living, and certain gene mutations (e.g., LRRK2, PARK7, SNCA).
Family history is present in 10–15% of patients, suggesting a multifactorial etiology with genetic susceptibility.
PD is characterized by progressive loss of dopaminergic neurons in the substantia nigra pars compacta of the midbrain. The resultant dopamine deficiency in the nigrostriatal pathway disrupts basal ganglia circuitry, leading to impaired motor control.
Histopathologically, Lewy bodies, composed primarily of aggregated α-synuclein, are the hallmark intracellular inclusions.
Oxidative stress, mitochondrial dysfunction, neuroinflammation, and impaired protein degradation are implicated in neuronal degeneration.
The imbalance between dopaminergic inhibition and cholinergic excitation in the basal ganglia underlies the cardinal motor symptoms.
Key Mechanisms: - Dopaminergic neuron loss in substantia nigra pars compacta (>60-80% loss by symptom onset) - Lewy body pathology (α-synuclein aggregation) - Mitochondrial dysfunction and oxidative stress - Impaired protein clearance (ubiquitin-proteasome system, autophagy) - Basal ganglia circuit disruption (direct and indirect pathways)
Motor Symptoms (Cardinal Features): - The classic motor features include resting tremor (typically "pill-rolling"), bradykinesia, rigidity, and postural instability.
Tremor usually begins unilaterally, often in one hand, and diminishes with voluntary movement.
Bradykinesia manifests as reduced facial expression (hypomimia), soft speech (hypophonia), micrographia, and difficulty initiating or performing repetitive movements.
Gait abnormalities include reduced arm swing, shuffling steps, freezing episodes, and difficulty turning.
Non-Motor Symptoms (Often Precede Motor Signs): - Olfactory: Anosmia (loss of smell) - Gastrointestinal: Constipation, dysphagia - Sleep: REM sleep behavior disorder, insomnia - Psychiatric: Depression, anxiety, apathy - Autonomic: Orthostatic hypotension, urinary urgency - Cognitive: Executive dysfunction, later dementia (30-40%)
Asymmetric onset with resting tremor and clear levodopa responsiveness are hallmarks of idiopathic Parkinson’s disease. Non-motor symptoms (anosmia, REM sleep behavior disorder, constipation) often predate motor symptoms by years and are critical for early recognition.
Clinical Diagnosis: - Diagnosis is clinical, based on the presence of cardinal motor features, asymmetry of symptoms, and response to dopaminergic therapy.
Supportive findings include resting tremor, progression over time, and levodopa responsiveness (>70% improvement).
Imaging with dopamine transporter SPECT (DaTscan) can support diagnosis by demonstrating reduced striatal uptake but is not routinely required.
Differential Diagnosis Comparison:
| Feature | Parkinson’s Disease | PSP | MSA | Essential Tremor |
|---|---|---|---|---|
| Onset | Asymmetric | Symmetric | Symmetric | Symmetric |
| Tremor Type | Resting (4-6 Hz) | Rare/absent | Rare/postural | Action/postural (6-12 Hz) |
| Gait | Shuffling, festination | Early falls, backward | Broad-based, early falls | Normal |
| Eye Movements | Normal | Vertical gaze palsy | Normal | Normal |
| Autonomic | Late, mild | Mild | Early, severe (OH, urinary) | Absent |
| Levodopa Response | Excellent (>70%) | Poor (<30%) | Poor/transient | None |
| Cognitive | Late dementia | Early executive | Rare | Absent |
| Progression | Slow (years) | Rapid (3-5 yr) | Rapid (5-10 yr) | Stable |
Clinically Established PD requires: 1. Parkinsonism (bradykinesia + rest tremor OR rigidity) 2. Supportive Criteria (≥2): - Clear, dramatic response to dopaminergic therapy - Presence of levodopa-induced dyskinesia - Rest tremor in a limb - Olfactory loss or cardiac sympathetic denervation 3. No Absolute Exclusion Criteria: - Cerebellar signs, supranuclear gaze palsy - Frontotemporal dementia within 1 year - Parkinsonian features restricted to lower limbs for >3 years - Treatment with dopamine blockers - Absence of observable response to high-dose levodopa - Normal DaTscan 4. No Red Flags (see above)
Pharmacologic Treatment (Motor Symptoms):
| Drug Class | Examples | Typical Dose | Mechanism | Evidence Grade | Key Notes |
|---|---|---|---|---|---|
| Levodopa/DDI | Carbidopa/levodopa | 25/100 mg TID, titrate to effect | Dopamine precursor | Grade A | Gold standard; most effective; risk of dyskinesia with long-term use |
| Dopamine Agonists | Pramipexole, ropinirole | 0.5-4.5 mg/day PO | D2/D3 receptor agonist | Grade A | Delay motor complications; impulse control disorders risk |
| MAO-B Inhibitors | Rasagiline, selegiline | 1 mg/day (rasagiline) | Inhibit dopamine breakdown | Grade A | Mild symptomatic benefit; neuroprotection unclear |
| COMT Inhibitors | Entacapone | 200 mg with each levodopa dose | Prolong levodopa half-life | Grade B | Adjunct to levodopa; reduces “off” time |
| Anticholinergics | Benztropine | 0.5-2 mg BID | Reduce cholinergic excess | Grade C | For tremor; avoid in elderly (cognitive side effects) |
| Amantadine | Amantadine | 100 mg BID-TID | NMDA antagonist | Grade B | For dyskinesia; mild anti-parkinsonian effect |
Treatment Algorithm:
Non-Motor Symptom Management:
| Symptom | Treatment | Dose | Evidence Grade |
|---|---|---|---|
| Depression | SSRIs (citalopram, sertraline) | 10-20 mg/day | Grade B |
| Psychosis | Quetiapine, pimavanserin | 25-50 mg/day (quetiapine) | Grade B |
| Orthostatic Hypotension | Midodrine, fludrocortisone | 5-10 mg TID (midodrine) | Grade C |
| Constipation | Polyethylene glycol | 17 g/day | Grade B |
| REM Sleep Disorder | Melatonin, clonazepam | 3-12 mg HS (melatonin) | Grade C |
| Dementia | Rivastigmine | 4.6-9.5 mg/day patch | Grade A |
| Drooling | Glycopyrrolate, botulinum toxin | 1-2 mg TID (glycopyrrolate) | Grade B |
Surgical/Device-Based Therapies: - Deep Brain Stimulation (DBS): STN or GPi target; reduces motor fluctuations by 50-70%, reduces medication needs by 30-50% [Grade A, Strong] - Indications: Motor fluctuations, medication-refractory tremor, disabling dyskinesia, good levodopa response, no significant cognitive impairment - Risks: Infection (3-5%), intracerebral hemorrhage (1-2%), cognitive/psychiatric effects
Non-Pharmacologic Interventions: - Physical therapy: Gait training, balance exercises, flexibility [Grade B] - Occupational therapy: ADL optimization, home safety [Grade B] - Speech therapy: For dysarthria, dysphagia [Grade C] - Exercise: Regular aerobic exercise improves motor function [Grade B]
Which of the following features most strongly supports a diagnosis of idiopathic Parkinson’s disease?
Answer: (D) Asymmetric onset with clear levodopa responsiveness

Differential Diagnoses: CIDP | Diabetic Neuropathy | Radiculopathy | Myopathy
Related Symptoms: Numbness | Neuropathic Pain | Weakness | Autonomic Dysfunction
Diagnostic Tests: NCS/EMG | Laboratory Panel | Skin or Nerve Biopsy
A 58-year-old man with a 15-year history of poorly controlled type 2 diabetes presents with burning pain, numbness, and tingling in both feet for 8 months.
He reports difficulty walking in the dark and frequent tripping, though he denies muscle weakness.
Neurological examination reveals diminished vibration and pinprick sensation in a stocking-glove distribution, reduced ankle reflexes, and a positive Romberg sign.
Nerve conduction studies demonstrate reduced sensory nerve action potentials and slowed conduction velocities.
These findings are consistent with a length-dependent, symmetric, sensorimotor peripheral neuropathy, most likely diabetic in origin.
Peripheral neuropathy refers to damage or dysfunction of peripheral nerves, affecting sensory, motor, or autonomic fibers.
It affects approximately 2–3% of the general population and up to 50% of individuals with long-standing diabetes.
The prevalence increases with age and is more common in males, particularly when related to metabolic or toxic etiologies.
Diabetes mellitus, chronic alcohol use, vitamin deficiencies, and autoimmune diseases are the most frequent causes.
Genetic causes (e.g., Charcot-Marie-Tooth disease) and paraneoplastic or infectious etiologies (e.g., HIV, leprosy) contribute to a smaller but significant proportion of cases.
Sensory symptoms, including numbness, tingling, burning pain, and allodynia, often present in a "stocking-glove" distribution.
Motor involvement leads to distal weakness, muscle wasting, and reduced reflexes, while autonomic involvement can cause orthostatic hypotension, gastrointestinal dysmotility, and impotence.
Symptoms typically begin distally and ascend proximally over time (length-dependent pattern).
Focal mononeuropathies (e.g., carpal tunnel syndrome) and multifocal presentations (mononeuritis multiplex) may occur in vasculitic or infiltrative etiologies.
Severe cases may lead to gait instability, ulceration, and secondary infections due to sensory loss.
Length-dependent neuropathy marches “from toes to knees to fingers.” Ask about autonomic symptoms (orthostasis, gastroparesis) and inspect feet at every visit to prevent ulcers.
Diagnosis involves a detailed history and neurological examination focusing on distribution, modality, and progression of symptoms.
Nerve conduction studies and electromyography (EMG) differentiate between axonal and demyelinating processes.
Laboratory workup includes glucose, HbA1c, B12, thyroid function, renal and liver function, and serum protein electrophoresis.
Nerve biopsy is reserved for suspected vasculitic, amyloid, or infiltrative neuropathies.
Differential diagnosis includes radiculopathy, myopathy, neuromuscular junction disorders, and central causes such as myelopathy or cortical lesions.
Differential Diagnosis Comparison:
| Feature | Distal Symmetric Polyneuropathy | CIDP | Vasculitic Neuropathy | Radiculopathy |
|---|---|---|---|---|
| Time Course | Chronic, gradual | Subacute/chronic >8 wks | Acute or stepwise asymmetric | Acute/subacute |
| Distribution | Stocking-glove | Proximal + distal | Multifocal (mononeuritis multiplex) | Dermatomal |
| Motor vs Sensory | Sensory > motor | Motor + sensory | Painful sensory/motor deficits | Both within single root |
| Reflexes | Reduced distally | Globally reduced | Reduced in affected nerves | Reduced in root distribution |
| NCS/EMG | Axonal loss | Demyelinating features | Axonal with conduction block | Normal or root-level changes |
| Key Tests | Metabolic labs, SPEP | CSF protein, MRI roots | ESR/CRP, ANCA, biopsy | Spine MRI |
Treat Underlying Etiology:
| Etiology | Core Interventions |
|---|---|
| Diabetes/metabolic | Tight glycemic control, lifestyle modification, SGLT2/GLP-1 agents |
| Toxic/chemotherapy | Dose reduction, alternative agents, antioxidant support |
| Autoimmune (CIDP, vasculitis) | IVIG, corticosteroids, plasma exchange, rituximab |
| Nutritional deficiency | Vitamin repletion (B12, thiamine) |
| Infectious | Pathogen-specific therapy (HIV, Lyme, leprosy) |
| Hereditary | Genetic counseling, supportive care |
Neuropathic Pain Control:
| Class | Examples | Evidence Grade | Clinical Notes |
|---|---|---|---|
| Gabapentinoids | Gabapentin, pregabalin | Grade A | First-line for painful diabetic neuropathy |
| SNRIs | Duloxetine, venlafaxine | Grade A | Benefit mood disorders |
| TCAs | Amitriptyline, nortriptyline | Grade B | Use bedtime dosing; caution in elderly |
| Topicals | Lidocaine 5% patch, capsaicin 8% | Grade B | Focal neuropathic pain |
| Opioids/tramadol | Second/third-line | Grade C | Short-term rescue only |
Supportive & Preventive Care: - Foot care/podiatry: Daily inspection, custom footwear, ulcer prevention. - Physical/occupational therapy: Balance training, gait aids, orthoses for foot drop. - Autonomic management: Compression stockings, midodrine/fludrocortisone for orthostasis; dietary changes for gastroparesis, bladder programs. - Education: Fall prevention, avoid barefoot walking, temperature checks to prevent burns.
Management Algorithm: 1. Classify neuropathy pattern (distal symmetric vs focal/multifocal; sensory vs motor). 2. Perform screening labs + NCS/EMG; pursue targeted tests based on findings. 3. Address reversible causes (optimize diabetes, stop neurotoxic agents, treat infections). 4. Initiate pain therapy (gabapentinoid or SNRI) and titrate; add topical agents as needed. 5. Escalate for immune-mediated disease with IVIG, steroids, or plasma exchange; consider rituximab/cyclophosphamide for refractory vasculitis. 6. Long-term follow-up: Monitor for progression, reinforce foot care, adjust therapy, and screen for autonomic or motor complications.
Which of the following features most strongly suggests a demyelinating rather than axonal peripheral neuropathy?
Answer: (B) Significantly slowed nerve conduction velocity

A 46-year-old man presents with difficulty lifting his right foot while walking, causing him to trip and drag his toes.
He reports numbness over the dorsum of the foot and lateral aspect of the leg, with no back pain or radicular symptoms.
Examination reveals foot drop, weakness of ankle dorsiflexion and eversion, and sensory loss in the peroneal distribution.
Deep tendon reflexes are preserved, and there is no significant thigh weakness.
Nerve conduction studies confirm focal slowing and conduction block of the common peroneal nerve across the fibular neck.
Peroneal neuropathy at the fibular head is the most common mononeuropathy of the lower limb.
It accounts for approximately 15–20% of all peripheral mononeuropathies.
The condition can affect individuals of any age but is most frequent in adults engaged in occupations or activities with prolonged leg crossing or squatting.
Men are affected slightly more often than women, likely due to occupational exposures.
Risk factors include rapid weight loss, trauma, compression, habitual leg crossing, and prolonged immobilization.
The common peroneal nerve (branch of the sciatic nerve) winds superficially around the fibular neck, making it highly vulnerable to compression and trauma.
External compression (e.g., tight casts, habitual leg crossing) and stretch injuries (e.g., squatting, rapid weight loss leading to decreased padding) are the most frequent causes.
Trauma, including fibular fractures or knee dislocations, can directly injure the nerve.
Less commonly, space-occupying lesions such as ganglion cysts or nerve sheath tumors can compress the nerve at the fibular tunnel.
Repetitive microtrauma can lead to demyelination and conduction block, whereas severe injuries cause axonal degeneration.
The hallmark sign is foot drop due to weakness of ankle dorsiflexion (tibialis anterior) and eversion (peroneus longus and brevis).
Patients may present with a steppage gait and frequent tripping.
Sensory loss involves the dorsum of the foot and lateral lower leg but spares the plantar surface (tibial nerve territory).
Tinel’s sign may be elicited over the fibular neck, reproducing paresthesias in the peroneal distribution.
Proximal leg muscles (e.g., hamstrings) are usually spared, helping to differentiate this condition from more proximal lesions.
Diagnosis is confirmed with nerve conduction studies (NCS) showing focal slowing or conduction block across the fibular neck and reduced CMAP amplitudes in severe cases.
Electromyography (EMG) reveals denervation in peroneal-innervated muscles distal to the lesion.
High-resolution ultrasound or MRI can identify structural causes such as ganglion cysts or mass lesions.
Differential diagnoses include L5 radiculopathy (associated with back pain and weakness of inversion), sciatic neuropathy (more extensive weakness), and motor neuron disease.
Clinical examination of muscle groups and reflexes, along with electrophysiologic patterns, helps distinguish these conditions.
The primary approach is to relieve compression, including avoiding leg crossing, adjusting casts, or addressing external pressure sources.
Physical therapy and ankle–foot orthoses (AFOs) improve gait stability and prevent falls.
Corticosteroids or surgical decompression may be considered for persistent compression or mass lesions.
In traumatic or severe axonal injuries, surgical exploration and nerve repair or grafting may be indicated.
Prognosis is generally good in compressive neuropathies, with most patients experiencing partial or complete recovery within 3–6 months.
Which of the following features most reliably distinguishes peroneal neuropathy at the fibular neck from L5 radiculopathy?
Answer: (D) Preservation of ankle inversion strength
Preston DC, Shapiro BE. Electromyography and Neuromuscular Disorders. 4th ed. Elsevier; 2020.
Stewart JD. Focal peripheral neuropathies. 4th ed. Philadelphia: Lippincott Williams & Wilkins; 2010.
Wilbourn AJ. Common peroneal mononeuropathy at the fibular head — clinical and electrophysiologic study of 116 lesions. Neurology. 1988;38(11):1723–1728. DOI: 10.1212/WNL.38.11.1723

A 45-year-old woman presents with a 6-month history of dull, aching pain in the left buttock radiating down the posterior thigh.
Pain worsens with prolonged sitting, climbing stairs, or after running, but there is no history of trauma.
Neurological examination reveals no motor deficit or sensory loss in the lower limb, but there is tenderness over the sciatic notch.
Passive internal rotation of the hip in flexion reproduces her pain.
Magnetic resonance imaging (MRI) of the lumbar spine is unremarkable, suggesting a diagnosis of piriformis syndrome.
Piriformis syndrome is an uncommon cause of extraspinal sciatica, accounting for approximately 5–6% of cases.
It most commonly affects adults between 30 and 60 years of age, with a higher prevalence in women.
Risk factors include repetitive trauma, prolonged sitting, excessive physical activity, anatomical variations, and direct injury to the gluteal region.
Athletes, particularly runners and cyclists, are at increased risk due to overuse of the hip external rotators.
Misdiagnosis is frequent, as the syndrome mimics lumbar radiculopathy and other causes of sciatica.
Piriformis syndrome results from irritation or compression of the sciatic nerve by the piriformis muscle as it exits the greater sciatic foramen.
The piriformis muscle originates from the anterior sacrum and inserts into the greater trochanter, functioning as an external rotator and abductor of the hip.
Muscle spasm, hypertrophy, or inflammation can narrow the space adjacent to the sciatic nerve, leading to entrapment.
Anatomical variations, such as sciatic nerve piercing the piriformis muscle, occur in up to 15% of individuals and increase susceptibility.
Chronic irritation may cause local fibrosis and nerve sensitization, perpetuating pain even in the absence of acute inflammation.
Patients typically present with buttock pain radiating along the posterior thigh, mimicking sciatica.
Pain is often aggravated by prolonged sitting, squatting, climbing stairs, or activities that involve hip rotation.
Localized tenderness over the piriformis muscle and positive provocative maneuvers (e.g., FAIR test — Flexion, Adduction, Internal Rotation) are characteristic.
Unlike lumbar radiculopathy, neurological deficits such as muscle weakness or dermatomal sensory loss are usually absent.
Symptoms may improve with ambulation and worsen with inactivity, differentiating it from spinal causes.
Diagnosis is primarily clinical and based on characteristic history, physical examination, and exclusion of other causes of sciatica.
Imaging (MRI or ultrasound) can rule out lumbar disc herniation, tumors, or other structural causes but is often normal in piriformis syndrome.
Electromyography (EMG) may show delayed H-reflex latency in the affected limb, supporting the diagnosis.
Differential diagnoses include lumbar radiculopathy, sacroiliac joint dysfunction, ischial bursitis, gluteal tendinopathy, and peripheral neuropathies.
Diagnostic piriformis injection with local anesthetic can confirm the diagnosis if it provides temporary pain relief.
Initial management focuses on conservative therapy, including physical therapy, stretching, and activity modification.
Nonsteroidal anti-inflammatory drugs (NSAIDs) and muscle relaxants can alleviate pain and reduce inflammation.
Local corticosteroid or botulinum toxin injections into the piriformis muscle may provide symptomatic relief in refractory cases.
Ultrasound- or CT-guided injections improve precision and efficacy.
Surgical decompression is rarely required but may be considered for persistent, disabling cases unresponsive to conservative therapy.
Which of the following clinical findings most strongly supports a diagnosis of piriformis syndrome rather than lumbar radiculopathy?
Answer: (C) Tenderness over the sciatic notch with pain on hip internal rotation.

A 42-year-old woman presents with progressive headaches, blurred vision, and irregular menstrual cycles for the past six months.
On examination, she has bitemporal hemianopia and mild galactorrhea.
Laboratory tests reveal elevated serum prolactin levels, while thyroid, adrenal, and gonadal hormones are within normal range.
MRI of the brain shows a 1.5 cm sellar mass extending into the suprasellar cistern, compressing the optic chiasm.
These findings are consistent with a pituitary macroadenoma, most likely a prolactinoma.
Pituitary adenomas are benign tumors arising from adenohypophyseal cells and account for approximately 10–15% of all intracranial neoplasms.
They are typically classified by size into microadenomas (<1 cm) and macroadenomas (≥1 cm), and by function as functioning (hormone-secreting) or non-functioning.
Prolactinomas are the most common subtype, followed by growth hormone (GH)-secreting and adrenocorticotropic hormone (ACTH)-secreting adenomas.
They occur most frequently between the third and fifth decades of life, with a slight female predominance in prolactinomas.
Rarely, they are associated with genetic syndromes such as multiple endocrine neoplasia type 1 (MEN1).
Pituitary adenomas originate from monoclonal expansion of a single mutated pituitary cell, leading to excessive proliferation and, in functioning tumors, hormone hypersecretion.
Mutations affecting G-protein signaling pathways (e.g., GNAS in GH-secreting adenomas) or transcription factors involved in pituitary lineage differentiation contribute to tumorigenesis.
Hormone-secreting adenomas cause clinical syndromes due to excessive production of hormones such as prolactin, GH, ACTH, TSH, or gonadotropins.
Non-functioning adenomas cause symptoms mainly through mass effect, including visual field defects, hypopituitarism, and headache.
Tumor growth can compress the optic chiasm, hypothalamus, or cavernous sinus, resulting in neuro-ophthalmological and neurological manifestations.
Clinical presentation depends on tumor size and hormone secretion profile.
Functioning adenomas produce specific syndromes: prolactinomas cause galactorrhea and amenorrhea; GH-secreting adenomas cause acromegaly or gigantism; ACTH-secreting tumors cause Cushing disease.
Non-functioning adenomas often present late with headaches, visual field defects (especially bitemporal hemianopia), and hypopituitarism due to compression of normal pituitary tissue.
Mass effect on the cavernous sinus may lead to cranial nerve palsies, while sudden tumor hemorrhage (pituitary apoplexy) causes acute headache, visual loss, and adrenal crisis.
Additional systemic features may include fatigue, infertility, sexual dysfunction, and metabolic disturbances.
Diagnosis involves hormonal evaluation, visual field testing, and neuroimaging (preferably MRI with contrast).
Hormonal assessment includes prolactin, IGF-1 (for GH excess), cortisol and ACTH (for Cushing disease), and TSH, LH, and FSH levels.
MRI typically reveals a well-circumscribed sellar or suprasellar mass; macroadenomas may show cavernous sinus invasion or suprasellar extension.
Differential diagnoses include craniopharyngioma, meningioma, Rathke cleft cyst, metastatic lesions, and hypophysitis.
Visual field testing is essential for tumors near the optic chiasm, and dynamic endocrine testing may be necessary to confirm functional adenomas.
Management depends on tumor type, size, and clinical manifestations.
Prolactinomas are primarily treated with dopamine agonists (e.g., cabergoline or bromocriptine), which normalize prolactin levels and shrink tumors.
Surgical resection via a transsphenoidal approach is indicated for non-functioning macroadenomas, visual compromise, apoplexy, or functioning adenomas unresponsive to medical therapy.
Adjunctive radiotherapy is reserved for residual or recurrent tumors not amenable to surgery or medical therapy.
Long-term follow-up with periodic hormonal assays and MRI is necessary to monitor recurrence or progression.
oindent Which of the following is the first-line treatment for a macroprolactinoma?
Answer: (B) Dopamine agonist therapy

A 78-year-old man with history of HTN, CAD, Afib, Aortic stenosis who underwent surgery. Few days into rehab he develops acute headache, vision changes and bilateral ptosis.
He has ophthalmoplegia and bilateral ptosis with bilateral hemianopsia on evaluation.
CT Head shows a potential pituitary tumor.
MRI of the brain shows hemorrhage within the pituitary mass, consistent with apoplexy.
He is admitted urgently and started on high-dose intravenous hydrocortisone, with neurosurgical consultation obtained.
Pituitary apoplexy occurs in approximately 2–12% of patients with pituitary adenomas, most often in macroadenomas.
It typically affects adults in the fifth or sixth decades of life and shows a slight male predominance.
Although often spontaneous, it may be precipitated by major surgery, anticoagulation, head trauma, pregnancy, or pituitary stimulation tests.
Most cases are associated with non-functioning pituitary adenomas, but functional adenomas can also be involved.
The incidence is likely underreported due to misdiagnosis or subclinical presentations.
Apoplexy results from acute hemorrhage or infarction within the pituitary gland, usually in a pre-existing adenoma.
Rapid tumor expansion leads to increased intrasellar pressure, compressing surrounding neural and vascular structures.
Potential mechanisms include impaired perfusion, venous infarction, and tumor necrosis triggered by systemic hypotension or coagulopathy.
Enlargement of the tumor may cause compression of the optic chiasm and cavernous sinus, leading to visual and cranial nerve symptoms.
The resulting endocrine disruption may cause acute adrenal insufficiency and other pituitary hormone deficits.
The hallmark symptom is sudden-onset severe headache, typically retro-orbital or frontal in location.
Visual disturbances such as bitemporal hemianopia and diplopia occur due to optic chiasm and cranial nerve compression.
Nausea, vomiting, photophobia, and decreased consciousness may accompany the presentation.
Acute adrenal insufficiency may manifest as hypotension, fatigue, or altered mental status, and is potentially fatal.
Fever and meningeal signs may mimic meningitis, complicating the clinical picture.
MRI with contrast is the imaging modality of choice and reveals hemorrhage or infarction in the pituitary region.
Laboratory studies should assess cortisol, ACTH, TSH, free T4, LH/FSH, prolactin, and IGF-1 to evaluate pituitary function.
CT scan may show hyperdensity in the sellar region but is less sensitive than MRI, particularly in early stages.
Differential diagnoses include subarachnoid hemorrhage, meningitis, cavernous sinus thrombosis, craniopharyngioma hemorrhage, and Rathke cleft cyst rupture.
CSF analysis is avoided unless there is suspicion of CNS infection and imaging excludes mass effect.
Immediate administration of intravenous corticosteroids (e.g., hydrocortisone) is crucial to treat adrenal insufficiency and reduce edema.
Neurosurgical decompression via the transsphenoidal route is indicated for patients with severe visual loss, deteriorating consciousness, or progressive neurological deficits.
Stable patients with mild symptoms may be managed conservatively with close monitoring and hormonal replacement.
Long-term follow-up involves periodic MRI imaging and endocrinologic reassessment to monitor for tumor regrowth and hormone deficits.
Hormone replacement may be required for adrenal, thyroid, gonadal, or growth hormone deficiencies depending on the extent of pituitary damage.
Which of the following is the most immediate life-saving intervention in a patient presenting with pituitary apoplexy and hypotension?
Answer: (C) Intravenous corticosteroid therapy

A 55-year-old man presents with progressive distal lower limb weakness, numbness, and tingling over 8 months.
He reports significant unintentional weight loss, erectile dysfunction, and chronic fatigue.
Physical examination reveals symmetric sensorimotor polyneuropathy, hyperpigmented skin, hepatosplenomegaly, and bilateral lower extremity edema.
Laboratory studies demonstrate elevated vascular endothelial growth factor (VEGF), monoclonal IgA lambda paraprotein, and thrombocytosis.
These findings suggest a multisystem plasma cell disorder consistent with POEMS syndrome.
POEMS syndrome is a rare multisystem paraneoplastic disorder caused by an underlying plasma cell dyscrasia.
The acronym POEMS refers to its major features: Polyneuropathy, Organomegaly, Endocrinopathy, Monoclonal protein, and Skin changes.
Incidence is estimated at less than 1 per 1,000,000 annually, with a slight male predominance and median onset in the 5th to 6th decade.
The condition is more common in Asian populations, particularly in Japan and China.
Many patients are initially misdiagnosed with chronic inflammatory demyelinating polyneuropathy (CIDP) due to overlapping neuropathic features.
The disease is driven by a clonal plasma cell proliferation that secretes monoclonal immunoglobulins (commonly IgA or IgG lambda).
Excessive secretion of cytokines, particularly VEGF, leads to increased vascular permeability, angiogenesis, and systemic manifestations.
The neuropathy is thought to be due to cytokine-mediated microvascular damage rather than direct deposition of immunoglobulin.
Endocrinopathies arise from cytokine-induced glandular dysfunction and autoimmunity rather than direct infiltration.
Castleman disease (a lymphoproliferative disorder) can be associated and may contribute to the cytokine milieu in POEMS.
The hallmark is a progressive, symmetric, distal sensorimotor polyneuropathy, typically demyelinating with secondary axonal loss.
Organomegaly may include hepatosplenomegaly or lymphadenopathy, while endocrinopathies often involve gonadal failure, hypothyroidism, or diabetes.
Skin changes such as hyperpigmentation, hemangiomas, hypertrichosis, and white nails are characteristic.
Additional features include edema, ascites, papilledema, sclerotic bone lesions, and thrombocytosis or polycythemia.
Systemic symptoms such as weight loss, fatigue, and night sweats are common and often precede the diagnosis.
Diagnosis requires the presence of both polyneuropathy and a monoclonal plasma cell proliferative disorder, plus at least one major and one minor criterion.
Major criteria include sclerotic bone lesions, Castleman disease, and elevated VEGF levels.
Minor criteria include organomegaly, endocrinopathy, skin changes, papilledema, extravascular volume overload, and thrombocytosis/polycythemia.
Differential diagnoses include CIDP, multiple myeloma, AL amyloidosis, and systemic vasculitis.
Electrophysiological studies show demyelinating neuropathy, and bone imaging often reveals sclerotic rather than lytic lesions.
Treatment targets the underlying plasma cell clone, which may involve localized radiation for solitary plasmacytomas or systemic therapy for disseminated disease.
Systemic treatment options include alkylating agents (e.g., melphalan) with corticosteroids, immunomodulatory agents (e.g., lenalidomide), or proteasome inhibitors (e.g., bortezomib).
Autologous hematopoietic stem cell transplantation (ASCT) offers durable remission in eligible patients with systemic disease.
Supportive care includes management of neuropathic symptoms, endocrine abnormalities, and volume overload.
Regular monitoring of VEGF levels and organ function is essential for assessing treatment response and disease activity.
Which of the following findings most strongly supports a diagnosis of POEMS syndrome over CIDP?
Answer: (B) Elevated VEGF levels and sclerotic bone lesions

A 70-year-old woman presents with a 2-month history of bilateral shoulder and hip girdle pain, accompanied by morning stiffness lasting over an hour.
She denies joint swelling, focal muscle weakness, or sensory changes but reports low-grade fever and unintentional weight loss.
Physical examination reveals restricted active range of motion in the shoulders and hips due to pain but no synovitis or muscle atrophy.
Laboratory investigations show elevated erythrocyte sedimentation rate (ESR) and C-reactive protein (CRP) levels, with normal creatine kinase (CK).
She experiences dramatic symptomatic improvement within 48 hours of starting low-dose corticosteroids, confirming the diagnosis of polymyalgia rheumatica (PMR).
PMR is a common inflammatory rheumatic condition affecting older adults, predominantly those over 50 years of age.
It has a higher prevalence in populations of Northern European descent, with an incidence of approximately 50–100 cases per 100,000 people over age 50.
Women are affected about twice as often as men.
The disease shows a strong age-related association, with peak incidence between 70 and 80 years.
Up to 20% of patients with PMR may develop giant cell arteritis (GCA), and about 40–60% of patients with GCA have PMR symptoms.
The precise pathogenesis of PMR remains unclear but is thought to involve a combination of genetic predisposition and environmental triggers, such as infections.
Immune dysregulation leads to systemic inflammation with increased levels of interleukin-6 (IL-6) and other proinflammatory cytokines.
The inflammatory process primarily affects periarticular structures such as bursae, tendons, and synovial membranes rather than muscle fibers.
Histopathologic findings are often nonspecific, with evidence of synovitis and bursitis in affected regions.
Genetic associations with HLA-DRB1 alleles and polymorphisms in immune regulatory genes have been reported.
PMR is characterized by bilateral aching and stiffness of the shoulder and pelvic girdles, typically worse in the morning and after periods of inactivity.
Symptoms often develop subacutely over weeks and can be associated with constitutional manifestations such as fatigue, low-grade fever, weight loss, and malaise.
Muscle strength is preserved, but movement is limited due to pain and stiffness rather than true weakness.
Peripheral manifestations, including distal arthritis or tenosynovitis, may occur in a minority of patients.
Coexistent GCA should be suspected in patients presenting with new-onset headache, scalp tenderness, jaw claudication, or visual disturbances.
Diagnosis is clinical, supported by elevated acute-phase reactants (ESR, CRP) and rapid response to low-dose corticosteroids.
Muscle enzymes (e.g., CK) are normal, helping to distinguish PMR from inflammatory myopathies.
Imaging, such as ultrasound or MRI, may show subdeltoid bursitis, biceps tenosynovitis, or hip synovitis.
Differential diagnoses include polymyositis, rheumatoid arthritis (especially elderly-onset RA), hypothyroidism, paraneoplastic syndromes, and degenerative shoulder disease.
Temporal artery biopsy is indicated if GCA is suspected to confirm vasculitis and guide management.
The cornerstone of treatment is low-dose corticosteroids (e.g., prednisone 10–20 mg/day), which typically lead to rapid symptom resolution.
Gradual tapering is recommended over months to years, guided by clinical response and normalization of inflammatory markers.
Methotrexate or other steroid-sparing agents may be considered for patients with relapsing disease or steroid-related side effects.
Tocilizumab, an IL-6 receptor antagonist, shows promise in refractory cases, though its use is more established in GCA.
Regular follow-up is necessary to monitor for relapse, treatment-related adverse effects, and development of GCA.
Which of the following features best distinguishes polymyalgia rheumatica from polymyositis?
Answer: (D) Rapid response to low-dose corticosteroids

A 48-year-old woman presents with progressive difficulty climbing stairs and lifting objects over the past 3 months.
She denies rash, sensory loss, or fasciculations but reports occasional myalgias and fatigue.
Neurological examination shows symmetric proximal muscle weakness in the hip and shoulder girdles, with preserved reflexes and sensation.
Serum creatine kinase (CK) is markedly elevated, and electromyography reveals a myopathic pattern with increased insertional activity.
Muscle biopsy demonstrates endomysial infiltration by CD8 T cells invading non-necrotic muscle fibers, consistent with polymyositis.
Polymyositis is an idiopathic inflammatory myopathy characterized by chronic, immune-mediated muscle inflammation and weakness.
It is rare, with an estimated annual incidence of 1–10 cases per million, most commonly affecting adults between 30 and 60 years of age.
Women are affected approximately twice as often as men.
Polymyositis is less common than dermatomyositis and inclusion body myositis, representing roughly one-third of idiopathic inflammatory myositis cases.
It may occur as part of an overlap syndrome with other autoimmune diseases such as systemic lupus erythematosus or systemic sclerosis.
Polymyositis is primarily a cell-mediated autoimmune disease targeting skeletal muscle fibers.
The hallmark is infiltration of muscle by CD8cytotoxic T lymphocytes and macrophages, which recognize muscle fibers expressing MHC class I antigens.
These immune cells directly invade and destroy non-necrotic muscle fibers, leading to muscle fiber necrosis and regeneration.
Chronic inflammation promotes fibrosis and muscle fiber atrophy over time, contributing to progressive weakness.
Myositis-specific autoantibodies (e.g., anti-Jo-1) are often present and associated with interstitial lung disease and other systemic features.
The cardinal manifestation is symmetric proximal muscle weakness, particularly in the hip and shoulder girdle muscles.
Patients commonly report difficulty rising from a seated position, climbing stairs, or lifting objects overhead.
Myalgias are variable and usually mild, while muscle atrophy occurs in advanced disease.
Extra-muscular involvement may include interstitial lung disease, myocarditis, dysphagia due to pharyngeal muscle weakness, and rarely, arthritis.
Unlike dermatomyositis, polymyositis does not feature characteristic skin manifestations.
Diagnosis is based on clinical presentation, elevated serum muscle enzymes (CK, aldolase), electromyographic findings, and confirmatory muscle biopsy.
EMG typically shows increased insertional activity, fibrillation potentials, and short-duration, low-amplitude motor unit potentials.
MRI can help localize active inflammation and guide biopsy.
Differential diagnoses include dermatomyositis (distinguished by skin manifestations and perivascular pathology), inclusion body myositis (asymmetric and distal involvement), drug-induced myopathies, hypothyroid myopathy, and muscular dystrophies.
Detection of myositis-specific autoantibodies (e.g., anti-Jo-1, anti-SRP) aids in classification and prognostication.
First-line treatment consists of high-dose corticosteroids (e.g., prednisone 1 mg/kg/day) followed by gradual tapering based on clinical and biochemical response.
Immunosuppressive agents such as azathioprine, methotrexate, or mycophenolate mofetil are commonly added as steroid-sparing agents.
Intravenous immunoglobulin (IVIG) and rituximab are reserved for refractory cases or patients with severe systemic involvement.
Supportive management includes physical therapy, management of dysphagia, and pulmonary evaluation in cases with suspected interstitial lung disease.
Regular follow-up is essential to monitor disease activity, treatment response, and potential complications.
oindent Which of the following histopathological features is most characteristic of polymyositis?
Answer: (B) Endomysial infiltration by CD8 T cells invading non-necrotic fibers

A 32-year-old woman presents with acute, severe abdominal pain and nausea lasting for several days, followed by progressive weakness in her upper and lower limbs.
Neurological examination reveals flaccid paresis predominantly affecting proximal muscles, with preserved sensation but marked autonomic dysfunction, including tachycardia and hypertension.
There is no history of trauma, infection, or toxin exposure, and routine laboratory investigations are largely unremarkable.
Over the next 48 hours, she develops bulbar weakness and respiratory insufficiency requiring ventilatory support.
Further evaluation reveals elevated urinary porphobilinogen and aminolevulinic acid levels, confirming acute hepatic porphyria.
Porphyria neuropathy occurs primarily in the setting of acute hepatic porphyrias (AHP), including acute intermittent porphyria (AIP), hereditary coproporphyria, and variegate porphyria.
It is rare, with an estimated prevalence of 1 in 75,000–100,000, but underdiagnosis is common due to nonspecific early symptoms.
Attacks are more frequent in women of reproductive age, often precipitated by hormonal changes, drugs, fasting, or stress.
Neuropathy occurs in 10–40% of acute attacks, typically after several days of abdominal or neurovisceral symptoms.
The condition carries significant morbidity and mortality, especially if respiratory involvement is not promptly recognized and treated.
Porphyria neuropathy results from the accumulation of neurotoxic heme precursors such as delta-aminolevulinic acid (ALA) and porphobilinogen (PBG), which disrupt axonal function.
These metabolites impair neuronal membrane excitability and oxidative phosphorylation, leading to predominantly motor axonal neuropathy.
Autonomic dysfunction arises from involvement of preganglionic sympathetic and parasympathetic fibers, often preceding motor weakness.
The neuropathy typically progresses proximally and symmetrically, but asymmetric or focal presentations can occur.
Severe cases can involve cranial nerves, respiratory muscles, and lead to life-threatening paralysis if untreated.
Acute attacks often begin with severe abdominal pain, nausea, vomiting, and neurovisceral symptoms before the onset of neuropathy.
Motor weakness develops subacutely, usually starting in proximal muscles of the upper limbs and progressing to generalized flaccid paralysis.
Sensory involvement is minimal or absent, though patients may experience paresthesias or neuropathic pain.
Autonomic features include tachycardia, hypertension, sweating abnormalities, and urinary retention.
Bulbar involvement and respiratory failure are critical complications that significantly increase mortality risk.
Diagnosis is confirmed by elevated urinary porphobilinogen (PBG) and delta-aminolevulinic acid (ALA) during acute attacks.
Electrophysiological studies show a predominantly motor axonal neuropathy with reduced compound muscle action potentials.
MRI is typically normal but may be useful to rule out alternative causes such as Guillain-Barré syndrome (GBS) or myelitis.
Differential diagnoses include GBS (more rapid progression, albuminocytologic dissociation), toxic neuropathies, and vasculitic neuropathies.
Genetic testing can confirm the specific enzyme defect underlying the type of acute hepatic porphyria.
Immediate cessation of precipitating factors such as porphyrinogenic drugs, fasting, or alcohol is essential.
Administration of intravenous hemin is the cornerstone of therapy, replenishing hepatic heme stores and downregulating ALA synthase.
Supportive care includes careful fluid and electrolyte management, analgesia, and intensive monitoring for autonomic instability.
Respiratory support, including mechanical ventilation, may be required in severe neuromuscular involvement.
Long-term prevention involves avoidance of triggers, patient education, and in recurrent cases, prophylactic hemin or RNA interference therapies (e.g., givosiran).
Which of the following features best differentiates porphyria neuropathy from Guillain-Barré syndrome?
Answer: (B) Predominantly motor axonal neuropathy with preserved sensation

Differential Diagnoses: Persistent Post-Traumatic Headache | Post-Traumatic Stress Disorder | Vestibular Dysfunction | Migraine
Related Symptoms: Headache | Cognitive slowing (“brain fog”) | Sleep disturbance | Emotional lability
Diagnostic Tools: Neuropsychological Testing | Vestibular/Oculomotor Screening | Symptom Inventories (SCAT, PCSS)
A 34-year-old man presents 6 weeks after a mild traumatic brain injury sustained in a bicycle accident, during which he did not lose consciousness but was briefly disoriented.
He reports persistent headaches, difficulty concentrating, memory lapses, and increased irritability interfering with his work.
He also describes sleep disturbances, fatigue, and heightened sensitivity to light and noise.
Neurological examination is normal, and routine imaging shows no acute abnormalities.
His presentation is consistent with post-concussion syndrome (PCS), a common but often under-recognized sequela of mild traumatic brain injury.
Post-concussion syndrome occurs in approximately 10–30% of individuals following mild traumatic brain injury (mTBI), though prevalence varies across studies.
It is more common in adults than children and occurs more frequently in females and older patients.
Risk factors include prior concussions, pre-existing psychiatric conditions, and lower educational attainment.
Most patients develop symptoms within days to weeks after injury, and while many recover within 3 months, a significant minority experience symptoms for a year or more.
PCS contributes substantially to healthcare utilization and socioeconomic burden due to prolonged cognitive and functional impairment.
PCS manifests as a constellation of somatic, cognitive, and emotional symptoms that persist beyond the expected recovery period of a concussion.
Somatic features include headache, dizziness, photophobia, phonophobia, and sleep disturbances.
Cognitive symptoms include difficulty concentrating, memory impairment, slowed processing speed, and reduced executive function.
Emotional and behavioral manifestations such as irritability, anxiety, depression, and emotional lability are common.
Symptoms often fluctuate and may be exacerbated by stress, fatigue, or additional head trauma.
Reassure patients that gradual return to activity is safe—prolonged complete rest (>48 hours) may actually worsen recovery; target symptom-limited physical and cognitive loading.
PCS is a clinical diagnosis, established when symptoms persist for weeks to months following a concussion and cannot be explained by other causes.
Neuroimaging is usually normal but may be used to exclude structural lesions or other intracranial pathology.
Neuropsychological testing can help characterize cognitive deficits and guide rehabilitation strategies.
Differential diagnoses include chronic subdural hematoma, depression, post-traumatic stress disorder, vestibular dysfunction, and migraine.
It is essential to distinguish PCS from malingering or symptom exaggeration, particularly in medico-legal contexts.
Differential Diagnosis Comparison:
| Feature | Post-Concussion Syndrome | Chronic Subdural Hematoma | PTSD | Vestibular Disorder |
|---|---|---|---|---|
| Onset after injury | Days–weeks, persistent >4 wks | Weeks–months with progressive deficits | Variable, trauma-related | Immediate dizziness/imbalance |
| Imaging | Normal | Subdural collection on CT/MRI | Normal | Normal/vestibular testing abnormal |
| Symptoms | Headache, cognitive fog, mood changes | Focal deficits, gait disturbance | Hyperarousal, reliving trauma | Vertigo, imbalance |
| Exam | Often normal | Focal neuro signs | Psychiatric signs | Abnormal vestibular tests |
Foundational Strategies:
| Intervention | Details |
|---|---|
| Education & reassurance | Normalize recovery trajectory, set expectations |
| Graded return to activity | Symptom-limited cognitive/physical rest for 24–48 h, then progressive loading |
| Sleep hygiene & lifestyle | Regular sleep schedule, hydration, nutrition, limit alcohol/caffeine |
Symptom-Targeted Therapies:
| Symptom Cluster | Interventions |
|---|---|
| Headache | Non-opioid analgesics, migraine prophylaxis (topiramate, amitriptyline), nerve blocks for occipital headache |
| Cognitive slowing | Cognitive rehab, occupational therapy, structured routines |
| Mood/Anxiety | SSRIs/SNRIs, CBT, mindfulness therapies |
| Sleep disturbances | Sleep hygiene, short-term melatonin, CBT for insomnia |
| Vestibular/ocular symptoms | Vestibular rehab, vision therapy, prism glasses |
| Autonomic dysregulation | Hydration, graded exercise, consider fludrocortisone or beta-blockers in selected cases |
Management Algorithm: 1. Initial assessment (first 1–2 weeks): Rule out red flags, provide education, brief rest, plan gradual return. 2. Persistent symptoms (>4 weeks): Multidisciplinary evaluation (neuropsychology, vestibular, mental health). 3. Targeted treatments for dominant symptom clusters; address comorbidities (migraine, mood disorders, sleep apnea). 4. Monitor progress every 2–4 weeks; escalate to specialty concussion clinic if refractory. 5. Vocational/school accommodations and social support for prolonged cases.
Which of the following best describes post-concussion syndrome (PCS)?
Answer: (C) A constellation of cognitive, emotional, and somatic symptoms

A 62-year-old woman presents with progressive difficulty reading, judging distances, and recognizing faces over the past two years.
She reports no significant memory loss but struggles with dressing and navigating familiar environments.
Neurological examination reveals visuospatial deficits, optic ataxia, and elements of Balint syndrome, while language and motor function remain intact.
MRI of the brain shows prominent parietal and occipital cortical atrophy, with relative sparing of the hippocampi.
These findings suggest posterior cortical atrophy (PCA), a neurodegenerative syndrome primarily affecting posterior cortical networks.
PCA is a rare, early-onset neurodegenerative condition most commonly linked to Alzheimer’s disease (AD), accounting for 5% of AD cases.
The mean age of onset is typically between 50 and 65 years, and the disease affects men and women equally.
Due to its rarity and atypical presentation, PCA is often misdiagnosed as primary ophthalmologic or psychiatric disease.
Most cases are sporadic, but rare familial forms associated with APP, PSEN1, or PSEN2 mutations have been reported.
The average disease duration is approximately 8–12 years, similar to typical AD, but patients often retain memory until late stages.
PCA results from selective neurodegeneration in the parieto-occipital and posterior temporal cortices.
The majority of cases (≈80%) are due to underlying Alzheimer’s pathology with amyloid-β plaques and neurofibrillary tangles.
Less commonly, PCA can result from dementia with Lewy bodies, corticobasal degeneration, or prion disease.
The selective vulnerability of posterior cortical regions leads to prominent visuospatial and visuoperceptual dysfunction.
Neuroimaging and neuropathology show marked atrophy and hypometabolism in dorsal and ventral visual processing streams.
Patients typically present with progressive visual processing deficits despite preserved visual acuity.
Key features include visuospatial disorientation, simultanagnosia, optic ataxia, ocular apraxia, and visual agnosia.
Gerstmann syndrome (acalculia, agraphia, left-right disorientation, finger agnosia) and alexia without agraphia may also occur.
Unlike typical Alzheimer’s disease, episodic memory, insight, and language are relatively spared in early stages.
As the disease progresses, cognitive decline becomes more global, and features of typical Alzheimer’s dementia emerge.
Diagnosis is based on progressive visuospatial and visuoperceptual dysfunction with posterior cortical involvement on neuroimaging.
MRI shows parieto-occipital atrophy, and FDG-PET or SPECT demonstrates hypometabolism in posterior cortices.
Cerebrospinal fluid biomarkers (low Aβ42, elevated tau) or amyloid PET may support underlying Alzheimer’s pathology.
Differential diagnoses include dementia with Lewy bodies (visual hallucinations, parkinsonism), corticobasal syndrome, and Creutzfeldt-Jakob disease.
Ophthalmologic conditions (e.g., macular degeneration, glaucoma) should be excluded before diagnosing PCA.
No disease-modifying therapies exist; management focuses on symptomatic treatment and functional support.
Cholinesterase inhibitors (e.g., donepezil) or memantine may provide cognitive benefit, particularly in Alzheimer’s-related PCA.
Occupational therapy, visual rehabilitation, and adaptive strategies (e.g., high-contrast environments, large-print materials) are crucial.
Psychological support for patients and caregivers is essential due to high rates of anxiety and depression.
Emerging disease-modifying approaches, including anti-amyloid monoclonal antibodies, are under investigation for underlying AD pathology.
Which of the following features most strongly supports a diagnosis of posterior cortical atrophy over typical Alzheimer’s disease?
Answer: (B) Prominent visuospatial dysfunction with preserved visual acuity

A 48-year-old carpenter presents with progressive weakness of finger extension over the past 3 weeks.
He denies pain, numbness, or tingling in the hand but reports difficulty in extending his fingers and wrist when using tools.
On examination, there is marked weakness of finger and thumb extension, but wrist extension is partially preserved due to intact extensor carpi radialis longus function.
Sensory examination is normal, and Tinel’s sign is negative over the carpal tunnel.
These findings suggest a diagnosis of posterior interosseous nerve (PIN) syndrome.
PIN syndrome is an uncommon compressive neuropathy of the deep branch of the radial nerve, typically occurring in adults aged 40–60 years.
It is more frequent in individuals engaged in repetitive forearm pronation-supination activities, such as manual laborers, athletes, and musicians.
It accounts for less than 0.7% of all upper extremity nerve entrapments.
The condition shows no significant sex predilection.
Most cases are unilateral, although bilateral involvement can occur rarely, particularly in systemic neuropathies.
The posterior interosseous nerve is a purely motor branch of the radial nerve that originates near the lateral epicondyle and passes through the supinator muscle (Arcade of Frohse).
Compression most commonly occurs at the Arcade of Frohse, but may also occur at the radial tunnel, fibrous bands, or vascular leash of Henry.
Traction injury, space-occupying lesions (e.g., lipomas, ganglion cysts), or iatrogenic injury during orthopedic procedures can also cause PIN palsy.
Entrapment leads to demyelination and axonal degeneration, resulting in impaired conduction to extensor muscles.
Chronic compression may lead to irreversible denervation if not addressed promptly.
The hallmark is motor weakness without sensory deficit, as the PIN carries no cutaneous sensory fibers.
Patients exhibit weakness or paralysis of finger and thumb extensors, often presenting with a characteristic "finger drop."
Wrist extension is usually preserved but may show radial deviation due to intact extensor carpi radialis longus.
Pain is typically minimal or absent, distinguishing PIN syndrome from radial tunnel syndrome, which is predominantly painful.
Muscle wasting may develop in chronic cases, particularly in the extensor digitorum communis and extensor pollicis longus.
Diagnosis is based on clinical findings of painless motor weakness with preserved sensation.
Electromyography (EMG) and nerve conduction studies (NCS) confirm denervation in PIN-innervated muscles and help localize the lesion.
MRI or ultrasound can identify structural causes such as tumors, ganglion cysts, or muscle hypertrophy compressing the nerve.
Differential diagnoses include cervical radiculopathy (C7-C8), radial nerve palsy at the spiral groove, motor neuron disease, and tendon rupture.
Exclusion of central causes (e.g., stroke) is essential if upper motor neuron signs are present.
Initial management involves activity modification, splinting, and nonsteroidal anti-inflammatory drugs (NSAIDs) to reduce inflammation.
Physical and occupational therapy are beneficial for preventing contractures and maintaining joint mobility.
If compression is due to a mass or if there is no improvement after 3–6 months of conservative therapy, surgical decompression is indicated.
Postoperative prognosis is generally good, with functional recovery in 80–90% of cases if intervention occurs before significant axonal loss.
Early diagnosis and treatment are crucial for preventing permanent motor deficits.
Which of the following clinical findings best distinguishes posterior interosseous nerve syndrome from radial tunnel syndrome?
Answer: (C) Motor weakness of finger extension without sensory deficit

Differential Diagnoses: Hypertensive Encephalopathy | Reversible Cerebral Vasoconstriction Syndrome | Ischemic Stroke | Autoimmune Encephalitis
Related Symptoms: Seizures | Headache | Visual loss | Encephalopathy
Diagnostic Tools: MRI Brain with FLAIR/DWI | MR/CT Venography | EEG
A 54-year-old man with a history of uncontrolled hypertension, poorly compliant with medications, presents with a new-onset generalized tonic-clonic seizure.
On arrival, he is confused and drowsy, with a blood pressure of 220/120 mmHg.
Neurological examination shows no focal motor deficits, but transient visual blurring is reported.
MRI brain (Axial FLAIR) demonstrates symmetric hyperintense lesions in the parieto-occipital white matter, consistent with Posterior Reversible Encephalopathy Syndrome (PRES).
Blood pressure control and supportive therapy are initiated, leading to significant clinical improvement over the next few days.
PRES

📹 Watch Video: PRES
PRES is a neurotoxic syndrome characterized by acute neurological symptoms and distinctive radiological findings, typically reversible with prompt treatment.
It can occur in both adults and children, with a higher prevalence in women, particularly in the context of autoimmune diseases or preeclampsia/eclampsia.
The incidence is increasing due to heightened clinical recognition and widespread use of MRI.
Common predisposing conditions include acute hypertension, renal failure, cytotoxic or immunosuppressive therapy, and autoimmune diseases.
Although often reversible, delayed recognition or inadequate management may lead to permanent neurological deficits or death.
PRES presents acutely or subacutely, often within hours to days, with a range of neurological symptoms.
Seizures occur in up to 70–90% of cases and are often the presenting feature.
Other common manifestations include headache, encephalopathy, visual disturbances (e.g., blurred vision, cortical blindness), and nausea/vomiting.
Focal neurological deficits such as hemiparesis or aphasia are less common but may occur.
Symptoms are usually reversible with prompt recognition and treatment but may progress to coma or status epilepticus if untreated.
Diagnosis is primarily based on clinical presentation and characteristic neuroimaging findings.
MRI typically shows bilateral, symmetric T2/FLAIR hyperintensities in the parieto-occipital lobes, representing vasogenic edema.
Atypical patterns involving the frontal lobes, basal ganglia, brainstem, or cerebellum may also occur.
Differential diagnoses include ischemic or hemorrhagic stroke, cerebral venous thrombosis, infectious or autoimmune encephalitis, reversible cerebral vasoconstriction syndrome (RCVS), and demyelinating diseases.
CSF analysis and EEG may assist in excluding other causes, especially in atypical cases.
Differential Diagnosis Comparison:
| Feature | PRES | Hypertensive Encephalopathy | RCVS | Autoimmune Encephalitis |
|---|---|---|---|---|
| Onset | Acute/subacute | Acute with malignant HTN | Thunderclap headaches | Subacute |
| BP | Often elevated but not always | Markedly elevated | Variable | Variable |
| Imaging | Posterior vasogenic edema | Diffuse edema | Multifocal arterial narrowing, infarcts | Limbic/cortical signal change |
| CSF | Usually normal/slight protein ↑ | Normal | Mild pleocytosis | Lymphocytic pleocytosis |
| Treatment | Remove trigger, control BP | Aggressive BP lowering | Calcium channel blockers, treat triggers | Immunotherapy |
Immediate Actions:
| Goal | Intervention |
|---|---|
| Remove trigger | Control hypertension, stop offending drugs (calcineurin inhibitors, chemo), treat preeclampsia/eclampsia |
| Stabilize | ICU monitoring, airway protection if seizures/status epilepticus |
| Blood pressure control | Reduce MAP by 20–25% over first few hours using IV agents (nicardipine, labetalol); avoid rapid overcorrection |
| Seizure control | Benzodiazepines, IV antiseizure meds; discontinue once PRES resolves unless recurrence |
Supportive & Follow-Up Care: - Manage intracranial pressure if needed (head elevation, hyperosmolar therapy). - Treat renal failure, autoimmune disease, or sepsis contributing to endothelial injury. - Repeat MRI in 1–2 weeks to confirm resolution; counsel on recurrence risk.
Management Algorithm: 1. Recognize syndrome in high-risk patients with acute neurological symptoms. 2. Initiate blood pressure control and remove precipitating agents. 3. Treat seizures/status epilepticus; consider continuous EEG. 4. Supportive care with ICU monitoring, manage complications (edema, hemorrhage). 5. Long-term strategies: optimize BP, renal function, and adjust immunosuppressive regimens to prevent recurrence.
Which of the following MRI findings is most characteristic of PRES?
Answer: (B) Bilateral parieto-occipital vasogenic edema on T2/FLAIR PRES

A 24-year-old woman presents with episodes of lightheadedness, palpitations, and near-syncope upon standing that improve when lying down. She reports significant fatigue, exercise intolerance, and occasional "brain fog" affecting her concentration. Physical examination is unremarkable except for marked increase in heart rate from 75 bpm supine to 120 bpm within 8 minutes of standing, without significant orthostatic hypotension. Laboratory workup including thyroid function, electrolytes, and CBC is normal. Tilt-table testing confirms a diagnosis of postural orthostatic tachycardia syndrome (POTS).
Autonomic dysregulation: - Heterogeneous condition with autonomic nervous system dysfunction - Exaggerated sympathetic activity upon standing - Impaired vasoconstriction → excessive venous pooling → compensatory tachycardia - Goal: maintain cerebral perfusion despite orthostatic stress
Contributing mechanisms: - Hypovolemia (reduced plasma volume) - Reduced plasma norepinephrine clearance - Abnormal baroreflex sensitivity - Autoimmune mechanisms (antibodies against adrenergic/muscarinic receptors in some)
POTS subtypes:
Cardinal feature: - Orthostatic tachycardia without hypotension (distinguishes from orthostatic hypotension)
Orthostatic symptoms (occur upon standing): - Palpitations, lightheadedness, presyncope - Fatigue, weakness - Tremulousness - Cognitive difficulties ("brain fog") - Visual disturbances (blurred vision, tunnel vision)
Non-orthostatic symptoms: - Exercise intolerance - Headaches (often migraine-like) - Nausea, abdominal pain - Gastrointestinal dysmotility - Sleep disturbances
Physical findings: - Dependent acrocyanosis (bluish discoloration of feet/legs when standing) - Peripheral venous pooling - Livedoreticularis in some cases - Rarely true syncope (presyncope more common)
Impact: - Chronic, debilitating symptoms - Significant impact on quality of life, work, school performance
Diagnostic criteria: - Sustained HR increase ≥30 bpm within 10 minutes of standing (≥40 bpm in adolescents 12-19 years) - No orthostatic hypotension (BP drop <20/10 mmHg) - Symptoms associated with standing - Duration ≥3 months
Diagnostic testing: - Active standing test (bedside): measure HR and BP supine, then at 2, 5, 10 min standing - Tilt-table testing (formal): 70° tilt for up to 30-45 minutes - Continuous HR and BP monitoring during test
Subtyping tests: - Plasma catecholamines (supine and standing): hyperadrenergic if standing NE >600 pg/mL - Autonomic reflex testing: assess for peripheral denervation - Blood volume assessment: identify hypovolemia
Exclude secondary causes: - Labs: CBC (anemia), TSH (hyperthyroidism), glucose, electrolytes - Medication review: diuretics, vasodilators, stimulants - Dehydration, deconditioning
Screen for associated conditions: - Ehlers-Danlos syndrome (joint hypermobility) - Autoimmune disorders - Mast cell activation syndrome - Small fiber neuropathy
Differential diagnosis: - Inappropriate sinus tachycardia - Orthostatic hypotension - Vasovagal syncope - Anxiety disorder with hyperventilation - Pheochromocytoma (if hyperadrenergic features)
Treatment is individualized based on subtype and symptom severity. Non-pharmacologic measures are first-line for all patients.
Non-Pharmacologic Strategies (First-Line):
| Intervention | Details |
|---|---|
| Volume expansion | 2–3 L fluid/day + 3–10 g sodium/day |
| Compression | Waist-high compression stockings or abdominal binders |
| Exercise | Graduated recumbent/aquatic training transitioning to upright exercise |
| Lifestyle | Avoid prolonged standing, heat, large meals; elevate head of bed |
Pharmacologic Options (Tailored to Subtype):
| Indication | Therapy | Notes |
|---|---|---|
| Hypovolemia | Fludrocortisone | Expands plasma volume; monitor BP/K+ |
| Venous pooling | Midodrine, droxidopa | Vasoconstrictors; avoid supine hypertension |
| Tachycardia | Low-dose propranolol, ivabradine | Reduce HR; ivabradine useful when β-blockers contraindicated |
| Hyperadrenergic | Clonidine, methyldopa | Reduce sympathetic tone |
| Neuropathic | Pyridostigmine | Enhances ganglionic transmission |
Supportive Care: - Multidisciplinary care (autonomic specialist, PT, psychology). - Treat comorbid migraines, sleep disorders, mood disorders. - Consider CBT for coping; encourage hydration strategies during illness.
Management Algorithm: 1. Confirm diagnosis, exclude mimics, identify subtype. 2. Initiate lifestyle/volume measures with compression and exercise. 3. Add pharmacotherapy based on symptom profile (start low, titrate). 4. Address comorbidities and provide psychological support. 5. Reassess regularly; adjust therapy, consider autonomic referral or specialized rehab if refractory.
Which of the following findings is most characteristic of POTS?
Answer: (B) A sustained heart rate increase of more than 30 bpm within 10 minutes of standing without orthostatic hypotension.

A 56-year-old man presents with a 3-year history of progressive stiffness and slowness of gait, initially noted as difficulty climbing stairs and frequent tripping.
Over time, he develops spasticity and weakness in the lower limbs, followed by involvement of the upper limbs and bulbar muscles, causing dysarthria and pseudobulbar affect.
Reflexes are brisk, with bilateral Babinski signs, but muscle bulk is preserved and fasciculations are absent.
Electromyography (EMG) shows no evidence of active lower motor neuron degeneration.
These findings support a diagnosis of Primary Lateral Sclerosis, a rare neurodegenerative disorder limited to upper motor neurons.
PLS is a rare adult-onset motor neuron disease, accounting for less than 5% of motor neuron disorders.
The estimated annual incidence is approximately 0.1–0.2 per 100,000 population.
It typically presents between the ages of 40 and 60 years, with a slight male predominance.
Most cases are sporadic, although rare familial forms have been reported.
PLS is slowly progressive, and life expectancy is often near normal, distinguishing it from amyotrophic lateral sclerosis (ALS).
PLS is characterized by selective degeneration of upper motor neurons (UMNs) in the motor cortex and corticospinal tracts.
The precise pathogenesis is unclear but is thought to involve a combination of genetic predisposition, excitotoxicity, oxidative stress, and neuroinflammation.
Neuroimaging and neuropathological studies show cortical thinning and degeneration of the corticospinal tracts without significant involvement of lower motor neurons.
Unlike ALS, PLS does not involve anterior horn cells or peripheral motor neurons, explaining the absence of fasciculations and muscle atrophy.
Rare genetic mutations in ALS2 and SPG7 genes have been implicated in familial forms of PLS and overlapping spastic paraplegias.
PLS typically begins insidiously in the lower limbs, presenting with progressive spastic paraparesis and gait disturbance.
Over several years, upper limb involvement emerges, causing spasticity, clumsiness, and reduced dexterity.
Bulbar involvement, manifesting as dysarthria, dysphagia, and pseudobulbar affect, occurs in later stages.
Hyperreflexia, clonus, and Babinski signs are universal, while muscle atrophy and fasciculations are notably absent.
Cognitive impairment is rare, but emotional lability due to corticobulbar tract involvement is common.
Diagnosis is clinical, requiring progressive UMN signs for at least 3–4 years without evidence of lower motor neuron involvement.
EMG is essential to exclude ALS by confirming the absence of denervation or reinnervation changes.
MRI of the brain and spinal cord may show corticospinal tract hyperintensities and help rule out structural, inflammatory, or metabolic causes.
Differential diagnoses include ALS, hereditary spastic paraplegia, multiple sclerosis, HTLV-1–associated myelopathy, and structural lesions of the corticospinal tract.
Genetic testing is indicated when familial spastic paraplegia or juvenile-onset PLS is suspected.
There is no disease-modifying therapy for PLS; treatment focuses on symptomatic and supportive care.
Spasticity is managed with oral agents such as baclofen, tizanidine, or benzodiazepines, and refractory cases may benefit from intrathecal baclofen pumps.
Physical and occupational therapy are crucial for maintaining mobility, preventing contractures, and improving quality of life.
Speech and swallowing therapy are recommended for bulbar involvement, and emotional lability may respond to SSRIs.
Multidisciplinary care, similar to ALS management, optimizes functional outcomes and psychosocial support.
Which of the following findings is most suggestive of primary lateral sclerosis rather than amyotrophic lateral sclerosis?
Answer: (C) Slowly progressive spastic paraparesis without muscle atrophy

A 62-year-old right-handed woman presents with a 2-year history of progressively worsening word-finding difficulty.
Her family reports that she often pauses mid-sentence, struggles to name familiar objects, and substitutes words incorrectly.
Neurological examination is otherwise normal, with no motor weakness, sensory deficits, or early behavioral changes.
Cognitive testing reveals isolated language impairment, with preserved memory, visuospatial skills, and executive function.
MRI shows asymmetric left perisylvian and temporal lobe atrophy, suggesting primary progressive aphasia.
Primary Progressive Aphasia (PPA) is a neurodegenerative syndrome characterized by gradual and selective deterioration of language function.
It accounts for approximately 20–40% of frontotemporal lobar degenerations (FTLD) and affects 3–5 per 100,000 individuals.
Onset typically occurs between 50 and 70 years, with a slight male predominance in some subtypes.
PPA is classified into three main variants: nonfluent/agrammatic, semantic, and logopenic.
Family history of dementia and underlying genetic mutations (e.g., GRN, MAPT) may contribute in some cases.
PPA arises from progressive neurodegeneration of language-dominant perisylvian and temporal cortical networks in the left hemisphere.
The underlying pathology varies by subtype: tau-positive pathology in nonfluent/agrammatic PPA, TDP-43 pathology in semantic PPA, and Alzheimer pathology in logopenic PPA.
Cortical atrophy and synaptic loss initially localize to language-specific regions such as the left inferior frontal gyrus, anterior temporal lobe, or posterior superior temporal gyrus.
The disease typically spares memory and visuospatial networks in early stages, distinguishing it from classic Alzheimer disease.
Progressive network disconnection ultimately leads to global cognitive decline in late stages.
PPA manifests as isolated, slowly progressive language dysfunction for at least the first two years.
The nonfluent/agrammatic variant features effortful speech, agrammatism, and apraxia of speech.
The semantic variant presents with fluent but empty speech, profound anomia, and impaired single-word comprehension.
The logopenic variant is characterized by word-finding pauses, impaired repetition, and phonologic errors.
Cognitive domains such as memory and visuospatial skills remain intact initially but may decline later in the disease course.
Diagnosis is clinical, supported by neuropsychological testing, structural MRI, and functional imaging (FDG-PET or SPECT) showing focal left perisylvian or temporal hypometabolism.
CSF biomarkers or amyloid PET may identify Alzheimer pathology, particularly in the logopenic variant.
Differential diagnoses include Alzheimer’s disease with aphasic onset, stroke-related aphasia, normal aging, psychiatric disorders, and rapidly progressive dementias.
Language assessment tools such as the Western Aphasia Battery (WAB) or Boston Diagnostic Aphasia Examination (BDAE) help classify PPA subtype.
Genetic testing may be indicated if there is a strong family history of frontotemporal dementia or associated syndromes.
There is no disease-modifying therapy; management is supportive and focuses on optimizing communication and quality of life.
Speech-language therapy is the mainstay of treatment, aiming to improve residual language function and develop compensatory strategies.
Augmentative and alternative communication (AAC) tools may be beneficial as speech deteriorates.
In logopenic PPA due to Alzheimer pathology, cholinesterase inhibitors or anti-amyloid therapies may be considered.
Multidisciplinary care involving neurologists, neuropsychologists, speech therapists, and social workers is essential for comprehensive management.
Which of the following clinical features is most characteristic of the semantic variant of primary progressive aphasia?
Answer: (C) Fluent but empty speech with loss of word meaning Semantic

A 63-year-old man presents with rapidly progressive memory loss, behavioral changes, and frequent myoclonic jerks over the past two months.
Neurological examination shows cognitive decline, ataxia, and startle-induced myoclonus.
MRI reveals hyperintense signals in the caudate nucleus and putamen on diffusion-weighted imaging.
EEG shows periodic sharp-wave complexes, and cerebrospinal fluid (CSF) is positive for 14-3-3 protein.
He is diagnosed with sporadic Creutzfeldt-Jakob disease (sCJD), a prototypical prion disease.
Prion diseases are rare, fatal neurodegenerative disorders with an incidence of approximately 1–2 cases per million population annually.
They can be classified into sporadic (≈85%), genetic/familial (10–15%), and acquired forms (e.g., iatrogenic or variant CJD).
Sporadic CJD usually occurs between ages 55 and 75, with a median age of onset around 65 years.
Variant CJD, associated with bovine spongiform encephalopathy, tends to occur in younger patients (median age ≈ 28 years).
Familial forms are linked to mutations in the PRNP gene and often show earlier onset and longer disease duration.
Prion diseases are caused by the misfolding of the normal cellular prion protein (PrPC) into an abnormal, β-sheet–rich isoform (PrPSc).
This aberrant protein is resistant to proteolysis and induces conformational changes in normal prion proteins, leading to a self-propagating cascade.
Accumulation of PrPSc leads to neuronal loss, spongiform degeneration, astrocytosis, and synaptic dysfunction.
Transmission can occur via ingestion, transfusion, transplantation, or contaminated surgical instruments, though most cases are spontaneous or genetic.
The absence of nucleic acid in prions distinguishes them from conventional infectious agents.
Rapidly progressive dementia is the hallmark, typically evolving over weeks to months.
Myoclonus, especially startle-induced, occurs in most patients and is highly suggestive of prion disease.
Cerebellar signs (ataxia), visual disturbances, behavioral changes, and akinetic mutism may develop as the disease progresses.
Extrapyramidal and pyramidal features, such as rigidity and spasticity, often appear in later stages.
Disease progression is relentless, leading to death in 6–12 months in most sporadic cases.
Diagnosis is based on clinical features, supportive investigations, and exclusion of mimics.
MRI with diffusion-weighted imaging often shows cortical ribboning and hyperintensity in the caudate and putamen.
EEG may demonstrate periodic sharp-wave complexes, and CSF biomarkers such as 14-3-3 protein, total tau, and RT-QuIC assay support the diagnosis.
Differential diagnoses include autoimmune encephalitis, paraneoplastic syndromes, rapidly progressive Alzheimer’s disease, Hashimoto encephalopathy, and toxic-metabolic encephalopathies.
Definitive diagnosis requires neuropathological confirmation with detection of PrPSc, usually post-mortem.
No disease-modifying therapies exist; management is primarily supportive and palliative.
Symptomatic treatments may include anticonvulsants (e.g., valproate, clonazepam) for myoclonus and antipsychotics for behavioral disturbances.
Care focuses on maintaining patient comfort, preventing complications, and supporting families through counseling and palliative care services.
Strict infection control measures must be taken during neurosurgical procedures or tissue handling to prevent iatrogenic transmission.
Research into anti-prion agents and immunotherapies is ongoing but has yet to yield effective clinical treatments.
Which of the following findings is most characteristic of sporadic Creutzfeldt-Jakob disease (sCJD)?
Answer: (C) Periodic sharp-wave complexes on EEG

A 66-year-old female with history of lymphoma on chemotherapy presents with progressive cognitive decline, right-sided weakness, and visual field deficits over the past 3 weeks.
She denies fever or headache. Neurological examination shows right homonymous hemianopia and mild expressive aphasia.
MRI brain reveals multiple, asymmetric, non-enhancing white matter lesions without mass effect.
Cerebrospinal fluid (CSF) analysis is unremarkable, but JC virus DNA is detected by PCR.
A diagnosis of progressive multifocal leukoencephalopathy (PML) is made.
PML is a rare, demyelinating disease of the central nervous system caused by reactivation of the JC virus (JCV) in immunocompromised individuals.
It most commonly occurs in patients with advanced HIV/AIDS, hematologic malignancies, organ transplantation, or those receiving immunomodulatory therapies (e.g., natalizumab, rituximab).
Prior to effective antiretroviral therapy (ART), PML affected up to 5% of HIV-infected patients; incidence has decreased significantly with ART use.
Seroprevalence of JCV is high (50–80% of adults), but clinical disease occurs almost exclusively in the setting of impaired cellular immunity.
The median age of onset is 40–60 years, with no significant sex predilection.
PML results from reactivation of latent JC virus, a polyomavirus that resides in the kidneys, lymphoid tissue, or bone marrow after primary asymptomatic infection.
In the setting of impaired T-cell–mediated immunity, JCV crosses the blood–brain barrier and infects oligodendrocytes and astrocytes.
Viral replication leads to lytic destruction of oligodendrocytes, causing multifocal demyelination predominantly in the subcortical white matter.
Inflammatory response is usually minimal but may become prominent in immune reconstitution inflammatory syndrome (IRIS) following restoration of immunity.
Lesions often involve the parieto-occipital regions, but brainstem, cerebellum, and deep gray nuclei can also be affected.
PML presents with subacute, progressive neurological deficits that evolve over weeks to months.
Common symptoms include cognitive impairment, hemiparesis, visual field defects, aphasia, and ataxia, depending on lesion location.
Seizures may occur in up to 20% of cases, and cranial neuropathies are rare.
Unlike many CNS infections, PML typically lacks fever, meningismus, or systemic signs of infection.
Rapid progression without treatment often leads to severe disability or death within months.
Diagnosis is based on clinical presentation, neuroimaging findings, and detection of JCV DNA in CSF by polymerase chain reaction (PCR).
MRI typically shows multifocal, asymmetric, non-enhancing T2/FLAIR hyperintense white matter lesions without mass effect or significant edema.
Brain biopsy is reserved for uncertain cases and reveals demyelination, oligodendrocyte nuclear inclusions, and bizarre astrocytes.
Differential diagnoses include HIV encephalopathy, primary CNS lymphoma, multiple sclerosis, acute disseminated encephalomyelitis (ADEM), and CNS vasculitis.
Testing for JCV antibody and viral load can support diagnosis, especially in natalizumab-associated cases.
There is no specific antiviral therapy for PML; management focuses on reversing the underlying immunosuppression.
In HIV-associated PML, initiation or optimization of ART is the mainstay of therapy and improves survival.
For drug-associated PML (e.g., natalizumab-induced), discontinuation of the offending agent and immune reconstitution are crucial.
Immune reconstitution inflammatory syndrome (IRIS) may develop after immune restoration and may require corticosteroid therapy if severe.
Prognosis depends on the degree of immune recovery; approximately 50% of treated HIV-associated PML patients achieve partial neurological recovery.
Which of the following MRI findings is most characteristic of PML?
Answer: (B) Multifocal white matter lesions without enhancement or mass effect.

A 58-year-old man presents with gradually worsening weakness in his hands and forearms over the past year.
He reports frequent dropping of objects, muscle twitching, and visible muscle wasting, but denies sensory loss or cognitive changes.
On examination, there is marked atrophy and fasciculations in the intrinsic hand muscles, reduced tone, and absent deep tendon reflexes, with no spasticity or upper motor neuron signs.
Nerve conduction studies are normal, while electromyography shows widespread denervation and reinnervation changes.
The clinical picture is consistent with Progressive Muscular Atrophy, a rare motor neuron disease affecting predominantly lower motor neurons.
PMA is a rare subtype of motor neuron disease (MND), accounting for about 4–10% of all MND cases.
It typically affects men more frequently than women, with a male-to-female ratio of approximately 3:1.
The usual age of onset is between 50 and 70 years, though cases have been reported across a wider age range.
PMA may exist as a distinct clinical entity or as a variant of amyotrophic lateral sclerosis (ALS) with predominant lower motor neuron involvement.
The disease course is usually slowly progressive, but up to 30–50% of cases eventually evolve into classical ALS over time.
PMA is characterized by selective degeneration of lower motor neurons in the anterior horn of the spinal cord and motor nuclei of the brainstem.
The exact cause is unknown, but genetic, oxidative stress, glutamate excitotoxicity, and protein aggregation mechanisms are implicated.
Familial forms associated with mutations in genes such as SOD1 and TARDBP have been described, though most cases are sporadic.
There is progressive loss of motor neurons leading to muscle denervation, atrophy, and weakness, without significant involvement of upper motor neurons initially.
Pathological overlap with ALS is common, and many experts consider PMA part of the ALS spectrum.
PMA presents with insidious, asymmetric, and progressive weakness primarily affecting distal muscles of the limbs.
Fasciculations, muscle cramps, and visible muscle wasting are common, reflecting lower motor neuron degeneration.
Reflexes are typically reduced or absent, and tone is decreased, distinguishing PMA from spastic motor neuron diseases.
Bulbar involvement (dysarthria, dysphagia) can occur later in the disease, but cognitive function remains intact.
Unlike ALS, signs of upper motor neuron involvement (e.g., hyperreflexia, spasticity, Babinski sign) are absent in early disease.
Diagnosis is clinical, supported by electrophysiological evidence of widespread denervation on EMG without sensory abnormalities.
Nerve conduction studies help exclude peripheral neuropathies, while muscle biopsy is rarely necessary but can show neurogenic atrophy.
MRI of the spinal cord is performed to exclude compressive myelopathies or structural lesions.
Differential diagnoses include multifocal motor neuropathy, spinal muscular atrophy, Kennedy’s disease (SBMA), and chronic inflammatory demyelinating polyneuropathy.
The absence of sensory findings, normal nerve conduction, and progressive lower motor neuron signs support a diagnosis of PMA.
There is currently no disease-modifying treatment for PMA, and management is largely supportive and symptomatic.
Physical therapy and occupational therapy help maintain mobility and prevent contractures.
Non-invasive ventilation may be necessary in advanced stages with respiratory muscle involvement.
Antispasmodics and anticholinergic medications are used for symptom relief, although fasciculations and cramps are often resistant to therapy.
Regular monitoring for the emergence of upper motor neuron signs is essential, as evolution to ALS may change prognosis and therapeutic considerations.
Which of the following features most reliably distinguishes Progressive Muscular Atrophy from Amyotrophic Lateral Sclerosis at initial presentation?
Answer: (C) Absence of upper motor neuron signs

A 69-year-old man presents with a two-year history of progressive unsteadiness and frequent unexplained backward falls.
His family reports personality changes, apathy, and difficulty controlling his eye movements, particularly when looking down.
Neurological examination reveals axial rigidity, vertical supranuclear gaze palsy, and a wide-based gait.
There is minimal tremor and poor response to levodopa therapy.
MRI demonstrates midbrain atrophy with the classic "hummingbird sign," consistent with progressive supranuclear palsy.
PSP is a rare neurodegenerative tauopathy, with an annual incidence of 5–6 per 100,000 individuals and a prevalence of approximately 5 per 100,000.
It typically presents in the sixth to seventh decade of life, with a slight male predominance.
The disease is sporadic, though rare familial cases with MAPT gene mutations have been reported.
PSP accounts for approximately 5–10% of all parkinsonian syndromes seen in movement disorder clinics.
Median survival is 5–8 years from symptom onset, primarily due to complications like aspiration pneumonia and falls.
PSP is a 4-repeat tauopathy characterized by abnormal hyperphosphorylated tau protein accumulation in neurons and glia.
Pathological changes predominantly affect the midbrain, basal ganglia, subthalamic nucleus, and brainstem tegmentum.
Neuronal loss, gliosis, and tau-positive neurofibrillary tangles contribute to motor, cognitive, and ocular manifestations.
The selective involvement of vertical gaze centers (rostral interstitial nucleus of the medial longitudinal fasciculus) leads to supranuclear gaze palsy.
Tau pathology and impaired microtubule stabilization disrupt neuronal function and connectivity, leading to progressive neurodegeneration.
PSP typically presents with early postural instability and frequent backward falls, often preceding ocular or cognitive symptoms.
Vertical supranuclear gaze palsy (especially downgaze) is a hallmark and often accompanied by slowed saccades and eyelid opening apraxia.
Axial rigidity and bradykinesia are common, but tremor is rare and response to levodopa is minimal.
Cognitive and behavioral changes include apathy, frontal lobe dysfunction, and executive impairment.
Bulbar involvement leads to dysarthria, dysphagia, and aspiration risk as the disease progresses.
Diagnosis is clinical, based on early falls, vertical gaze palsy, axial rigidity, and poor response to levodopa.
MRI may show midbrain atrophy with preserved pons ("hummingbird" or "penguin" sign) and "Mickey Mouse" sign on axial view.
PET imaging can demonstrate hypometabolism in the midbrain and frontal cortex.
Differential diagnoses include Parkinson’s disease, multiple system atrophy, corticobasal degeneration, and normal pressure hydrocephalus.
The Movement Disorder Society (MDS) criteria categorize PSP into variants such as PSP-Richardson syndrome (classic) and PSP-parkinsonism.
There is currently no disease-modifying therapy; treatment is supportive and symptom-directed.
A trial of levodopa may be considered but usually provides minimal benefit.
Physical therapy, gait training, and assistive devices are essential to reduce fall risk and maintain mobility.
Speech and swallowing therapy help manage dysphagia, while occupational therapy can improve daily function.
Emerging therapies targeting tau aggregation are under investigation but remain experimental.
Which of the following features most reliably distinguishes progressive supranuclear palsy from Parkinson’s disease?
Answer: (B) Early vertical gaze palsy Vertical supranuclear gaze palsy,

A 28-year-old obese woman presents with daily pulsatile headaches, transient episodes of visual dimming, and horizontal diplopia for the past two months.
Funduscopic examination reveals bilateral papilledema, and visual field testing shows enlarged blind spots and peripheral constriction.
Neuroimaging (MRI with MR venography) shows no mass lesion, hydrocephalus, or venous sinus thrombosis.
Lumbar puncture demonstrates an elevated opening pressure of 32 cmCSF with normal CSF composition.
These findings are consistent with idiopathic intracranial hypertension (IIH), also known as pseudotumor cerebri.
IIH most commonly affects obese women of childbearing age, with peak incidence between 20 and 40 years.
The estimated annual incidence is about 1–3 per 100,000 in the general population but increases to 20 per 100,000 in obese women aged 20–44.
Rising global obesity rates have led to a steady increase in IIH prevalence over recent decades.
Although predominantly idiopathic, secondary causes include medications (e.g., tetracyclines, vitamin A derivatives), endocrinopathies, and systemic diseases.
Without prompt recognition and treatment, progressive visual loss occurs in up to 25% of cases.
IIH is characterized by chronically elevated intracranial pressure (ICP) without an identifiable structural cause, hydrocephalus, or CNS infection.
The exact mechanism is unclear but involves impaired cerebrospinal fluid (CSF) absorption at the arachnoid granulations, increased venous sinus pressure, or excess CSF production.
Obesity may contribute by elevating intra-abdominal and thoracic pressures, impeding cerebral venous return and CSF absorption.
Hormonal factors (e.g., androgens, leptin) and inflammatory cytokines have also been implicated in the pathogenesis.
Venous sinus stenosis is increasingly recognized as a contributing factor, though its causal role remains debated.
The most common symptom is headache, often daily, diffuse, and exacerbated by Valsalva maneuvers.
Transient visual obscurations, pulsatile tinnitus, and diplopia (often from sixth cranial nerve palsy) are frequent complaints.
Papilledema is the hallmark sign, leading to visual field defects such as enlarged blind spots and peripheral constriction.
Visual acuity is typically preserved initially but can deteriorate if untreated.
Rarely, patients may experience nausea, vomiting, or retro-orbital pain related to raised ICP.
Diagnosis is based on the modified Dandy criteria: symptoms/signs of increased ICP, normal neuroimaging, normal CSF composition, and elevated opening pressure on lumbar puncture.
MRI with MRV is essential to exclude mass lesions, venous sinus thrombosis, or structural causes of raised ICP.
Differential diagnoses include cerebral venous sinus thrombosis, CNS infections, intracranial neoplasms, hydrocephalus, and secondary intracranial hypertension (e.g., from medications or endocrine causes).
Optical coherence tomography (OCT) and visual field testing are useful for monitoring optic nerve changes and disease progression.
In secondary forms, identifying and addressing the underlying cause is critical.
Weight reduction is the cornerstone of therapy and can significantly reduce ICP and resolve symptoms.
First-line pharmacological treatment is acetazolamide (500–2000 mg/day), a carbonic anhydrase inhibitor that reduces CSF production.
Furosemide or topiramate may be used as adjunctive or alternative therapies, especially if acetazolamide is not tolerated.
Refractory or vision-threatening cases may require surgical interventions such as optic nerve sheath fenestration, CSF shunting, or venous sinus stenting.
Regular ophthalmologic follow-up is essential to monitor visual fields and prevent irreversible vision loss.
Which of the following findings is most characteristic of idiopathic intracranial hypertension (pseudotumor cerebri)?
Answer: (B) Bilateral papilledema with normal CSF composition
Friedman DI, Liu GT, Digre KB. Revised diagnostic criteria for the pseudotumor cerebri syndrome. Neurology. 2013;81(13):1159–1165.
Wall M, Corbett JJ. Idiopathic intracranial hypertension. Neurol Clin. 2010;28(3):593–617.
Markey KA, Mollan SP, Jensen RH, Sinclair AJ. Understanding idiopathic intracranial hypertension: mechanisms, management, and future directions. Lancet Neurol. 2016;15(1):78–91.

A 48-year-old woman presents with chronic burning and stabbing pain in the perineum for over 6 months.
The pain worsens with sitting and improves when standing or lying down, significantly impairing her quality of life.
She denies bowel or bladder incontinence but reports increased urinary frequency and pain during sexual intercourse.
Neurological examination reveals normal motor strength and sensation except for hyperalgesia in the pudendal nerve distribution.
Pudendal nerve block with local anesthetic provides temporary relief, supporting the diagnosis of pudendal neuralgia.
Pudendal neuralgia is an uncommon but underdiagnosed cause of chronic pelvic and perineal pain, affecting both men and women, though more frequent in women.
It typically presents in middle-aged adults, often between the ages of 40 and 60.
The prevalence is uncertain but is estimated to account for up to 4% of chronic pelvic pain cases.
Risk factors include prolonged cycling, pelvic trauma, childbirth, pelvic surgeries, and repetitive perineal pressure.
Delay in diagnosis is common, with patients often undergoing extensive evaluations before recognition.
Pudendal neuralgia results from entrapment or irritation of the pudendal nerve, which originates from the S2–S4 nerve roots and provides sensory and motor innervation to the perineum, external genitalia, and sphincters.
Entrapment most commonly occurs in the Alcock’s canal (pudendal canal) or at the level of the sacrospinous and sacrotuberous ligaments.
Chronic mechanical compression leads to demyelination, axonal injury, and subsequent neuropathic pain.
Repetitive trauma (e.g., cycling, pelvic surgery) and inflammatory or fibrotic processes can also contribute to nerve irritation.
Secondary changes in central pain processing may amplify symptoms over time, leading to chronic pelvic pain syndromes.
The cardinal symptom is burning, stabbing, or aching pain localized to the pudendal nerve distribution, including the perineum, vulva, scrotum, anus, or penis.
Pain characteristically worsens with sitting and improves when standing, lying, or sitting on a toilet seat.
Patients may report dyspareunia, dysuria, tenesmus, or urinary frequency, but motor deficits and objective sensory loss are typically absent.
Pain is usually unilateral but can be bilateral, and nocturnal pain is uncommon.
The condition significantly impacts sexual function, daily activities, and psychological well-being.
Diagnosis is clinical and guided by the Nantes criteria, which include perineal pain worsened by sitting, relief when standing, absence of nocturnal pain, and pain relief after pudendal nerve block.
Physical examination may reveal tenderness over the ischial spine or along the course of the pudendal nerve.
Diagnostic nerve block with local anesthetic provides both therapeutic and confirmatory value.
MRI or ultrasound may help exclude other pelvic pathologies and guide interventional procedures.
Differential diagnoses include levator ani syndrome, interstitial cystitis, vulvodynia, prostatodynia, sacral radiculopathy, and cauda equina syndrome.
Initial management includes lifestyle modifications such as avoiding prolonged sitting, using padded seats, and ergonomic adjustments.
Pharmacologic therapy involves neuropathic pain agents (e.g., gabapentin, pregabalin, tricyclic antidepressants) and topical analgesics.
Pudendal nerve blocks with local anesthetics and corticosteroids can provide significant temporary relief and aid diagnosis.
Refractory cases may benefit from surgical decompression of the pudendal nerve, neuromodulation (e.g., sacral nerve stimulation), or pulsed radiofrequency therapy.
Multidisciplinary approaches, including physical therapy and psychological support, are essential for optimal outcomes.
Which of the following clinical features is most characteristic of pudendal neuralgia?
Answer: (C) Perineal pain relieved by sitting on a toilet seat

A 45-year-old man presents with sudden-onset inability to extend his right wrist and fingers after waking up from sleeping with his arm draped over a chair.
He reports numbness over the dorsal aspect of his hand and forearm but denies significant pain.
On examination, there is wrist drop with preserved shoulder and elbow flexion.
Sensation is reduced over the dorsum of the first web space.
Reflexes are normal except for a diminished brachioradialis reflex.
Radial neuropathy is a relatively uncommon mononeuropathy but represents one of the most frequent upper limb compressive neuropathies after median and ulnar nerve involvement.
It can occur at any age but is most common in adults aged 30–60 years, often associated with occupational or traumatic causes.
Risk factors include prolonged external compression, fractures of the humeral shaft, direct trauma, and repetitive mechanical stress.
Iatrogenic injury during orthopedic or surgical procedures is another recognized cause.
Most cases are unilateral and affect the dominant arm in individuals performing manual labor or repetitive arm movements.
The radial nerve originates from the posterior cord of the brachial plexus (C5–T1) and supplies the extensor muscles of the forearm and sensation to the dorsal hand.
Sites of entrapment include the spiral groove of the humerus, the radial tunnel, and the posterior interosseous nerve (PIN) branch.
Prolonged compression (e.g., “Saturday night palsy”) leads to segmental demyelination, while traumatic injury (e.g., humeral fracture) may cause axonotmesis or neurotmesis.
Ischemia and mechanical stretch contribute to secondary neuronal degeneration.
PIN involvement causes pure motor deficits without sensory loss, while more proximal lesions produce mixed sensorimotor findings.
Classic presentation includes “wrist drop” due to paralysis of wrist and finger extensors.
Sensory loss occurs over the dorsal first web space and lateral dorsum of the hand if the lesion is proximal to the superficial radial branch.
Brachioradialis and triceps involvement suggests a high lesion near the axilla or spiral groove.
PIN syndrome presents with finger and thumb extension weakness but sparing of wrist extension and sensation.
Pain is usually minimal but may occur in compressive or traumatic etiologies.
Clinical examination remains the cornerstone, with localization based on motor and sensory involvement patterns.
Electromyography (EMG) and nerve conduction studies (NCS) help confirm the diagnosis, localize the lesion, and assess severity.
Imaging such as MRI or ultrasound may identify compressive masses, nerve discontinuity, or muscle denervation.
Laboratory evaluation is indicated if metabolic or systemic neuropathy is suspected.
Differential diagnoses include C7 radiculopathy, posterior cord brachial plexopathy, motor neuron disease, and central causes such as cortical stroke.
Most compressive radial neuropathies recover spontaneously within 3–6 months with conservative treatment.
Initial management includes wrist splinting to prevent contractures, physical therapy, and avoidance of further compression.
Corticosteroid injections or surgical decompression may be indicated in refractory cases or when entrapment is confirmed.
Nerve repair or grafting is considered for severe traumatic injuries with evidence of nerve transection.
Functional recovery depends on the etiology, severity, and timing of intervention, with demyelinating lesions recovering faster than axonal injuries.
Which of the following findings best differentiates posterior interosseous nerve (PIN) syndrome from a proximal radial neuropathy?
Answer: (B) Isolated finger and thumb extension weakness without sensory

Differential Diagnoses: Peripheral Neuropathy | Plexopathy | Spinal Cord Compression | Cauda Equina Syndrome
Related Symptoms: Dermatomal pain | Paresthesias | Weakness | Reflex loss
Diagnostic Tools: MRI Spine | EMG/NCS | Provocative Maneuvers (SLR, Spurling)
A 48-year-old man presents with a 3-week history of sharp, shooting pain radiating from his lower back down the posterior aspect of his left leg.
The pain is aggravated by coughing and sneezing and relieved by lying flat.
On examination, he has reduced sensation over the lateral aspect of the foot, weakness of plantar flexion, and a diminished ankle reflex.
Straight leg raise test is positive at 40 degrees.
MRI lumbar spine reveals a left L5-S1 disc herniation compressing the S1 nerve root.
Radiculopathy is a common neurological condition resulting from compression, inflammation, or injury to a spinal nerve root.
Lumbar radiculopathy is most frequent, followed by cervical involvement; thoracic radiculopathy is rare.
It is most prevalent in adults aged 30–60 years and is strongly associated with degenerative spinal changes.
The lifetime incidence of lumbar radiculopathy is estimated at 3–5%, with men slightly more commonly affected.
Occupational factors involving heavy lifting, repetitive motion, or vibration exposure increase the risk.
Classic symptoms include radiating pain following a dermatomal distribution, often described as sharp, burning, or shooting.
Sensory changes such as numbness or paresthesias occur in the affected dermatome, and motor weakness involves muscles supplied by the involved root.
Reflex changes are common (e.g., reduced patellar reflex in L4 radiculopathy, diminished Achilles reflex in S1).
Lumbar radiculopathy often causes unilateral leg pain greater than back pain, whereas cervical radiculopathy manifests with arm pain and paresthesia.
Severe or progressive cases may lead to muscle atrophy, gait disturbance, or bowel/bladder involvement (e.g., cauda equina syndrome).
Dermatomal pain greater than axial pain, provoked by Spurling or straight-leg-raise, with a matching reflex/motor deficit, is highly predictive of radiculopathy and guides imaging level selection.
Diagnosis is based on clinical presentation, neurological examination, and imaging studies.
MRI is the gold standard for visualizing disc herniation, foraminal narrowing, and nerve root compression.
Electromyography (EMG) and nerve conduction studies can support the diagnosis and help differentiate radiculopathy from peripheral neuropathies or plexopathies.
Differential diagnoses include peripheral nerve entrapments (e.g., peroneal or ulnar neuropathy), plexopathies, spinal cord lesions, and referred pain from hip or shoulder pathology.
Red flag features such as progressive weakness, saddle anesthesia, or sphincter disturbance warrant urgent evaluation for cauda equina or spinal cord compression.
Differential Diagnosis Comparison:
| Feature | Radiculopathy | Plexopathy | Peripheral Neuropathy | Myelopathy |
|---|---|---|---|---|
| Pain Pattern | Dermatomal, radiating | Patchy, multiple dermatomes | Stocking-glove | Axial with gait issues |
| Weakness | Myotomal | Multifocal | Distal symmetric | Spasticity, UMN signs |
| Reflexes | Depressed in affected root | Variable | Distal decreased | Hyperreflexia, Babinski |
| Sensory Loss | Dermatomal | Patchy | Length-dependent | Sensory level |
| EMG/NCS | Denervation in myotomes, normal SNAPs | Denervation across multiple trunks | Abnormal SNAPs | Usually normal peripheral studies |
Conservative Therapy:
| Intervention | Notes |
|---|---|
| Activity modification & physical therapy | Core strengthening, McKenzie exercises, posture training |
| NSAIDs/analgesics | Short-term for pain control |
| Oral steroids | Short taper for acute radicular inflammation |
| Neuropathic agents | Gabapentin, pregabalin, duloxetine for persistent radicular pain |
| Epidural steroid injections | Provide temporary relief; useful bridge to rehab/surgery |
Surgical Indications & Options:
| Indication | Procedure |
|---|---|
| Progressive motor deficit, cauda equina, refractory disabling pain | Microdiscectomy (lumbar) |
| Foraminal stenosis, spondylosis | Laminectomy/foraminotomy ± fusion |
| Cervical radiculopathy refractory to conservative therapy | Anterior cervical discectomy and fusion (ACDF) or cervical arthroplasty |
Management Algorithm: 1. Assess red flags: If present, obtain urgent MRI and neurosurgical consult. 2. Initiate conservative care: NSAIDs, physical therapy, activity modification for 6–8 weeks. 3. Consider adjuncts: Oral steroids or epidural injections for severe pain. 4. Reassess: If improving, continue rehab; if persistent deficits/pain, obtain imaging (if not already) and refer for surgical evaluation. 5. Post-treatment care: Ergonomics, weight management, smoking cessation to prevent recurrence.
Which of the following findings is most consistent with S1 radiculopathy?
Answer: (B) Diminished ankle reflex and weakness of plantar flexion

A 62-year-old man presents with acute onset right-sided facial weakness, ear pain, and vesicular rash on the external ear and ear canal for 3 days.
He also reports hearing loss, tinnitus, and vertigo on the same side.
Neurological examination reveals a lower motor neuron pattern of facial palsy with inability to close the right eye, loss of nasolabial fold, and drooping of the mouth.
Vesicular lesions are visible on the pinna and external auditory meatus, with associated hyperacusis.
Based on clinical features, a diagnosis of Ramsay Hunt syndrome (herpes zoster oticus with facial palsy) is made.
Ramsay Hunt syndrome is a rare complication of reactivation of latent varicella-zoster virus (VZV) in the geniculate ganglion of the facial nerve.
It accounts for approximately 7–12% of all cases of acute peripheral facial palsy.
The condition most commonly affects adults over 50 years old and is more frequent in immunocompromised individuals.
There is no clear gender predilection, although incidence increases with age and declining cell-mediated immunity.
Vaccination against VZV reduces the risk but does not completely prevent the syndrome.
Ramsay Hunt syndrome results from reactivation of latent VZV residing in the geniculate ganglion of the facial nerve following primary varicella infection.
Viral replication leads to inflammation and edema of the facial nerve within the narrow facial canal, causing nerve compression and demyelination.
The virus may spread to adjacent cranial nerves (VIII, IX, X), explaining associated vestibulocochlear or glossopharyngeal symptoms.
Immune-mediated injury may exacerbate nerve dysfunction, prolonging recovery or leading to incomplete regeneration.
In severe cases, chronic axonal degeneration can result in permanent facial weakness or synkinesis.
Classic triad includes peripheral facial nerve palsy, severe otalgia, and vesicular rash in the external ear or ear canal.
Vestibulocochlear involvement causes hearing loss, tinnitus, vertigo, and imbalance.
Other cranial neuropathies may manifest as dysphagia, hoarseness, or loss of taste in the anterior two-thirds of the tongue.
Facial paralysis is typically more severe and less likely to recover completely compared to Bell’s palsy.
Postherpetic neuralgia and synkinesis are potential long-term complications.
Diagnosis is primarily clinical, based on the combination of vesicular rash, otalgia, and lower motor neuron facial palsy.
Polymerase chain reaction (PCR) of vesicular fluid or cerebrospinal fluid may confirm VZV infection in atypical cases.
MRI may show enhancement of the facial nerve or geniculate ganglion but is not routinely required.
Differential diagnoses include Bell’s palsy (idiopathic facial palsy without rash), Lyme disease, otitis media with facial palsy, acoustic neuroma, and parotid malignancies.
Absence of vesicles does not exclude Ramsay Hunt syndrome, as "zoster sine herpete" may occur in up to 10–20% of cases.
Prompt initiation of antiviral therapy (e.g., acyclovir, valacyclovir, or famciclovir) within 72 hours of onset significantly improves outcomes.
Corticosteroids (e.g., prednisone 1 mg/kg/day) are often co-administered to reduce nerve inflammation and improve recovery.
Supportive care includes artificial tears and eye protection to prevent corneal complications due to incomplete eyelid closure.
Vestibular suppressants (e.g., meclizine) and analgesics are used for vertigo and pain control.
Physical therapy and facial rehabilitation may help prevent synkinesis and improve long-term facial function.
Which of the following features most reliably distinguishes Ramsay Hunt syndrome from Bell’s palsy?
Answer: (C) Vesicular eruption in the external auditory canal

A 48-year-old woman presents with an irresistible urge to move her legs, particularly in the evenings when she is resting or preparing to sleep.
The discomfort is described as "creeping" and "tingling" sensations deep within the calves, relieved by walking or moving her legs.
Symptoms have progressively worsened over the past year, significantly disrupting her sleep and causing daytime fatigue.
She has a history of iron-deficiency anemia but no neuropathy or radiculopathy.
Neurological examination is normal, and serum ferritin is low, supporting a diagnosis of restless legs syndrome.
Restless legs syndrome (RLS), also known as Willis-Ekbom disease, affects approximately 5–10% of the general population, with higher prevalence in women and older adults.
The disorder can be primary (idiopathic) or secondary to conditions such as iron deficiency, pregnancy, renal failure, or neuropathies.
Onset typically occurs in middle age, although familial cases often present earlier.
A positive family history is present in up to 50% of idiopathic cases, suggesting a strong genetic predisposition.
The prevalence increases with age, and symptoms may worsen over time if untreated.
The exact pathogenesis of RLS remains incompletely understood but involves dysfunction of the dopaminergic system within the basal ganglia.
Central iron deficiency is strongly implicated, as iron is a cofactor in dopamine synthesis, and low brain iron correlates with symptom severity.
Genetic studies have identified associations with variants in MEIS1, BTBD9, and PTPRD genes, supporting a heritable component.
Secondary forms arise from systemic conditions like chronic kidney disease, pregnancy, peripheral neuropathies, and iron-deficiency anemia.
Altered spinal cord excitability and increased thalamic activity may also contribute to sensorimotor hyperexcitability.
The cardinal symptom is an urge to move the legs, usually accompanied by uncomfortable sensations (e.g., tingling, burning, crawling).
Symptoms occur primarily at rest, worsen in the evening or night, and are partially or completely relieved by movement.
Sleep disturbance is common, leading to excessive daytime sleepiness, cognitive impairment, and reduced quality of life.
Periodic limb movements during sleep (PLMS) are present in up to 80% of patients and may be detected on polysomnography.
Unlike neuropathies, symptoms do not follow a dermatomal or peripheral nerve distribution and are not associated with objective sensory loss.
Diagnosis is clinical and based on the International Restless Legs Syndrome Study Group (IRLSSG) criteria, requiring all four essential features: urge to move legs, worsening at rest, evening predominance, and relief with movement.
Laboratory evaluation should include serum ferritin, as levels below 50–75 ng/mL may exacerbate symptoms.
Polysomnography is not required for diagnosis but may help in complex cases or when evaluating PLMS.
Differential diagnosis includes peripheral neuropathy, nocturnal leg cramps, akathisia, vascular insufficiency, and positional discomfort.
A detailed history and neurologic examination are key to distinguishing RLS from mimics.
Non-pharmacologic measures include regular sleep hygiene, moderate exercise, avoidance of caffeine and alcohol, and treatment of underlying conditions such as iron deficiency.
Iron supplementation is recommended when ferritin is below 75 ng/mL, often improving symptoms significantly.
First-line pharmacologic therapy includes dopamine agonists (e.g., pramipexole, ropinirole) or α2δ calcium channel ligands (e.g., gabapentin, pregabalin).
For refractory or severe cases, opioids (e.g., methadone, oxycodone) or benzodiazepines may be considered under specialist supervision.
Dopamine agonist-induced augmentation (worsening symptoms earlier in the day) should be monitored and may necessitate a change in therapy.
Which of the following clinical features is most characteristic of restless legs syndrome?
Answer: (C) Discomfort that worsens with rest and improves with movement

A 38-year-old woman presents to the emergency department with a sudden, severe "thunderclap" headache that reached peak intensity within one minute while showering.
She reports similar recurrent headaches over the past week, often triggered by exertion or emotional stress.
Neurological examination is normal except for mild photophobia.
Non-contrast CT of the brain is normal, but CT angiography reveals multifocal segmental narrowing of medium-sized cerebral arteries.
Follow-up angiography 8 weeks later shows complete resolution of the vasoconstriction, confirming the diagnosis of reversible cerebral vasoconstriction syndrome (RCVS).
RCVS is an underrecognized cause of thunderclap headache, with an estimated annual incidence of 2–5 per million, though likely underestimated.
It predominantly affects middle-aged women, typically between 30 and 50 years of age.
Triggers include vasoactive substances (e.g., selective serotonin reuptake inhibitors, triptans, illicit drugs), postpartum state, exertion, or sexual activity.
Up to 30% of cases are associated with pregnancy or the postpartum period, often within the first 2 weeks after delivery.
Although usually benign and self-limited, complications such as intracerebral hemorrhage, subarachnoid hemorrhage, or ischemic stroke occur in up to 30–40% of cases.
RCVS is characterized by transient, reversible multifocal constriction of cerebral arteries leading to acute disturbances in cerebral blood flow.
The exact pathophysiology remains unclear but is thought to involve dysregulation of cerebral vascular tone due to sympathetic overactivity and endothelial dysfunction.
Vasoactive triggers such as serotonergic or adrenergic agents, postpartum hormonal changes, or stress can precipitate vasoconstriction.
Endothelial injury and blood-brain barrier disruption may contribute to secondary complications like posterior reversible encephalopathy syndrome (PRES).
Reversibility typically occurs within 1–3 months, supporting a functional, rather than structural, vascular process.
The hallmark feature is recurrent, severe thunderclap headache—a sudden-onset headache reaching maximum intensity within 60 seconds.
Headaches often recur over days to weeks and may be triggered by exertion, coughing, sexual activity, or emotional stress.
Focal neurological deficits may occur due to complications such as ischemic stroke, intracerebral hemorrhage, or seizures.
Some patients present with signs of PRES, including visual disturbances, encephalopathy, or seizures.
The course is typically monophasic and self-limited, with spontaneous resolution of vasoconstriction over 1–3 months.
Diagnosis is based on the clinical presentation, angiographic findings of multifocal vasoconstriction, and subsequent reversibility on follow-up imaging.
CT or MRI may initially be normal but can reveal hemorrhage or infarction in complicated cases.
Digital subtraction angiography (DSA), CT angiography (CTA), or MR angiography (MRA) demonstrates the classic "string-of-beads" appearance.
Differential diagnosis includes aneurysmal subarachnoid hemorrhage, primary angiitis of the CNS (PACNS), cerebral venous sinus thrombosis, and carotid or vertebral artery dissection.
PACNS can mimic RCVS but typically presents with subacute headaches, progressive deficits, CSF pleocytosis, and persistent angiographic abnormalities.
Management focuses on supportive care, trigger avoidance, and blood pressure control to prevent secondary complications.
Calcium channel blockers (e.g., nimodipine, verapamil) are often used empirically to alleviate headaches and reduce vasospasm, though evidence is limited.
Avoidance of vasoactive agents, including sympathomimetics, serotonergic drugs, and triptans, is critical.
Seizures should be treated with standard antiepileptic medications, and PRES should be managed with careful blood pressure reduction.
Most patients recover fully within 1–3 months, but follow-up vascular imaging is recommended to confirm resolution and exclude alternative diagnoses.
Which of the following features most reliably distinguishes reversible cerebral vasoconstriction syndrome (RCVS) from primary angiitis of the CNS (PACNS)?
Answer: (C) Reversibility of angiographic abnormalities within 12 weeks

A 45-year-old African American woman presents with progressive facial weakness, intermittent diplopia, and chronic headaches over 3 months. She reports fatigue, weight loss, and persistent dry cough. Neurological examination reveals bilateral facial nerve palsy and mild sensory loss in the left leg. MRI brain shows leptomeningeal enhancement, and CSF analysis reveals lymphocytic pleocytosis with elevated protein. Biopsy of mediastinal lymph nodes demonstrates non-caseating granulomas, confirming the diagnosis of neurosarcoidosis.
Immune dysregulation: - Dysregulated immune response to unidentified antigen → non-caseating granuloma formation - CD4+ T-helper cells and macrophages accumulate in affected tissues - Cytokine release (IL-2, TNF-α) sustains chronic inflammation
Nervous system involvement: - Granulomas infiltrate meninges, cranial nerves, hypothalamus, pituitary, or parenchyma - Blood-brain barrier disruption → perivascular inflammation - Tissue injury and demyelination result from chronic inflammation
Risk factors: - Genetic predisposition (HLA-DRB1 alleles) - Environmental exposures influence susceptibility and severity
Patterns of involvement: - Leptomeningeal (most common) - cranial nerves, chronic meningitis - Parenchymal - brain/spinal cord lesions mimicking MS - Hypothalamic-pituitary - endocrine dysfunction - Peripheral nervous system - mononeuritis multiplex, small fiber neuropathy
Cranial neuropathies (most common): - Facial nerve palsy (CN VII) - hallmark; often bilateral - Optic neuropathy (CN II) - vision loss, papilledema - Other cranial nerves: III, IV, VI (diplopia), VIII (hearing loss, vertigo)
Meningeal involvement: - Chronic meningitis - headache, cognitive impairment - Hydrocephalus from CSF obstruction
Parenchymal disease: - Focal neurological deficits - Seizures - Myelopathy (spinal cord involvement) - May mimic MS or CNS vasculitis
Hypothalamic-pituitary dysfunction: - Diabetes insipidus (most common endocrine manifestation) - Amenorrhea, galactorrhea - Hypothyroidism, hyperprolactinemia
Peripheral nervous system: - Mononeuritis multiplex - Small fiber neuropathy - Symmetric polyneuropathy (rare)
Clinical criteria: - Requires combination of clinical, radiologic, laboratory, and histopathological findings - Multidisciplinary evaluation often necessary
Imaging: - MRI with gadolinium contrast (imaging of choice) - Leptomeningeal enhancement (linear, nodular) - Parenchymal lesions (white matter, hypothalamic) - Cranial nerve enhancement - Hydrocephalus
CSF analysis: - Lymphocytic pleocytosis (typically 10-100 cells/μL) - Elevated protein (50-200 mg/dL) - Elevated ACE levels (not specific) - Normal or low glucose - Negative infectious studies
Tissue biopsy (gold standard): - Non-caseating granulomas on histopathology - Usually from extraneuronal sites (lymph nodes, lung, skin) - Brain/meningeal biopsy if extraneuronal biopsy unavailable
Supportive tests: - Chest CT: hilar/mediastinal lymphadenopathy, pulmonary infiltrates - Serum ACE: elevated (not specific) - PET scan: increased FDG uptake in affected areas
Differential diagnosis: - Multiple sclerosis - Neurosyphilis - CNS lymphoma - Primary CNS vasculitis - Tuberculosis meningitis - Lyme disease - Behçet’s disease
First-line therapy: - High-dose corticosteroids - Prednisone 1 mg/kg/day (typically 60-80 mg/day) - IV methylprednisolone 1 g/day × 3-5 days for severe cases - Gradual taper over months based on clinical/radiologic response
Steroid-sparing immunosuppressants: - For chronic disease, steroid dependence, or refractory cases - Methotrexate 15-25 mg/week (most commonly used) - Azathioprine 2-3 mg/kg/day - Mycophenolate mofetil 1000-1500 mg twice daily - Hydroxychloroquine 200-400 mg/day (adjunctive)
Biologic agents: - For severe or refractory disease - Infliximab (TNF-α inhibitor) - most evidence - Adalimumab - alternative TNF-α inhibitor
Symptomatic management: - Seizures: antiepileptic drugs as indicated - Endocrine dysfunction: hormone replacement (DDAVP for DI, thyroid hormone) - Hydrocephalus: VP shunt or EVD if needed - Pain: neuropathic pain management
Monitoring: - Serial MRI every 3-6 months initially, then annually - CSF re-evaluation if clinical worsening - Monitor for systemic disease progression - Screen for steroid complications
Prognosis: - Variable course: relapsing-remitting or chronic progressive - Early aggressive treatment improves outcomes - Regular follow-up essential due to recurrence risk
Which of the following is the most common neurological manifestation of neurosarcoidosis?
Answer: (B) Facial nerve palsy Cranial neuropathies, particularly facial nerve palsy is common in neurosarcoidosis.

A 34-year-old woman presents to the emergency department with agitation, confusion, and muscle rigidity after starting linezolid for a skin infection while taking sertraline for depression.
On examination, she is febrile (39.2°C), hypertensive (160/95 mmHg), tachycardic (120 bpm), and diaphoretic.
Neurological examination reveals hyperreflexia, inducible clonus, and bilateral lower extremity tremor.
There is no evidence of infection, metabolic disturbance, or structural brain lesion.
A diagnosis of serotonin syndrome is suspected based on her clinical presentation and medication history.
Serotonin syndrome is a potentially life-threatening condition resulting from excessive serotonergic activity in the central and peripheral nervous systems.
It is most commonly associated with the use or interaction of serotonergic drugs such as SSRIs, SNRIs, MAO inhibitors, TCAs, and certain opioids or antibiotics.
The true incidence is unknown due to under-recognition but is increasing with widespread antidepressant use.
Most cases occur within 24 hours of a medication change, overdose, or drug interaction.
Young and middle-aged adults are most commonly affected, with no significant gender predilection.
Clinical presentation typically involves a triad of neuromuscular hyperactivity, autonomic dysfunction, and altered mental status.
Neuromuscular findings include hyperreflexia, clonus (spontaneous, inducible, or ocular), tremor, and rigidity, often more prominent in the lower limbs.
Autonomic manifestations include hyperthermia, hypertension, tachycardia, diaphoresis, and mydriasis.
Mental status changes range from agitation and anxiety to confusion, delirium, or coma.
Symptoms typically develop rapidly, often within hours of serotonergic drug exposure or interaction.
Diagnosis is clinical and supported by diagnostic criteria such as the Hunter Serotonin Toxicity Criteria, which emphasize clonus, agitation, hyperreflexia, and recent serotonergic use.
Laboratory tests are nonspecific but may show leukocytosis, metabolic acidosis, elevated CK, or renal dysfunction secondary to rhabdomyolysis.
Neuroimaging and CSF studies are generally normal and are used to exclude alternative causes.
Important differentials include neuroleptic malignant syndrome (NMS), anticholinergic toxicity, malignant hyperthermia, and sepsis.
Differentiation from NMS is crucial: serotonin syndrome develops rapidly, features hyperreflexia and clonus, and often lacks lead-pipe rigidity.
Immediate discontinuation of serotonergic agents is the cornerstone of management.
Supportive care, including IV fluids, cooling measures, and benzodiazepines for agitation or tremor, is often sufficient in mild cases.
Moderate to severe cases may require hospitalization, intensive monitoring, and use of cyproheptadine, a serotonin receptor antagonist.
Severe hyperthermia (>41°C) warrants aggressive sedation, neuromuscular paralysis, and intubation.
Early recognition and prompt intervention are key, as most patients recover within 24–72 hours once serotonergic activity is reduced.
Which of the following clinical features best distinguishes serotonin syndrome from neuroleptic malignant syndrome?
Answer: (C) Clonus and hyperreflexia These features are characteristic of Serotonin Syndrome

A 48-year-old woman presents with progressive numbness and burning pain in her feet and hands over 6 months, along with intermittent facial weakness and episodes of blurred vision.
She also reports chronic dry eyes and dry mouth for several years, requiring frequent use of artificial tears and sips of water.
Neurological examination reveals distal sensory loss in a glove-and-stocking pattern, diminished ankle reflexes, and mild right-sided facial palsy.
Laboratory tests show positive anti-Ro/SSA and anti-La/SSB antibodies, elevated ESR, and a salivary gland biopsy demonstrating focal lymphocytic sialadenitis.
These findings are consistent with primary Sjögren’s syndrome with peripheral and cranial nervous system involvement.
Sjögren’s syndrome (SS) is a systemic autoimmune disease characterized by lymphocytic infiltration of exocrine glands and extraglandular involvement, including the nervous system.
It primarily affects middle-aged women, with a female-to-male ratio of approximately 9:1 and a peak onset between 40 and 60 years.
Neurological manifestations occur in approximately 10–25% of patients with primary SS, often presenting years before sicca symptoms.
Secondary SS may develop in association with other autoimmune conditions, such as rheumatoid arthritis or systemic lupus erythematosus.
Neurological involvement significantly impacts quality of life and prognosis, underscoring the need for early recognition and treatment.
The pathogenesis involves autoimmune-mediated destruction of exocrine glands and systemic inflammation affecting peripheral and central nervous tissue.
Activated B cells and T lymphocytes produce autoantibodies (anti-Ro/SSA, anti-La/SSB) and proinflammatory cytokines, leading to tissue injury.
Vasculitis and perivascular lymphocytic infiltration contribute to ischemic damage in peripheral nerves and the CNS.
Direct immune attack on dorsal root ganglia results in sensory neuronopathy, a hallmark of Sjögren’s neuropathy.
Blood–brain barrier disruption and demyelination may occur in CNS involvement, mimicking multiple sclerosis.
Peripheral nervous system involvement is most common, including distal symmetric sensorimotor polyneuropathy, sensory neuronopathy, small fiber neuropathy, and mononeuritis multiplex.
Cranial neuropathies (especially trigeminal and facial nerve involvement) and autonomic neuropathies (e.g., orthostatic hypotension) may also occur.
Central nervous system manifestations include cognitive dysfunction, myelopathy, seizures, and demyelinating syndromes resembling multiple sclerosis.
Extraglandular systemic signs such as arthralgia, fatigue, vasculitis, and renal tubular acidosis often coexist.
Sicca symptoms (xerophthalmia and xerostomia) are classic but may be subtle or absent initially in neurologic presentations.
Diagnosis is based on a combination of clinical features, serologic testing for anti-Ro/SSA and anti-La/SSB antibodies, and histopathology of minor salivary glands.
Objective evidence of exocrine dysfunction is obtained through Schirmer’s test, salivary flow measurement, and ocular staining.
Electrophysiological studies (nerve conduction and EMG) help characterize peripheral neuropathies, while MRI assesses CNS involvement.
Differential diagnoses include systemic lupus erythematosus, sarcoidosis, multiple sclerosis, chronic inflammatory demyelinating polyneuropathy (CIDP), and paraneoplastic neuropathies.
Nerve biopsy may be indicated in cases with vasculitic neuropathy to confirm inflammatory etiology.
Management focuses on controlling systemic inflammation, alleviating symptoms, and preventing progression of neurologic involvement.
Corticosteroids and immunosuppressive agents (azathioprine, mycophenolate mofetil, cyclophosphamide) are used for significant neurologic disease.
Rituximab and other B-cell–depleting therapies may be effective in refractory or severe cases, particularly sensory neuronopathy and CNS involvement.
Symptomatic treatments include neuropathic pain agents (gabapentin, duloxetine), artificial tears, saliva substitutes, and measures for autonomic dysfunction.
Close monitoring for lymphoma development is essential, as patients with SS have an increased risk of B-cell non-Hodgkin lymphoma.
Which of the following neurological manifestations is most characteristic of Sjögren’s syndrome?
Answer: (B) Sensory neuronopathy due to dorsal root ganglion involvement

Differential Diagnoses: Peripheral Neuropathy | Fibromyalgia | Complex Regional Pain Syndrome | Autonomic Neuropathy
Related Symptoms: Burning pain | Allodynia | Orthostatic intolerance | Abnormal sweating
Diagnostic Tests: Skin Biopsy (IENFD) | QSART/QST | Autonomic Reflex Testing
A 48-year-old man presents with burning pain and tingling in both feet for the past 8 months, worse at night and aggravated by contact with bed sheets.
He reports occasional episodes of lightheadedness on standing and increased sweating.
Neurological examination reveals intact muscle strength and reflexes but decreased pinprick and temperature sensation in a stocking distribution.
Nerve conduction studies are normal, but skin biopsy shows reduced intraepidermal nerve fiber density.
These findings are consistent with small fiber neuropathy (SFN), predominantly affecting thinly myelinated A\(\delta\) and unmyelinated C fibers.
SFN is a common but often underdiagnosed peripheral neuropathy, with an estimated prevalence of 53 per 100,000 individuals.
It typically presents in middle-aged adults, with a slight female predominance.
The most common causes include diabetes mellitus, impaired glucose tolerance, autoimmune disorders, and idiopathic cases.
Paraneoplastic, infectious (e.g., HIV, hepatitis C), toxic (e.g., chemotherapy, alcohol), and genetic causes (e.g., SCN9A mutations) are less frequent but important etiologies.
Approximately 30–50% of cases remain idiopathic despite thorough evaluation.
SFN classically presents with neuropathic pain, described as burning, stabbing, or electric shock-like, often in a distal symmetric "stocking-glove" distribution.
Sensory symptoms include allodynia, hyperalgesia, paresthesia, and impaired pinprick and temperature sensation, with preservation of vibration and proprioception.
Autonomic involvement can manifest as orthostatic hypotension, gastrointestinal dysmotility, abnormal sweating, or sexual dysfunction.
Symptoms often worsen at night and can significantly impact sleep and quality of life.
Unlike large-fiber neuropathies, strength, reflexes, and nerve conduction studies are typically normal.
Normal NCS does not exclude neuropathy. When burning pain and autonomic symptoms persist with normal electrodiagnostics, order a distal-leg skin biopsy or QSART to confirm SFN.
Diagnosis relies on clinical features, normal nerve conduction studies, and confirmation of small fiber loss via skin biopsy showing reduced intraepidermal nerve fiber density.
Quantitative sensory testing (QST) and autonomic function tests (e.g., QSART, tilt-table testing) can provide supportive evidence.
Blood tests should evaluate for metabolic, autoimmune, infectious, and nutritional causes (e.g., HbA1c, ANA, HIV, vitamin B12).
Differential diagnoses include large fiber polyneuropathy, fibromyalgia, complex regional pain syndrome, chronic pain syndromes, and central causes of neuropathic pain.
Early recognition and etiology-specific testing are essential for targeted management and prognosis.
Differential Diagnosis Comparison:
| Feature | Small Fiber Neuropathy | Large Fiber Neuropathy | Fibromyalgia | Complex Regional Pain Syndrome |
|---|---|---|---|---|
| Strength/Reflexes | Normal | Reduced in late disease | Normal | Normal/variable |
| Sensory Loss | Pin/temperature ↓, vibration preserved | Vibration/proprioception ↓ | Non-dermatomal tenderness | Allodynia localized to limb |
| NCS/EMG | Normal | Abnormal (axonal/demyelinating) | Normal | Normal |
| Skin Biopsy (IENFD) | Reduced | Normal or mildly ↓ | Normal | Normal |
| Autonomic Features | Common | Possible if mixed neuropathy | Rare | Local temperature/sweating change |
Treat Underlying Etiology:
| Cause | Therapy |
|---|---|
| Diabetes / IGT | Optimize glycemic control, weight loss, exercise |
| Autoimmune (e.g., Sjögren, sarcoidosis) | IVIG, corticosteroids, immunosuppressants (mycophenolate, rituximab) |
| Toxic/Drug-Induced | Discontinue offending agent (chemo, alcohol) |
| Genetic Sodium Channelopathy | Sodium channel blockers (carbamazepine, mexiletine) |
| Idiopathic | Symptomatic management, consider IVIG in select autoimmune-suspected cases |
Pain & Autonomic Symptom Control:
| Target | Therapy | Notes |
|---|---|---|
| Neuropathic Pain | Gabapentin/pregabalin, duloxetine, venlafaxine, TCAs | First-line combinations often needed |
| Sodium channel blockers (mexiletine, carbamazepine) | Helpful in gain-of-function mutations | |
| Topical capsaicin 8% patch, lidocaine 5% | For focal pain | |
| Orthostatic Hypotension | Increased fluids/salt, compression stockings, midodrine, fludrocortisone | Monitor BP, supine hypertension |
| Sweating Abnormalities | Glycopyrrolate for hyperhidrosis; emollients for anhidrosis | Supportive |
| GI Dysmotility | Dietary modification, prokinetics (metoclopramide, erythromycin) | Coordinate with gastroenterology |
Management Algorithm: 1. Confirm SFN phenotype with skin biopsy/QSART after excluding large-fiber disease. 2. Screen for common causes (diabetes, autoimmune, toxins, infections); treat reversible etiologies promptly. 3. Initiate pain regimen (gabapentinoid or SNRI ± topical therapy); escalate to combination therapy if inadequate. 4. Address autonomic symptoms using targeted therapies and lifestyle adjustments. 5. Monitor progression every 6–12 months; repeat etiologic workup if new systemic signs arise; consider immunotherapy for immune-mediated SFN.
Which of the following findings is most characteristic of small fiber neuropathy?
Answer: (B) Reduced intraepidermal nerve fiber density with normal NCS
Oaklander AL, Klein MM. Evidence of small-fiber polyneuropathy in unexplained, juvenile-onset, widespread pain syndromes. Pediatrics. 2013;131(4):e1091–e1100.
Devigili G, et al. Diagnosis and management of small fiber neuropathy. Brain. 2008;131(7):1912–1925.
Lauria G, Hsieh ST, Johansson O, et al. European Federation of Neurological Societies/Peripheral Nerve Society guideline on the use of skin biopsy in the diagnosis of small fiber neuropathy. Eur J Neurol. 2010;17(7):903–912.

A 32-year-old pregnant woman undergoes a routine second-trimester ultrasound at 20 weeks gestation.
The scan reveals an open neural tube defect in the lumbosacral region, with protrusion of meninges and neural tissue through a vertebral defect.
Maternal serum alpha-fetoprotein (AFP) levels are elevated, and amniocentesis shows increased acetylcholinesterase activity.
After birth, the infant presents with lower limb weakness, urinary incontinence, and a tuft of hair over the lumbosacral region.
These findings are consistent with spina bifida myelomeningocele, the most severe and common form of neural tube defect.
Spina bifida is a congenital neural tube defect (NTD) characterized by incomplete closure of the vertebral arches and spinal cord during embryogenesis.
The global prevalence ranges from 0.3 to 1.5 per 1,000 live births, varying by geography, ethnicity, and folic acid supplementation programs.
Myelomeningocele accounts for approximately 75–80% of spina bifida cases, followed by meningocele and spina bifida occulta.
Risk factors include maternal folate deficiency, certain antiepileptic drugs (e.g., valproate), maternal diabetes, obesity, and hyperthermia in early pregnancy.
Prenatal folic acid supplementation reduces the incidence of NTDs by up to 70%, highlighting the importance of preconception care.
Spina bifida results from a failure of the neural tube to close completely between the 3rd and 4th weeks of gestation.
This failure leads to a vertebral arch defect, allowing meninges and/or spinal cord tissue to herniate through the defect.
The severity of clinical manifestations depends on the level and type of defect — with myelomeningocele causing the most significant neurological impairment.
Folate is critical for DNA synthesis and neural tube closure, and its deficiency disrupts neurulation, leading to NTD formation.
Genetic mutations (e.g., in MTHFR), environmental factors, and teratogenic exposures synergistically contribute to the pathogenesis.
Spina bifida occulta is usually asymptomatic, identified by cutaneous markers like a tuft of hair, dermal sinus, or lipoma over the spine.
Meningocele presents with a CSF-filled sac protruding through the vertebral defect but typically without significant neurological deficits.
Myelomeningocele presents with severe neurological impairment including lower limb weakness or paralysis, sensory loss, neurogenic bladder, and bowel dysfunction.
Associated conditions include hydrocephalus (due to Chiari II malformation), scoliosis, clubfoot, and cognitive impairment.
Progressive neurological deterioration can occur if untreated due to tethered cord syndrome or infection.
Prenatal diagnosis is achieved by elevated maternal serum AFP and acetylcholinesterase, combined with targeted fetal ultrasonography.
Fetal MRI can provide detailed anatomical assessment and guide perinatal management decisions.
Postnatally, diagnosis is based on physical examination and imaging (spinal ultrasound, MRI) to define the extent of neural involvement.
Differential diagnoses include sacrococcygeal teratoma, lipomeningocele, diastematomyelia, and other congenital spinal dysraphisms.
Genetic counseling and chromosomal analysis may be indicated when other anomalies are present.
Management requires a multidisciplinary approach involving neurosurgery, urology, orthopedics, rehabilitation, and pediatrics.
Early surgical closure of the defect, ideally within 24–48 hours after birth, reduces infection risk and preserves neurological function.
Prenatal fetal surgery (in utero repair) has been shown to improve motor outcomes and reduce the need for shunt placement for hydrocephalus.
Long-term care focuses on managing complications such as neurogenic bladder, orthopedic deformities, and cognitive or psychosocial issues.
Prevention remains key: women of childbearing age should receive 400–800 μg of folic acid daily, starting before conception.
Which of the following findings is most characteristic of myelomeningocele in spina bifida?
Answer: (B) Vertebral arch defect with meninges and spinal cord

A 32-year-old man is brought to the emergency department after a high-speed motor vehicle collision.
He is awake but unable to move his legs and reports loss of sensation below the umbilicus.
On examination, he has flaccid paraplegia, absent deep tendon reflexes in the lower limbs, and urinary retention.
Sensory level is identified at T10, with preserved upper limb function.
MRI reveals a fracture-dislocation of the T9 vertebra with spinal cord contusion and compression, consistent with an acute traumatic spinal cord injury.
Spinal cord injury (SCI) affects approximately 15–50 individuals per million annually worldwide, with a predominance in young adult males.
Traumatic causes, including motor vehicle accidents, falls, and violence, account for more than 80% of cases.
Non-traumatic etiologies such as tumors, infections, ischemia, and inflammatory disorders are less frequent but significant causes.
The cervical spine is most commonly affected, followed by thoracic and lumbar regions.
Advances in acute care and rehabilitation have improved survival, but long-term disability remains a major public health concern.
SCI involves a primary mechanical insult to the spinal cord, followed by a cascade of secondary injury processes.
The primary injury results from direct compression, laceration, or transection of neural tissue and vascular structures.
Secondary injury mechanisms include ischemia, excitotoxicity, inflammation, free radical formation, and apoptosis, leading to progressive neuronal loss and demyelination.
Disruption of ascending and descending tracts leads to sensory, motor, and autonomic dysfunction below the level of injury.
Chronic changes include glial scar formation, cystic cavitation, and maladaptive plasticity contributing to spasticity and neuropathic pain.
Presentation varies based on injury level and completeness, ranging from complete paralysis and sensory loss to partial deficits.
Acute signs include flaccid paralysis, areflexia, sensory loss below the lesion, and autonomic dysfunction such as hypotension and urinary retention.
Spinal shock is characterized by transient loss of all reflexes and motor/sensory activity below the lesion, typically resolving within days to weeks.
Chronic sequelae include spasticity, neuropathic pain, autonomic dysreflexia, pressure ulcers, and bowel/bladder dysfunction.
Syndromic presentations such as anterior cord syndrome, central cord syndrome, and Brown-Séquard syndrome have characteristic clinical patterns.
Diagnosis is based on clinical evaluation, neurological examination using the ASIA Impairment Scale, and imaging studies.
MRI is the modality of choice for assessing spinal cord compression, edema, hemorrhage, and ligamentous injury.
CT scans are valuable for identifying bony injuries and unstable fractures.
Differential diagnoses include acute transverse myelitis, spinal cord infarction, epidural abscess, and functional neurological disorders.
Electrophysiological studies may assist in prognostication and detecting subclinical lesions.
Initial management follows ATLS principles, emphasizing airway, breathing, and circulation stabilization, along with spinal immobilization.
High-dose methylprednisolone within 8 hours of injury was historically used but remains controversial due to limited benefit and potential complications.
Surgical decompression and stabilization are indicated for spinal cord compression, instability, or progressive neurological deficits.
Early rehabilitation, including physical and occupational therapy, is essential to maximize functional recovery and prevent complications.
Long-term management addresses spasticity, pain control, bowel/bladder training, and prevention of secondary complications such as pressure injuries.
Which of the following is a characteristic feature of spinal shock?
Answer: (B) Flaccid paralysis with areflexia below the lesion

A 5-month-old infant is brought in with progressive floppiness, poor head control, and difficulty feeding.
The parents report that the child was initially meeting developmental milestones but has recently become less active and unable to roll over.
On examination, the infant has profound hypotonia, absent deep tendon reflexes, tongue fasciculations, and paradoxical breathing.
There is no evidence of cognitive delay, and sensory examination is normal.
Genetic testing confirms homozygous deletion of the SMN1 gene, consistent with Spinal Muscular Atrophy type I (Werdnig-Hoffmann disease).
Spinal muscular atrophy (SMA) is a group of autosomal recessive neuromuscular disorders characterized by degeneration of anterior horn motor neurons.
The global incidence is approximately 1 in 6,000–10,000 live births, with a carrier frequency of about 1 in 40–60.
SMA is classified into types 0–4 based on age of onset and severity: Type 0 (prenatal), Type I (infantile), Type II (intermediate), Type III (juvenile), and Type IV (adult-onset).
Type I (Werdnig-Hoffmann disease) accounts for 60% of cases and typically presents before 6 months of age with severe weakness and respiratory failure.
Newborn screening programs are increasingly used to identify SMA presymptomatically, improving treatment outcomes with early therapy.
SMA is caused by homozygous deletion or mutation of the SMN1 gene on chromosome 5q13, leading to deficiency of the survival motor neuron (SMN) protein.
SMN protein is essential for the maintenance of motor neurons; its deficiency results in degeneration of anterior horn cells in the spinal cord and brainstem.
The SMN2 gene, a nearly identical paralog, produces limited functional SMN protein and modulates disease severity — more SMN2 copies generally correlate with milder phenotypes.
Motor neuron loss leads to progressive denervation of skeletal muscle, resulting in weakness, hypotonia, and atrophy.
Non-neuronal mechanisms, including impaired RNA splicing and neuromuscular junction dysfunction, may contribute to disease progression.
SMA presents with symmetric, proximal greater than distal muscle weakness, hypotonia, and absent reflexes, with preserved sensation.
Type I presents in infancy with severe hypotonia ("floppy infant"), poor feeding, weak cry, and respiratory insufficiency, often leading to death by 2 years if untreated.
Type II (onset 6–18 months) allows sitting but not walking independently; respiratory complications and scoliosis are common.
Type III (Kugelberg-Welander disease) presents later in childhood with milder weakness, frequent falls, and preserved ambulation into adulthood.
Type IV, the rare adult-onset form, manifests with slowly progressive weakness and minimal respiratory involvement.
Genetic testing for homozygous deletion of SMN1 is the gold standard for diagnosis and is positive in >95% of patients.
Serum creatine kinase may be normal or mildly elevated, and electromyography shows denervation with fibrillations and large motor unit potentials.
Muscle biopsy is rarely needed but would show grouped atrophy consistent with anterior horn cell disease.
Differential diagnoses include congenital myopathies, congenital muscular dystrophies, metabolic myopathies, and neuromuscular junction disorders such as congenital myasthenic syndromes.
Prenatal diagnosis and carrier screening are available for families with a known history of SMA.
Disease-modifying therapies are now available, including nusinersen (an antisense oligonucleotide that enhances SMN2 splicing), onasemnogene abeparvovec (gene replacement therapy), and risdiplam (oral SMN2 splicing modifier).
Early initiation of therapy, ideally presymptomatically, significantly improves motor function and survival outcomes.
Supportive care includes nutritional support, respiratory management (non-invasive ventilation, cough assistance), and orthopedic interventions for scoliosis.
Physical and occupational therapy are essential for maintaining motor function and preventing contractures.
Multidisciplinary care involving neurology, pulmonology, orthopedics, and rehabilitation specialists is critical for optimal outcomes.
Which of the following genetic changes is most commonly associated with spinal muscular atrophy?
Answer: (B) Mutation in the SMN1 gene on chromosome 5q13

A 48-year-old woman presents with progressive stiffness of the axial muscles over one year, leading to a stooped posture and difficulty walking.
She reports painful muscle spasms triggered by sudden noise and emotional stress, often causing her to fall.
On examination, she demonstrates board-like rigidity of the paraspinal and abdominal muscles with exaggerated lumbar lordosis.
Startle responses are exaggerated, and spasms can be precipitated by tapping or loud sounds.
Serology reveals elevated anti–glutamic acid decarboxylase (GAD65) antibodies, supporting the diagnosis of Stiff Person Syndrome (SPS).
Stiff Person Syndrome (SPS) is a rare autoimmune neurological disorder with an estimated prevalence of 1–2 cases per million.
It predominantly affects adults between 30 and 60 years, with a female-to-male ratio of approximately 2:1.
Around 60–80% of patients have anti-GAD65 antibodies, and SPS is often associated with other autoimmune conditions, particularly type 1 diabetes mellitus and thyroiditis.
A paraneoplastic variant occurs in association with malignancies, most commonly breast or small-cell lung cancer.
Pediatric and juvenile forms are rare but reported, often associated with GABAergic dysfunction and autoimmunity.
SPS is an autoimmune disorder characterized by antibodies targeting glutamic acid decarboxylase (GAD65), an enzyme critical for GABA synthesis.
Reduced GABAergic inhibition in the central nervous system leads to hyperexcitability of motor neurons and continuous muscle firing.
Paraneoplastic SPS involves antibodies against amphiphysin or gephyrin, which disrupt synaptic inhibitory signaling.
The resulting imbalance between excitatory and inhibitory neurotransmission causes persistent rigidity and stimulus-sensitive spasms.
Genetic predisposition (e.g., HLA class II alleles) and environmental triggers may contribute to the development of SPS.
The hallmark clinical feature is progressive stiffness and rigidity of axial and proximal limb muscles, leading to impaired gait and postural instability.
Painful muscle spasms occur spontaneously or are triggered by external stimuli such as noise, touch, or emotional distress.
Patients often develop exaggerated lumbar lordosis, hyperlordotic posture, and a stiff-legged gait.
Exaggerated startle responses and episodic falls are common, and anxiety or phobias may coexist due to the unpredictability of spasms.
In severe cases, involvement of respiratory or bulbar muscles can lead to life-threatening complications.
Diagnosis is based on a combination of clinical features, electrophysiological evidence of continuous motor unit activity, and the presence of anti-GAD65 or other relevant antibodies.
Electromyography (EMG) reveals continuous motor unit firing that decreases with benzodiazepines or GABAergic drugs.
MRI is usually normal but may be used to exclude structural causes of stiffness.
Differential diagnoses include neuromyotonia, hyperekplexia, spastic paraparesis, psychogenic movement disorders, and dystonia.
Paraneoplastic screening is recommended, especially in cases with amphiphysin antibodies or rapid progression.
Symptomatic treatment focuses on enhancing GABAergic activity using benzodiazepines (e.g., diazepam, clonazepam) and baclofen.
Intravenous immunoglobulin (IVIG) and plasmapheresis are effective in reducing autoimmune activity and improving symptoms in many patients.
Immunosuppressive agents such as corticosteroids, rituximab, or mycophenolate mofetil are used for refractory or severe cases.
Physical therapy is essential for maintaining mobility, reducing contractures, and improving functional independence.
In paraneoplastic SPS, treatment of the underlying malignancy is crucial for neurological improvement.
Which of the following findings is most characteristic of Stiff Person Syndrome?
Answer: (B) Continuous motor unit firing relieved by GABAergic therapy
Dalakas MC. Stiff person syndrome: advances in pathogenesis and therapeutic interventions. Curr Treat Options Neurol. 2009;11(2):102–110.
Hinson SR, Lennon VA, Pittock SJ. Autoimmune neurological diseases targeting GABAergic and glycinergic synaptic transmission. Ann N Y Acad Sci. 2012;1275:84–96.
Meinck HM, Thompson PD. Stiff man syndrome and related conditions. Mov Disord. 2002;17(5):853–866.

Differential Diagnoses: Large Vessel Stroke | Small Vessel Stroke | Hemorrhagic Stroke
Related Symptoms: Hemiplegia | Aphasia | Altered Consciousness
Diagnostic Tests: CT/MRI Brain | Echocardiography
See Also: Atrial Fibrillation Management
A 72-year-old man with a history of persistent atrial fibrillation, hypertension, and diabetes mellitus presents with sudden onset of right-sided weakness and aphasia.
On examination, he is alert but has a right hemiplegia, gaze preference to the left, and expressive aphasia.
CT brain is initially negative for hemorrhage, but diffusion-weighted MRI shows an acute left middle cerebral artery (MCA) infarction.
Echocardiography reveals a left atrial thrombus, and his CHA2DS2-VASc score is 5.
The presentation is consistent with a cardioembolic stroke secondary to atrial fibrillation–associated thromboembolism.
Cardioembolic stroke accounts for approximately 20–30% of all ischemic strokes and is a major cause of morbidity and mortality worldwide.
Atrial fibrillation is the most common cause, conferring a 5-fold increased risk of stroke compared to the general population.
Other important cardiac sources include left ventricular thrombus after myocardial infarction, valvular heart disease (e.g., rheumatic mitral stenosis), prosthetic valves, and infective endocarditis.
The risk of recurrence is higher in cardioembolic stroke compared to other etiologies if anticoagulation is not initiated.
Incidence increases with age and comorbidities such as heart failure, coronary artery disease, and structural cardiomyopathies.
Cardioembolic stroke occurs when thrombi originating within the heart embolize to the cerebral circulation, producing abrupt arterial occlusion and large cortical infarcts.
In atrial fibrillation, stasis in the left atrial appendage leads to thrombus formation via disrupted laminar flow, endothelial dysfunction, and hypercoagulability.
Following myocardial infarction or in heart failure, mural thrombi develop in akinetic segments of the ventricle and can embolize systemically.
Valvular lesions (e.g., rheumatic mitral stenosis) and mechanical prosthetic valves predispose to thrombus formation, while infective endocarditis generates friable septic emboli.
Emboli preferentially lodge in large intracranial arteries (MCA, ACA, PCA), explaining the sudden, severe neurological deficits and higher hemorrhagic transformation rates.
Cardioembolic strokes usually present with sudden, maximal-onset neurological deficits, often without preceding transient ischemic attacks.
Common presentations include hemiplegia, aphasia, hemianopia, and altered consciousness, depending on the affected vascular territory.
Multiple infarcts in different vascular territories or bilateral involvement are characteristic imaging findings.
Systemic embolization (e.g., splenic, renal, or peripheral arterial emboli) may coexist, supporting a cardioembolic source.
Hemorrhagic transformation of the infarct is more frequent than in other stroke subtypes due to rapid reperfusion and vessel fragility.
Sudden maximal-onset deficits + atrial fibrillation + multiple vascular territories = Cardioembolic stroke until proven otherwise. Hemorrhagic transformation occurs in 40-70% (vs 5-15% in other stroke types), so timing of anticoagulation initiation is critical.
Diagnosis involves brain imaging (CT/MRI) to confirm ischemic stroke and additional studies to identify a cardiac source.
Echocardiography (transthoracic or transesophageal) is essential to detect atrial or ventricular thrombi, valvular disease, or patent foramen ovale.
ECG and continuous cardiac monitoring are necessary to detect atrial fibrillation or other arrhythmias.
Differential diagnoses include large-artery atherosclerotic stroke, lacunar stroke due to small vessel disease, paradoxical embolism, and hypercoagulable states.
Laboratory evaluation may include coagulation profile, inflammatory markers, and blood cultures if endocarditis is suspected.
Differential Diagnosis Comparison:
| Feature | Cardioembolic Stroke | Large-Vessel Atherosclerotic | Small-Vessel (Lacunar) | Stroke Mimic / TIA |
|---|---|---|---|---|
| Onset | Sudden, maximal deficit | Stepwise or stuttering | Gradual or fluctuating mild deficit | Often transient, resolves <24h |
| Imaging | Cortical ± multiple territories, hemorrhagic conversion common | Large territorial infarct with vessel stenosis/occlusion | Deep (<15 mm) lacunes | Normal or nonspecific |
| Cardiac Source | AF, LV thrombus, valve disease | Usually absent | Absent | Absent |
| Recurrence Pattern | High early recurrence w/o anticoagulation | Related to plaque instability | Related to risk factors | Often none |
| Prevention | Oral anticoagulation (DOAC/warfarin) | Antiplatelet + risk-factor control | Antiplatelet + BP/glucose control | Depends on mimic (e.g., seizure therapy) |
Diagnosis is favored when: 1. Documented high-risk cardiac source (AF, LV thrombus, mechanical valve) 2. Imaging shows cortical infarct or infarcts in multiple vascular territories 3. Absence of significant extracranial/intracranial atherosclerosis supplying the territory 4. No lacunar syndrome and infarct size >1.5 cm 5. Supportive tests: Positive TTE/TEE, continuous monitoring capturing arrhythmia
Acute Stroke Treatment (Time-Dependent):
| Treatment | Time Window | Eligibility | Evidence Grade | Benefit |
|---|---|---|---|---|
| IV tPA | 0-4.5 hours | No ICH, no contraindications | Grade A | 30% better outcome at 3 months |
| Mechanical Thrombectomy | 0-6 hours (up to 24h if selected) | LVO (ICA, M1), ASPECTS ≥6 | Grade A | 50% reduction in disability |
| Aspirin 325 mg | Within 48 hours | If no tPA given | Grade A | Reduces early recurrence |
Inclusion: - Ischemic stroke with measurable deficit - Onset <4.5 hours (or last known well time) - Age ≥18 years
Key Exclusions: - ICH on CT - BP >185/110 mmHg (uncontrolled) - Recent surgery/trauma (<14 days) - Active bleeding or coagulopathy - Glucose <50 mg/dL - Seizure at onset with postictal residual
Secondary Prevention - Anticoagulation:
| Indication | Drug Options | Dosing | Evidence Grade | Notes |
|---|---|---|---|---|
| Atrial Fibrillation | Apixaban (preferred) | 5 mg BID PO | Grade A | Lower bleeding risk than warfarin |
| Rivaroxaban | 20 mg daily PO | Grade A | Once-daily dosing | |
| Dabigatran | 150 mg BID PO | Grade A | Reversible with idarucizumab | |
| Warfarin | INR 2-3 | Grade A | Requires monitoring | |
| LV Thrombus | Apixaban or warfarin | Standard dosing | Grade B | Duration: 3-6 months |
| Valvular AF | Warfarin (only option) | INR 2.5-3.5 | Grade A | DOACs contraindicated |
Treatment Algorithm:
Which of the following findings is most suggestive of a cardioembolic source of stroke?
Answer: (C) Simultaneous infarcts in multiple vascular territories

Differential Diagnoses: Ischemic Stroke | Subarachnoid Hemorrhage | Subdural Hematoma
Related Symptoms: Headache | Altered Consciousness | Seizure
Risk Factors: Hypertension, Anticoagulation, Amyloid Angiopathy
A 68-year-old hypertensive man presents with sudden-onset right-sided weakness and decreased level of consciousness. CT brain shows a left basal ganglia intracerebral hemorrhage (ICH).
There is no history of trauma, anticoagulant use, or vascular malformations.
Blood pressure is markedly elevated, and neurological examination reveals dense hemiplegia and dysarthria.
The patient was previously independent but now requires intensive care support.
This scenario illustrates the typical presentation of spontaneous ICH secondary to chronic hypertension.
Hemorrhagic stroke accounts for approximately 10–15% of all strokes but carries the highest mortality and morbidity.
Incidence increases with age and is strongly associated with chronic hypertension, amyloid angiopathy, and anticoagulant use.
Men are slightly more commonly affected than women, and risk is higher in Asian and African populations.
Mortality rates range from 30–50% within 30 days, and only about 20% of survivors regain functional independence.
Recurrent hemorrhage risk is highest in the first year, particularly in patients with poorly controlled blood pressure.
Intracerebral hemorrhage (ICH) results from rupture of small penetrating arteries, most often due to chronic hypertension-induced lipohyalinosis.
Cerebral amyloid angiopathy is a major cause of lobar hemorrhage in elderly patients.
Anticoagulant therapy, vascular malformations, tumors, and trauma are less common but important causes.
Hematoma expansion occurs in the first few hours and is a critical determinant of outcome.
Secondary brain injury due to mass effect, perihematomal edema, and inflammatory cascades contributes to neurological deterioration.
Patients present with sudden-onset focal neurological deficits such as hemiparesis, aphasia, or visual field defects.
Headache, vomiting, and decreased level of consciousness are common due to raised intracranial pressure.
Seizures occur in about 10–15% of cases, particularly with lobar hemorrhages.
Neurological deterioration within hours often reflects ongoing hematoma expansion or intraventricular extension.
Large hemorrhages can cause herniation syndromes, necessitating urgent neurosurgical intervention.
Non-contrast CT scan is the gold standard for rapid diagnosis, demonstrating hyperdense intraparenchymal blood.
CTA may identify vascular lesions, active contrast extravasation (“spot sign”), or underlying malformations.
MRI is useful for subacute/chronic hemorrhage, cavernomas, or suspected tumors.
Differential diagnoses include ischemic stroke with hemorrhagic transformation, neoplasm, cerebral venous thrombosis, and vasculitis.
Laboratory workup should include coagulation profile, CBC, renal function, and toxicology screening as appropriate.
Acute ICH Management:
| Intervention | Target/Dose | Timing | Evidence Grade | Notes |
|---|---|---|---|---|
| BP Control | SBP <140 mmHg | Within 1 hour | Grade A | Use IV labetalol, nicardipine; avoid hypotension |
| Coagulopathy Reversal | INR <1.4, platelets >100K | Immediately | Grade A | PCC/FFP for warfarin; platelet transfusion if on antiplate |
| Osmotherapy | Mannitol 0.25-1 g/kg IV | If ICP elevation | Grade B | Monitor serum osmolality <320 |
| Seizure Prophylaxis | Levetiracetam 500-1000 mg | If lobar ICH or seizure | Grade C | Avoid phenytoin (worse outcomes) |
Consider surgery if: - Cerebellar ICH >3 cm with brainstem compression or hydrocephalus - Lobar ICH >30 mL with midline shift, clinical deterioration - IVH with hydrocephalus → EVD placement - Young patient (<50 years) with accessible hematoma
Avoid surgery for: - Deep (basal ganglia/thalamic) hemorrhages <60 mL - GCS <4 (poor prognosis regardless) - Anticoagulation-related if volume expanding
Treatment Algorithm:
s Question: Which of the following is the most common cause of spontaneous intracerebral hemorrhage?
Answer: (B) Hypertensive small vessel disease

Differential Diagnoses: Cardioembolic Stroke | Small Vessel (Lacunar) Stroke | Stroke - Hemorrhagic
Related Symptoms: Hemiplegia | Aphasia | Neglect | Visual Field Defect
Diagnostic Tests: CT/CTA ± Perfusion | MRI/MRA | NIHSS
A 52-year-old man with no prior medical illnesses was found down at home with unclear onset right-sided weakness and inability to speak. He was last normal around 12 hours ago
On arrival, he was awake but globally aphasic, with right facial droop and dense right hemiplegia. NIHSS was 27
Initial non-contrast CT brain showed early ischemic changes involving the left insular cortex with an ASPECTS of 8.
CT angiography demonstrated an abrupt cutoff of the left M1 segment of the middle cerebral artery consistent with large vessel occlusion. There was a large area of perfusion mismatch on CT Perfusion.
He underwnent an angiogram which confirmed the left M1 occlusion and he underwent mechanical thrombectomy.
Large vessel occlusion (LVO) accounts for approximately 20–30% of all acute ischemic strokes but contributes disproportionately to morbidity and mortality.
Commonly affected arteries include the internal carotid artery (ICA), MCA, anterior cerebral artery (ACA), vertebral, and basilar arteries.
Risk factors include hypertension, diabetes mellitus, atrial fibrillation, carotid atherosclerosis, and smoking.
LVO strokes are associated with higher initial National Institutes of Health Stroke Scale (NIHSS) scores and worse functional outcomes compared to small-vessel strokes.
The incidence increases significantly with age, with a peak in individuals over 70 years old.
Large vessel stroke results from acute occlusion of major intracranial arteries, producing abrupt cessation of flow to eloquent cortex.
Causes include cardioembolism, in situ thrombosis of ruptured atherosclerotic plaques, artery-to-artery embolism, and tandem cervical/intracranial lesions.
A dense ischemic core forms quickly, surrounded by an ischemic penumbra that is electrically silent but potentially salvageable with reperfusion.
Collateral circulation, blood pressure, and clot burden determine how fast the core expands, underpinning the “time is brain” principle.
Reperfusion therapies aim to restore flow before penumbral tissue progresses to infarction and to prevent malignant edema.
Presentation depends on the vascular territory involved but typically includes sudden focal neurological deficits such as hemiplegia, hemisensory loss, aphasia, neglect, or visual field defects.
MCA occlusion commonly causes contralateral face-arm weakness, aphasia (if dominant hemisphere), or hemineglect (if non-dominant).
ICA occlusion may present with more profound deficits, including monocular vision loss and extensive hemispheric infarction.
Basilar artery occlusion often presents with quadriparesis, cranial nerve palsies, and altered consciousness, frequently leading to high mortality.
Symptoms usually have a sudden onset and reach maximum severity within minutes.
NIHSS ≥10 with cortical signs (aphasia, gaze deviation, neglect) strongly predicts LVO. Paired CT/CTA (± perfusion) should be ordered up front; skipping early vascular imaging is the most common systems delay to thrombectomy.
Initial workup includes urgent non-contrast CT to rule out intracranial hemorrhage, followed by CT angiography or MR angiography to identify vessel occlusion.
CT or MR perfusion imaging helps differentiate the ischemic core from the penumbra, guiding thrombectomy decisions beyond the traditional time window.
Laboratory workup should include glucose, electrolytes, coagulation profile, and cardiac evaluation (ECG, echocardiography) for embolic sources.
Differential diagnoses include intracerebral hemorrhage, seizure with postictal paralysis (Todd’s paresis), hypoglycemia, complex migraine, and space-occupying lesions.
Rapid stroke scale assessments (e.g., NIHSS) assist in initial triage and predicting LVO likelihood.
Differential Diagnosis Comparison:
| Feature | Large Vessel Occlusion | Cardioembolic | Small-Vessel (Lacunar) | Stroke Mimic |
|---|---|---|---|---|
| NIHSS | Usually >10 with cortical signs | Variable (often >8) | Typically <5, no cortical signs | Variable |
| Imaging | CTA/MRA shows proximal ICA/MCA/basilar clot | May show distal emboli, multiple territories | Normal large vessels, small DWI lesions | Normal |
| Onset | Sudden, often witnessed collapse | Sudden | May be stuttering | May fluctuate or resolve |
| Risk Factors | Atherosclerosis, carotid disease | AF, cardiomyopathy | HTN, diabetes | Depends on mimic |
| Acute Therapy | tPA + thrombectomy | tPA ± thrombectomy | tPA rarely needed | Treat underlying cause |
Acute Reperfusion Strategy (Evidence-Based):
| Therapy | Time Window | Key Criteria | Evidence Grade | Expected Benefit |
|---|---|---|---|---|
| IV Alteplase (0.9 mg/kg) | 0-4.5 h from LKW | Disabling deficit, no contraindications, BP <185/110 | Grade A | 30% higher functional independence |
| IV Tenecteplase 0.25 mg/kg | 0-4.5 h (off-label) | LVO with planned thrombectomy | Grade B | Easier bolus dosing, similar efficacy |
| Mechanical Thrombectomy | 0-6 h | ICA/M1 occlusion, ASPECTS ≥6 | Grade A | NNT ≈ 2.6 for functional independence |
| Extended Thrombectomy | 6-24 h | DAWN/DEFUSE-3 imaging selection (small core, large penumbra) | Grade A | Functional independence ↑ 28% |
| Blood Pressure Control | Peri-reperfusion | SBP <185/110 pre-tPA; <180/105 post | Grade A | Reduces hemorrhagic transformation |
Stepwise Treatment Algorithm:
Supportive & Secondary Prevention Measures:
| Target | Intervention | Rationale |
|---|---|---|
| Blood Pressure | Maintain SBP 120-140 mmHg post-reperfusion; <130/80 long term | Reduces hemorrhagic transformation and recurrence |
| Lipids | Atorvastatin 40-80 mg or rosuvastatin 20 mg | Stabilizes plaque, lowers recurrence (SPARCL) |
| Diabetes | HbA1c goal <7%, consider SGLT2/GLP-1 agents | Lowers vascular risk |
| Lifestyle | Smoking cessation, Mediterranean diet, exercise rehab | Improves endothelial health |
| Rehabilitation | Early PT/OT/SLP within 48 h if stable | Enhances functional recovery |
oindent Which of the following is the most appropriate next step for a patient presenting with a large vessel occlusion within 6 hours of symptom onset and no contraindications?
Answer: (C) Proceed with mechanical thrombectomy

A 76-year-old woman with a history of hypertension, type 2 diabetes and smoking presents with sudden-onset left sided facial droop, left sided weakness and dysarthria.
Neurological examination reveals a pure motor hemiparesis affecting the face, arm, and leg without sensory loss or cortical signs.
Brain MRI demonstrates a small infarct in the posterior limb of the internal capsule.
There is no evidence of large vessel occlusion or cardioembolic source on vascular imaging and cardiac evaluation.
The presentation is consistent with a lacunar stroke due to small vessel disease.
Small Vessel Stroke

Diffusion weighted imaging (DWI) showing R corona internal capsule infarct
📹 Watch Video: Small Vessel Stroke
Small vessel strokes (lacunar infarcts) account for approximately 20–25% of all ischemic strokes.
They typically occur in patients aged 60 years or older and are strongly associated with chronic hypertension and diabetes mellitus.
They result from occlusion of deep penetrating arteries, often in the basal ganglia, thalamus, internal capsule, pons, or corona radiata.
Recurrence rates are significant, with up to 10% risk within the first year if risk factors remain uncontrolled.
Long-term outcomes can include cognitive decline and vascular dementia in cases with multiple lacunes.
The primary mechanism involves lipohyalinosis or fibrinoid necrosis of small penetrating arteries due to chronic hypertension.
Atherosclerosis of larger parent arteries may contribute to branch occlusion (branch atheromatous disease).
Microatheromas and microemboli can also occasionally lead to small vessel infarcts.
Resultant ischemia causes small, well-demarcated infarcts less than 15 mm in diameter (lacunes).
Repeated small vessel infarctions can lead to subcortical leukoencephalopathy (Binswanger disease).
Classic lacunar syndromes include pure motor hemiparesis, pure sensory stroke, sensorimotor stroke, ataxic hemiparesis, and dysarthria–clumsy hand syndrome.
Cortical signs (e.g., aphasia, neglect, visual field defects) are typically absent.
Symptoms often develop abruptly and reach maximum severity within minutes.
Most patients have pre-existing vascular risk factors such as hypertension, diabetes, or hyperlipidemia.
Some patients may present with mild or transient symptoms, but recurrence risk remains significant.
MRI with diffusion-weighted imaging (DWI) is the most sensitive modality, showing small, deep infarcts in characteristic locations.
CT may be normal initially but can show small hypodense lesions in the subacute phase.
Vascular imaging (CTA, MRA) typically reveals no large artery stenosis or occlusion.
Cardiac work-up (e.g., echocardiography, Holter monitoring) is usually unrevealing but necessary to rule out cardioembolic causes.
Blood tests should assess vascular risk factors, including glucose, lipid profile, and renal function.
Large vessel atherosclerotic stroke — usually involves cortical signs and larger infarcts.
Cardioembolic stroke — often multifocal and involves cortical or cortical-subcortical regions.
Intracerebral hemorrhage — may present similarly but shows hyperdensity on CT.
Demyelinating disease (e.g., multiple sclerosis) — tends to have relapsing-remitting course and different imaging patterns.
Small vessel vasculitis — may mimic lacunar infarcts but usually occurs in a younger population with systemic symptoms.
Acute management follows general ischemic stroke protocols, including rapid evaluation for thrombolysis or thrombectomy (though rarely indicated).
Antiplatelet therapy (aspirin or clopidogrel) is the cornerstone of secondary prevention.
Aggressive control of blood pressure, glucose, and lipid levels reduces recurrence risk.
Lifestyle modifications, including smoking cessation and regular exercise, are essential.
In patients with multiple lacunes and cognitive decline, cognitive rehabilitation and secondary prevention strategies are crucial.
Question: Which of the following clinical features most strongly suggests a lacunar stroke rather than a large vessel cortical stroke?
Answer: (C) Pure motor hemiparesis without cortical signs.

A 52-year-old woman presents to the emergency department with sudden, severe headache described as "the worst headache of my life." The pain began abruptly while lifting a heavy box, followed by brief loss of consciousness and nausea. On examination, she is drowsy, photophobic, and has mild neck stiffness but no focal neurological deficits. Non-contrast CT brain shows hyperdensity within the basal cisterns consistent with subarachnoid blood. This presentation is typical of aneurysmal rupture leading to acute subarachnoid hemorrhage.
![]images/sah.png{}
Aneurysmal rupture: - Most non-traumatic SAH from ruptured intracranial saccular aneurysm - Blood enters subarachnoid space → sudden ICP rise → transient global cerebral ischemia - Blood breakdown products trigger vasospasm, inflammation, delayed cerebral ischemia (DCI) - Hydrocephalus from CSF reabsorption obstruction at arachnoid granulations
Less common causes: - Arteriovenous malformations (AVMs) - Mycotic aneurysms - Vasculitis - Idiopathic perimesencephalic hemorrhage (better prognosis)
Complications: - Rebleeding (highest risk first 24 hours) - Vasospasm (peaks days 3-14) - Hydrocephalus (acute or delayed) - Seizures, cardiac arrhythmias
Classic presentation: - Thunderclap headache - sudden, severe, peaks within seconds - Nausea, vomiting, photophobia - Transient or prolonged loss of consciousness
Examination findings: - Nuchal rigidity (develops hours after onset) - Positive Kernig’s or Brudzinski’s signs (meningeal irritation) - Focal deficits if intracerebral extension or vasospasm-related ischemia - Seizures may occur - Terson’s syndrome (retinal hemorrhages) in severe cases
Initial workup: - Non-contrast CT head - first test; detects SAH in >95% within 24 hours - If CT negative but high suspicion: lumbar puncture showing xanthochromia (gold standard) - CT angiography (CTA) or MR angiography (MRA) - identify bleeding source - Digital subtraction angiography (DSA) - gold standard for aneurysm detection
Grading scales: - Hunt-Hess or WFNS scales - guide prognosis and management
Differential diagnosis: - Migraine with aura - Meningitis - Reversible cerebral vasoconstriction syndrome (RCVS) - Intracerebral hemorrhage - Venous sinus thrombosis
Acute phase: - Airway protection, ICU monitoring - Blood pressure control (systolic BP <160 mmHg pre-securing; avoid hypotension) - Nimodipine 60 mg PO q4h × 21 days - prevent delayed cerebral ischemia/vasospasm - Prevent rebleeding: bed rest, analgesia, avoid Valsalva
Definitive treatment: - Aneurysm securing within 72 hours: surgical clipping or endovascular coiling - Choice depends on aneurysm location, patient factors, institutional expertise
Complications management: - Hydrocephalus: external ventricular drainage (EVD) - Vasospasm/DCI: maintain euvolemia (isotonic fluids), avoid hypovolemia - Rebleeding: early aneurysm treatment - Seizure prophylaxis: consider short-term anticonvulsants
General measures: - Glucose control, normothermia - ICP monitoring if indicated - DVT prophylaxis (after aneurysm secured)
Which of the following is the most sensitive investigation for detecting subarachnoid hemorrhage when CT scan is negative and suspicion remains high?
Answer: (B) Lumbar puncture demonstrating xanthochromia.
A 70-year-old man with history of HTN and a recent fall coming to ED with complaints of difficulty walking.
His family reports progressive headache, slurred speech, and gait abnormality
On examination, he is drowsy with right weakness of left leg
A non-contrast CT brain shows a crescent-shaped acute crescent shaped hyperdensity on Right and hypodensity on left side with midline shift.
An emergency surgery was done and drain was placed to decompress.
SDH

SDH Video: Video shows left sided chronic SDH and right sided acute SDH with midline shift
📹 Watch Video: View Video
Subdural hemorrhage (SDH) accounts for 15–20% of traumatic intracranial hemorrhages.
It predominantly affects the elderly, especially those with cerebral atrophy predisposing to venous stretch.
Anticoagulant therapy, alcohol abuse, and recurrent falls are major risk factors.
Acute SDH follows significant trauma, while chronic SDH develops gradually after minor injury.
The annual incidence of chronic SDH exceeds 50 per 100,000 in people over 65 years.
SDH arises from rupture of bridging cortical veins between the brain and dural sinuses.
Blood accumulates between the dura and arachnoid mater, forming a crescent-shaped hematoma.
It can cross suture lines but not dural reflections such as the falx or tentorium.
Acute SDH contains fresh, hyperdense clot; chronic SDH forms a fibrous capsule with recurrent microbleeds.
The resulting mass effect increases intracranial pressure and may cause uncal herniation if untreated.
Acute SDH presents with headache, vomiting, altered mental status, or focal deficits after trauma.
Chronic SDH may cause progressive confusion, gait disturbance, or personality changes over weeks.
Symptoms can fluctuate due to intermittent rebleeding and variable pressure effects.
Pupillary asymmetry, hemiparesis, and Cushing’s triad (bradycardia, hypertension, irregular respiration) indicate raised ICP.
Elderly and anticoagulated patients may deteriorate insidiously, even after trivial trauma.
Non-contrast CT is the gold standard: acute SDH appears crescentic and hyperdense; chronic SDH becomes hypodense.
MRI is useful in subacute or isodense cases and for detecting bilateral or loculated collections.
Subacute SDH appears isodense (7–21 days), often difficult to detect on CT.
Differential diagnoses include epidural hematoma**, intracerebral hemorrhage, brain tumor, or atrophy-related fluid collections.
Coagulation profile assessment is essential, especially in patients on anticoagulation.
Emergency surgical evacuation (craniotomy or burr holes) is indicated if hematoma thickness >10 mm or midline shift >5 mm.
Manage intracranial pressure with head elevation, mannitol, or hypertonic saline.
Reverse anticoagulation using vitamin K, prothrombin complex concentrate (PCC), or fresh frozen plasma (FFP).
Chronic SDH is treated with burr-hole drainage; recurrent cases may require membranectomy.
Small, asymptomatic chronic SDH can be observed with serial imaging and risk factor modification.
Which of the following best describes the typical CT appearance of a subdural hemorrhage?
Answer: (B) Crescent-shaped hematoma crossing suture lines

A 34-year-old male professional volleyball player presents with progressive left shoulder weakness and dull, aching pain in the posterior shoulder.
He reports difficulty with overhead activities and reduced power during serves, without any history of acute trauma.
Physical examination reveals atrophy of the supraspinatus and infraspinatus muscles, with reduced shoulder abduction and external rotation strength.
Sensation is preserved, and reflexes are normal.
Nerve conduction studies and electromyography (EMG) confirm suprascapular neuropathy.
Suprascapular palsy is an uncommon cause of shoulder pain and weakness, representing less than 2% of shoulder pathologies.
It is most frequently seen in overhead athletes (e.g., volleyball, baseball, tennis players) and manual laborers with repetitive shoulder motions.
The condition occurs more often in males and typically affects individuals between 20 and 50 years of age.
Iatrogenic causes (e.g., after rotator cuff surgery or scapular fracture repair) and compressive lesions (e.g., ganglion cysts) also contribute to incidence.
Early recognition is essential, as delayed diagnosis can result in irreversible muscle atrophy and chronic shoulder dysfunction.
The suprascapular nerve arises from the upper trunk of the brachial plexus (C5–C6) and innervates the supraspinatus and infraspinatus muscles.
It traverses two key anatomical sites: the suprascapular notch (beneath the transverse scapular ligament) and the spinoglenoid notch, where it is vulnerable to compression or traction injury.
Repetitive overhead motion causes traction neuropathy, while space-occupying lesions such as paralabral ganglion cysts cause compressive neuropathy.
Direct trauma, surgical injury, or fractures of the scapula can also damage the nerve.
Chronic entrapment leads to demyelination and axonal loss, resulting in muscle atrophy and weakness.
Patients typically present with posterior or superior shoulder pain, often exacerbated by overhead activity or lifting.
Weakness of shoulder abduction (supraspinatus involvement) and external rotation (infraspinatus involvement) is common, depending on the site of nerve injury.
Muscle atrophy over the supraspinous and infraspinous fossae becomes evident in chronic cases.
Sensory loss is rare because the suprascapular nerve provides only minor sensory branches to the shoulder joint capsule.
Pain may be absent in chronic cases, making isolated weakness the primary presenting sign.
Diagnosis is based on clinical findings, confirmed by electromyography (EMG) and nerve conduction studies showing denervation in the supraspinatus and/or infraspinatus muscles.
MRI of the shoulder is useful for detecting muscle edema, atrophy, or compressive lesions such as ganglion cysts.
Ultrasonography can be used for dynamic evaluation of nerve entrapment or muscle changes.
Differential diagnoses include rotator cuff tear, cervical radiculopathy (C5–C6), brachial plexopathy, and Parsonage–Turner syndrome (neuralgic amyotrophy).
Careful neurological examination and electrodiagnostic testing help distinguish these conditions.
Initial management is conservative, including activity modification, physical therapy focused on strengthening periscapular and rotator cuff muscles, and anti-inflammatory medications.
In cases due to ganglion cysts or other compressive lesions, surgical decompression via arthroscopy or open surgery may be indicated.
Persistent weakness or progressive atrophy despite 6–12 months of conservative therapy warrants surgical exploration and nerve release.
Athletes are often able to return to sport after successful decompression, although chronic cases may have incomplete functional recovery.
Early diagnosis and intervention improve the likelihood of full muscle reinnervation and functional restoration.
Which of the following findings is most suggestive of suprascapular nerve entrapment at the spinoglenoid notch?
Answer: (B) Isolated infraspinatus weakness with preserved supraspinatus

A 32-year-old man presents with progressive weakness and wasting of his hands over the past year.
He reports burning sensations and loss of pain and temperature sensation in a "cape-like" distribution across his shoulders and upper limbs.
Vibration and position sense are preserved, and there are no cranial nerve deficits.
Neurological examination shows dissociated sensory loss, intrinsic hand muscle atrophy, and hyperreflexia in the lower limbs.
MRI of the cervical spine reveals a fluid-filled cavity within the central spinal cord extending from C4 to T2, consistent with syringomyelia.
Syringomyelia is a chronic, progressive disorder characterized by the formation of a syrinx, a fluid-filled cavity within the spinal cord parenchyma.
The estimated prevalence is 8–10 per 100,000 individuals, with a peak incidence in young adults aged 20–40 years.
It is most commonly associated with Chiari I malformation, but may also result from trauma, tumors, meningitis, or arachnoiditis.
Males are slightly more frequently affected than females, particularly in post-traumatic cases.
The cervical and upper thoracic spinal cord are the most common sites involved.
Syringomyelia results from disruption of cerebrospinal fluid (CSF) dynamics, leading to accumulation of fluid within the spinal cord.
In Chiari I malformation, downward displacement of the cerebellar tonsils obstructs CSF flow at the foramen magnum, generating a pressure gradient that drives CSF into the spinal cord parenchyma.
Post-traumatic or post-inflammatory syrinxes arise from scarring and altered CSF flow, while intramedullary tumors can cause syringomyelia through direct obstruction.
The syrinx typically expands longitudinally and may compress adjacent gray and white matter, disrupting decussating spinothalamic fibers first.
Chronic progression can lead to cavitation, gliosis, and irreversible damage to spinal interneurons and motor neurons.
The classic presentation is dissociated sensory loss—loss of pain and temperature sensation with preserved vibration and proprioception—due to spinothalamic tract involvement.
Muscle wasting and weakness, particularly in the hands and intrinsic muscles, result from anterior horn cell involvement.
Upper motor neuron signs (e.g., spasticity, hyperreflexia) may occur in the lower limbs as the syrinx expands and affects corticospinal tracts.
Scoliosis, segmental hypohidrosis, and Horner’s syndrome may be present, especially in long-standing disease.
Symptoms are often slowly progressive but can accelerate with trauma, Valsalva maneuvers, or increased CSF pressure.
MRI of the spinal cord is the gold standard for diagnosis, demonstrating a fluid-filled intramedullary cavity that is isointense with CSF.
Cine MRI can assess CSF flow dynamics and is particularly useful when Chiari malformation or arachnoid scarring is suspected.
CT myelography is reserved for cases with MRI contraindications or postoperative evaluation.
Differential diagnoses include intramedullary spinal cord tumors (ependymoma, astrocytoma), multiple sclerosis, intradural arachnoid cysts, and spinal cord infarction.
Electrophysiological studies are supportive but not diagnostic, often revealing chronic denervation in affected muscles.
Management focuses on correcting the underlying cause and relieving syrinx expansion to prevent further neurological deterioration.
In Chiari I–associated syringomyelia, posterior fossa decompression (suboccipital craniectomy and duraplasty) is the treatment of choice.
Post-traumatic or idiopathic syringomyelia may require syringosubarachnoid or syringopleural shunting to drain the cavity and normalize CSF flow.
Conservative management with serial MRI is appropriate in minimally symptomatic, stable cases.
Physical therapy and symptomatic treatments (e.g., for spasticity or neuropathic pain) are important adjuncts to surgical therapy.
Which of the following findings is most characteristic of syringomyelia?
Answer: (B) Dissociated sensory loss with preserved dorsal column sensation

A 60-year-old man with a 15-year history of schizophrenia presents with involuntary lip-smacking, tongue protrusion, and grimacing movements that have been progressively worsening over the past year.
He has been on haloperidol 10 mg daily for over a decade and reports that the abnormal movements interfere with eating and social interactions.
The movements persist even when he is distracted and are not associated with weakness, tremor, or rigidity.
On examination, he exhibits choreoathetoid movements of the orofacial muscles, occasional trunk rocking, and purposeless limb movements.
These findings are consistent with tardive dyskinesia (TD), a chronic hyperkinetic movement disorder induced by long-term dopamine receptor blockade.
Tardive dyskinesia occurs in approximately 20–30% of patients treated long-term with first-generation antipsychotics and in 5–10% with second-generation agents.
It is most commonly seen in older adults, women, and those with mood disorders or diabetes.
The risk increases with cumulative exposure, duration of therapy, and higher doses of dopamine receptor antagonists.
Although classically associated with antipsychotics, TD can also occur with other dopamine-blocking drugs such as metoclopramide or prochlorperazine.
Symptoms may persist indefinitely, even after discontinuation of the offending agent.
Tardive dyskinesia results from chronic blockade of D\(_2\) dopamine receptors in the nigrostriatal pathway, leading to receptor upregulation and supersensitivity.
This dopaminergic hypersensitivity causes abnormal basal ganglia output and disinhibition of involuntary motor circuits.
Oxidative stress, neuroinflammation, and excitotoxicity have been implicated as secondary mechanisms contributing to neuronal damage.
Genetic factors, including polymorphisms in dopamine receptor and drug metabolism genes, may influence susceptibility.
The delay in symptom onset—often months to years after exposure—reflects the time required for neuroadaptive changes to occur.
TD is characterized by repetitive, involuntary, choreoathetoid movements, typically involving the orofacial region (lip-smacking, chewing, tongue protrusion).
Limb involvement may manifest as piano-playing finger movements, choreiform hand gestures, or foot tapping.
Axial involvement can include rocking, pelvic thrusting, or respiratory dyskinesias.
Symptoms are often absent during sleep and may worsen with emotional stress or voluntary movement.
Unlike acute dystonic reactions, TD develops gradually and persists despite withdrawal of the offending drug.
Diagnosis is clinical, based on a history of chronic dopamine antagonist exposure and characteristic hyperkinetic movements.
The Abnormal Involuntary Movement Scale (AIMS) is used for standardized assessment and longitudinal monitoring.
Differential diagnoses include Huntington’s disease, Wilson’s disease, chorea secondary to autoimmune or metabolic causes, and levodopa-induced dyskinesias.
Acute extrapyramidal syndromes (e.g., dystonia, parkinsonism, akathisia) should be distinguished based on timing and phenomenology.
Neuroimaging and laboratory testing are generally normal but may be performed to exclude secondary causes of chorea.
The primary strategy is to reduce or discontinue the offending dopamine-blocking medication, if clinically feasible.
Switching to a second-generation antipsychotic with lower D\(_2\) affinity (e.g., clozapine or quetiapine) can reduce symptoms.
VMAT2 inhibitors such as valbenazine and deutetrabenazine are FDA-approved and significantly improve TD severity.
Adjunctive therapies, including clonazepam, amantadine, or GABA agonists, may offer symptomatic benefit but are less effective.
Early detection through regular AIMS assessments and judicious antipsychotic prescribing are critical preventive strategies.
Which of the following best explains the pathophysiology of tardive dyskinesia?
Answer: (B) Upregulation and hypersensitivity of D\(_2\) receptors in the basal ganglia

A 45-year-old woman presents with burning pain and tingling in the sole of her right foot for 6 months, worse at night and after prolonged standing.
She reports occasional shooting pain radiating to the medial ankle and toes but denies weakness or back pain.
On examination, there is tenderness posterior to the medial malleolus and percussion over this area elicits paresthesia radiating into the plantar surface (Tinel’s sign).
Sensory testing reveals diminished light touch over the medial and lateral plantar nerve distributions, but motor function is preserved.
Nerve conduction studies show delayed tibial nerve conduction across the tarsal tunnel, confirming tarsal tunnel syndrome.
Tarsal tunnel syndrome (TTS) is an uncommon entrapment neuropathy of the posterior tibial nerve or its branches as they pass beneath the flexor retinaculum.
It affects both sexes but is slightly more common in women, typically presenting in middle age.
Prevalence is higher in individuals with occupations or activities involving prolonged standing, walking, or repetitive ankle movements.
Risk factors include flat feet, varicosities, ganglion cysts, trauma,and systemic diseases such as diabetes mellitus or rheumatoid arthritis.
TTS is often underdiagnosed due to nonspecific symptoms and overlap with other causes of plantar foot pain.
The tarsal tunnel is a fibro-osseous space formed by the flexor retinaculum medially and the talus and calcaneus laterally.
Compression or irritation of the posterior tibial nerve or its branches (medial and lateral plantar nerves, calcaneal branch) leads to neuropathic pain and sensory disturbances.
Causes of compression include space-occupying lesions (e.g., ganglia, lipomas, varicosities), trauma-induced fibrosis, anatomical abnormalities (e.g., pes planus), and inflammatory swelling.
Chronic compression results in demyelination and, eventually, axonal degeneration if untreated.
Secondary ischemia and inflammation further exacerbate nerve dysfunction, contributing to pain and sensory loss.
The hallmark symptom is burning, tingling, or shooting pain radiating from the medial ankle into the sole of the foot, often worsening with prolonged standing or walking.
Patients frequently report nocturnal symptoms and relief with rest or elevation.
Sensory deficits occur in the distribution of the tibial nerve branches, while motor involvement (e.g., intrinsic foot muscle weakness) is rare and usually late.
A positive Tinel’s sign posterior to the medial malleolus and reproduction of symptoms with foot eversion and dorsiflexion (dorsiflexion-eversion test) are supportive findings.
Bilateral symptoms or associated systemic signs should prompt evaluation for systemic neuropathies.
Diagnosis is based on clinical presentation, physical examination findings, and electrodiagnostic studies showing delayed tibial nerve conduction across the tarsal tunnel.
Ultrasound or MRI may identify compressive lesions or structural abnormalities contributing to nerve entrapment.
Diagnostic nerve block at the tarsal tunnel may provide temporary relief and confirm the diagnosis.
Differential diagnoses include plantar fasciitis, lumbar radiculopathy (L5–S1), peripheral neuropathy (e.g., diabetic), Morton’s neuroma,and complex regional pain syndrome.
EMG is useful in distinguishing isolated tibial neuropathy from proximal lesions such as radiculopathy or plexopathy.
Initial management is conservative, including activity modification, orthotics to correct foot biomechanics, NSAIDs, and physical therapy.
Corticosteroid injections into the tarsal tunnel may provide temporary symptomatic relief in selected patients.
Addressing underlying causes (e.g., treating systemic disease, removing space-occupying lesions) is essential for long-term resolution.
Surgical decompression is indicated for persistent, severe, or progressive cases, especially with identifiable compressive lesions or significant nerve conduction abnormalities.
Postoperative rehabilitation focuses on gradual weight-bearing, strengthening, and prevention of recurrent entrapment.
Which of the following physical examination findings is most characteristic of tarsal tunnel syndrome?
Answer: (B) Positive Tinel’s sign posterior to the medial malleolus

A 72-year-old woman presents with a new-onset, severe, unilateral temporal headache and scalp tenderness that developed over several weeks.
She reports jaw pain while chewing and intermittent episodes of transient visual blurring in the right eye.
On examination, the right temporal artery is tender, thickened, and pulseless.
Erythrocyte sedimentation rate (ESR) is elevated at 105 mm/hr, and C-reactive protein (CRP) is markedly increased.
Temporal artery biopsy shows granulomatous inflammation with multinucleated giant cells, confirming the diagnosis of giant cell arteritis (GCA).
GCA, also known as temporal arteritis, is the most common systemic vasculitis in adults over 50 years of age.
The incidence is approximately 15–25 per 100,000 individuals over 50, with a strong female predominance (2–3:1).
It is more prevalent in individuals of Northern European descent and often coexists with polymyalgia rheumatica (PMR).
Peak incidence occurs between 70 and 80 years of age, and risk increases with age.
Environmental triggers, such as infections, and genetic factors (e.g., HLA-DRB1*04) are thought to increase susceptibility.
GCA is a granulomatous vasculitis primarily affecting medium- and large-sized arteries, especially branches of the external carotid artery, such as the temporal artery.
The disease is driven by activation of dendritic cells in the arterial wall, which recruit CD4\(^{+}\) T cells and macrophages.
Cytokines, particularly IL-6, IFN-γ, and IL-17, promote inflammation,intimal hyperplasia, and luminal narrowing.
Multinucleated giant cells and granulomatous inflammation disrupt the internal elastic lamina, leading to vessel wall damage.
Ischemic complications arise from vascular occlusion, including vision loss due to anterior ischemic optic neuropathy.
The classic presentation includes new-onset temporal or occipital headache, scalp tenderness, and jaw claudication.
Visual symptoms such as transient monocular visual loss (amaurosis fugax) or permanent blindness can occur due to optic nerve ischemia.
Systemic manifestations include fever, weight loss, fatigue, and night sweats, often mimicking malignancy or infection.
PMR symptoms (proximal muscle pain and stiffness) occur in up to 50% of patients.
Temporal artery examination may reveal thickening, nodularity, or reduced pulsation, and other large arteries (e.g., aorta) may also be involved.
Diagnosis is based on clinical features, elevated inflammatory markers (ESR, CRP), and confirmation by temporal artery biopsy showing granulomatous inflammation with giant cells.
Ultrasound of the temporal arteries may show the "halo sign," indicating arterial wall edema, and PET/CT can detect large-vessel involvement.
A normal biopsy does not exclude GCA due to skip lesions, so clinical judgment remains essential.
Differential diagnoses include Takayasu arteritis (younger patients), polyarteritis nodosa, primary CNS vasculitis, and non-vasculitic causes of headache or vision loss (e.g., optic neuritis, embolic stroke).
Prompt recognition is critical to prevent irreversible visual loss and other ischemic complications.
Immediate initiation of high-dose corticosteroids (e.g., prednisone 40–60 mg/day) is the cornerstone of therapy and should not be delayed for biopsy.
In cases with visual involvement, intravenous methylprednisolone (500–1000 mg/day for 3 days) may be used initially.
Tocilizumab, an IL-6 receptor antagonist, has shown efficacy in inducing and maintaining remission and is considered in relapsing or refractory disease.
Long-term treatment often requires gradual tapering of steroids over 12–24 months, with regular monitoring for relapse and steroid-related adverse effects.
Management also includes low-dose aspirin to reduce ischemic complications and surveillance for large-vessel involvement such as aortic aneurysm.
Which of the following features is most characteristic of giant cell arteritis?
Answer: (B) Granulomatous inflammation with multinucleated giant cells and disruption of the internal elastic lamina.

A 35-year-old woman presents with intermittent jaw pain and clicking while chewing for the past 6 months.
She reports morning stiffness and occasional headaches, particularly around the temples.
On examination, there is tenderness over the preauricular region, limited jaw opening with deviation to the right, and a palpable click during mandibular movement.
She denies dental pain or otologic symptoms.
These findings are suggestive of temporomandibular joint (TMJ) dysfunction syndrome, a common cause of orofacial pain.
TMJ syndrome affects approximately 5–12% of the population, with a higher prevalence in women aged 20–40 years.
It is one of the most frequent causes of chronic facial pain after dental and sinus conditions.
Psychological stress, bruxism (teeth grinding), and malocclusion are significant risk factors.
Occupations requiring frequent jaw clenching or chewing may predispose to TMJ disorders.
There is often an association with other musculoskeletal pain syndromes such as fibromyalgia.
TMJ syndrome results from dysfunction of the temporomandibular joint, masticatory muscles, or associated ligaments.
Pathophysiologic mechanisms include internal derangement (displacement of the articular disc), degenerative joint disease, and muscle hyperactivity.
Chronic parafunctional habits such as clenching or grinding increase joint stress, leading to inflammation and cartilage wear.
Psychological stress and anxiety exacerbate muscle tension and contribute to symptom persistence.
Secondary causes include trauma, rheumatoid arthritis, and connective tissue diseases affecting the joint.
Patients typically present with preauricular pain that worsens with jaw movement, chewing, or speaking.
Clicking, popping, or crepitus may occur due to disc displacement or degenerative changes.
Limited mouth opening (<40 mm) and jaw deviation on opening are common.
Associated symptoms include headaches, ear fullness, tinnitus, and referred pain to the neck or temple.
Chronic cases may lead to masticatory muscle hypertrophy and secondary psychological distress.
Diagnosis is primarily clinical, based on history and physical findings such as joint tenderness, abnormal jaw motion, and joint sounds.
Imaging (e.g., MRI) is indicated when internal derangement, joint effusion, or degenerative changes are suspected.
Panoramic radiographs or CT scans may help assess osseous involvement.
Differential diagnoses include dental pathologies, trigeminal neuralgia, otitis media, temporal arteritis, and parotid gland disorders.
A multidisciplinary evaluation (dentist, neurologist, ENT specialist) may be needed in complex or refractory cases.
Initial management is conservative, including patient education, soft diet, warm compresses, and avoidance of excessive jaw movement.
Physical therapy focusing on jaw stretching and posture correction is often beneficial.
Occlusal splints or night guards are recommended for patients with bruxism.
Pharmacologic therapy may include NSAIDs, muscle relaxants, and, in some cases, low-dose tricyclic antidepressants for chronic pain modulation.
Surgical interventions (e.g., arthrocentesis, arthroscopy, or open joint repair) are reserved for severe, refractory cases with structural abnormalities.
Which of the following clinical findings is most characteristic of temporomandibular joint syndrome?
Answer: (B) Jaw deviation with clicking during mouth opening TMJ

A 34-year-old female office worker presents with intermittent numbness, tingling, and weakness in her right arm, particularly when reaching overhead or carrying heavy objects.
She reports occasional swelling and discoloration of the limb after prolonged activity.
On examination, there is reduced radial pulse with the arm abducted and externally rotated (positive Adson’s test).
Neurological evaluation shows mild weakness of intrinsic hand muscles and decreased sensation in the ulnar distribution.
Imaging reveals compression of the brachial plexus and subclavian artery at the thoracic outlet, consistent with thoracic outlet syndrome (TOS).
Thoracic outlet syndrome is a group of disorders resulting from compression of neurovascular structures as they pass through the thoracic outlet, between the clavicle and the first rib.
It affects approximately 3–80 per 100,000 individuals annually, though true incidence is likely underreported.
The condition is more common in females, often presenting between 20 and 50 years of age.
Occupational and athletic activities involving repetitive overhead motion increase the risk of developing TOS.
TOS is classified into three main types: neurogenic (90–95%), venous (3–5%), and arterial (1–2%).
TOS results from compression of the brachial plexus, subclavian artery, or subclavian vein as they traverse the scalene triangle, costoclavicular space, or subcoracoid space.
Causes include congenital anomalies (e.g., cervical ribs, fibrous bands), trauma, poor posture, hypertrophy of scalene muscles, or repetitive microtrauma.
Neurogenic TOS involves chronic irritation and compression of the lower brachial plexus (C8–T1), leading to neuropathic symptoms.
Venous TOS (Paget–Schrötter syndrome) arises from subclavian vein compression, resulting in thrombosis, swelling, and venous congestion.
Arterial TOS results from subclavian artery compression, leading to ischemic symptoms, distal embolization, or aneurysm formation.
Neurogenic TOS manifests with paresthesias, numbness, weakness, and pain in the upper limb, often exacerbated by arm elevation or overhead activities.
Patients may experience weakness in intrinsic hand muscles and sensory loss along the ulnar border of the hand.
Venous TOS presents with upper limb swelling, cyanosis, venous distension, and sometimes effort thrombosis.
Arterial TOS is characterized by limb coolness, pallor, diminished pulses, digital ischemia, or embolic events.
Symptoms are often position-dependent, worsening with certain arm movements or postural changes.
Diagnosis is primarily clinical, supported by provocative maneuvers such as Adson’s, Wright’s, and Roos tests, which reproduce symptoms or diminish distal pulses.
Electrodiagnostic studies can help confirm neurogenic involvement by showing abnormalities in the lower brachial plexus.
Duplex ultrasonography, CT angiography, MR angiography, or venography are used for vascular TOS evaluation.
Differential diagnoses include cervical radiculopathy, carpal tunnel syndrome, ulnar neuropathy, subclavian steal syndrome, and peripheral vascular disease.
Dynamic imaging during provocative maneuvers is particularly useful to confirm the anatomical site of compression.
Initial treatment involves conservative measures such as physical therapy, posture correction, activity modification, and analgesics.
Strengthening of shoulder girdle muscles and stretching of scalene and pectoralis minor muscles can relieve mild neurogenic symptoms.
Anticoagulation and thrombolysis may be required for acute venous thrombosis, followed by surgical decompression.
Surgical intervention (e.g., first rib resection, scalenectomy, or fibrous band excision) is indicated for refractory cases, progressive neurological deficits, or vascular compromise.
Postoperative rehabilitation is essential to prevent recurrence and optimize functional outcomes.
Which of the following clinical findings is most suggestive of neurogenic thoracic outlet syndrome?
Answer: (C) Weakness of intrinsic hand muscles with ulnar sensory loss

A 10-year-old boy is brought to the neurology clinic by his parents with a history of frequent blinking and facial grimacing for the past 8 months.
The movements are sudden, repetitive, and non-rhythmic, and he reports an irresistible urge to perform them that is relieved temporarily after doing so.
Over the past two months, he has also developed occasional throat-clearing sounds.
The symptoms fluctuate in frequency and intensity, particularly worsening during stress or excitement and disappearing during sleep.
Neurological examination is otherwise normal, and there are no signs of secondary causes, suggesting a diagnosis of chronic motor and vocal tic disorder.
Tics are sudden, brief, involuntary, repetitive movements or vocalizations and are among the most common pediatric movement disorders.
The overall prevalence of transient tics in school-aged children is estimated at 5–10%, while chronic tic disorders affect about 1% of children.
Tourette syndrome, defined by multiple motor tics and at least one vocal tic lasting more than a year, occurs in approximately 0.3–0.8% of children.
The onset is typically between 4 and 6 years of age, with a peak in severity between 10 and 12 years, and a male-to-female ratio of roughly 4:1.
Most cases improve or remit by late adolescence, though a minority persist into adulthood.
The pathophysiology of tics involves dysfunction in cortico-striato-thalamo-cortical circuits, particularly affecting the basal ganglia and its dopaminergic modulation.
Increased dopaminergic activity or hypersensitivity of dopamine receptors in the striatum is thought to play a central role.
Genetic factors significantly contribute, with first-degree relatives of affected individuals having an increased risk of tic disorders.
Environmental factors such as prenatal complications, perinatal hypoxia, infections (e.g., PANDAS), and psychosocial stressors may modulate disease expression.
Neuroimaging and neurophysiological studies also indicate abnormal inhibitory control and sensorimotor gating, leading to the disinhibition underlying tics.
Tics are categorized as motor (involving muscle movements) or vocal (involving sounds), and as simple (brief, stereotyped) or complex (coordinated, purposeful-appearing).
Common motor tics include eye blinking, facial grimacing, shoulder shrugging, and head jerking, while vocal tics may include sniffing, grunting, or throat clearing.
Tics are typically preceded by an uncomfortable premonitory urge and are temporarily suppressible, though suppression often leads to discomfort.
They often fluctuate in severity, exhibit a waxing and waning course, and can be exacerbated by stress, fatigue, or excitement.
Comorbidities such as ADHD, OCD, anxiety, and impulse-control disorders are common and significantly impact quality of life.
Diagnosis is clinical and based on the presence of motor and/or vocal tics, their duration, and temporal pattern, following DSM-5 or ICD-11 criteria.
Transient tic disorder involves tics lasting less than one year, whereas chronic tic disorder persists for more than one year with either motor or vocal tics.
Tourette syndrome requires multiple motor tics and at least one vocal tic for over a year without a tic-free period longer than three months.
Differential diagnoses include chorea (involuntary, flowing movements), myoclonus (non-suppressible, sudden jerks), stereotypies (rhythmic, early-onset, non-suppressible), and focal seizures.
Neuroimaging and laboratory testing are generally not necessary unless atypical features suggest a secondary cause.
Management depends on tic severity, functional impairment, and comorbidities, with many mild cases requiring only education and reassurance.
Behavioral therapy, particularly Comprehensive Behavioral Intervention for Tics (CBIT), is first-line for bothersome tics and has strong evidence of efficacy.
Pharmacological therapy is indicated for significant functional impairment, with dopamine receptor blockers (e.g., risperidone, aripiprazole) as first-line agents.
Alpha-2 adrenergic agonists (e.g., clonidine, guanfacine) may be beneficial, especially in patients with coexisting ADHD.
In refractory cases, botulinum toxin injections or deep brain stimulation (DBS) targeting the thalamus or globus pallidus may be considered.
Which of the following clinical features best distinguishes tics from other movement disorders?
Answer: (B) Sudden, suppressible movements preceded by an urge

A 58-year-old man presents with a persistent “ringing” sensation in his left ear for the past six months, described as a high-pitched tone that is more noticeable in quiet environments.
He denies hearing loss, vertigo, or ear pain but reports significant sleep disturbance and difficulty concentrating.
Otoscopic examination is normal, and there is no evidence of middle ear effusion or cerumen impaction.
Audiometry shows mild sensorineural hearing loss on the left side, while tympanometry is normal.
MRI of the internal auditory canal is performed to rule out retrocochlear pathology, including vestibular schwannoma.
Tinnitus, defined as the perception of sound in the absence of an external auditory stimulus, affects approximately 10–15% of the adult population.
It is more common in older adults, with prevalence increasing significantly after the age of 50 due to age-related hearing loss.
Occupational or recreational noise exposure is a major risk factor, accounting for a large proportion of cases.
Other risk factors include ototoxic medication use, metabolic conditions (e.g., diabetes), and head or neck trauma.
While often benign, chronic tinnitus is associated with depression, anxiety, and significant impairment in quality of life.
Tinnitus is classified as either subjective (heard only by the patient) or objective (rare, audible to an examiner, often vascular or muscular in origin).
Most cases are subjective and result from aberrant neural activity within the auditory pathway, often secondary to cochlear hair cell damage.
This damage leads to abnormal spontaneous firing of auditory neurons, central gain enhancement, and maladaptive cortical reorganization.
Conditions such as presbycusis, noise-induced hearing loss, Meniere’s disease, or otosclerosis may underlie tinnitus.
Objective tinnitus may arise from vascular anomalies (e.g., carotid stenosis, AV malformations) or muscular contractions (e.g., palatal myoclonus).
Patients typically describe tinnitus as ringing, buzzing, hissing, roaring, or pulsating sounds, which can be continuous or intermittent.
It is often unilateral and more noticeable in quiet settings or at night, and severity does not always correlate with underlying pathology.
Pulsatile tinnitus suggests a vascular etiology and warrants further investigation.
Associated symptoms such as hearing loss, vertigo, or aural fullness may point toward specific inner ear diseases like Meniere’s disease.
Psychological effects such as anxiety, depression, and sleep disturbance are common and significantly impact quality of life.
Evaluation includes a thorough history (onset, duration, quality, associated symptoms), physical examination (otoscopy, cranial nerves), and audiological testing.
Pure-tone audiometry is essential to assess for sensorineural hearing loss, while tympanometry helps identify middle ear pathology.
Imaging (MRI or MRA) is indicated for unilateral, asymmetric, or pulsatile tinnitus to exclude retrocochlear lesions or vascular abnormalities.
Differential diagnosis includes Meniere’s disease, vestibular schwannoma, Eustachian tube dysfunction, otosclerosis, and temporomandibular joint disorders.
Objective tinnitus necessitates evaluation for vascular bruits, muscular myoclonus, or high-output cardiac states.
Management focuses on addressing the underlying cause (e.g., cerumen removal, discontinuation of ototoxic drugs, vascular lesion repair) when identified.
Hearing aids may benefit patients with tinnitus and concurrent hearing loss by amplifying ambient sounds and reducing tinnitus perception.
Cognitive behavioral therapy (CBT) is the most evidence-based approach for reducing tinnitus-related distress and improving quality of life.
Sound therapy, masking devices, and tinnitus retraining therapy (TRT) are additional options for symptom modulation.
Pharmacologic therapies (e.g., antidepressants, benzodiazepines) are reserved for comorbid mood disorders and are not curative for tinnitus itself.
Which of the following findings most strongly suggests a vascular cause of tinnitus?
Answer: (C) Pulsatile tinnitus synchronous with the heartbeat.

A 47-year-old man presents with a 3-week history of severe, unilateral periorbital pain followed by double vision.
He reports that the pain is deep, boring, and located behind the left eye, unresponsive to standard analgesics.
Neurological examination reveals complete left-sided third cranial nerve palsy with partial involvement of the fourth and sixth nerves.
There is no evidence of systemic illness, fever, or visual loss.
MRI of the cavernous sinus shows an enhancing soft tissue lesion surrounding the internal carotid artery, and symptoms improve dramatically within days of initiating corticosteroids — a classic presentation of Tolosa-Hunt Syndrome (THS).
Tolosa-Hunt Syndrome is a rare idiopathic granulomatous inflammatory condition of the cavernous sinus, superior orbital fissure, or orbital apex.
The estimated annual incidence is about 1 case per million, affecting both sexes equally, typically between 30 and 60 years of age.
Most cases are sporadic, though rare familial occurrences have been reported.
It accounts for a small proportion of painful ophthalmoplegia cases, which are more commonly caused by neoplasms, infections, or vascular lesions.
Relapses occur in up to 30–40% of patients, often on the same side but occasionally contralaterally.
THS is caused by a non-specific, granulomatous inflammation involving the cavernous sinus, superior orbital fissure, or orbital apex.
The inflammatory process involves lymphocytes, plasma cells, and giant cells, often surrounding the internal carotid artery and cranial nerves III, IV, V1/V2, and VI.
The exact cause is unknown, but it is considered an autoimmune-mediated process triggered by a local antigenic stimulus.
The inflammation leads to nerve compression and vascular irritation, resulting in severe orbital pain and ophthalmoplegia.
Pathologically, the lesion may mimic neoplastic or infectious processes, necessitating imaging and exclusion of other causes.
The hallmark presentation is severe, unilateral periorbital or retro-orbital pain that precedes or accompanies ophthalmoplegia.
Cranial nerve involvement commonly includes the oculomotor (III), trochlear (IV), and abducens (VI) nerves, leading to diplopia and ophthalmoparesis.
Sensory involvement of the ophthalmic (V1) or maxillary (V2) branches of the trigeminal nerve may cause facial numbness or paresthesia.
Symptoms typically develop subacutely over days to weeks and may resolve spontaneously or with corticosteroid treatment.
Visual acuity is usually preserved, and systemic features like fever or weight loss are absent, distinguishing THS from infections or malignancies.
Diagnosis is primarily clinical, supported by characteristic imaging findings and rapid corticosteroid response.
MRI with contrast is the preferred modality, typically showing an enhancing, soft-tissue lesion in the cavernous sinus or orbital apex.
Laboratory studies (e.g., ESR, CRP, ANA) are generally normal but help exclude systemic vasculitis or sarcoidosis.
Differential diagnoses include cavernous sinus thrombosis, pituitary apoplexy, neoplastic infiltration (lymphoma, metastasis), invasive fungal sinusitis, and sarcoidosis.
Biopsy is rarely performed but may be necessary in atypical or recurrent cases to exclude malignancy.
First-line treatment is high-dose corticosteroids (e.g., prednisone 1 mg/kg/day), often producing dramatic improvement within 48–72 hours.
Tapering should be gradual over 4–6 weeks to reduce relapse risk.
Immunosuppressive agents (e.g., azathioprine, methotrexate, or cyclophosphamide) may be used for steroid-resistant or relapsing cases.
Close follow-up with repeat imaging is recommended to monitor resolution and exclude alternative diagnoses.
Prognosis is excellent, with most patients achieving complete recovery, although recurrence is common and may require repeated treatment courses.
Which of the following findings most strongly supports the diagnosis of Tolosa-Hunt Syndrome?
Answer: (B) Rapid resolution of painful ophthalmoplegia with corticosteroid therapy

A 12-year-old boy is brought to the clinic due to frequent involuntary movements and vocalizations over the past two years.
His parents report that he repeatedly blinks, shrugs his shoulders, and utters brief grunts, which he cannot suppress for long.
Symptoms tend to worsen with stress and decrease during sleep.
He performs well academically but is socially withdrawn due to teasing from classmates.
There is no history of seizures, developmental delay, or drug use, and neurological examination is otherwise normal.
Tourette syndrome (TS) is a neurodevelopmental tic disorder characterized by multiple motor tics and at least one vocal tic lasting for more than one year.
The prevalence is approximately 0.3–0.8% in school-aged children, with a male-to-female ratio of about 3:1.
Onset typically occurs between 4 and 6 years of age, and peak severity is observed around 10–12 years.
Most patients experience a decline in tic frequency and intensity during adolescence, though some continue to have symptoms into adulthood.
A family history of tics, obsessive-compulsive disorder (OCD), or attention-deficit/hyperactivity disorder (ADHD) is common, indicating a strong genetic component.
The exact cause of Tourette syndrome remains unclear but is believed to involve genetic predisposition and neurochemical dysregulation.
Dysfunction in cortico-striatal-thalamo-cortical (CSTC) circuits, particularly in the basal ganglia, plays a central role.
Abnormal dopaminergic transmission, with hypersensitivity or increased receptor density in striatal pathways, contributes to tic generation.
Environmental factors such as perinatal insults, infections, or psychosocial stressors may exacerbate symptom expression.
Autoimmune mechanisms, such as those proposed in PANDAS (pediatric autoimmune neuropsychiatric disorders associated with streptococca infection), may also trigger or worsen tics in susceptible individuals.
The hallmark of TS is the presence of multiple motor tics (e.g., blinking, facial grimacing, head jerking) and at least one vocal tic (e.g., grunting, sniffing, echolalia, coprolalia).
Tics are sudden, rapid, non-rhythmic movements or sounds that can be temporarily suppressed but often followed by a premonitory urge.
Symptoms fluctuate in severity and distribution over time and may worsen with stress, excitement, or fatigue.
Many patients have comorbid neuropsychiatric conditions, including ADHD (50–60%), OCD (30–40%), anxiety, or mood disorders.
Coprolalia (involuntary utterance of obscene words) occurs in less than 20% of cases but is often mistakenly thought to be common.
The diagnosis of TS is clinical, based on DSM-5 criteria: multiple motor tics and one or more vocal tics present for over a year, with onset before age 18.
No specific laboratory or imaging studies are required, but they may be used to rule out secondary causes of tics.
Differential diagnoses include chronic motor or vocal tic disorder (only one tic type), transient tic disorder (duration less than1 year), stereotypies (rhythmic and patterned movements), and chorea.
Secondary causes such as Wilson disease, Huntington disease, Sydenham chorea, or medication-induced tics should be considered when atypical features are present.
Psychiatric comorbidities should be actively screened, as they often impact quality of life more than tics themselves.
Treatment is indicated only when tics cause functional impairment, emotional distress, or social problems.
Behavioral therapy, particularly Comprehensive Behavioral Intervention for Tics (CBIT), is first-line and focuses on habit reversal training.
Pharmacologic therapy may include dopamine receptor blockers (e.g.,risperidone, aripiprazole) or vesicular monoamine transporter 2 (VMAT2) inhibitors (e.g., tetrabenazine).
Alpha-2 adrenergic agonists (e.g., clonidine, guanfacine) can be helpful, especially in patients with coexisting ADHD.
In severe, treatment-refractory cases, deep brain stimulation (DBS) targeting the globus pallidus interna or thalamus may be considered.
Which of the following is most characteristic of Tourette syndrome?
Answer: (C) Multiple motor and at least one vocal tic lasting for more than one year

Differential Diagnoses: Ischemic Stroke | Migraine Aura | Seizure/Todd’s Paralysis | Hypoglycemia/Syncope
Related Symptoms: Sudden focal weakness | Aphasia | Amaurosis fugax | Gait ataxia
Diagnostic Tools: MRI DWI | Carotid Imaging | ABCD² Score
A 68-year-old man with a history of hypertension and atrial fibrillation presents with sudden onset right arm weakness and slurred speech lasting 15 minutes, which completely resolves before arrival at the emergency department.
On examination, he is neurologically intact with no focal deficits.
MRI of the brain shows no acute infarction, and carotid Doppler reveals moderate left internal carotid artery stenosis.
ECG confirms atrial fibrillation, and laboratory tests are unremarkable.
The patient is diagnosed with a transient ischemic attack (TIA) and started on secondary stroke prevention measures.
TIAs affect approximately 200,000 to 500,000 people annually in the United States, with incidence increasing with age.
The risk is higher in individuals with vascular risk factors such as hypertension, diabetes mellitus, smoking, hyperlipidemia, and atrial fibrillation.
TIAs are more common in men than women, and the risk doubles with each decade after age 55.
Up to 15–20% of patients who suffer an ischemic stroke have a preceding TIA, often within the preceding 7 days.
Prompt recognition and treatment of TIA can reduce the risk of subsequent stroke by up to 80%.
Symptoms are focal, sudden in onset, and resolve completely within 24 hours, usually within 1 hour.
Common manifestations include unilateral weakness or numbness, speech disturbances (aphasia or dysarthria), monocular vision loss (amaurosis fugax), and hemianopia.
Posterior circulation TIAs can present with vertigo, ataxia, diplopia, or bilateral sensory deficits.
The neurological findings correspond to the vascular territory involved (e.g., MCA, PCA, vertebrobasilar).
Recurrent stereotyped TIAs may suggest underlying carotid stenosis or cardioembolic sources.
Treat every TIA like a stroke in progress. Up to 50% of early strokes after TIA occur within 48 hours—initiate ED evaluation, obtain MRI DWI, and start secondary prevention the same day.
Diagnosis is primarily clinical, supported by neuroimaging and vascular studies to identify the ischemic source.
MRI with DWI is the preferred modality to rule out infarction and differentiate TIA from minor ischemic stroke.
Carotid ultrasound, CT/MR angiography, and cardiac evaluation (ECG, echocardiography) are essential for etiological workup.
Differential diagnoses include seizure with postictal deficits (Todd’s paralysis), migraine aura, hypoglycemia, syncope, and functional neurological disorders.
The ABCD2 score (Age, Blood pressure, Clinical features, Duration, Diabetes) helps stratify early stroke risk.
Differential Diagnosis Comparison:
| Feature | TIA | Migraine Aura | Seizure/Todd’s Paralysis | Hypoglycemia/Syncope |
|---|---|---|---|---|
| Onset | Sudden, negative symptoms | Gradual spread, positive symptoms | Positive motor/jerks → postictal weakness | Lightheadedness, global symptoms |
| Duration | Minutes (<1 h) | 5–60 min aura + headache | Seconds-minutes seizure, weakness up to hours | Minutes with recovery after glucose |
| Imaging | Normal MRI DWI (by definition) | Normal | Normal | Normal |
| Features | Focal deficit per vascular territory | Visual zigzags, sensory march | Tongue bite, automatisms | Diaphoresis, pallor |
Acute & Secondary Prevention:
| Scenario | Therapy | Notes |
|---|---|---|
| Non-cardioembolic TIA | Dual antiplatelet therapy (aspirin + clopidogrel) for 21 days, then single agent | Based on CHANCE/POINT trials |
| Cardioembolic (AF) | Start DOAC or warfarin once hemorrhage excluded | Aim for prompt initiation (<48 h) |
| Large-artery atherosclerosis | High-intensity statin, consider carotid endarterectomy/stent if symptomatic 70–99% stenosis | Perform within 2 weeks if feasible |
| Blood Pressure | Target <130/80 mmHg | Begin antihypertensives before discharge |
| Lipids | Atorvastatin 80 mg or equivalent | LDL goal <70 mg/dL or ≥50% reduction |
| Lifestyle | Smoking cessation, Mediterranean diet, exercise | Document counseling |
Management Algorithm: 1. Emergency Evaluation: Activate stroke pathway; obtain imaging/labs; treat as stroke until infarct excluded. 2. Secondary Prevention Initiation: Start DAPT or anticoagulation based on etiology; begin statin and risk-factor control before discharge. 3. Etiology-Specific Interventions: Refer for carotid surgery, PFO closure, or AF ablation as indicated. 4. Follow-Up: Arrange stroke clinic visit within 7 days; ensure long-term control of HTN, diabetes, lipids, and adherence to lifestyle changes. 5. Patient Education: Teach FAST symptoms, emphasize urgency of recurrence, provide written plan for emergent care.
Which of the following statements regarding TIA is most accurate?
Answer: (D)

Differential Diagnoses: Spinal Cord Compression | Acute Disseminated Encephalomyelitis | Neuromyelitis Optica | Multiple Sclerosis
Related Symptoms: Bilateral weakness | Sensory level | Lhermitte sign | Urinary retention
Diagnostic Tests: MRI Spine with contrast | CSF analysis | AQP4/MOG Antibodies
A 34-year-old woman presents with sudden onset of bilateral leg weakness and numbness over two days.
She also reports urinary retention and a tight, band-like sensation around her torso.
Neurological examination reveals spastic paraparesis, a sensory level at T8, and hyperreflexia with Babinski signs.
MRI of the spinal cord shows a longitudinally extensive T2-hyperintense lesion spanning several vertebral segments.
CSF analysis reveals mild lymphocytic pleocytosis and elevated IgG index.
Transverse myelitis (TM) is a rare inflammatory spinal cord disorder with an incidence of 1–8 per million per year.
It affects all age groups but has a peak incidence in young adults and a smaller peak in children.
TM can occur as an idiopathic condition or be associated with systemic autoimmune diseases, infections, or demyelinating disorders.
Post-infectious and post-vaccination forms account for a significant proportion of idiopathic cases.
It is more commonly seen in females, reflecting the prevalence of associated autoimmune etiologies.
TM typically presents subacutely over hours to days with bilateral motor, sensory, and autonomic deficits below a specific spinal level.
Motor symptoms include weakness, often progressing to spastic paraparesis or quadriparesis depending on lesion level.
Sensory deficits manifest as paresthesias, numbness, or a sensory level, frequently accompanied by a "band-like" sensation.
Autonomic involvement causes urinary retention, bowel dysfunction, or sexual dysfunction.
Back pain at the level of inflammation and Lhermitte’s phenomenon may also occur.
Look for a sensory level. A crisp midline sensory level with acute bladder dysfunction is more suggestive of TM than peripheral neuropathy or GBS.
MRI of the spine is essential, showing T2 hyperintense lesions that span one or more vertebral segments, often centrally located.
CSF analysis may reveal pleocytosis, elevated protein, and intrathecal IgG synthesis.
Serum tests should include AQP4-IgG, MOG-IgG, ANA, ENA, and infectious serologies to identify secondary causes.
Evoked potentials can help assess the extent of demyelination and conduction block.
Differential diagnoses include spinal cord compression, acute disseminated encephalomyelitis (ADEM), MS, NMOSD, and vascular myelopathies.
Differential Diagnosis Comparison:
| Feature | Transverse Myelitis | Spinal Cord Compression | NMOSD | ADEM |
|---|---|---|---|---|
| Onset | Hours–days | Variable (often progressive pain) | Subacute, often severe | Post-infectious, encephalopathy |
| MRI | Intramedullary T2 lesion, ±gadolinium enhancement | Extrinsic mass, disc, or epidural process | LETM >3 segments, central gray involvement | Multifocal brain/spine lesions |
| CSF | Pleocytosis, ↑protein | Usually normal | AQP4-IgG positive, mild pleocytosis | Lymphocytic pleocytosis, ↑protein |
| Systemic clues | Autoimmune markers, infection | Cancer history, trauma | Optic neuritis, area postrema syndrome | Fever, altered mental status |
Acute Therapy:
| Intervention | Regimen | Evidence/Notes |
|---|---|---|
| IV Methylprednisolone | 1 g/day for 3–5 days | First-line for suspected inflammatory TM |
| Plasma Exchange (PLEX) | 5–7 exchanges over 10–14 days | Use if poor response to steroids or severe deficits |
| IVIG | 0.4 g/kg/day ×5 days | Consider when PLEX unavailable or contraindicated |
Etiology-Specific Long-Term Therapy:
| Underlying Condition | Maintenance Strategy |
|---|---|
| NMOSD | Rituximab, satralizumab, inebilizumab, mycophenolate, azathioprine |
| MOGAD | Steroid taper plus long-term immunotherapy (IVIG, rituximab) if relapsing |
| Idiopathic TM | Slow steroid taper; consider azathioprine/mycophenolate if relapsing |
| Systemic autoimmune disease | Treat underlying condition (e.g., SLE, Sjögren) with immunosuppression |
Supportive & Rehabilitation Care: - Bladder/Bowel: Intermittent catheterization, bowel regimen. - Physical therapy: Gait training, spasticity management, assistive devices. - Pain control: Neuropathic pain agents (gabapentin, duloxetine), muscle relaxants. - Psychosocial support: Counseling, vocational rehab.
Management Algorithm: 1. Rule out compression with emergent MRI; if confirmed, involve neurosurgery. 2. Initiate IV steroids immediately for suspected inflammatory TM. 3. Assess response at 5–7 days; escalate to PLEX or IVIG if minimal improvement. 4. Determine etiology via serologies/CSF. Start targeted long-term immunotherapy when NMOSD/MOGAD or autoimmune disease confirmed. 5. Rehabilitation & follow-up: Monitor recovery, manage complications, and screen for evolution into MS or NMOSD with periodic imaging and clinical exams.
Which of the following findings most strongly suggests neuromyelitis optica spectrum disorder rather than idiopathic transverse myelitis?
Answer: (C) Positive aquaporin-4 (AQP4) antibodies

Differential Diagnoses: Postherpetic Neuralgia | Cluster Headache | Temporomandibular Disorders | Multiple Sclerosis
Related Symptoms: Electric shock facial pain | Trigger zones | Allodynia | Pain-free intervals
Diagnostic Tests: MRI with FIESTA/CISS | Trigeminal Reflex Testing
A 62-year-old woman presents with sudden, brief, electric shock-like pains over the right cheek and jaw triggered by brushing her teeth or a light breeze.
The pain episodes last a few seconds but occur repeatedly throughout the day, severely impairing her quality of life.
Neurological examination is normal, with intact sensation and motor function of the cranial nerves.
MRI of the brain is performed to rule out secondary causes such as tumors or demyelinating lesions.
The clinical presentation is characteristic of classical trigeminal neuralgia, a paroxysmal neuropathic pain disorder.
Trigeminal neuralgia (TN) is a chronic neuropathic pain disorder affecting the trigeminal nerve (cranial nerve V).
The incidence is approximately 4–13 per 100,000 people per year, with a higher prevalence in women and peak onset between 50 and 70 years.
Classical TN is usually due to neurovascular compression, whereas secondary TN may occur in association with multiple sclerosis or tumors.
Right-sided involvement is more common than left, and bilateral cases are rare but more likely in secondary forms.
Familial cases are uncommon but have been associated with genetic variants affecting ion channels or myelin integrity.
TN is characterized by recurrent, brief (seconds to 2 minutes), unilateral, electric shock-like or stabbing facial pain within the distribution of one or more divisions of the trigeminal nerve.
Pain is typically triggered by innocuous stimuli such as talking, chewing, brushing teeth, shaving, or wind exposure (allodynia).
The most commonly affected divisions are V2 (maxillary) and V3 (mandibular), while V1 involvement is less frequent.
Patients are typically pain-free between paroxysms, but some may develop a background dull ache with disease progression.
Neurological examination is usually normal; sensory deficits should raise suspicion for a secondary cause.
A stereotyped, electric shock facial pain triggered by light touch that responds to carbamazepine is virtually diagnostic of TN. Facial numbness, bilateral pain, or continuous burning should prompt search for alternative diagnoses.
Diagnosis is clinical, based on ICHD-3 criteria: paroxysmal unilateral facial pain with specific triggers, stereotyped attacks, and absence of neurological deficits.
MRI with high-resolution sequences (e.g., FIESTA or CISS) is recommended to detect neurovascular compression or exclude secondary causes.
Trigeminal reflex testing and neurophysiological studies may help differentiate classical from symptomatic TN.
Differential diagnoses include postherpetic neuralgia, dental pain, temporomandibular joint disorders, cluster headache, and facial nerve neuralgias.
Red flags such as bilateral pain, sensory loss, or progressive neurological deficits should prompt evaluation for multiple sclerosis or neoplasm.
Differential Diagnosis Comparison:
| Feature | Trigeminal Neuralgia | Postherpetic Neuralgia | Cluster Headache | Dental/TMJ Pain |
|---|---|---|---|---|
| Pain Quality | Electric shock, seconds | Constant burning, allodynia | Severe orbital pain, autonomic signs | Dull/aching, localized |
| Triggers | Light touch, chewing | Touch, temperature | Alcohol, nightly pattern | Chewing, jaw movement |
| Autonomic Signs | None | None | Lacrimation, nasal congestion | None |
| Exam | Normal | Allodynia, sensory loss | Cranial autonomic features | TMJ tenderness |
| Treatment Response | Carbamazepine effective | Gabapentin, TCAs | Triptans, oxygen | Dental/occlusal therapy |
Pharmacologic Therapy:
| Drug | Typical Dose | Evidence Grade | Notes |
|---|---|---|---|
| Carbamazepine | 200–1200 mg/day divided | Grade A | Monitor CBC/LFTs; risk of hyponatremia |
| Oxcarbazepine | 600–1800 mg/day divided | Grade A | Better tolerated; watch sodium |
| Lamotrigine | 100–400 mg/day | Grade B | Add-on for refractory TN; slow titration |
| Baclofen | 10–80 mg/day | Grade B | Adjunct, especially with MS |
| Gabapentin/Pregabalin | 900–3600 mg/day / 150–600 mg/day | Grade C | Less effective but helpful for background pain |
Procedural/Surgical Options:
| Procedure | Indication | Outcomes/Considerations |
|---|---|---|
| Microvascular decompression (MVD) | Medically refractory classical TN | 70–90% long-term relief; requires craniotomy |
| Percutaneous radiofrequency rhizotomy | Poor surgical candidates or recurrence | Rapid relief; risk of sensory loss |
| Balloon compression | Similar indications | Effective for V2/V3; temporary numbness common |
| Glycerol rhizotomy | Recurrent TN | Shorter relief duration |
| Stereotactic radiosurgery (Gamma Knife) | High-risk surgical patients | Pain relief in 70%; delayed effect weeks–months |
Management Algorithm: 1. Initial therapy: Start carbamazepine or oxcarbazepine; titrate to pain control or side effects. 2. Adjuncts: Add lamotrigine or baclofen if partial response; manage background pain with gabapentinoids. 3. Evaluate for secondary causes: If red flags present, address underlying pathology (e.g., MS therapy, tumor resection). 4. Procedures: For drug-refractory TN or intolerable side effects, refer for MVD if classical TN with vascular compression; choose percutaneous/radiosurgical options for high-risk patients. 5. Follow-up: Monitor for medication toxicity, recurrence, and psychosocial impact; provide dental hygiene guidance to reduce trigger fear.
Which of the following features most strongly suggests secondary rather than classical trigeminal neuralgia?
Answer: (C) Presence of facial numbness between attacks

A 46-year-old man presents with vertical diplopia that worsens when descending stairs or reading.
He reports tilting his head to the right to alleviate the double vision.
On examination, there is impaired depression of the right eye when adducted, with compensatory head tilt toward the right shoulder.
There is no ptosis or pupillary involvement.
MRI of the brain and orbits is unremarkable, suggesting an isolated, likely microvascular trochlear nerve palsy.
Trochlear nerve palsy is the least common isolated ocular motor cranial neuropathy, accounting for approximately 5–10% of such cases.
It can occur at any age but is most common in adults over 40 years, often due to microvascular ischemia or trauma.
Congenital trochlear palsy may remain asymptomatic until decompensation occurs later in life.
Traumatic causes are particularly frequent because the trochlear nerve is the thinnest cranial nerve and has the longest intracranial course.
Bilateral involvement is rare but should raise suspicion for traumatic, congenital, or central causes.
The trochlear nerve innervates the superior oblique muscle, which intorts, depresses, and abducts the eye.
Lesions cause weakness of depression during adduction, leading to vertical and torsional diplopia.
Common etiologies include microvascular ischemia (e.g., diabetes, hypertension), head trauma, congenital palsy, and compressive lesions.
Central causes such as brainstem infarcts or demyelinating lesions affecting the trochlear nucleus are less frequent but clinically significant.
The nerve’s long intracranial course makes it particularly vulnerable to shearing forces in trauma and compression from posterior fossa masses.
The hallmark is vertical diplopia, worse in downgaze and contralateral gaze, due to impaired superior oblique function.
Patients often adopt a compensatory head tilt away from the affected side (Bielschowsky sign) to minimize diplopia.
Ocular misalignment typically shows hypertropia of the affected eye that increases with adduction and contralateral gaze.
Congenital cases may present with longstanding head tilt and large vertical fusional amplitudes.
Bilateral palsies present with excyclotorsion and significant difficulty with downgaze tasks like reading or descending stairs.
Diagnosis is clinical, supported by ocular motility testing and Bielschowsky head tilt test, which shows increased hypertropia with head tilt toward the affected side.
Prism cover testing can quantify the vertical deviation.
Neuroimaging (MRI or CT) is recommended if trauma, tumor, demyelination, or vascular malformation is suspected.
Differential diagnoses include skew deviation (brainstem lesion), inferior rectus palsy (III nerve involvement), myasthenia gravis, and restrictive myopathy (e.g., thyroid eye disease).
Careful assessment of torsion, fusional amplitudes, and associated neurological signs aids in distinguishing these entities.
Observation is appropriate for microvascular or mild traumatic palsies, as many resolve spontaneously within 3–6 months.
Prism correction can alleviate diplopia in cases with residual vertical deviation.
Persistent or disabling diplopia may require surgical intervention, such as inferior oblique weakening or superior oblique tuck procedures.
In congenital cases, surgery is often indicated when compensatory head posture becomes functionally limiting.
Underlying systemic conditions (e.g., diabetes, hypertension, neoplasms) should be identified and treated to prevent recurrence.
Which clinical feature most reliably distinguishes trochlear nerve palsy from skew deviation?
Answer: (D) Increased hypertropia with head tilt toward the affected side

A 39-year-old male from North India presents with a new-onset generalized tonic-clonic seizure.
There is no prior history of seizures, trauma, or tuberculosis, but he reports low-grade fever for one month.
MRI brain shows a 4 mm ring-enhancing lesion in the left precentral gyrus with central calcification and mild perilesional edema.
Routine blood tests are normal; chest X-ray reveals healed pulmonary lesions suggestive of past TB exposure.
Findings are consistent with a probable diagnosis of intracranial tuberculoma.

Neurotuberculosis is a common extrapulmonary manifestation of Mycobacterium tuberculosis, prevalent in endemic regions like India.
Tuberculomas constitute 10–30% of intracranial space-occupying lesions in developing countries.
The disease primarily affects young and middle-aged adults but can also occur in children.
It often arises due to hematogenous spread from a primary or healed pulmonary focus.
Immunocompromised individuals, such as those with HIV, are at increased risk for multiple or atypical lesions.
Tuberculomas result from hematogenous dissemination of M. tuberculosis to the brain parenchyma.
The bacilli trigger a delayed-type hypersensitivity reaction leading to caseating granulomatous inflammation.
Central necrosis develops, surrounded by epithelioid cells, giant cells, and lymphocytes.
Chronic lesions may undergo fibrosis and calcification, forming the characteristic ring-enhancing lesion on MRI.
Common locations include cerebral hemispheres, cerebellum, and brainstem.
Clinical presentation depends on lesion size, number, and location within the brain.
Focal neurological deficits such as hemiparesis, visual field defects, or cranial nerve palsies may occur.
Seizures are a common manifestation, especially with cortical involvement.
Raised intracranial pressure can cause headache, vomiting, and papilledema in large lesions.
Constitutional symptoms like fever, weight loss, or malaise may accompany neurological signs.
MRI typically shows a ring-enhancing lesion with a hypointense core and hyperintense rim; a “target sign” may be seen.
MR spectroscopy reveals lipid-lactate peaks favoring tuberculoma over neoplastic lesions.
CSF studies are often normal but may show mild lymphocytic pleocytosis and elevated protein.
Supporting tests include Quantiferon-TB Gold, PCR for M. tuberculosis, or evidence of systemic tuberculosis.
A therapeutic trial of antituberculous therapy (ATT) with follow-up imaging aids confirmation.
Neurocysticercosis — smaller lesions with scolex and less edema.
Pyogenic abscess — restricted diffusion and prominent surrounding edema.
Metastatic lesions — multiple enhancing lesions with disproportionate mass effect.
Glioma — irregular ring enhancement and infiltrative pattern on MRI.
Fungal granuloma — often seen in immunocompromised patients with characteristic imaging patterns.
First-line treatment is standard four-drug antituberculous therapy (isoniazid, rifampicin, pyrazinamide, ethambutol) for 9–12 months.
Corticosteroids are indicated for lesions causing significant edema or mass effect.
Antiepileptic drugs are prescribed for seizure control during the acute phase.
Surgical intervention (biopsy or excision) is reserved for diagnostic uncertainty or lack of response to medical therapy.
Serial MRI is used to monitor lesion regression and assess treatment response.
A 39-year-old male with a history of pulmonary tuberculosis presents with seizures. MRI of the brain shows a ring-enhancing lesion in the left motor cortex with a hypointense center and hyperintense rim. MR spectroscopy demonstrates a prominent lipid-lactate peak and reduced N-acetylaspartate (NAA) levels. Which of the following diagnostic findings most strongly supports tuberculoma over other ring-enhancing lesions?
Answer: (B) Detection of Mycobacterium tuberculosis DNA by PCR in cerebrospinal fluid. Restricted diffusion favors abscess, elevated choline-to-creatine suggest malignancy and scolex in cystic lesion suggests neurocysticercosis.

A 40-year-old cyclist develops numbness and tingling in the fourth and fifth fingers of his left hand, worsening after long rides.
He experiences difficulty with fine motor tasks such as buttoning shirts and using a computer mouse.
On examination, there is decreased sensation over the ulnar side of the hand and weakness in finger abduction and grip strength.
Tinel’s sign is positive over Guyon’s canal at the wrist, reproducing his symptoms.
These findings are consistent with ulnar neuropathy at the wrist (Guyon’s canal syndrome).
Ulnar neuropathy at the wrist (Guyon’s canal syndrome) is much less common than at the elbow.
It accounts for approximately 1–2% of all upper limb compression neuropathies.
Most frequently affects adults aged 20–50 years, with no strong gender predilection.
Risk factors include cycling, use of hand tools, and repetitive wrist movements or prolonged pressure on the wrist.
Athletes (especially cyclists and racket sport players) are at higher risk due to repetitive or sustained wrist extension and compression.
The ulnar nerve passes through Guyon’s canal, a fibro-osseous tunnel between the pisiform and hamate bones at the wrist.
Compression can result from repetitive trauma, external pressure, or anatomical variations.
Common causes include prolonged wrist flexion/extension, direct trauma, ganglion cysts, or space-occupying lesions (e.g., lipoma).
Cyclists may develop “handlebar palsy” due to prolonged pressure on the canal.
Compression leads to ischemia, demyelination, or axonal injury depending on severity and duration.
Numbness, tingling, or paresthesia in the ulnar distribution (fourth and fifth fingers) of the hand.
Weakness of grip strength and fine motor skills, such as typing or holding objects.
Motor involvement may cause weakness in the intrinsic hand muscles (interossei, hypothenar), affecting finger abduction/adduction and pinching.
Sensory symptoms are confined to the ulnar side of the hand; there is no forearm involvement.
Tinel’s sign is positive at the wrist (Guyon’s canal), without symptoms aggravated by elbow flexion.
Diagnosis is based on clinical history and examination findings.
Nerve conduction studies (NCS) show slowed conduction velocity or conduction block at the wrist.
Electromyography (EMG) may reveal denervation in ulnar-innervated hand muscles.
Imaging (ultrasound or MRI) can identify anatomical abnormalities or space-occupying lesions.
A positive Tinel’s sign over Guyon’s canal supports the diagnosis.
Ulnar neuropathy at the elbow (cubital tunnel): similar symptoms but also involves the forearm and worsens with elbow flexion.
Carpal tunnel syndrome: median nerve involvement with sensory symptoms in the thumb, index, and middle fingers.
Cervical radiculopathy (C8): may mimic ulnar neuropathy but usually includes neck pain and proximal limb weakness.
De Quervain’s tenosynovitis: pain on the radial side of the wrist without ulnar sensory or motor deficits.
Peripheral neuropathy: usually bilateral and affects multiple nerves in a “glove-and-stocking” distribution.
Mild to moderate cases are managed conservatively with activity modification and wrist splinting.
NSAIDs can be used to reduce pain and inflammation.
Ergonomic adjustments (e.g., padded gloves, changing hand positions) benefit cyclists and manual workers.
Surgical removal of space-occupying lesions (e.g., ganglion cysts) may be necessary if identified.
Surgical decompression of the ulnar nerve at Guyon’s canal is considered for persistent or severe cases.
Which of the following is the most effective diagnostic test for confirming ulnar neuropathy at the wrist?
Answer: (C) Nerve conduction studies (NCS)
Shea JD, McClain EJ. Ulnar-nerve compression syndromes at and below the wrist. J Bone Joint Surg Am. 1969;51(6):1095–1103. PMID: 5805411

Differential Diagnoses: Reversible Cerebral Vasoconstriction Syndrome | Systemic Vasculitis with CNS involvement | Sarcoidosis | CNS Infection (VZV, TB)
Related Symptoms: Recurrent strokes | Headache | Cognitive decline | Seizures
Diagnostic Tools: MRI/MRA Brain | CSF Analysis | Cerebral Angiography | Brain/Leptomeningeal Biopsy
A 52-year-old woman presents with a 3-month history of progressively worsening headaches and subtle cognitive decline.
Over the past week, she has experienced transient left-sided weakness and episodes of slurred speech, each resolving spontaneously.
MRI of the brain reveals multifocal infarcts in different vascular territories, and CSF analysis shows mild lymphocytic pleocytosis.
There is no evidence of systemic vasculitis or infectious etiology.
A brain biopsy is performed, revealing transmural inflammation of small and medium-sized arteries, confirming primary CNS vasculitis (PCNSV).
PCNSV is a rare inflammatory disorder confined to the brain, spinal cord, and leptomeninges, with an incidence of approximately 2–3 cases per million annually.
It typically affects adults in their fifth to sixth decades but can occur at any age, including children.
Both sexes are equally affected, although some series show a slight male predominance.
The disease accounts for a small fraction of all vasculitides and is often underdiagnosed due to its nonspecific presentation.
Secondary CNS vasculitis occurs more frequently than PCNSV and is associated with systemic autoimmune diseases, infections, or malignancy.
CNS vasculitis typically presents with insidious or subacute onset of headaches, cognitive decline, and focal neurological deficits.
Stroke-like episodes involving different vascular territories are common and often recurrent.
Seizures may occur in up to 30% of patients and can be focal or generalized.
Less frequent manifestations include psychiatric symptoms, cranial neuropathies, and signs of increased intracranial pressure.
The clinical course is highly variable, ranging from relapsing-remitting episodes to rapidly progressive neurological deterioration.
PCNSV should be suspected in patients with recurrent multifocal strokes, headaches, and inflammatory CSF but no conventional vascular risk factors—angiography and biopsy remain key for confirmation.
Diagnosis requires integration of clinical findings, neuroimaging, cerebrospinal fluid (CSF) analysis, and histopathology.
MRI is the preferred initial imaging modality, typically revealing multifocal infarcts at different stages and in multiple vascular territories.
Cerebral angiography may show the classic "beading" pattern, but its sensitivity and specificity are limited.
The definitive diagnosis is established by brain or leptomeningeal biopsy demonstrating transmural inflammation with lymphocytic or granulomatous infiltrates.
Differential diagnoses include reversible cerebral vasoconstriction syndrome (RCVS), infectious vasculitides (e.g., VZV), systemic autoimmune diseases (e.g., lupus, ANCA-associated vasculitis), embolic strokes, and malignancy-associated vasculopathy.
Differential Diagnosis Comparison:
| Feature | Primary CNS Vasculitis | RCVS | Infectious Vasculitis (VZV) | Systemic Vasculitis |
|---|---|---|---|---|
| Presentation | Subacute headaches, strokes, cognitive decline | Thunderclap headaches, reversible deficits | Headache, zoster rash, strokes | Systemic symptoms (rash, renal, pulmonary) |
| CSF | Mild pleocytosis/protein ↑ | Usually normal or mild protein ↑ | Pleocytosis, positive PCR | Variable; may be inflammatory |
| Angiography | Irregular narrowing/beading, persistent | Reversible narrowing (“string of beads”) | Focal stenosis, aneurysms | Multisystem involvement |
| Biopsy | Transmural inflammation | Normal | Vasculitis with viral inclusions | Systemic vasculitis present |
| Treatment | Steroids + immunosuppression | Calcium channel blockers + trigger removal | Antivirals + steroids | Systemic immunosuppression |
Induction Therapy:
| Severity | Regimen |
|---|---|
| Mild-mod | High-dose steroids (IV methylpred 1 g/day ×3–5 days → oral prednisone) |
| Moderate-severe | Steroids + cyclophosphamide (IV monthly or oral) |
| Refractory/relapsing | Consider rituximab, mycophenolate, methotrexate |
Maintenance Therapy:
| Agent | Notes |
|---|---|
| Azathioprine | Standard maintenance to prevent relapse |
| Mycophenolate mofetil | Alternative for steroid sparing |
| Methotrexate | Useful in long-term management |
Supportive Care: - Aggressive treatment of vascular risk factors. - Seizure management if present; physical and cognitive rehabilitation. - Serial MRI/angiography and clinical assessments to monitor response.
Management Algorithm: 1. Confirm diagnosis with imaging, CSF, and biopsy when feasible. 2. Initiate high-dose steroids promptly while awaiting biopsy results if suspicion high. 3. Add cyclophosphamide for extensive or progressive disease. 4. Transition to maintenance immunosuppression once remission achieved. 5. Regular follow-up with neurologic exam, labs, and imaging; adjust therapy based on disease activity/side effects.
Which of the following findings most strongly supports a diagnosis of primary CNS vasculitis?
Answer: (B) Multifocal cerebral infarcts of varying ages with negative systemic vasculitis workup

A 72-year-old man presents with progressive memory impairment, fluctuating cognition, and occasional confusion.
His medical history includes poorly controlled hypertension, type 2 diabetes, and a transient ischemic attack two years prior.
His family reports increasing personality changes, reduced ability to manage finances, and recent gait instability.
Neurological examination reveals mild executive dysfunction, slowed processing speed, and frontal release signs.
MRI demonstrates multiple subcortical lacunes and extensive white matter hyperintensities, suggesting small vessel ischemic disease.
Vascular dementia (VaD) is the second most common cause of dementia after Alzheimer’s disease, accounting for 15–20% of cases.
The condition predominantly affects individuals older than 65, with a slightly higher incidence in men.
Major risk factors include hypertension, diabetes mellitus, hyperlipidemia, smoking, and prior cerebrovascular events.
Incidence varies geographically, correlating with the prevalence of vascular risk factors and stroke.
Mixed dementia, where vascular pathology coexists with Alzheimer pathology, is common, especially in older populations.
VaD arises from chronic or acute cerebrovascular insufficiency leading to neuronal loss and brain network disruption.
Mechanisms include large-vessel atherosclerosis, small vessel disease (e.g., lipohyalinosis, arteriolosclerosis), and strategic infarcts.
Repeated ischemic insults cause cumulative cognitive decline, often with a stepwise clinical course.
Blood-brain barrier dysfunction, microglial activation, and chronic hypoperfusion further contribute to neuronal damage.
Cerebral amyloid angiopathy may coexist, particularly in elderly patients, compounding cognitive impairment.
VaD typically presents with executive dysfunction, impaired attention, and slowed cognitive processing rather than isolated memory loss.
Personality changes, apathy, and mood disturbances are frequent non-cognitive features.
Gait abnormalities, pseudobulbar affect, and focal neurological deficits may occur, reflecting underlying cerebrovascular damage.
Urinary incontinence and early functional decline are more common than in Alzheimer’s disease.
The disease course may be stepwise, especially after recurrent strokes, or subcortical and insidious in small vessel disease.
Diagnosis relies on a combination of clinical features, cognitive assessment, and neuroimaging evidence of cerebrovascular disease.
MRI is the modality of choice, often showing lacunes, cortical infarcts, or confluent white matter hyperintensities.
Neuropsychological testing typically demonstrates executive and visuospatial deficits with relatively preserved episodic memory.
Differential diagnoses include Alzheimer’s disease (progressive memory loss), dementia with Lewy bodies (hallucinations, REM sleep behavior disorder), and frontotemporal dementia (early behavioral changes).
Reversible causes such as B12 deficiency, hypothyroidism, and normal-pressure hydrocephalus should always be excluded.
There is no disease-modifying therapy; management focuses on prevention of further vascular injury and symptomatic treatment.
Rigorous control of vascular risk factors (blood pressure, glucose, lipids) is essential to slow disease progression.
Antiplatelet therapy is recommended for secondary stroke prevention unless contraindicated.
Cognitive rehabilitation, physical therapy, and occupational therapy can enhance function and quality of life.
Mood and behavioral symptoms may require pharmacological intervention, but antipsychotics should be used cautiously.
Which of the following features is most characteristic of vascular dementia compared to Alzheimer’s disease?
Answer: (B) Stepwise cognitive decline following cerebrovascular events

A 58-year-old woman presents with a three-month history of severe burning pain, numbness, and weakness in her feet and lower legs.
Symptoms are asymmetric, more pronounced on the right, with episodes of foot drop and difficulty walking.
She also notes intermittent numbness in her hands and problems grasping objects.
Neurological examination shows a stocking-glove distribution of sensory loss and weakness in ankle dorsiflexion.
Elevated inflammatory markers and a nerve biopsy confirm the diagnosis of vasculitic neuropathy.
Vasculitic neuropathy is an uncommon but serious manifestation of systemic or isolated vasculitis involving peripheral nerves.
It is most often associated with systemic conditions such as polyarteritis nodosa (PAN), granulomatosis with polyangiitis (GPA), or microscopic polyangiitis (MPA).
The typical age of onset is between 40 and 60 years, and both sexes are equally affected.
Incidence varies with the prevalence of systemic vasculitides and autoimmune diseases in the population.
Early diagnosis is crucial, as delayed treatment can result in irreversible nerve damage and long-term disability.
Vasculitic neuropathy results from inflammation of small- and medium-sized blood vessels supplying peripheral nerves.
Immune-mediated injury leads to endothelial damage, fibrinoid necrosis, and vessel occlusion, causing ischemia of nerve fibers.
This ischemic process produces multifocal axonal degeneration, typically patchy and asymmetric.
The condition may occur as part of a systemic vasculitis or as an isolated peripheral nerve vasculitis (non-systemic vasculitic neuropathy).
Motor, sensory, and occasionally autonomic fibers may be affected, with peripheral nerves being especially vulnerable to ischemic damage.
The classic presentation is painful, asymmetric, distal sensorimotor neuropathy, often described as mononeuritis multiplex.
Patients commonly experience acute or subacute burning pain, paresthesias, and weakness, usually starting in the feet or hands.
Motor involvement may manifest as foot drop or hand weakness, while sensory involvement causes numbness, tingling, or burning sensations.
Autonomic involvement is less frequent but can present with orthostatic hypotension, bowel dysfunction, or bladder symptoms.
Over time, patchy nerve involvement can progress to a more diffuse polyneuropathy if untreated.
Diagnosis involves clinical evaluation, laboratory testing, electrophysiological studies, and histopathological confirmation.
Blood tests may show elevated ESR, CRP, and disease-specific antibodies (e.g., ANCA) depending on the underlying vasculitis.
EMG and nerve conduction studies typically demonstrate axonal degeneration with multifocal and asymmetric involvement.
The gold standard for diagnosis is a nerve biopsy, showing inflammatory infiltration of vessel walls, fibrinoid necrosis, and ischemic fiber loss.
Differential diagnoses include diabetic neuropathy (symmetric polyneuropathy), CIDP (demyelinating symmetric pattern), GBS (acute symmetric ascending weakness), nerve entrapment syndromes (localized deficits), and ALS (motor neuron disease without sensory involvement).
The cornerstone of treatment is immunosuppression to control vascular inflammation and prevent further nerve injury.
High-dose corticosteroids are typically initiated for rapid inflammation control.
Severe or refractory cases may require additional agents such as cyclophosphamide, azathioprine, or methotrexate.
IVIG or plasmapheresis may be considered in select situations, particularly when systemic disease is present.
Supportive care with analgesics for neuropathic pain and physical rehabilitation is essential for functional recovery and quality of life.
Which of the following is considered the gold standard for confirming the diagnosis of vasculitic neuropathy?
Answer: (C) Nerve biopsy is the gold standard, demonstrating vessel wall inflammation

Differential Diagnoses: BPPV | Ménière’s Disease | Vestibular Neuritis | Cerebellar Stroke
Related Symptoms: Vertigo | Imbalance | Oscillopsia | Nausea/Vomiting
Diagnostic Tools: Dix–Hallpike | HINTS Exam | Videonystagmography
A 55-year-old woman presents with recurrent episodes of vertigo, imbalance, and nausea, particularly triggered by changes in head position.
She denies recent ear infections, head trauma, or significant auditory symptoms.
The vertigo is transient but recurrent, sometimes accompanied by vomiting, and has significantly impacted her daily activities and confidence in walking.
Neurological examination is normal except for positional nystagmus provoked during head movement.
Bedside maneuvers such as the Dix-Hallpike test reproduce her symptoms, suggesting a peripheral vestibular cause.
Vestibular dysfunction affects approximately 35% of adults over the age of 40 and is a major contributor to dizziness and imbalance in the elderly.
The prevalence increases with age and is slightly higher in women.
Benign paroxysmal positional vertigo (BPPV), Meniere’s disease, and vestibular neuritis are the most common causes of peripheral vestibular dysfunction.
Central causes, such as cerebellar stroke and multiple sclerosis, are less common but clinically significant.
Vestibular dysfunction significantly increases fall risk and reduces quality of life, especially in older adults.
Vertigo (a spinning sensation) is the hallmark symptom, often accompanied by nausea, vomiting, and imbalance.
BPPV causes brief, positionally triggered episodes, whereas Meniere’s disease causes longer episodes associated with auditory symptoms.
Vestibular neuritis presents as acute, prolonged vertigo often lasting days, followed by gradual compensation.
Chronic vestibular dysfunction may manifest as disequilibrium, oscillopsia (visual blurring with head movement), and motion sensitivity.
Central causes may present with additional neurological signs such as diplopia, dysarthria, or limb ataxia.
Use the HINTS exam (head impulse, nystagmus, test of skew) in acute vestibular syndrome—peripheral lesions show abnormal head impulse with unidirectional nystagmus; central lesions often have normal head impulse or vertical skew.
Diagnosis is based on detailed history, physical examination, and targeted vestibular function tests.
The Dix-Hallpike maneuver is diagnostic for BPPV, while head impulse testing, caloric testing, and videonystagmography help assess vestibular function.
Audiometry is indicated if hearing loss or tinnitus suggests Meniere’s disease.
MRI of the brain and internal auditory canals is warranted if central pathology (e.g., stroke, demyelination, tumor) is suspected.
Differential diagnoses include cerebellar infarction, vestibular migraine, acoustic neuroma, multiple sclerosis, and orthostatic hypotension.
Differential Diagnosis Framework:
| Feature | BPPV | Vestibular Neuritis | Ménière’s Disease | Central (Stroke, MS) |
|---|---|---|---|---|
| Trigger | Positional | Spontaneous, acute | Spontaneous with auditory symptoms | Spontaneous, often with neuro signs |
| Duration | Seconds (<1 min) | Days with gradual compensation | 20 min–12 h | Variable, persistent |
| Hearing Loss | No | No | Yes (fluctuating) | Possible |
| Nystagmus | Latent, fatigable torsional | Unidirectional horizontal | Mixed | Direction-changing, vertical |
| Treatment | Canalith reposition | Steroids, VRT | Salt restriction, diuretics | Depends on cause (stroke therapy) |
Etiology-Specific Therapy:
| Disorder | Acute Management | Long-Term Strategy |
|---|---|---|
| BPPV | Epley/Semont maneuvers | Brandt-Daroff exercises, avoid prolonged bed rest |
| Vestibular Neuritis | Corticosteroids within 72 h, short-term vestibular suppressants | Vestibular rehab exercises |
| Ménière’s Disease | Salt restriction, diuretics (HCTZ/triamterene), vestibular suppressants during attacks | Betahistine (where available), intratympanic steroids/gentamicin for refractory cases |
| Vestibular Migraine | Migraine prophylaxis (beta-blockers, topiramate), trigger avoidance | Vestibular rehab |
| Central causes | Treat underlying etiology (stroke, demyelination, tumor) | Neuro rehab, fall prevention |
Supportive Measures: - Vestibular rehabilitation therapy to accelerate central compensation. - Short-term vestibular suppressants (meclizine, benzodiazepines) only in acute severe vertigo; prolonged use delays compensation. - Fall-risk mitigation, home safety evaluation, assistive devices as needed.
Management Algorithm: 1. Differentiate peripheral vs central with history + HINTS; emergent imaging if central signs. 2. Treat acute symptoms: Specific maneuvers for BPPV, steroids for neuritis, symptomatic relief. 3. Address chronic imbalance: Initiate vestibular rehab, manage anxiety, encourage gradual activity. 4. Monitor recurrence/complications: Hearing tests for Ménière’s, reassess for central pathology if symptoms change. 5. Educate patients: Trigger avoidance, self-treatment maneuvers, when to seek emergency care.
Which of the following findings is most characteristic of benign paroxysmal positional vertigo (BPPV)?
Answer: (B) Episodic vertigo triggered by head position changes

A 55-year-old man presents with sudden-onset vertigo, nausea, and difficulty swallowing.
Examination reveals ipsilateral facial loss of pain and temperature, contralateral body loss of pain and temperature, hoarseness, and right-sided Horner’s syndrome.
He has a history of hypertension and chronic smoking.
MRI brain shows an infarct in the right lateral medulla.
The findings are consistent with Wallenberg Syndrome (lateral medullary syndrome).
Wallenberg Syndrome is a relatively rare posterior circulation stroke, accounting for about 1–2% of ischemic strokes.
It most often occurs in middle-aged to elderly adults, with a slight male predominance.
Risk factors include hypertension, atherosclerosis, vertebral artery dissection, and smoking.
Most cases are due to occlusion of the posterior inferior cerebellar artery (PICA) or vertebral artery.
Although uncommon, prompt recognition is vital due to the risk of severe disability.
Wallenberg Syndrome is most commonly caused by occlusion of the PICA or vertebral artery, resulting in ischemia of the lateral medulla.
Involvement of key structures includes the vestibular nuclei, nucleus ambiguus, spinal trigeminal nucleus, spinothalamic tract, inferior cerebellar peduncle, and descending sympathetic fibers.
Infarction leads to a characteristic constellation of cranial nerve and long tract signs.
Vertebral artery dissection is an important cause, especially in younger patients.
The condition exemplifies a classic brainstem stroke syndrome due to its anatomical correlation with specific vascular territories.
Dysphagia, hoarseness, and diminished gag reflex result from involvement of the nucleus ambiguus (CN IX and X).
Vertigo, nystagmus, and vomiting occur due to vestibular nuclei involvement.
Loss of pain and temperature sensation on the ipsilateral face and contralateral body is due to spinal trigeminal nucleus and spinothalamic tract damage.
Ipsilateral Horner’s syndrome (ptosis, miosis, anhidrosis) results from interruption of descending sympathetic fibers.
Ataxia and imbalance occur from involvement of the inferior cerebellar peduncle and cerebellar connections.
Diagnosis is primarily clinical, supported by MRI showing a lateral medullary infarction.
Diffusion-weighted MRI is highly sensitive in detecting acute lesions in the medulla.
Differential diagnoses include other brainstem stroke syndromes, multiple sclerosis, demyelinating brainstem lesions, and vertebrobasilar insufficiency.
Presence of ipsilateral cranial nerve deficits with contralateral body sensory loss strongly suggests Wallenberg Syndrome.
Vascular imaging (CT angiography or MR angiography) helps identify vertebral or PICA occlusion or dissection.
Acute management follows standard ischemic stroke protocols, including antiplatelet therapy and risk factor control.
In cases of vertebral artery dissection, anticoagulation may be indicated.
Supportive care is crucial, including swallowing assessment, nutritional support, and aspiration precautions.
Speech and physical therapy help improve swallowing function, speech, and balance.
Long-term management focuses on secondary stroke prevention and rehabilitation.
Which artery is most commonly implicated in Wallenberg Syndrome?
Answer: (C) Posterior inferior cerebellar artery

A 45-year-old man with a 20-year history of heavy alcohol consumption presents to the emergency department with confusion, ataxia, and ophthalmoplegia.
His family reports increasing forgetfulness, frequent falls, and unsteady gait over the past few weeks.
He has poor nutritional intake following recent job loss.
Neurological examination reveals disorientation, horizontal nystagmus, and truncal ataxia.
The clinical picture is highly suggestive of Wernicke’s encephalopathy (WE).
Wernicke’s encephalopathy is a neurological emergency most often associated with chronic alcoholism and malnutrition.
It is underdiagnosed, with autopsy studies suggesting prevalence rates up to 2.8% in the general population and 12–14% in alcoholics.
Other risk groups include patients with hyperemesis gravidarum, gastrointestinal surgery (e.g., gastric bypass), malignancy, or chronic systemic illness.
Males are slightly more commonly affected due to higher rates of alcohol dependence.
Prompt recognition and treatment are crucial to prevent irreversible neurological damage and progression to Korsakoff syndrome.
Thiamine (vitamin B1) is an essential cofactor in cerebral glucose metabolism, particularly for enzymes such as pyruvate dehydrogenase, \(\alpha\)-ketoglutarate dehydrogenase, and transketolase.
Thiamine deficiency impairs ATP production, leading to neuronal energy failure and oxidative stress.
This results in selective vulnerability of metabolically active brain regions such as the mammillary bodies, thalamus, hypothalamus, periaqueductal gray, and cerebellar vermis.
Cytotoxic and vasogenic edema contribute to neuronal damage and disruption of neural networks.
Chronic deficiency leads to irreversible neuronal loss and gliosis, explaining the progression to Korsakoff syndrome if untreated.
The classic triad consists of: confusion (acute encephalopathy), ataxia (often truncal), and ophthalmoplegia (commonly horizontal nystagmus or abducens palsy).
Mental status changes range from apathy and disorientation to coma.
Ataxia results from cerebellar vermis involvement, leading to gait instability and incoordination.
Ocular findings include nystagmus, diplopia, and external ophthalmoplegia, reflecting brainstem involvement.
Other possible manifestations include hypotension, hypothermia, peripheral neuropathy, and in severe cases, progression to coma or death.
Diagnosis is primarily clinical, based on the presence of the classic triad or partial features in at-risk patients.
MRI is supportive, showing hyperintensities in the mammillary bodies, medial thalami, periaqueductal region, and tectal plate.
Laboratory thiamine levels are neither sensitive nor specific and should not delay treatment.
Differential diagnoses include hepatic encephalopathy, hypoglycemia, alcohol withdrawal, stroke, and other metabolic encephalopathies.
Rapid improvement with thiamine administration further supports the diagnosis.
Immediate intravenous thiamine administration (typically 200–500 mg IV three times daily) is the cornerstone of treatment and should precede glucose infusion to avoid worsening neuronal injury.
Treatment should be initiated as soon as WE is suspected, without waiting for confirmatory tests.
Supportive care includes correction of electrolyte disturbances, nutritional rehabilitation, and management of alcohol withdrawal if present.
Long-term care involves sustained oral thiamine supplementation and addressing underlying causes of malnutrition.
Early intervention can reverse symptoms, but delayed treatment may lead to permanent cognitive impairment (Korsakoff syndrome).
Which of the following is not part of the classic triad of Wernicke’s encephalopathy?
Answer: (D) Hyperreflexia

A 50-year-old man presents in late summer with acute fever, severe headache, confusion, and photophobia.
He recalls multiple mosquito bites while gardening in the preceding week.
Neurological examination reveals neck stiffness, disorientation, and mild flaccid weakness in the lower limbs.
Blood tests show leukopenia and mildly elevated liver enzymes.
Considering the clinical picture and seasonal exposure, West Nile virus (WNV) encephalitis is suspected.
West Nile virus is a single-stranded RNA flavivirus transmitted by Culex mosquitoes, with birds as the primary reservoir.
Human cases occur predominantly in late summer and early fall, especially in temperate regions of North America, Europe, Africa, and the Middle East.
Since its introduction into North America in 1999, WNV has become endemic with periodic outbreaks.
Most infections (≈80%) are asymptomatic, about 20% manifest as West Nile fever, and \(\sim\)1% develop neuroinvasive disease (meningitis, encephalitis, or acute flaccid paralysis).
Risk factors for severe neuroinvasive disease include advanced age, immunocompromised state, and pre-existing comorbidities.
WNV is introduced into humans via mosquito bites and initially replicates in skin dendritic cells and regional lymph nodes.
The virus disseminates hematogenously, crossing the blood–brain barrier through endothelial infection, increased permeability, or infected immune cell trafficking.
Within the CNS, WNV targets neurons, leading to direct cytopathic effects, apoptosis, and inflammatory-mediated damage.
Microglial activation and cytokine release further contribute to neuronal injury and demyelination.
Host genetic factors and innate immune responses significantly influence disease severity and clinical outcome.
Neuroinvasive WNV disease typically presents with fever, headache, altered mental status, and meningeal signs (neck stiffness, photophobia).
Focal neurological deficits, tremors, myoclonus, seizures, and cranial neuropathies can occur.
Acute flaccid paralysis resembling poliomyelitis may develop due to anterior horn cell involvement.
Severe cases may progress to coma, respiratory failure, or death, particularly in elderly or immunocompromised patients.
Long-term sequelae include persistent cognitive deficits, motor weakness, and mood disorders.
Diagnosis is based on clinical presentation, exposure history, and confirmatory laboratory tests.
Detection of WNV-specific IgM antibodies in serum or cerebrospinal fluid (CSF) by ELISA is diagnostic; CSF typically shows lymphocytic pleocytosis with elevated protein.
PCR for WNV RNA may be useful early in infection but has limited sensitivity later.
Differential diagnoses include other viral encephalitides (HSV, VZV, enteroviruses, Japanese encephalitis, tick-borne encephalitis), autoimmune encephalitis, and paraneoplastic syndromes.
Neuroimaging may show non-specific findings such as thalamic, basal ganglia, or brainstem hyperintensities on MRI.
There is no specific antiviral therapy; management is primarily supportive and tailored to disease severity.
Hospitalization is indicated for neuroinvasive disease, with intravenous fluids, antipyretics, and seizure management as needed.
Mechanical ventilation may be required in cases of respiratory failure or severe encephalopathy.
Immunoglobulin therapy and interferon-based treatments have been explored but lack definitive efficacy data.
Prevention remains the cornerstone of control, focusing on mosquito population reduction, protective clothing, insect repellents, and public health surveillance.
Which of the following clinical features is least likely to be associated with West Nile Encephalitis?
Answer: (D) Erythematous maculopapular rash — Rash is uncommon in

A 22-year-old man presents with progressive tremors, slurred speech, and difficulty with coordination over the past year.
He reports episodes of mood swings and declining academic performance.
Neurological examination reveals dysarthria, intention tremor, and mild dystonia.
Ophthalmologic slit-lamp examination shows Kayser-Fleischer rings.
Laboratory tests reveal low serum ceruloplasmin and elevated 24-hour urinary copper excretion.
Wilson’s disease is a rare autosomal recessive disorder of copper metabolism caused by mutations in the ATP7B gene.
Its estimated prevalence is 1 in 30,000 to 1 in 100,000 worldwide, with a carrier frequency of approximately 1 in 90.
It typically manifests in late childhood or early adulthood, although presentation can vary widely.
There is no sex predilection, and it occurs across all ethnic groups.
Early detection and treatment significantly improve outcomes, but untreated disease is fatal due to hepatic or neurological complications.
Wilson’s disease results from mutations in the ATP7B gene on chromosome 13, which encodes a copper-transporting ATPase in hepatocytes.
The defect leads to impaired biliary copper excretion and incorporation into ceruloplasmin, causing copper accumulation in the liver.
Excess copper spills into the bloodstream and deposits in the brain,cornea, kidneys, and other tissues.
Neurological manifestations are primarily due to copper-induced oxidative damage and neuronal loss in the basal ganglia.
Accumulation also triggers hepatic inflammation, fibrosis, and eventually cirrhosis.
Clinical manifestations vary and include hepatic, neurological, and psychiatric symptoms.
Hepatic disease can range from asymptomatic hepatomegaly to fulminant hepatic failure.
Neurological features include tremor, dystonia, dysarthria, parkinsonism, and ataxia, often mimicking other movement disorders.
Psychiatric manifestations may precede neurological signs and include depression, personality changes, or psychosis.
Kayser-Fleischer rings and sunflower cataracts are classic ocular signs due to copper deposition in Descemet’s membrane.
Diagnosis relies on clinical findings, laboratory tests, and imaging studies.
Key tests include low serum ceruloplasmin, elevated 24-hour urinary copper excretion, and increased hepatic copper concentration on liver biopsy.
MRI often shows hyperintensities in the basal ganglia and brainstem ("face of the giant panda" sign).
Differential diagnoses include autoimmune hepatitis, Huntington’s disease, Parkinson’s disease, and other metabolic or genetic liver diseases.
Genetic testing can confirm ATP7B mutations, especially in atypical cases or family screening.
The mainstay of treatment is lifelong chelation therapy to promote copper excretion, typically with D-penicillamine or trientine.
Zinc salts can be used to reduce intestinal copper absorption, particularly for maintenance therapy or presymptomatic patients.
Severe hepatic disease may require liver transplantation, which also corrects the underlying metabolic defect.
Neurological symptoms may improve with therapy, but irreversible damage can occur if treatment is delayed.
Patient education, dietary copper restriction, and family screening are essential components of management.
Which of the following findings is most specific for Wilson’s disease?
Answer: (B) Low serum ceruloplasmin with Kayser-Fleischer rings

A 7-year-old boy presents with progressive behavioral changes, poor school performance, and gait instability.
Over the following months, he develops visual loss, spasticity, and seizures.
MRI of the brain reveals symmetric demyelination in the parieto-occipital white matter.
Plasma analysis shows markedly elevated very long-chain fatty acids (VLCFAs), confirming a diagnosis of X-linked adrenoleukodystrophy (X-ALD).
X-ALD is the most common peroxisomal disorder, with an estimated incidence of 1 in 20,000–30,000 males.
It is inherited in an X-linked recessive pattern and caused by mutations in the ABCD1 gene on chromosome Xq28.
Carrier females may exhibit mild or late-onset myelopathy due to skewed X-inactivation.
The disease manifests across a broad clinical spectrum ranging from childhood cerebral forms to adult adrenomyeloneuropathy (AMN).
The ABCD1 gene encodes a peroxisomal membrane transporter responsible for importing VLCFAs for degradation.
Defective transporter function leads to accumulation of saturated VLCFAs (C24:0, C26:0) in the CNS white matter, adrenal cortex, and testes.
The resultant oxidative stress and inflammatory demyelination cause progressive neurological deterioration.
The adrenal cortex is particularly vulnerable, often resulting in primary adrenal insufficiency (Addison’s disease).
Childhood cerebral form (35–40%): onset at 4–10 years with behavioral decline, vision and hearing loss, spasticity, and rapid neurodegeneration.
Adrenomyeloneuropathy (AMN):adult-onset spastic paraparesis, bladder dysfunction, and peripheral neuropathy with slow progression.
Addison-only phenotype: isolated adrenal insufficiency without neurological symptoms.
Carrier females may develop mild gait disturbance and bladder symptoms in middle age.
Elevated plasma VLCFAs (particularly C26:0) are diagnostic.
MRI brain shows characteristic symmetric parieto-occipital white matter demyelination with contrast enhancement at advancing edges.
Genetic testing for ABCD1 mutations confirms the diagnosis and allows carrier and prenatal testing.
Differential diagnoses include metachromatic leukodystrophy, Krabbe disease, and mitochondrial leukodystrophies.
Hematopoietic stem cell transplantation (HSCT)** is effective in early-stage cerebral ALD before significant neurological decline.
Lorenzo’s oil (a mixture of oleic and erucic acids) may normalize VLCFA levels but has limited proven efficacy on clinical outcomes.
Adrenal insufficiency requires lifelong glucocorticoid and mineralocorticoid replacement.
Gene therapy (elivaldogene autotemcel) has shown promising results in halting disease progression in early cerebral ALD.
Supportive therapies include physical therapy, seizure management, and psychological support for affected families.
Which of the following biochemical findings is characteristic of X-linked adrenoleukodystrophy?
Answer: (B) X-linked adrenoleukodystrophy results from defective transport of VLCFAs